淀粉样心肌病表现为腹痛、背痛和便秘的胃肠道症状:1例报告。

IF 1.4 4区 医学 Q2 MEDICINE, GENERAL & INTERNAL
Yike Zhang, Tingting Zhang, Manli Zhao, Peichun Li, Jiangbo Xie
{"title":"淀粉样心肌病表现为腹痛、背痛和便秘的胃肠道症状:1例报告。","authors":"Yike Zhang, Tingting Zhang, Manli Zhao, Peichun Li, Jiangbo Xie","doi":"10.1097/MD.0000000000045049","DOIUrl":null,"url":null,"abstract":"<p><strong>Rationale: </strong>Amyloid cardiomyopathy (AC) is a rare and fatal condition, often with a delayed diagnosis due to its nonspecific initial presentations. This case underscores the diagnostic challenge and critical importance of early recognition when patients present with seemingly unrelated gastrointestinal symptoms.</p><p><strong>Patient concerns: </strong>A 48-year-old woman initially presented with abdominal pain, back pain, and constipation, which were managed as gastrointestinal disorders. Her condition progressed rapidly to include severe cardiac symptoms, including chest tightness and dyspnea.</p><p><strong>Diagnoses: </strong>Cardiac magnetic resonance imaging revealed findings indicative of AC, including left ventricular hypertrophy, diffuse delayed enhancement, and atrial enlargement. The diagnosis of immunoglobulin light chain amyloidosis was confirmed by endomyocardial biopsy, which was positive for κ light chains.</p><p><strong>Interventions: </strong>Supportive care for heart failure, including diuretics and beta-blockers, was initiated. However, specific therapies targeting the underlying immunoglobulin light chain amyloidosis could not be administered due to the patient's rapid clinical deterioration.</p><p><strong>Outcomes: </strong>The patient died 2 days after the pathological diagnosis was established, highlighting the aggressively progressive nature of the disease.</p><p><strong>Lessons: </strong>This case highlights that AC can manifest with prominent gastrointestinal symptoms before overt cardiac involvement. It is crucial to consider systemic amyloidosis in the differential diagnosis for patients with multisystem involvement, as early, multidisciplinary evaluation is essential for potentially improving outcomes in this fatal condition.</p>","PeriodicalId":18549,"journal":{"name":"Medicine","volume":"104 40","pages":"e45049"},"PeriodicalIF":1.4000,"publicationDate":"2025-10-03","publicationTypes":"Journal Article","fieldsOfStudy":null,"isOpenAccess":false,"openAccessPdf":"https://www.ncbi.nlm.nih.gov/pmc/articles/PMC12499654/pdf/","citationCount":"0","resultStr":"{\"title\":\"Amyloid cardiomyopathy presenting with gastrointestinal symptoms of abdominal pain, back pain, and constipation: A case report.\",\"authors\":\"Yike Zhang, Tingting Zhang, Manli Zhao, Peichun Li, Jiangbo Xie\",\"doi\":\"10.1097/MD.0000000000045049\",\"DOIUrl\":null,\"url\":null,\"abstract\":\"<p><strong>Rationale: </strong>Amyloid cardiomyopathy (AC) is a rare and fatal condition, often with a delayed diagnosis due to its nonspecific initial presentations. This case underscores the diagnostic challenge and critical importance of early recognition when patients present with seemingly unrelated gastrointestinal symptoms.</p><p><strong>Patient concerns: </strong>A 48-year-old woman initially presented with abdominal pain, back pain, and constipation, which were managed as gastrointestinal disorders. Her condition progressed rapidly to include severe cardiac symptoms, including chest tightness and dyspnea.</p><p><strong>Diagnoses: </strong>Cardiac magnetic resonance imaging revealed findings indicative of AC, including left ventricular hypertrophy, diffuse delayed enhancement, and atrial enlargement. The diagnosis of immunoglobulin light chain amyloidosis was confirmed by endomyocardial biopsy, which was positive for κ light chains.</p><p><strong>Interventions: </strong>Supportive care for heart failure, including diuretics and beta-blockers, was initiated. However, specific therapies targeting the underlying immunoglobulin light chain amyloidosis could not be administered due to the patient's rapid clinical deterioration.</p><p><strong>Outcomes: </strong>The patient died 2 days after the pathological diagnosis was established, highlighting the aggressively progressive nature of the disease.</p><p><strong>Lessons: </strong>This case highlights that AC can manifest with prominent gastrointestinal symptoms before overt cardiac involvement. It is crucial to consider systemic amyloidosis in the differential diagnosis for patients with multisystem involvement, as early, multidisciplinary evaluation is essential for potentially improving outcomes in this fatal condition.</p>\",\"PeriodicalId\":18549,\"journal\":{\"name\":\"Medicine\",\"volume\":\"104 40\",\"pages\":\"e45049\"},\"PeriodicalIF\":1.4000,\"publicationDate\":\"2025-10-03\",\"publicationTypes\":\"Journal Article\",\"fieldsOfStudy\":null,\"isOpenAccess\":false,\"openAccessPdf\":\"https://www.ncbi.nlm.nih.gov/pmc/articles/PMC12499654/pdf/\",\"citationCount\":\"0\",\"resultStr\":null,\"platform\":\"Semanticscholar\",\"paperid\":null,\"PeriodicalName\":\"Medicine\",\"FirstCategoryId\":\"3\",\"ListUrlMain\":\"https://doi.org/10.1097/MD.0000000000045049\",\"RegionNum\":4,\"RegionCategory\":\"医学\",\"ArticlePicture\":[],\"TitleCN\":null,\"AbstractTextCN\":null,\"PMCID\":null,\"EPubDate\":\"\",\"PubModel\":\"\",\"JCR\":\"Q2\",\"JCRName\":\"MEDICINE, GENERAL & INTERNAL\",\"Score\":null,\"Total\":0}","platform":"Semanticscholar","paperid":null,"PeriodicalName":"Medicine","FirstCategoryId":"3","ListUrlMain":"https://doi.org/10.1097/MD.0000000000045049","RegionNum":4,"RegionCategory":"医学","ArticlePicture":[],"TitleCN":null,"AbstractTextCN":null,"PMCID":null,"EPubDate":"","PubModel":"","JCR":"Q2","JCRName":"MEDICINE, GENERAL & INTERNAL","Score":null,"Total":0}
引用次数: 0

