新一代宏基因组测序揭示了肺脓肿中的连翘单宁菌:吸烟、口腔健康和诊断挑战之间的回顾性病例系列。

IF 2.9 3区 医学 Q2 INFECTIOUS DISEASES
Infection and Drug Resistance Pub Date : 2025-10-01 eCollection Date: 2025-01-01 DOI:10.2147/IDR.S542032
Wen Wang, Qiongya Mo, Xuchun Ding, Junjie Pan
{"title":"新一代宏基因组测序揭示了肺脓肿中的连翘单宁菌:吸烟、口腔健康和诊断挑战之间的回顾性病例系列。","authors":"Wen Wang, Qiongya Mo, Xuchun Ding, Junjie Pan","doi":"10.2147/IDR.S542032","DOIUrl":null,"url":null,"abstract":"<p><strong>Purpose: </strong><i>Tannerella forsythia (T. forsythia)</i> is a Gram-negative anaerobic bacterium commonly found in the oral cavity of patients with periodontitis, but lung abscesses caused by this pathogen are extremely rare in the literature. This study aimed to characterize the clinical features, diagnostic challenges, and treatment outcomes of <i>T. forsythia-associated</i> lung abscesses through four case analyses.</p><p><strong>Patients and methods: </strong>We retrospectively reviewed four patients treated between April 2023 and May 2024 with lung abscesses confirmed by chest computed tomography (CT) and <i>T. forsythia</i> detection via metagenomic next-generation sequencing (mNGS) of bronchoalveolar lavage fluid (BALF). Conventional cultures were performed but yielded negative results. Clinical data, including demographics, symptoms, imaging findings, and treatment regimens, were analyzed.</p><p><strong>Results: </strong>All patients had oral diseases, and 75% were long-term smokers. The primary clinical manifestations were nonspecific respiratory symptoms, including cough, fever, chest pain, and hemoptysis. Chest CT revealed consolidation and cavitation in the upper lobes of the lungs. <i>T. forsythia</i> was successfully detected by mNGS of BALF, while conventional cultures failed to identify pathogens in all cases. All patients received combination antibiotic therapy based on metronidazole and piperacillin-tazobactam, with some cases requiring additional antibiotics. Following treatment, significant clinical improvement was observed, and follow-up imaging demonstrated gradual resolution of the lesions.</p><p><strong>Conclusion: </strong>This study is limited by its small sample size and the lack of confirmatory tests, which warrant validation in larger prospective cohorts. Our findings highlight the advantages of mNGS in detecting fastidious pathogens (such as the anaerobic bacterium <i>T. forsythia</i>), providing new insights for the diagnosis of similar infections in the future. Additionally, the results identify smoking and poor oral health as common features that may be associated with the development of <i>T. forsythia-associated</i> lung abscesses.</p>","PeriodicalId":13577,"journal":{"name":"Infection and Drug Resistance","volume":"18 ","pages":"5193-5205"},"PeriodicalIF":2.9000,"publicationDate":"2025-10-01","publicationTypes":"Journal Article","fieldsOfStudy":null,"isOpenAccess":false,"openAccessPdf":"https://www.ncbi.nlm.nih.gov/pmc/articles/PMC12497371/pdf/","citationCount":"0","resultStr":"{\"title\":\"Metagenomic Next-Generation Sequencing Reveals <i>Tannerella forsythia</i> in Lung Abscesses: A Retrospective Case Series Linking Smoking, Oral Health, and Diagnostic Challenges.\",\"authors\":\"Wen Wang, Qiongya Mo, Xuchun Ding, Junjie Pan\",\"doi\":\"10.2147/IDR.S542032\",\"DOIUrl\":null,\"url\":null,\"abstract\":\"<p><strong>Purpose: </strong><i>Tannerella forsythia (T. forsythia)</i> is a Gram-negative anaerobic bacterium commonly found in the oral cavity of patients with periodontitis, but lung abscesses caused by this pathogen are extremely rare in the literature. This study aimed to characterize the clinical features, diagnostic challenges, and treatment outcomes of <i>T. forsythia-associated</i> lung abscesses through four case analyses.</p><p><strong>Patients and methods: </strong>We retrospectively reviewed four patients treated between April 2023 and May 2024 with lung abscesses confirmed by chest computed tomography (CT) and <i>T. forsythia</i> detection via metagenomic next-generation sequencing (mNGS) of bronchoalveolar lavage fluid (BALF). Conventional cultures were performed but yielded negative results. Clinical data, including demographics, symptoms, imaging findings, and treatment regimens, were analyzed.</p><p><strong>Results: </strong>All patients had oral diseases, and 75% were long-term smokers. The primary clinical manifestations were nonspecific respiratory symptoms, including cough, fever, chest pain, and hemoptysis. Chest CT revealed consolidation and cavitation in the upper lobes of the lungs. <i>T. forsythia</i> was successfully detected by mNGS of BALF, while conventional cultures failed to identify pathogens in all cases. All patients received combination antibiotic therapy based on metronidazole and piperacillin-tazobactam, with some cases requiring additional antibiotics. Following treatment, significant clinical improvement was observed, and follow-up imaging demonstrated gradual resolution of the lesions.</p><p><strong>Conclusion: </strong>This study is limited by its small sample size and the lack of confirmatory tests, which warrant validation in larger prospective cohorts. Our findings highlight the advantages of mNGS in detecting fastidious pathogens (such as the anaerobic bacterium <i>T. forsythia</i>), providing new insights for the diagnosis of similar infections in the future. Additionally, the results identify smoking and poor oral health as common features that may be associated with the development of <i>T. forsythia-associated</i> lung abscesses.</p>\",\"PeriodicalId\":13577,\"journal\":{\"name\":\"Infection and Drug Resistance\",\"volume\":\"18 \",\"pages\":\"5193-5205\"},\"PeriodicalIF\":2.9000,\"publicationDate\":\"2025-10-01\",\"publicationTypes\":\"Journal Article\",\"fieldsOfStudy\":null,\"isOpenAccess\":false,\"openAccessPdf\":\"https://www.ncbi.nlm.nih.gov/pmc/articles/PMC12497371/pdf/\",\"citationCount\":\"0\",\"resultStr\":null,\"platform\":\"Semanticscholar\",\"paperid\":null,\"PeriodicalName\":\"Infection and Drug Resistance\",\"FirstCategoryId\":\"3\",\"ListUrlMain\":\"https://doi.org/10.2147/IDR.S542032\",\"RegionNum\":3,\"RegionCategory\":\"医学\",\"ArticlePicture\":[],\"TitleCN\":null,\"AbstractTextCN\":null,\"PMCID\":null,\"EPubDate\":\"2025/1/1 0:00:00\",\"PubModel\":\"eCollection\",\"JCR\":\"Q2\",\"JCRName\":\"INFECTIOUS DISEASES\",\"Score\":null,\"Total\":0}","platform":"Semanticscholar","paperid":null,"PeriodicalName":"Infection and Drug Resistance","FirstCategoryId":"3","ListUrlMain":"https://doi.org/10.2147/IDR.S542032","RegionNum":3,"RegionCategory":"医学","ArticlePicture":[],"TitleCN":null,"AbstractTextCN":null,"PMCID":null,"EPubDate":"2025/1/1 0:00:00","PubModel":"eCollection","JCR":"Q2","JCRName":"INFECTIOUS DISEASES","Score":null,"Total":0}
引用次数: 0

