左肾细胞癌合并长期保留胆总管支架并继发胆总管结石1例:低资源环境下的单期多学科外科治疗。

IF 0.5 Q4 SURGERY
Journal of Surgical Case Reports Pub Date : 2025-10-02 eCollection Date: 2025-10-01 DOI:10.1093/jscr/rjaf783
Manzoor Ahmad, Azeem Farooqui, Ahmad Sadiq, Wasif M Ali, Mazher Alam
{"title":"左肾细胞癌合并长期保留胆总管支架并继发胆总管结石1例:低资源环境下的单期多学科外科治疗。","authors":"Manzoor Ahmad, Azeem Farooqui, Ahmad Sadiq, Wasif M Ali, Mazher Alam","doi":"10.1093/jscr/rjaf783","DOIUrl":null,"url":null,"abstract":"<p><p>A 65-year-old male presented with a left renal mass and a retained common bile duct stent from a previous endoscopic retrograde cholangiopancreatography 2 years ago for choledocholithiasis. Imaging confirmed a lower pole renal lesion with features of renal cell carcinoma (RCC) and dilated biliary tree with sludge and a retained stent. The patient underwent single-stage surgery-left radical nephrectomy and open choledochoduedenotomy-for removal of the stent and biliary clearance through midline approach. Histopathology confirmed chromophobe RCC. This case illustrates the feasibility of patient-centred manner simultaneous surgical treatment for dual-system pathologies in a low resource setting and.</p>","PeriodicalId":47321,"journal":{"name":"Journal of Surgical Case Reports","volume":"2025 10","pages":"rjaf783"},"PeriodicalIF":0.5000,"publicationDate":"2025-10-02","publicationTypes":"Journal Article","fieldsOfStudy":null,"isOpenAccess":false,"openAccessPdf":"https://www.ncbi.nlm.nih.gov/pmc/articles/PMC12490718/pdf/","citationCount":"0","resultStr":"{\"title\":\"Case report of left renal cell carcinoma with long standing retained common bile duct stent and secondary choledocholithiasis: a single-stage multidisciplinary surgical management in low resource setting.\",\"authors\":\"Manzoor Ahmad, Azeem Farooqui, Ahmad Sadiq, Wasif M Ali, Mazher Alam\",\"doi\":\"10.1093/jscr/rjaf783\",\"DOIUrl\":null,\"url\":null,\"abstract\":\"<p><p>A 65-year-old male presented with a left renal mass and a retained common bile duct stent from a previous endoscopic retrograde cholangiopancreatography 2 years ago for choledocholithiasis. Imaging confirmed a lower pole renal lesion with features of renal cell carcinoma (RCC) and dilated biliary tree with sludge and a retained stent. The patient underwent single-stage surgery-left radical nephrectomy and open choledochoduedenotomy-for removal of the stent and biliary clearance through midline approach. Histopathology confirmed chromophobe RCC. This case illustrates the feasibility of patient-centred manner simultaneous surgical treatment for dual-system pathologies in a low resource setting and.</p>\",\"PeriodicalId\":47321,\"journal\":{\"name\":\"Journal of Surgical Case Reports\",\"volume\":\"2025 10\",\"pages\":\"rjaf783\"},\"PeriodicalIF\":0.5000,\"publicationDate\":\"2025-10-02\",\"publicationTypes\":\"Journal Article\",\"fieldsOfStudy\":null,\"isOpenAccess\":false,\"openAccessPdf\":\"https://www.ncbi.nlm.nih.gov/pmc/articles/PMC12490718/pdf/\",\"citationCount\":\"0\",\"resultStr\":null,\"platform\":\"Semanticscholar\",\"paperid\":null,\"PeriodicalName\":\"Journal of Surgical Case Reports\",\"FirstCategoryId\":\"1085\",\"ListUrlMain\":\"https://doi.org/10.1093/jscr/rjaf783\",\"RegionNum\":0,\"RegionCategory\":null,\"ArticlePicture\":[],\"TitleCN\":null,\"AbstractTextCN\":null,\"PMCID\":null,\"EPubDate\":\"2025/10/1 0:00:00\",\"PubModel\":\"eCollection\",\"JCR\":\"Q4\",\"JCRName\":\"SURGERY\",\"Score\":null,\"Total\":0}","platform":"Semanticscholar","paperid":null,"PeriodicalName":"Journal of Surgical Case Reports","FirstCategoryId":"1085","ListUrlMain":"https://doi.org/10.1093/jscr/rjaf783","RegionNum":0,"RegionCategory":null,"ArticlePicture":[],"TitleCN":null,"AbstractTextCN":null,"PMCID":null,"EPubDate":"2025/10/1 0:00:00","PubModel":"eCollection","JCR":"Q4","JCRName":"SURGERY","Score":null,"Total":0}
引用次数: 0

