罕见的汇合:脾淋巴管瘤和阑尾黏液瘤。

IF 1.3 Q3 MEDICINE, GENERAL & INTERNAL
Cureus Pub Date : 2025-10-04 eCollection Date: 2025-10-01 DOI:10.7759/cureus.93804
İlkay Çinar, Ilker Sengul, Ali Muhtaroğlu, Demet Sengul
{"title":"罕见的汇合:脾淋巴管瘤和阑尾黏液瘤。","authors":"İlkay Çinar, Ilker Sengul, Ali Muhtaroğlu, Demet Sengul","doi":"10.7759/cureus.93804","DOIUrl":null,"url":null,"abstract":"<p><p>Splenic lymphangiomas, per se, are exceedingly rare, benign congenital malformations of lymphatic vessels, typically diagnosed in childhood or incidentally in adulthood. Appendiceal mucinous neoplasms (AMNs) are also infrequent, often asymptomatic, and usually discovered incidentally. To date, the co-occurrence of these two distinct primary lesions in the same patient has not been previously reported. We present the case of an 83-year-old Turkish female who underwent emergent abdominal surgery for an acute abdomen secondary to a strangulated left diaphragmatic herniation. Multiple perforations were identified in the transverse colon, accompanied by widespread ischemia involving the terminal ileum, cecum, and right colon. Upon laparotomy, a diaphragmatic defect measuring approximately 10 cm in diameter was identified in the left hemidiaphragm. The herniated abdominal viscera were meticulously reduced and examined, and multiple perforations were identified in the transverse colon, accompanied by widespread ischemia involving the terminal ileum, cecum, and right colon. An emergent splenectomy was performed due to severe ischemia and irreparable structural damage observed within the compromised hernia sac, with the resection of the terminal ileum, the ascending, and transverse colon. During the operative intervention, both a splenic lymphangioma and a low-grade AMN were incidentally discovered. The histological diagnosis was confirmed with factor VIII-related antigen (factor VIII-R antigen) immunohistochemical positivity. The patient, unfortunately, succumbed on the fifth postoperative day due to progressive multi-organ failure. This report documents the first known instance of the simultaneous identification of splenic lymphangioma and AMN as primary lesions in a single patient. This unique case underscores the critical importance for surgeons to remain vigilant for unexpected pathologies and highlights the necessity of a multidisciplinary approach in evaluating rare incidental findings for appropriate classification and follow-up.</p>","PeriodicalId":93960,"journal":{"name":"Cureus","volume":"17 10","pages":"e93804"},"PeriodicalIF":1.3000,"publicationDate":"2025-10-04","publicationTypes":"Journal Article","fieldsOfStudy":null,"isOpenAccess":false,"openAccessPdf":"https://www.ncbi.nlm.nih.gov/pmc/articles/PMC12497426/pdf/","citationCount":"0","resultStr":"{\"title\":\"An Uncommon Confluence: Splenic Lymphangioma and Appendiceal Mucinous Neoplasm.\",\"authors\":\"İlkay Çinar, Ilker Sengul, Ali Muhtaroğlu, Demet Sengul\",\"doi\":\"10.7759/cureus.93804\",\"DOIUrl\":null,\"url\":null,\"abstract\":\"<p><p>Splenic lymphangiomas, per se, are exceedingly rare, benign congenital malformations of lymphatic vessels, typically diagnosed in childhood or incidentally in adulthood. Appendiceal mucinous neoplasms (AMNs) are also infrequent, often asymptomatic, and usually discovered incidentally. To date, the co-occurrence of these two distinct primary lesions in the same patient has not been previously reported. We present the case of an 83-year-old Turkish female who underwent emergent abdominal surgery for an acute abdomen secondary to a strangulated left diaphragmatic herniation. Multiple perforations were identified in the transverse colon, accompanied by widespread ischemia involving the terminal ileum, cecum, and right colon. Upon laparotomy, a diaphragmatic defect measuring approximately 10 cm in diameter was identified in the left hemidiaphragm. The herniated abdominal viscera were meticulously reduced and examined, and multiple perforations were identified in the transverse colon, accompanied by widespread ischemia involving the terminal ileum, cecum, and right colon. An emergent splenectomy was performed due to severe ischemia and irreparable structural damage observed within the compromised hernia sac, with the resection of the terminal ileum, the ascending, and transverse colon. During the operative intervention, both a splenic lymphangioma and a low-grade AMN were incidentally discovered. The histological diagnosis was confirmed with factor VIII-related antigen (factor VIII-R antigen) immunohistochemical positivity. The patient, unfortunately, succumbed on the fifth postoperative day due to progressive multi-organ failure. This report documents the first known instance of the simultaneous identification of splenic lymphangioma and AMN as primary lesions in a single patient. This unique case underscores the critical importance for surgeons to remain vigilant for unexpected pathologies and highlights the necessity of a multidisciplinary approach in evaluating rare incidental findings for appropriate classification and follow-up.</p>\",\"PeriodicalId\":93960,\"journal\":{\"name\":\"Cureus\",\"volume\":\"17 10\",\"pages\":\"e93804\"},\"PeriodicalIF\":1.3000,\"publicationDate\":\"2025-10-04\",\"publicationTypes\":\"Journal Article\",\"fieldsOfStudy\":null,\"isOpenAccess\":false,\"openAccessPdf\":\"https://www.ncbi.nlm.nih.gov/pmc/articles/PMC12497426/pdf/\",\"citationCount\":\"0\",\"resultStr\":null,\"platform\":\"Semanticscholar\",\"paperid\":null,\"PeriodicalName\":\"Cureus\",\"FirstCategoryId\":\"1085\",\"ListUrlMain\":\"https://doi.org/10.7759/cureus.93804\",\"RegionNum\":0,\"RegionCategory\":null,\"ArticlePicture\":[],\"TitleCN\":null,\"AbstractTextCN\":null,\"PMCID\":null,\"EPubDate\":\"2025/10/1 0:00:00\",\"PubModel\":\"eCollection\",\"JCR\":\"Q3\",\"JCRName\":\"MEDICINE, GENERAL & INTERNAL\",\"Score\":null,\"Total\":0}","platform":"Semanticscholar","paperid":null,"PeriodicalName":"Cureus","FirstCategoryId":"1085","ListUrlMain":"https://doi.org/10.7759/cureus.93804","RegionNum":0,"RegionCategory":null,"ArticlePicture":[],"TitleCN":null,"AbstractTextCN":null,"PMCID":null,"EPubDate":"2025/10/1 0:00:00","PubModel":"eCollection","JCR":"Q3","JCRName":"MEDICINE, GENERAL & INTERNAL","Score":null,"Total":0}
引用次数: 0