摘要

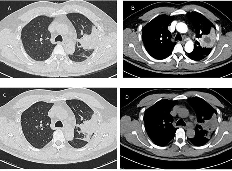
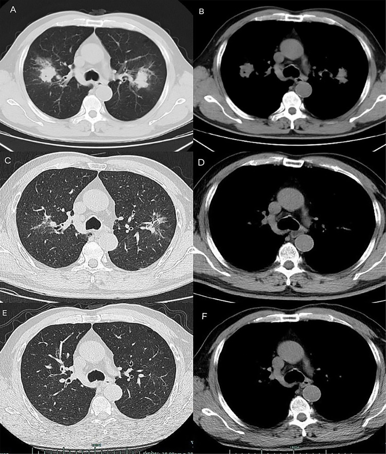
目的:连翘Tannerella forsythia (T. forsythia)是一种常见于牙周炎患者口腔的革兰氏阴性厌氧菌,但由该病原体引起的肺脓肿在文献中极为罕见。本研究旨在通过四个病例分析来描述连翘相关肺脓肿的临床特征、诊断挑战和治疗结果。患者和方法:我们回顾性分析了2023年4月至2024年5月期间接受胸部计算机断层扫描(CT)和支气管肺泡灌洗液(BALF)元基因组新一代测序(mNGS)检测的4例肺脓肿患者。进行常规培养,但结果为阴性。分析临床资料,包括人口统计学、症状、影像学表现和治疗方案。结果:所有患者均有口腔疾病,其中75%为长期吸烟者。主要临床表现为非特异性呼吸道症状,包括咳嗽、发热、胸痛和咯血。胸部CT示肺上叶实变及空化。BALF的mNGS成功检测到连翘,而常规培养在所有情况下都无法识别病原体。所有患者均接受基于甲硝唑和哌拉西林-他唑巴坦的联合抗生素治疗,一些病例需要额外的抗生素。治疗后,观察到明显的临床改善,随访影像学显示病变逐渐消退。结论:本研究受样本量小和缺乏验证性试验的限制,需要在更大的前瞻性队列中进行验证。我们的研究结果突出了mNGS在检测挑剔病原体(如厌氧菌T.连翘)方面的优势,为未来类似感染的诊断提供了新的见解。此外,结果确定吸烟和口腔健康状况不佳是可能与连翘相关肺脓肿发展相关的共同特征。
本文章由计算机程序翻译,如有差异,请以英文原文为准。

