OSA-424和OSA-55的体外表征:犬骨肉瘤研究的新模型。

IF 5.2 2区 农林科学 Q1 VETERINARY SCIENCES
Veterinary Quarterly Pub Date : 2025-12-01 Epub Date: 2025-10-06 DOI:10.1080/01652176.2025.2567523
Han Zhou, Xiao Wang, Talha Umar, Wenxuan Li, Lixin He, Wen Feng, Jinxin Zhang, Nuoer Chen, Ganzhen Deng, Changwei Qiu
{"title":"OSA-424和OSA-55的体外表征:犬骨肉瘤研究的新模型。","authors":"Han Zhou, Xiao Wang, Talha Umar, Wenxuan Li, Lixin He, Wen Feng, Jinxin Zhang, Nuoer Chen, Ganzhen Deng, Changwei Qiu","doi":"10.1080/01652176.2025.2567523","DOIUrl":null,"url":null,"abstract":"<p><p>Canine osteosarcoma (OSA) represents a highly aggressive malignancy known for its high rates of recurrence and metastatic potential. This study establishes and characterizes two novel OSA cell lines, OSA-424 and OSA-55, derived from osteoblastic and chondroblastic subtypes, respectively. We conducted a comparative analysis against the established canine chondrosarcoma line Mango. Comprehensive characterization included primary tumor imaging using computed tomography (CT) and magnetic resonance imaging (MRI), as well as histopathological evaluation and immunohistochemical (IHC) profiling. <i>In vitro</i>, functional analyses assessed cellular morphology, karyotypic stability, proliferative capacity, extracellular matrix (ECM) composition, proteomic profiling, migratory potential, invasive behavior, and <i>in vivo</i> tumorigenicity. Both cell lines demonstrated stable propagation beyond 40 passages while maintaining subtype-specific characteristics, with distinct ECM protein expression patterns identified. These validated cellular models provide essential resources for investigating the OSA heterogeneity and advancing the development of subtype-targeted therapeutics.</p>","PeriodicalId":51207,"journal":{"name":"Veterinary Quarterly","volume":"45 1","pages":"2567523"},"PeriodicalIF":5.2000,"publicationDate":"2025-12-01","publicationTypes":"Journal Article","fieldsOfStudy":null,"isOpenAccess":false,"openAccessPdf":"https://www.ncbi.nlm.nih.gov/pmc/articles/PMC12502111/pdf/","citationCount":"0","resultStr":"{\"title\":\"<i>In vitro</i> characterization of OSA-424 and OSA-55: new canine models for osteosarcoma research.\",\"authors\":\"Han Zhou, Xiao Wang, Talha Umar, Wenxuan Li, Lixin He, Wen Feng, Jinxin Zhang, Nuoer Chen, Ganzhen Deng, Changwei Qiu\",\"doi\":\"10.1080/01652176.2025.2567523\",\"DOIUrl\":null,\"url\":null,\"abstract\":\"<p><p>Canine osteosarcoma (OSA) represents a highly aggressive malignancy known for its high rates of recurrence and metastatic potential. This study establishes and characterizes two novel OSA cell lines, OSA-424 and OSA-55, derived from osteoblastic and chondroblastic subtypes, respectively. We conducted a comparative analysis against the established canine chondrosarcoma line Mango. Comprehensive characterization included primary tumor imaging using computed tomography (CT) and magnetic resonance imaging (MRI), as well as histopathological evaluation and immunohistochemical (IHC) profiling. <i>In vitro</i>, functional analyses assessed cellular morphology, karyotypic stability, proliferative capacity, extracellular matrix (ECM) composition, proteomic profiling, migratory potential, invasive behavior, and <i>in vivo</i> tumorigenicity. Both cell lines demonstrated stable propagation beyond 40 passages while maintaining subtype-specific characteristics, with distinct ECM protein expression patterns identified. These validated cellular models provide essential resources for investigating the OSA heterogeneity and advancing the development of subtype-targeted therapeutics.</p>\",\"PeriodicalId\":51207,\"journal\":{\"name\":\"Veterinary Quarterly\",\"volume\":\"45 1\",\"pages\":\"2567523\"},\"PeriodicalIF\":5.2000,\"publicationDate\":\"2025-12-01\",\"publicationTypes\":\"Journal Article\",\"fieldsOfStudy\":null,\"isOpenAccess\":false,\"openAccessPdf\":\"https://www.ncbi.nlm.nih.gov/pmc/articles/PMC12502111/pdf/\",\"citationCount\":\"0\",\"resultStr\":null,\"platform\":\"Semanticscholar\",\"paperid\":null,\"PeriodicalName\":\"Veterinary Quarterly\",\"FirstCategoryId\":\"97\",\"ListUrlMain\":\"https://doi.org/10.1080/01652176.2025.2567523\",\"RegionNum\":2,\"RegionCategory\":\"农林科学\",\"ArticlePicture\":[],\"TitleCN\":null,\"AbstractTextCN\":null,\"PMCID\":null,\"EPubDate\":\"2025/10/6 0:00:00\",\"PubModel\":\"Epub\",\"JCR\":\"Q1\",\"JCRName\":\"VETERINARY SCIENCES\",\"Score\":null,\"Total\":0}","platform":"Semanticscholar","paperid":null,"PeriodicalName":"Veterinary Quarterly","FirstCategoryId":"97","ListUrlMain":"https://doi.org/10.1080/01652176.2025.2567523","RegionNum":2,"RegionCategory":"农林科学","ArticlePicture":[],"TitleCN":null,"AbstractTextCN":null,"PMCID":null,"EPubDate":"2025/10/6 0:00:00","PubModel":"Epub","JCR":"Q1","JCRName":"VETERINARY SCIENCES","Score":null,"Total":0}
引用次数: 0