摘要

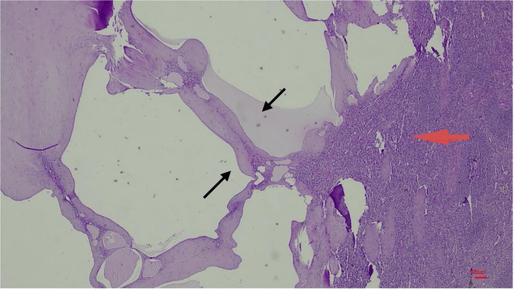
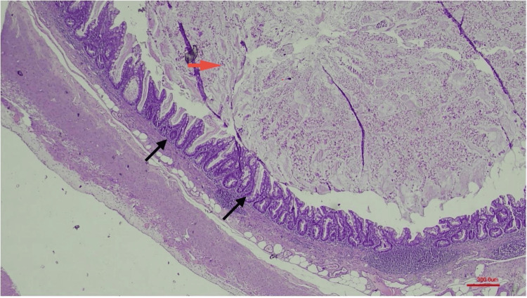
脾淋巴管瘤本身是一种极为罕见的良性先天性淋巴管畸形,通常在儿童期或成年期偶然诊断出来。阑尾黏液性肿瘤(amn)也不常见,通常无症状,通常是偶然发现的。迄今为止,这两种不同的原发病变在同一患者中同时发生尚未见报道。我们提出的情况下,一个83岁的土耳其女性谁接受紧急腹部手术急腹症继发于绞窄的左膈疝。在横结肠发现多发穿孔,并伴有广泛的缺血,包括回肠末端、盲肠和右结肠。剖腹手术后,在左膈发现直径约10厘米的膈缺损。对疝出的腹部脏器进行仔细的缩小和检查,发现横结肠有多处穿孔,并伴有广泛的缺血,累及回肠末端、盲肠和右结肠。由于严重缺血和受损疝囊内不可修复的结构损伤,我们进行了紧急脾切除术,同时切除了回肠末端、升结肠和横结肠。在手术干预期间,意外发现脾脏淋巴管瘤和低级别AMN。组织学诊断为viii因子相关抗原(factor VIII-R抗原)免疫组化阳性。不幸的是,由于进行性多器官衰竭,患者在术后第五天死亡。本报告记录了首例同时鉴定脾淋巴管瘤和AMN为原发性病变的病例。这个独特的病例强调了外科医生对意外病理保持警惕的重要性,并强调了在评估罕见偶然发现以进行适当分类和随访时采用多学科方法的必要性。
本文章由计算机程序翻译,如有差异,请以英文原文为准。

