一个11天大的女婴的胎中胎与描述性的组织病理学见解:一个病例报告。

IF 0.5 Q4 SURGERY
Journal of Surgical Case Reports Pub Date : 2025-10-03 eCollection Date: 2025-10-01 DOI:10.1093/jscr/rjaf611
Rem Ehab Abdelkader, Mohamed Elsherbiny, Adham Elsaied, Momen Abdelglil, Khadiga M Ali
{"title":"一个11天大的女婴的胎中胎与描述性的组织病理学见解:一个病例报告。","authors":"Rem Ehab Abdelkader, Mohamed Elsherbiny, Adham Elsaied, Momen Abdelglil, Khadiga M Ali","doi":"10.1093/jscr/rjaf611","DOIUrl":null,"url":null,"abstract":"<p><p>Fetus-in-fetu (FIF), a rare congenital anomaly, involves a malformed fetus within its twin. It typically presents as an asymptomatic abdominal mass discovered postnatally, with an incidence of 1/500000 births. An 11-day-old Arab female infant presented with progressive abdominal distention. General physical examinations were normal. Abdominal examination revealed an ill-defined fixed lump in the right upper quadrant. Imaging revealed a 8 × 6 cm retroperitoneal mass containing skeletal elements. Surgical exploration via laparotomy confirmed diagnosis. Careful dissection was necessary due to its vascular and anatomical complexity. Histopathological examination revealed tissues from all three germ layers, excluding teratoma. FIF is distinguished from teratomas by the presence of a vertebral column with organized development of surrounding tissues, and typically manifests without malignant potential. Surgical excision is curative, with minimal risk of recurrence. Long-term follow-up with imaging and tumor markers is recommended to monitor for complications, despite its benign nature.</p>","PeriodicalId":47321,"journal":{"name":"Journal of Surgical Case Reports","volume":"2025 10","pages":"rjaf611"},"PeriodicalIF":0.5000,"publicationDate":"2025-10-03","publicationTypes":"Journal Article","fieldsOfStudy":null,"isOpenAccess":false,"openAccessPdf":"https://www.ncbi.nlm.nih.gov/pmc/articles/PMC12494229/pdf/","citationCount":"0","resultStr":"{\"title\":\"Fetus-in-fetu in an 11-day-old female infant with descriptive histopathological insights: a case report.\",\"authors\":\"Rem Ehab Abdelkader, Mohamed Elsherbiny, Adham Elsaied, Momen Abdelglil, Khadiga M Ali\",\"doi\":\"10.1093/jscr/rjaf611\",\"DOIUrl\":null,\"url\":null,\"abstract\":\"<p><p>Fetus-in-fetu (FIF), a rare congenital anomaly, involves a malformed fetus within its twin. It typically presents as an asymptomatic abdominal mass discovered postnatally, with an incidence of 1/500000 births. An 11-day-old Arab female infant presented with progressive abdominal distention. General physical examinations were normal. Abdominal examination revealed an ill-defined fixed lump in the right upper quadrant. Imaging revealed a 8 × 6 cm retroperitoneal mass containing skeletal elements. Surgical exploration via laparotomy confirmed diagnosis. Careful dissection was necessary due to its vascular and anatomical complexity. Histopathological examination revealed tissues from all three germ layers, excluding teratoma. FIF is distinguished from teratomas by the presence of a vertebral column with organized development of surrounding tissues, and typically manifests without malignant potential. Surgical excision is curative, with minimal risk of recurrence. Long-term follow-up with imaging and tumor markers is recommended to monitor for complications, despite its benign nature.</p>\",\"PeriodicalId\":47321,\"journal\":{\"name\":\"Journal of Surgical Case Reports\",\"volume\":\"2025 10\",\"pages\":\"rjaf611\"},\"PeriodicalIF\":0.5000,\"publicationDate\":\"2025-10-03\",\"publicationTypes\":\"Journal Article\",\"fieldsOfStudy\":null,\"isOpenAccess\":false,\"openAccessPdf\":\"https://www.ncbi.nlm.nih.gov/pmc/articles/PMC12494229/pdf/\",\"citationCount\":\"0\",\"resultStr\":null,\"platform\":\"Semanticscholar\",\"paperid\":null,\"PeriodicalName\":\"Journal of Surgical Case Reports\",\"FirstCategoryId\":\"1085\",\"ListUrlMain\":\"https://doi.org/10.1093/jscr/rjaf611\",\"RegionNum\":0,\"RegionCategory\":null,\"ArticlePicture\":[],\"TitleCN\":null,\"AbstractTextCN\":null,\"PMCID\":null,\"EPubDate\":\"2025/10/1 0:00:00\",\"PubModel\":\"eCollection\",\"JCR\":\"Q4\",\"JCRName\":\"SURGERY\",\"Score\":null,\"Total\":0}","platform":"Semanticscholar","paperid":null,"PeriodicalName":"Journal of Surgical Case Reports","FirstCategoryId":"1085","ListUrlMain":"https://doi.org/10.1093/jscr/rjaf611","RegionNum":0,"RegionCategory":null,"ArticlePicture":[],"TitleCN":null,"AbstractTextCN":null,"PMCID":null,"EPubDate":"2025/10/1 0:00:00","PubModel":"eCollection","JCR":"Q4","JCRName":"SURGERY","Score":null,"Total":0}
引用次数: 0