摘要

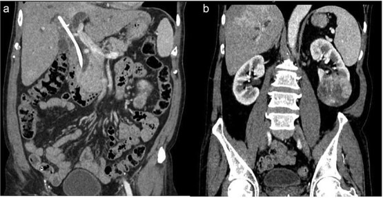
65岁男性,2年前因胆总管结石行内窥镜逆行胆管造影,发现左肾肿块,胆总管支架残留。影像学证实肾下极病变具有肾细胞癌(RCC)的特征,胆道扩张伴污泥和保留支架。患者接受了单期手术——左侧根治性肾切除术和开放式胆总管切除术,通过中线入路取出支架并清除胆道。组织病理学证实为嫌色性肾细胞癌。本病例说明了在资源匮乏的情况下,以患者为中心的双系统病理同时手术治疗的可行性。
本文章由计算机程序翻译,如有差异,请以英文原文为准。

Case report of left renal cell carcinoma with long standing retained common bile duct stent and secondary choledocholithiasis: a single-stage multidisciplinary surgical management in low resource setting.

Case report of left renal cell carcinoma with long standing retained common bile duct stent and secondary choledocholithiasis: a single-stage multidisciplinary surgical management in low resource setting.

Case report of left renal cell carcinoma with long standing retained common bile duct stent and secondary choledocholithiasis: a single-stage multidisciplinary surgical management in low resource setting.

A 65-year-old male presented with a left renal mass and a retained common bile duct stent from a previous endoscopic retrograde cholangiopancreatography 2 years ago for choledocholithiasis. Imaging confirmed a lower pole renal lesion with features of renal cell carcinoma (RCC) and dilated biliary tree with sludge and a retained stent. The patient underwent single-stage surgery-left radical nephrectomy and open choledochoduedenotomy-for removal of the stent and biliary clearance through midline approach. Histopathology confirmed chromophobe RCC. This case illustrates the feasibility of patient-centred manner simultaneous surgical treatment for dual-system pathologies in a low resource setting and.

求助全文
通过发布文献求助,成功后即可免费获取论文全文。 去求助
来源期刊
CiteScore
0.70
自引率
0.00%
发文量
559
审稿时长
11 weeks
×
引用
GB/T 7714-2015
复制
MLA
复制
APA
复制
导出至
BibTeX EndNote RefMan NoteFirst NoteExpress
×
提示
您的信息不完整,为了账户安全,请先补充。
现在去补充
×
提示
您因"违规操作"
具体请查看互助需知
我知道了
×
提示
确定
请完成安全验证×
copy
已复制链接
快去分享给好友吧!
我知道了
右上角分享
点击右上角分享
0
联系我们:info@booksci.cn Book学术提供免费学术资源搜索服务,方便国内外学者检索中英文文献。致力于提供最便捷和优质的服务体验。 Copyright © 2023 布克学术 All rights reserved.
京ICP备2023020795号-1
ghs 京公网安备 11010802042870号
Book学术文献互助
Book学术文献互助群
群 号:604180095
Book学术官方微信