摘要

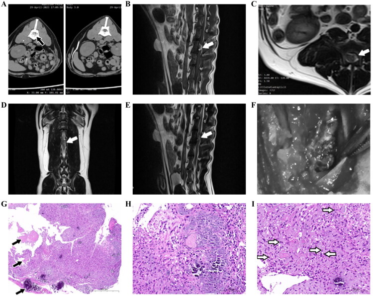
犬骨肉瘤(OSA)是一种高度侵袭性的恶性肿瘤,以其高复发率和转移潜力而闻名。本研究建立并鉴定了两种新的OSA细胞系,OSA-424和OSA-55,分别来源于成骨细胞和软骨细胞亚型。我们对已建立的犬软骨肉瘤细胞系芒果进行了比较分析。综合表征包括使用计算机断层扫描(CT)和磁共振成像(MRI)进行原发肿瘤成像,以及组织病理学评估和免疫组织化学(IHC)分析。在体外,功能分析评估了细胞形态、核型稳定性、增殖能力、细胞外基质(ECM)组成、蛋白质组学分析、迁移潜力、侵袭行为和体内致瘤性。两种细胞系均表现出超过40代的稳定繁殖,同时保持亚型特异性特征,并鉴定出不同的ECM蛋白表达模式。这些经过验证的细胞模型为研究OSA异质性和推进亚型靶向治疗的发展提供了必要的资源。
本文章由计算机程序翻译,如有差异,请以英文原文为准。

<i>In vitro</i> characterization of OSA-424 and OSA-55: new canine models for osteosarcoma research.

<i>In vitro</i> characterization of OSA-424 and OSA-55: new canine models for osteosarcoma research.

<i>In vitro</i> characterization of OSA-424 and OSA-55: new canine models for osteosarcoma research.

In vitro characterization of OSA-424 and OSA-55: new canine models for osteosarcoma research.

Canine osteosarcoma (OSA) represents a highly aggressive malignancy known for its high rates of recurrence and metastatic potential. This study establishes and characterizes two novel OSA cell lines, OSA-424 and OSA-55, derived from osteoblastic and chondroblastic subtypes, respectively. We conducted a comparative analysis against the established canine chondrosarcoma line Mango. Comprehensive characterization included primary tumor imaging using computed tomography (CT) and magnetic resonance imaging (MRI), as well as histopathological evaluation and immunohistochemical (IHC) profiling. In vitro, functional analyses assessed cellular morphology, karyotypic stability, proliferative capacity, extracellular matrix (ECM) composition, proteomic profiling, migratory potential, invasive behavior, and in vivo tumorigenicity. Both cell lines demonstrated stable propagation beyond 40 passages while maintaining subtype-specific characteristics, with distinct ECM protein expression patterns identified. These validated cellular models provide essential resources for investigating the OSA heterogeneity and advancing the development of subtype-targeted therapeutics.

求助全文
通过发布文献求助,成功后即可免费获取论文全文。 去求助
来源期刊
Veterinary Quarterly
Veterinary Quarterly VETERINARY SCIENCES-
CiteScore
13.10
自引率
1.60%
发文量
18
审稿时长
>24 weeks
期刊介绍: Veterinary Quarterly is an international open access journal which publishes high quality review articles and original research in the field of veterinary science and animal diseases. The journal publishes research on a range of different animal species and topics including: - Economically important species such as domesticated and non-domesticated farm animals, including avian and poultry diseases; - Companion animals (dogs, cats, horses, pocket pets and exotics); - Wildlife species; - Infectious diseases; - Diagnosis; - Treatment including pharmacology and vaccination
×
引用
GB/T 7714-2015
复制
MLA
复制
APA
复制
导出至
BibTeX EndNote RefMan NoteFirst NoteExpress
×
提示
您的信息不完整,为了账户安全,请先补充。
现在去补充
×
提示
您因"违规操作"
具体请查看互助需知
我知道了
×
提示
确定
请完成安全验证×
copy
已复制链接
快去分享给好友吧!
我知道了
右上角分享
点击右上角分享
0
联系我们:info@booksci.cn Book学术提供免费学术资源搜索服务,方便国内外学者检索中英文文献。致力于提供最便捷和优质的服务体验。 Copyright © 2023 布克学术 All rights reserved.
京ICP备2023020795号-1
ghs 京公网安备 11010802042870号
Book学术文献互助
Book学术文献互助群
群 号:604180095
Book学术官方微信