尿道远端淋巴上皮瘤样癌1例报告及治疗策略。

IF 0.5 Q4 SURGERY
Journal of Surgical Case Reports Pub Date : 2025-10-03 eCollection Date: 2025-10-01 DOI:10.1093/jscr/rjaf785
Ramiro Fonseca, José Ignacio Perez Reggeti, Cristina Ferreiro Pareja, Gabriela Paganini, Marcial Berrios-Quinteros, Gilberto Eduardo Chechile, Nahuel Paesano
{"title":"尿道远端淋巴上皮瘤样癌1例报告及治疗策略。","authors":"Ramiro Fonseca, José Ignacio Perez Reggeti, Cristina Ferreiro Pareja, Gabriela Paganini, Marcial Berrios-Quinteros, Gilberto Eduardo Chechile, Nahuel Paesano","doi":"10.1093/jscr/rjaf785","DOIUrl":null,"url":null,"abstract":"<p><p>Lymphoepithelioma-like carcinoma (LELC) of the urethra is an exceptionally rare and aggressive neoplasm, with limited evidence available to inform optimal management. We present the case of a 63-year-old male diagnosed with high-grade urethral LELC, who presented with locally advanced disease. The patient underwent partial penectomy with bilateral inguinal lymphadenectomy, followed by systemic chemotherapy and immunotherapy. This case underscores the importance of a multidisciplinary approach combining surgical resection with systemic therapy in the management of aggressive urethral malignancies. Given the paucity of literature on urethral LELC, additional case reports are critical to enhance our understanding and to develop evidence-based treatment strategies for this rare entity.</p>","PeriodicalId":47321,"journal":{"name":"Journal of Surgical Case Reports","volume":"2025 10","pages":"rjaf785"},"PeriodicalIF":0.5000,"publicationDate":"2025-10-03","publicationTypes":"Journal Article","fieldsOfStudy":null,"isOpenAccess":false,"openAccessPdf":"https://www.ncbi.nlm.nih.gov/pmc/articles/PMC12494208/pdf/","citationCount":"0","resultStr":"{\"title\":\"Lymphoepithelioma-like carcinoma of the distal urethra: a case report and management strategies.\",\"authors\":\"Ramiro Fonseca, José Ignacio Perez Reggeti, Cristina Ferreiro Pareja, Gabriela Paganini, Marcial Berrios-Quinteros, Gilberto Eduardo Chechile, Nahuel Paesano\",\"doi\":\"10.1093/jscr/rjaf785\",\"DOIUrl\":null,\"url\":null,\"abstract\":\"<p><p>Lymphoepithelioma-like carcinoma (LELC) of the urethra is an exceptionally rare and aggressive neoplasm, with limited evidence available to inform optimal management. We present the case of a 63-year-old male diagnosed with high-grade urethral LELC, who presented with locally advanced disease. The patient underwent partial penectomy with bilateral inguinal lymphadenectomy, followed by systemic chemotherapy and immunotherapy. This case underscores the importance of a multidisciplinary approach combining surgical resection with systemic therapy in the management of aggressive urethral malignancies. Given the paucity of literature on urethral LELC, additional case reports are critical to enhance our understanding and to develop evidence-based treatment strategies for this rare entity.</p>\",\"PeriodicalId\":47321,\"journal\":{\"name\":\"Journal of Surgical Case Reports\",\"volume\":\"2025 10\",\"pages\":\"rjaf785\"},\"PeriodicalIF\":0.5000,\"publicationDate\":\"2025-10-03\",\"publicationTypes\":\"Journal Article\",\"fieldsOfStudy\":null,\"isOpenAccess\":false,\"openAccessPdf\":\"https://www.ncbi.nlm.nih.gov/pmc/articles/PMC12494208/pdf/\",\"citationCount\":\"0\",\"resultStr\":null,\"platform\":\"Semanticscholar\",\"paperid\":null,\"PeriodicalName\":\"Journal of Surgical Case Reports\",\"FirstCategoryId\":\"1085\",\"ListUrlMain\":\"https://doi.org/10.1093/jscr/rjaf785\",\"RegionNum\":0,\"RegionCategory\":null,\"ArticlePicture\":[],\"TitleCN\":null,\"AbstractTextCN\":null,\"PMCID\":null,\"EPubDate\":\"2025/10/1 0:00:00\",\"PubModel\":\"eCollection\",\"JCR\":\"Q4\",\"JCRName\":\"SURGERY\",\"Score\":null,\"Total\":0}","platform":"Semanticscholar","paperid":null,"PeriodicalName":"Journal of Surgical Case Reports","FirstCategoryId":"1085","ListUrlMain":"https://doi.org/10.1093/jscr/rjaf785","RegionNum":0,"RegionCategory":null,"ArticlePicture":[],"TitleCN":null,"AbstractTextCN":null,"PMCID":null,"EPubDate":"2025/10/1 0:00:00","PubModel":"eCollection","JCR":"Q4","JCRName":"SURGERY","Score":null,"Total":0}
引用次数: 0