An Uncommon Confluence: Splenic Lymphangioma and Appendiceal Mucinous Neoplasm.

An Uncommon Confluence: Splenic Lymphangioma and Appendiceal Mucinous Neoplasm.

An Uncommon Confluence: Splenic Lymphangioma and Appendiceal Mucinous Neoplasm.

An Uncommon Confluence: Splenic Lymphangioma and Appendiceal Mucinous Neoplasm.

Splenic lymphangiomas, per se, are exceedingly rare, benign congenital malformations of lymphatic vessels, typically diagnosed in childhood or incidentally in adulthood. Appendiceal mucinous neoplasms (AMNs) are also infrequent, often asymptomatic, and usually discovered incidentally. To date, the co-occurrence of these two distinct primary lesions in the same patient has not been previously reported. We present the case of an 83-year-old Turkish female who underwent emergent abdominal surgery for an acute abdomen secondary to a strangulated left diaphragmatic herniation. Multiple perforations were identified in the transverse colon, accompanied by widespread ischemia involving the terminal ileum, cecum, and right colon. Upon laparotomy, a diaphragmatic defect measuring approximately 10 cm in diameter was identified in the left hemidiaphragm. The herniated abdominal viscera were meticulously reduced and examined, and multiple perforations were identified in the transverse colon, accompanied by widespread ischemia involving the terminal ileum, cecum, and right colon. An emergent splenectomy was performed due to severe ischemia and irreparable structural damage observed within the compromised hernia sac, with the resection of the terminal ileum, the ascending, and transverse colon. During the operative intervention, both a splenic lymphangioma and a low-grade AMN were incidentally discovered. The histological diagnosis was confirmed with factor VIII-related antigen (factor VIII-R antigen) immunohistochemical positivity. The patient, unfortunately, succumbed on the fifth postoperative day due to progressive multi-organ failure. This report documents the first known instance of the simultaneous identification of splenic lymphangioma and AMN as primary lesions in a single patient. This unique case underscores the critical importance for surgeons to remain vigilant for unexpected pathologies and highlights the necessity of a multidisciplinary approach in evaluating rare incidental findings for appropriate classification and follow-up.

求助全文
通过发布文献求助,成功后即可免费获取论文全文。 去求助
来源期刊
自引率
0.00%
发文量
0
×
引用
GB/T 7714-2015
复制
MLA
复制
APA
复制
导出至
BibTeX EndNote RefMan NoteFirst NoteExpress
×
提示
您的信息不完整,为了账户安全,请先补充。
现在去补充
×
提示
您因"违规操作"
具体请查看互助需知
我知道了
×
提示
确定
请完成安全验证×
copy
已复制链接
快去分享给好友吧!
我知道了
右上角分享
点击右上角分享
0
联系我们:info@booksci.cn Book学术提供免费学术资源搜索服务,方便国内外学者检索中英文文献。致力于提供最便捷和优质的服务体验。 Copyright © 2023 布克学术 All rights reserved.
京ICP备2023020795号-1
ghs 京公网安备 11010802042870号
Book学术文献互助
Book学术文献互助群
群 号:604180095
Book学术官方微信