摘要

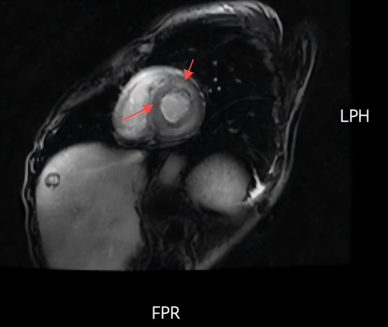
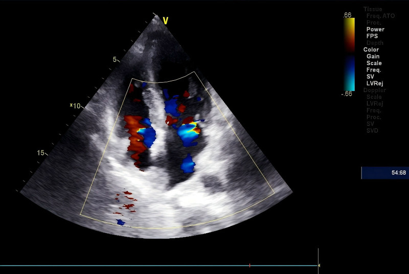
理由:淀粉样心肌病(AC)是一种罕见且致命的疾病,通常由于其非特异性的初始表现而延迟诊断。这个病例强调了诊断的挑战和早期识别的重要性,当患者出现看似不相关的胃肠道症状。患者关注:一名48岁女性,最初表现为腹痛、背痛和便秘,经胃肠道疾病处理。她的病情进展迅速,出现严重的心脏症状,包括胸闷和呼吸困难。诊断:心脏磁共振成像显示AC征象,包括左心室肥厚、弥漫性延迟强化和心房增大。免疫球蛋白轻链淀粉样变性经心肌内膜活检证实,κ轻链阳性。干预措施:支持治疗心力衰竭,包括利尿剂和-受体阻滞剂,开始。然而,由于患者的快速临床恶化,无法对潜在的免疫球蛋白轻链淀粉样变性进行特异性治疗。结果:患者在病理诊断确定2天后死亡,突出了疾病的侵袭性进展性质。经验教训:本病例强调AC在明显累及心脏之前可表现为明显的胃肠道症状。在多系统累及患者的鉴别诊断中考虑全身性淀粉样变性是至关重要的,因为早期的多学科评估对于潜在地改善这种致命疾病的预后至关重要。
本文章由计算机程序翻译,如有差异,请以英文原文为准。

