胸膜脓胸早期开胸和去皮术。

IF 1.3 Q3 MEDICINE, GENERAL & INTERNAL
Cureus Pub Date : 2025-10-05 eCollection Date: 2025-10-01 DOI:10.7759/cureus.93879
Arvind Kohli, Vishal V Bhende, Amit Chaudhary, Viral B Patel, Mathangi Krishnakumar, Swati Roy
{"title":"胸膜脓胸早期开胸和去皮术。","authors":"Arvind Kohli, Vishal V Bhende, Amit Chaudhary, Viral B Patel, Mathangi Krishnakumar, Swati Roy","doi":"10.7759/cureus.93879","DOIUrl":null,"url":null,"abstract":"<p><p>Background and aim Pleural empyema remains a serious complication of pulmonary infections, with high morbidity and mortality if not managed effectively. While antibiotics and drainage are sufficient in the early stages, chronic empyema often requires surgical intervention. This study evaluates the outcomes of early thoracotomy and decortication for pleural empyema at a tertiary cardiac center in India. Methods A retrospective observational study was conducted on nine patients who underwent early thoracotomy and decortication between 2018 and 2024. Demographics, radiological findings, etiology, complications, survival, and follow-up outcomes were analyzed. Survival and event-free survival were assessed using the Kaplan-Meier method. Results Six patients were female (66.7%), and three were male (33.3%). Four patients underwent right-sided, four left-sided, and one bilateral decortication. Six patients (66.7%) had moderate pleural fluid, three (33.3%) had large fluid collections, and all nine (100%) had pleural thickening ≥2 cm. Etiologies included non-tuberculosis (TB; n = 7; 77.8%) and TB (n = 2; 22.2%). Postoperative complications occurred in three patients (33.3%), including prolonged air leak (n = 2) and superficial wound infection (n = 1). One patient (11.1%) died from nosocomial pneumonia, acute respiratory distress syndrome, and septic shock. Kaplan-Meier estimated survival probability was 88.9% at 30 days and remained stable at 12 months. Event-free survival at 12 months was 66.7%. The median hospital stay was 12 days (range, 8-21). All survivors demonstrated satisfactory lung re-expansion with no recurrence during three to 12 months of follow-up. Conclusions Early thoracotomy and decortication is a safe and effective treatment for advanced-stage pleural empyema, yielding favorable survival and functional outcomes. Despite advances in minimally invasive surgery, thoracotomy remains indispensable for selected patients, particularly in TB-endemic regions.</p>","PeriodicalId":93960,"journal":{"name":"Cureus","volume":"17 10","pages":"e93879"},"PeriodicalIF":1.3000,"publicationDate":"2025-10-05","publicationTypes":"Journal Article","fieldsOfStudy":null,"isOpenAccess":false,"openAccessPdf":"https://www.ncbi.nlm.nih.gov/pmc/articles/PMC12497427/pdf/","citationCount":"0","resultStr":"{\"title\":\"Early Thoracotomy and Decortication in Pleural Empyema.\",\"authors\":\"Arvind Kohli, Vishal V Bhende, Amit Chaudhary, Viral B Patel, Mathangi Krishnakumar, Swati Roy\",\"doi\":\"10.7759/cureus.93879\",\"DOIUrl\":null,\"url\":null,\"abstract\":\"<p><p>Background and aim Pleural empyema remains a serious complication of pulmonary infections, with high morbidity and mortality if not managed effectively. While antibiotics and drainage are sufficient in the early stages, chronic empyema often requires surgical intervention. This study evaluates the outcomes of early thoracotomy and decortication for pleural empyema at a tertiary cardiac center in India. Methods A retrospective observational study was conducted on nine patients who underwent early thoracotomy and decortication between 2018 and 2024. Demographics, radiological findings, etiology, complications, survival, and follow-up outcomes were analyzed. Survival and event-free survival were assessed using the Kaplan-Meier method. Results Six patients were female (66.7%), and three were male (33.3%). Four patients underwent right-sided, four left-sided, and one bilateral decortication. Six patients (66.7%) had moderate pleural fluid, three (33.3%) had large fluid collections, and all nine (100%) had pleural thickening ≥2 cm. Etiologies included non-tuberculosis (TB; n = 7; 77.8%) and TB (n = 2; 22.2%). Postoperative complications occurred in three patients (33.3%), including prolonged air leak (n = 2) and superficial wound infection (n = 1). One patient (11.1%) died from nosocomial pneumonia, acute respiratory distress syndrome, and septic shock. Kaplan-Meier estimated survival probability was 88.9% at 30 days and remained stable at 12 months. Event-free survival at 12 months was 66.7%. The median hospital stay was 12 days (range, 8-21). All survivors demonstrated satisfactory lung re-expansion with no recurrence during three to 12 months of follow-up. Conclusions Early thoracotomy and decortication is a safe and effective treatment for advanced-stage pleural empyema, yielding favorable survival and functional outcomes. Despite advances in minimally invasive surgery, thoracotomy remains indispensable for selected patients, particularly in TB-endemic regions.</p>\",\"PeriodicalId\":93960,\"journal\":{\"name\":\"Cureus\",\"volume\":\"17 10\",\"pages\":\"e93879\"},\"PeriodicalIF\":1.3000,\"publicationDate\":\"2025-10-05\",\"publicationTypes\":\"Journal Article\",\"fieldsOfStudy\":null,\"isOpenAccess\":false,\"openAccessPdf\":\"https://www.ncbi.nlm.nih.gov/pmc/articles/PMC12497427/pdf/\",\"citationCount\":\"0\",\"resultStr\":null,\"platform\":\"Semanticscholar\",\"paperid\":null,\"PeriodicalName\":\"Cureus\",\"FirstCategoryId\":\"1085\",\"ListUrlMain\":\"https://doi.org/10.7759/cureus.93879\",\"RegionNum\":0,\"RegionCategory\":null,\"ArticlePicture\":[],\"TitleCN\":null,\"AbstractTextCN\":null,\"PMCID\":null,\"EPubDate\":\"2025/10/1 0:00:00\",\"PubModel\":\"eCollection\",\"JCR\":\"Q3\",\"JCRName\":\"MEDICINE, GENERAL & INTERNAL\",\"Score\":null,\"Total\":0}","platform":"Semanticscholar","paperid":null,"PeriodicalName":"Cureus","FirstCategoryId":"1085","ListUrlMain":"https://doi.org/10.7759/cureus.93879","RegionNum":0,"RegionCategory":null,"ArticlePicture":[],"TitleCN":null,"AbstractTextCN":null,"PMCID":null,"EPubDate":"2025/10/1 0:00:00","PubModel":"eCollection","JCR":"Q3","JCRName":"MEDICINE, GENERAL & INTERNAL","Score":null,"Total":0}
引用次数: 0

