阑尾神经内分泌肿瘤伴阑尾黏液囊肿:在乳腺肿瘤监测中偶然发现。

IF 0.5 Q4 SURGERY
Journal of Surgical Case Reports Pub Date : 2025-10-04 eCollection Date: 2025-10-01 DOI:10.1093/jscr/rjaf787
Yassine Hamdaoui, Mohamed El Hammouti, Zakaria Saber, Mohammed Doumar, Ayoub Kharkhach, Tariq Bouhout, Badr Serji
{"title":"阑尾神经内分泌肿瘤伴阑尾黏液囊肿:在乳腺肿瘤监测中偶然发现。","authors":"Yassine Hamdaoui, Mohamed El Hammouti, Zakaria Saber, Mohammed Doumar, Ayoub Kharkhach, Tariq Bouhout, Badr Serji","doi":"10.1093/jscr/rjaf787","DOIUrl":null,"url":null,"abstract":"<p><p>Neuroendocrine tumors of the appendix are rare but clinically significant tumors, often discovered incidentally during surgical procedures or radiological investigations for other abdominal conditions. When they occur in association with an appendiceal mucocele, another uncommon entity characterized by abnormal dilation of the appendix due to mucus accumulation, these concurrent findings can present diagnostic and therapeutic challenges. Herein, we report the case of a 54-years-old female, previously diagnosed and treated for early-stage breast cancer. During routine surveillance, an abdominal ultrasound revealed a suspicious mass in the region of the appendix. The patient underwent abdominal computed tomography followed by abdominal magnetic resonance imaging, which demonstrated a heterogeneous mass in the right lower quadrant. The patient underwent an appendectomy and resection of the tumor.</p>","PeriodicalId":47321,"journal":{"name":"Journal of Surgical Case Reports","volume":"2025 10","pages":"rjaf787"},"PeriodicalIF":0.5000,"publicationDate":"2025-10-04","publicationTypes":"Journal Article","fieldsOfStudy":null,"isOpenAccess":false,"openAccessPdf":"https://www.ncbi.nlm.nih.gov/pmc/articles/PMC12496011/pdf/","citationCount":"0","resultStr":"{\"title\":\"Neuroendocrine tumor of the appendix associated with an appendiceal mucocele: an incidental discovery during breast tumor surveillance.\",\"authors\":\"Yassine Hamdaoui, Mohamed El Hammouti, Zakaria Saber, Mohammed Doumar, Ayoub Kharkhach, Tariq Bouhout, Badr Serji\",\"doi\":\"10.1093/jscr/rjaf787\",\"DOIUrl\":null,\"url\":null,\"abstract\":\"<p><p>Neuroendocrine tumors of the appendix are rare but clinically significant tumors, often discovered incidentally during surgical procedures or radiological investigations for other abdominal conditions. When they occur in association with an appendiceal mucocele, another uncommon entity characterized by abnormal dilation of the appendix due to mucus accumulation, these concurrent findings can present diagnostic and therapeutic challenges. Herein, we report the case of a 54-years-old female, previously diagnosed and treated for early-stage breast cancer. During routine surveillance, an abdominal ultrasound revealed a suspicious mass in the region of the appendix. The patient underwent abdominal computed tomography followed by abdominal magnetic resonance imaging, which demonstrated a heterogeneous mass in the right lower quadrant. The patient underwent an appendectomy and resection of the tumor.</p>\",\"PeriodicalId\":47321,\"journal\":{\"name\":\"Journal of Surgical Case Reports\",\"volume\":\"2025 10\",\"pages\":\"rjaf787\"},\"PeriodicalIF\":0.5000,\"publicationDate\":\"2025-10-04\",\"publicationTypes\":\"Journal Article\",\"fieldsOfStudy\":null,\"isOpenAccess\":false,\"openAccessPdf\":\"https://www.ncbi.nlm.nih.gov/pmc/articles/PMC12496011/pdf/\",\"citationCount\":\"0\",\"resultStr\":null,\"platform\":\"Semanticscholar\",\"paperid\":null,\"PeriodicalName\":\"Journal of Surgical Case Reports\",\"FirstCategoryId\":\"1085\",\"ListUrlMain\":\"https://doi.org/10.1093/jscr/rjaf787\",\"RegionNum\":0,\"RegionCategory\":null,\"ArticlePicture\":[],\"TitleCN\":null,\"AbstractTextCN\":null,\"PMCID\":null,\"EPubDate\":\"2025/10/1 0:00:00\",\"PubModel\":\"eCollection\",\"JCR\":\"Q4\",\"JCRName\":\"SURGERY\",\"Score\":null,\"Total\":0}","platform":"Semanticscholar","paperid":null,"PeriodicalName":"Journal of Surgical Case Reports","FirstCategoryId":"1085","ListUrlMain":"https://doi.org/10.1093/jscr/rjaf787","RegionNum":0,"RegionCategory":null,"ArticlePicture":[],"TitleCN":null,"AbstractTextCN":null,"PMCID":null,"EPubDate":"2025/10/1 0:00:00","PubModel":"eCollection","JCR":"Q4","JCRName":"SURGERY","Score":null,"Total":0}
引用次数: 0