Amyloid cardiomyopathy presenting with gastrointestinal symptoms of abdominal pain, back pain, and constipation: A case report.

Amyloid cardiomyopathy presenting with gastrointestinal symptoms of abdominal pain, back pain, and constipation: A case report.

Amyloid cardiomyopathy presenting with gastrointestinal symptoms of abdominal pain, back pain, and constipation: A case report.

Amyloid cardiomyopathy presenting with gastrointestinal symptoms of abdominal pain, back pain, and constipation: A case report.

Rationale: Amyloid cardiomyopathy (AC) is a rare and fatal condition, often with a delayed diagnosis due to its nonspecific initial presentations. This case underscores the diagnostic challenge and critical importance of early recognition when patients present with seemingly unrelated gastrointestinal symptoms.

Patient concerns: A 48-year-old woman initially presented with abdominal pain, back pain, and constipation, which were managed as gastrointestinal disorders. Her condition progressed rapidly to include severe cardiac symptoms, including chest tightness and dyspnea.

Diagnoses: Cardiac magnetic resonance imaging revealed findings indicative of AC, including left ventricular hypertrophy, diffuse delayed enhancement, and atrial enlargement. The diagnosis of immunoglobulin light chain amyloidosis was confirmed by endomyocardial biopsy, which was positive for κ light chains.

Interventions: Supportive care for heart failure, including diuretics and beta-blockers, was initiated. However, specific therapies targeting the underlying immunoglobulin light chain amyloidosis could not be administered due to the patient's rapid clinical deterioration.

Outcomes: The patient died 2 days after the pathological diagnosis was established, highlighting the aggressively progressive nature of the disease.

Lessons: This case highlights that AC can manifest with prominent gastrointestinal symptoms before overt cardiac involvement. It is crucial to consider systemic amyloidosis in the differential diagnosis for patients with multisystem involvement, as early, multidisciplinary evaluation is essential for potentially improving outcomes in this fatal condition.

求助全文
通过发布文献求助,成功后即可免费获取论文全文。 去求助
来源期刊
Medicine
Medicine 医学-医学:内科
CiteScore
2.80
自引率
0.00%
发文量
4342
审稿时长
>12 weeks
期刊介绍: Medicine is now a fully open access journal, providing authors with a distinctive new service offering continuous publication of original research across a broad spectrum of medical scientific disciplines and sub-specialties. As an open access title, Medicine will continue to provide authors with an established, trusted platform for the publication of their work. To ensure the ongoing quality of Medicine’s content, the peer-review process will only accept content that is scientifically, technically and ethically sound, and in compliance with standard reporting guidelines.
×
引用
GB/T 7714-2015
复制
MLA
复制
APA
复制
导出至
BibTeX EndNote RefMan NoteFirst NoteExpress
×
提示
您的信息不完整,为了账户安全,请先补充。
现在去补充
×
提示
您因"违规操作"
具体请查看互助需知
我知道了
×
提示
确定
请完成安全验证×
copy
已复制链接
快去分享给好友吧!
我知道了
右上角分享
点击右上角分享
0
联系我们:info@booksci.cn Book学术提供免费学术资源搜索服务,方便国内外学者检索中英文文献。致力于提供最便捷和优质的服务体验。 Copyright © 2023 布克学术 All rights reserved.
京ICP备2023020795号-1
ghs 京公网安备 11010802042870号
Book学术文献互助
Book学术文献互助群
群 号:604180095
Book学术官方微信