摘要

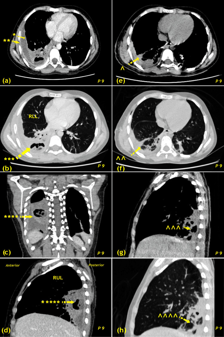
背景与目的胸膜脓肿是肺部感染的严重并发症,如果处理不当,发病率和死亡率都很高。虽然抗生素和引流在早期阶段是足够的,慢性脓胸往往需要手术干预。本研究评估了印度三级心脏中心早期开胸和去皮术治疗胸膜脓胸的结果。方法对2018 ~ 2024年9例早期开胸去皮患者进行回顾性观察研究。分析了人口统计学、影像学表现、病因、并发症、生存率和随访结果。采用Kaplan-Meier法评估生存率和无事件生存率。结果女性6例(66.7%),男性3例(33.3%)。4例患者行右侧去皮,4例左侧去皮,1例两侧去皮。6例(66.7%)有中度胸膜积液,3例(33.3%)有大量积液,9例(100%)胸膜增厚≥2 cm。病因包括非结核(TB; n = 7; 77.8%)和结核(n = 2; 22.2%)。术后出现并发症3例(33.3%),包括长时间漏气(n = 2)和创面浅表感染(n = 1)。1例(11.1%)患者死于院内肺炎、急性呼吸窘迫综合征和感染性休克。Kaplan-Meier估计30天生存率为88.9%,12个月时保持稳定。12个月无事件生存率为66.7%。中位住院时间为12天(范围8-21天)。在3 - 12个月的随访中,所有幸存者均表现出令人满意的肺再扩张,无复发。结论早期开胸去皮术是治疗晚期胸膜脓肿安全有效的方法,具有良好的生存和功能预后。尽管微创手术取得了进展,但对于某些患者,特别是结核病流行地区的患者,开胸手术仍然是必不可少的。
本文章由计算机程序翻译,如有差异,请以英文原文为准。