摘要

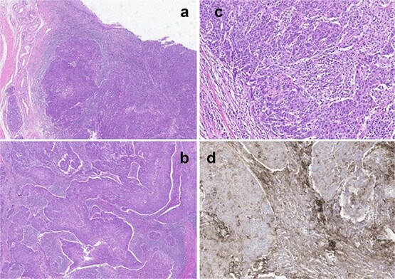
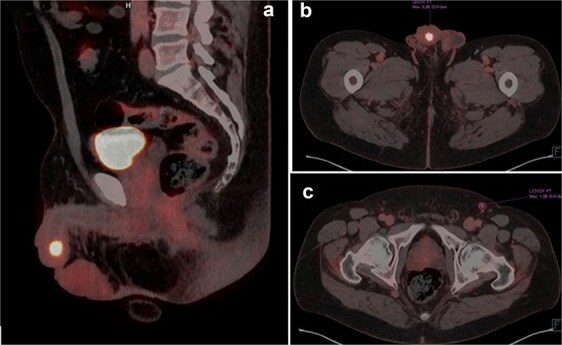
尿道淋巴上皮瘤样癌(LELC)是一种非常罕见的侵袭性肿瘤,目前尚无证据表明其最佳治疗方法。我们提出一个63岁男性诊断为高度尿道LELC的病例,他表现为局部晚期疾病。患者行阴茎部分切除术和双侧腹股沟淋巴结切除术,随后进行全身化疗和免疫治疗。本病例强调了多学科联合手术切除和全身治疗在治疗侵袭性尿道恶性肿瘤中的重要性。鉴于尿道LELC文献的缺乏,额外的病例报告对于增强我们对这种罕见实体的理解和制定循证治疗策略至关重要。
本文章由计算机程序翻译,如有差异,请以英文原文为准。

Lymphoepithelioma-like carcinoma of the distal urethra: a case report and management strategies.

Lymphoepithelioma-like carcinoma of the distal urethra: a case report and management strategies.

Lymphoepithelioma-like carcinoma of the distal urethra: a case report and management strategies.

Lymphoepithelioma-like carcinoma (LELC) of the urethra is an exceptionally rare and aggressive neoplasm, with limited evidence available to inform optimal management. We present the case of a 63-year-old male diagnosed with high-grade urethral LELC, who presented with locally advanced disease. The patient underwent partial penectomy with bilateral inguinal lymphadenectomy, followed by systemic chemotherapy and immunotherapy. This case underscores the importance of a multidisciplinary approach combining surgical resection with systemic therapy in the management of aggressive urethral malignancies. Given the paucity of literature on urethral LELC, additional case reports are critical to enhance our understanding and to develop evidence-based treatment strategies for this rare entity.

求助全文
通过发布文献求助,成功后即可免费获取论文全文。 去求助
来源期刊
CiteScore
0.70
自引率
0.00%
发文量
559
审稿时长
11 weeks
×
引用
GB/T 7714-2015
复制
MLA
复制
APA
复制
导出至
BibTeX EndNote RefMan NoteFirst NoteExpress
×
提示
您的信息不完整,为了账户安全,请先补充。
现在去补充
×
提示
您因"违规操作"
具体请查看互助需知
我知道了
×
提示
确定
请完成安全验证×
copy
已复制链接
快去分享给好友吧!
我知道了
右上角分享
点击右上角分享
0
联系我们:info@booksci.cn Book学术提供免费学术资源搜索服务,方便国内外学者检索中英文文献。致力于提供最便捷和优质的服务体验。 Copyright © 2023 布克学术 All rights reserved.
京ICP备2023020795号-1
ghs 京公网安备 11010802042870号
Book学术文献互助
Book学术文献互助群
群 号:604180095
Book学术官方微信