摘要

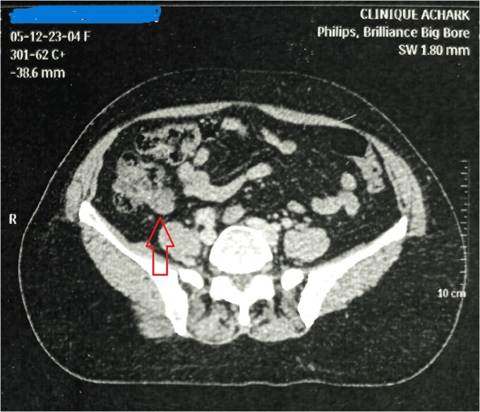
阑尾的神经内分泌肿瘤是一种罕见但具有临床意义的肿瘤,通常在外科手术或其他腹部疾病的放射检查中偶然发现。当它们与阑尾粘液囊肿(另一种罕见的实体,其特征是由于粘液积聚而导致阑尾异常扩张)合并时,这些并发表现可能会给诊断和治疗带来挑战。在这里,我们报告一个54岁的女性,以前诊断和治疗早期乳腺癌。在常规检查中,腹部超声显示阑尾区域有可疑肿块。患者接受了腹部计算机断层扫描和腹部磁共振成像,显示右下象限有一个不均匀的肿块。病人接受了阑尾切除术和肿瘤切除术。
本文章由计算机程序翻译,如有差异,请以英文原文为准。

Neuroendocrine tumor of the appendix associated with an appendiceal mucocele: an incidental discovery during breast tumor surveillance.

Neuroendocrine tumor of the appendix associated with an appendiceal mucocele: an incidental discovery during breast tumor surveillance.

Neuroendocrine tumor of the appendix associated with an appendiceal mucocele: an incidental discovery during breast tumor surveillance.

Neuroendocrine tumor of the appendix associated with an appendiceal mucocele: an incidental discovery during breast tumor surveillance.

Neuroendocrine tumors of the appendix are rare but clinically significant tumors, often discovered incidentally during surgical procedures or radiological investigations for other abdominal conditions. When they occur in association with an appendiceal mucocele, another uncommon entity characterized by abnormal dilation of the appendix due to mucus accumulation, these concurrent findings can present diagnostic and therapeutic challenges. Herein, we report the case of a 54-years-old female, previously diagnosed and treated for early-stage breast cancer. During routine surveillance, an abdominal ultrasound revealed a suspicious mass in the region of the appendix. The patient underwent abdominal computed tomography followed by abdominal magnetic resonance imaging, which demonstrated a heterogeneous mass in the right lower quadrant. The patient underwent an appendectomy and resection of the tumor.

求助全文
通过发布文献求助,成功后即可免费获取论文全文。 去求助
来源期刊
CiteScore
0.70
自引率
0.00%
发文量
559
审稿时长
11 weeks
×
引用
GB/T 7714-2015
复制
MLA
复制
APA
复制
导出至
BibTeX EndNote RefMan NoteFirst NoteExpress
×
提示
您的信息不完整,为了账户安全,请先补充。
现在去补充
×
提示
您因"违规操作"
具体请查看互助需知
我知道了
×
提示
确定
请完成安全验证×
copy
已复制链接
快去分享给好友吧!
我知道了
右上角分享
点击右上角分享
0
联系我们:info@booksci.cn Book学术提供免费学术资源搜索服务,方便国内外学者检索中英文文献。致力于提供最便捷和优质的服务体验。 Copyright © 2023 布克学术 All rights reserved.
京ICP备2023020795号-1
ghs 京公网安备 11010802042870号
Book学术文献互助
Book学术文献互助群
群 号:604180095
Book学术官方微信