Early Thoracotomy and Decortication in Pleural Empyema.

Early Thoracotomy and Decortication in Pleural Empyema.

Early Thoracotomy and Decortication in Pleural Empyema.

Early Thoracotomy and Decortication in Pleural Empyema.

Background and aim Pleural empyema remains a serious complication of pulmonary infections, with high morbidity and mortality if not managed effectively. While antibiotics and drainage are sufficient in the early stages, chronic empyema often requires surgical intervention. This study evaluates the outcomes of early thoracotomy and decortication for pleural empyema at a tertiary cardiac center in India. Methods A retrospective observational study was conducted on nine patients who underwent early thoracotomy and decortication between 2018 and 2024. Demographics, radiological findings, etiology, complications, survival, and follow-up outcomes were analyzed. Survival and event-free survival were assessed using the Kaplan-Meier method. Results Six patients were female (66.7%), and three were male (33.3%). Four patients underwent right-sided, four left-sided, and one bilateral decortication. Six patients (66.7%) had moderate pleural fluid, three (33.3%) had large fluid collections, and all nine (100%) had pleural thickening ≥2 cm. Etiologies included non-tuberculosis (TB; n = 7; 77.8%) and TB (n = 2; 22.2%). Postoperative complications occurred in three patients (33.3%), including prolonged air leak (n = 2) and superficial wound infection (n = 1). One patient (11.1%) died from nosocomial pneumonia, acute respiratory distress syndrome, and septic shock. Kaplan-Meier estimated survival probability was 88.9% at 30 days and remained stable at 12 months. Event-free survival at 12 months was 66.7%. The median hospital stay was 12 days (range, 8-21). All survivors demonstrated satisfactory lung re-expansion with no recurrence during three to 12 months of follow-up. Conclusions Early thoracotomy and decortication is a safe and effective treatment for advanced-stage pleural empyema, yielding favorable survival and functional outcomes. Despite advances in minimally invasive surgery, thoracotomy remains indispensable for selected patients, particularly in TB-endemic regions.

求助全文
通过发布文献求助,成功后即可免费获取论文全文。 去求助
来源期刊
自引率
0.00%
发文量
0
×
引用
GB/T 7714-2015
复制
MLA
复制
APA
复制
导出至
BibTeX EndNote RefMan NoteFirst NoteExpress
×
提示
您的信息不完整,为了账户安全,请先补充。
现在去补充
×
提示
您因"违规操作"
具体请查看互助需知
我知道了
×
提示
确定
请完成安全验证×
copy
已复制链接
快去分享给好友吧!
我知道了
右上角分享
点击右上角分享
0
联系我们:info@booksci.cn Book学术提供免费学术资源搜索服务,方便国内外学者检索中英文文献。致力于提供最便捷和优质的服务体验。 Copyright © 2023 布克学术 All rights reserved.
京ICP备2023020795号-1
ghs 京公网安备 11010802042870号
Book学术文献互助
Book学术文献互助群
群 号:604180095
Book学术官方微信