Metagenomic Next-Generation Sequencing Reveals <i>Tannerella forsythia</i> in Lung Abscesses: A Retrospective Case Series Linking Smoking, Oral Health, and Diagnostic Challenges.

Metagenomic Next-Generation Sequencing Reveals <i>Tannerella forsythia</i> in Lung Abscesses: A Retrospective Case Series Linking Smoking, Oral Health, and Diagnostic Challenges.

Metagenomic Next-Generation Sequencing Reveals <i>Tannerella forsythia</i> in Lung Abscesses: A Retrospective Case Series Linking Smoking, Oral Health, and Diagnostic Challenges.

Metagenomic Next-Generation Sequencing Reveals Tannerella forsythia in Lung Abscesses: A Retrospective Case Series Linking Smoking, Oral Health, and Diagnostic Challenges.

Purpose: Tannerella forsythia (T. forsythia) is a Gram-negative anaerobic bacterium commonly found in the oral cavity of patients with periodontitis, but lung abscesses caused by this pathogen are extremely rare in the literature. This study aimed to characterize the clinical features, diagnostic challenges, and treatment outcomes of T. forsythia-associated lung abscesses through four case analyses.

Patients and methods: We retrospectively reviewed four patients treated between April 2023 and May 2024 with lung abscesses confirmed by chest computed tomography (CT) and T. forsythia detection via metagenomic next-generation sequencing (mNGS) of bronchoalveolar lavage fluid (BALF). Conventional cultures were performed but yielded negative results. Clinical data, including demographics, symptoms, imaging findings, and treatment regimens, were analyzed.

Results: All patients had oral diseases, and 75% were long-term smokers. The primary clinical manifestations were nonspecific respiratory symptoms, including cough, fever, chest pain, and hemoptysis. Chest CT revealed consolidation and cavitation in the upper lobes of the lungs. T. forsythia was successfully detected by mNGS of BALF, while conventional cultures failed to identify pathogens in all cases. All patients received combination antibiotic therapy based on metronidazole and piperacillin-tazobactam, with some cases requiring additional antibiotics. Following treatment, significant clinical improvement was observed, and follow-up imaging demonstrated gradual resolution of the lesions.

Conclusion: This study is limited by its small sample size and the lack of confirmatory tests, which warrant validation in larger prospective cohorts. Our findings highlight the advantages of mNGS in detecting fastidious pathogens (such as the anaerobic bacterium T. forsythia), providing new insights for the diagnosis of similar infections in the future. Additionally, the results identify smoking and poor oral health as common features that may be associated with the development of T. forsythia-associated lung abscesses.

求助全文
通过发布文献求助,成功后即可免费获取论文全文。 去求助
来源期刊
Infection and Drug Resistance
Infection and Drug Resistance Medicine-Pharmacology (medical)
CiteScore
5.60
自引率
7.70%
发文量
826
审稿时长
16 weeks
期刊介绍: About Journal Editors Peer Reviewers Articles Article Publishing Charges Aims and Scope Call For Papers ISSN: 1178-6973 Editor-in-Chief: Professor Suresh Antony An international, peer-reviewed, open access journal that focuses on the optimal treatment of infection (bacterial, fungal and viral) and the development and institution of preventative strategies to minimize the development and spread of resistance.
×
引用
GB/T 7714-2015
复制
MLA
复制
APA
复制
导出至
BibTeX EndNote RefMan NoteFirst NoteExpress
×
提示
您的信息不完整,为了账户安全,请先补充。
现在去补充
×
提示
您因"违规操作"
具体请查看互助需知
我知道了
×
提示
确定
请完成安全验证×
copy
已复制链接
快去分享给好友吧!
我知道了
右上角分享
点击右上角分享
0
联系我们:info@booksci.cn Book学术提供免费学术资源搜索服务,方便国内外学者检索中英文文献。致力于提供最便捷和优质的服务体验。 Copyright © 2023 布克学术 All rights reserved.
京ICP备2023020795号-1
ghs 京公网安备 11010802042870号
Book学术文献互助
Book学术文献互助群
群 号:604180095
Book学术官方微信