摘要

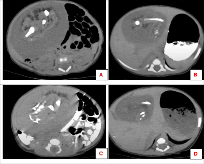
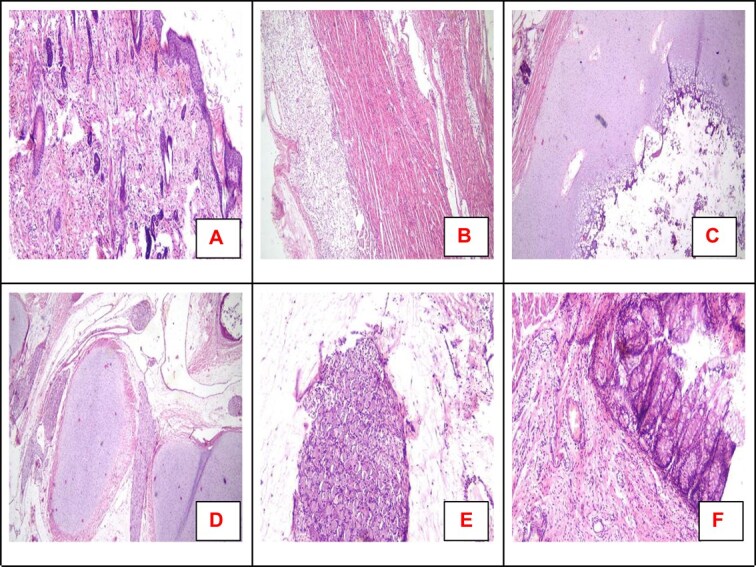
胎中胎(FIF)是一种罕见的先天性异常,涉及双胞胎中的畸形胎儿。它通常表现为出生后发现的无症状腹部肿块,发病率为50万分之一。一个11天大的阿拉伯女婴表现为进行性腹胀。一般体格检查正常。腹部检查发现右上象限有一模糊的固定肿块。影像显示一个8 × 6厘米的腹膜后肿块,内含骨骼元素。经剖腹探查确诊。由于其血管和解剖结构的复杂性,必须仔细解剖。组织病理学检查显示所有三个胚层的组织,不包括畸胎瘤。FIF与畸胎瘤的区别在于脊柱周围组织有组织的发育,通常表现为无恶性潜能。手术切除是可治愈的,复发风险最小。建议长期随访影像学和肿瘤标志物监测并发症,尽管它是良性的。
本文章由计算机程序翻译,如有差异,请以英文原文为准。

Fetus-in-fetu in an 11-day-old female infant with descriptive histopathological insights: a case report.

Fetus-in-fetu in an 11-day-old female infant with descriptive histopathological insights: a case report.

Fetus-in-fetu in an 11-day-old female infant with descriptive histopathological insights: a case report.

Fetus-in-fetu in an 11-day-old female infant with descriptive histopathological insights: a case report.

Fetus-in-fetu (FIF), a rare congenital anomaly, involves a malformed fetus within its twin. It typically presents as an asymptomatic abdominal mass discovered postnatally, with an incidence of 1/500000 births. An 11-day-old Arab female infant presented with progressive abdominal distention. General physical examinations were normal. Abdominal examination revealed an ill-defined fixed lump in the right upper quadrant. Imaging revealed a 8 × 6 cm retroperitoneal mass containing skeletal elements. Surgical exploration via laparotomy confirmed diagnosis. Careful dissection was necessary due to its vascular and anatomical complexity. Histopathological examination revealed tissues from all three germ layers, excluding teratoma. FIF is distinguished from teratomas by the presence of a vertebral column with organized development of surrounding tissues, and typically manifests without malignant potential. Surgical excision is curative, with minimal risk of recurrence. Long-term follow-up with imaging and tumor markers is recommended to monitor for complications, despite its benign nature.

求助全文
通过发布文献求助,成功后即可免费获取论文全文。 去求助
来源期刊
CiteScore
0.70
自引率
0.00%
发文量
559
审稿时长
11 weeks
×
引用
GB/T 7714-2015
复制
MLA
复制
APA
复制
导出至
BibTeX EndNote RefMan NoteFirst NoteExpress
×
提示
您的信息不完整,为了账户安全,请先补充。
现在去补充
×
提示
您因"违规操作"
具体请查看互助需知
我知道了
×
提示
确定
请完成安全验证×
copy
已复制链接
快去分享给好友吧!
我知道了
右上角分享
点击右上角分享
0
联系我们:info@booksci.cn Book学术提供免费学术资源搜索服务,方便国内外学者检索中英文文献。致力于提供最便捷和优质的服务体验。 Copyright © 2023 布克学术 All rights reserved.
京ICP备2023020795号-1
ghs 京公网安备 11010802042870号
Book学术文献互助
Book学术文献互助群
群 号:604180095
Book学术官方微信