局部复发直肠癌碳离子放疗后预防性肠切除术1例报告。

IF 0.5 Q4 SURGERY
Journal of Surgical Case Reports Pub Date : 2025-10-02 eCollection Date: 2025-10-01 DOI:10.1093/jscr/rjaf788
Takaki Furuyama, Hirotoshi Takiyama, Ito Kondo, Megumu Enjyoji, Makoto Hinokida, Yusuke Tatsutomi, Kunihiko Nakazawa, Shigeru Yamada, Yoshio Ushirokoji
{"title":"局部复发直肠癌碳离子放疗后预防性肠切除术1例报告。","authors":"Takaki Furuyama, Hirotoshi Takiyama, Ito Kondo, Megumu Enjyoji, Makoto Hinokida, Yusuke Tatsutomi, Kunihiko Nakazawa, Shigeru Yamada, Yoshio Ushirokoji","doi":"10.1093/jscr/rjaf788","DOIUrl":null,"url":null,"abstract":"<p><p>Treatment of locally recurrent rectal cancer (LRRC) after surgery is often complex and challenging. A 52-year-old man received emergency surgery (Hartmann's procedure) for bowel perforation caused by a huge sigmoid colon cancer, followed by treatment for concurrent advanced lower rectal cancer with neoadjuvant chemoradiotherapy and abdominoperineal resection. A solitary lung metastasis emerged afterwards, and was surgically removed. However, the patient developed LRRC in front of the sacrum. As surgical resection for the local recurrence was considered too invasive, carbon-ion radiotherapy (CIRT) was performed as radical local therapy. Because the surrounding intestine was highly adherent to the tumor and there was a high risk of developing an ulcer, the intestine was prophylactically resected. The patient has remained relapse-free for 2 years and 6 months since the most recent surgery. CIRT for LRRC appears to represent a useful therapeutic option in combination with prophylactic intestinal resection.</p>","PeriodicalId":47321,"journal":{"name":"Journal of Surgical Case Reports","volume":"2025 10","pages":"rjaf788"},"PeriodicalIF":0.5000,"publicationDate":"2025-10-02","publicationTypes":"Journal Article","fieldsOfStudy":null,"isOpenAccess":false,"openAccessPdf":"https://www.ncbi.nlm.nih.gov/pmc/articles/PMC12490716/pdf/","citationCount":"0","resultStr":"{\"title\":\"Prophylactic intestinal resection following carbon-ion radiotherapy for locally recurrent rectal cancer: a case report.\",\"authors\":\"Takaki Furuyama, Hirotoshi Takiyama, Ito Kondo, Megumu Enjyoji, Makoto Hinokida, Yusuke Tatsutomi, Kunihiko Nakazawa, Shigeru Yamada, Yoshio Ushirokoji\",\"doi\":\"10.1093/jscr/rjaf788\",\"DOIUrl\":null,\"url\":null,\"abstract\":\"<p><p>Treatment of locally recurrent rectal cancer (LRRC) after surgery is often complex and challenging. A 52-year-old man received emergency surgery (Hartmann's procedure) for bowel perforation caused by a huge sigmoid colon cancer, followed by treatment for concurrent advanced lower rectal cancer with neoadjuvant chemoradiotherapy and abdominoperineal resection. A solitary lung metastasis emerged afterwards, and was surgically removed. However, the patient developed LRRC in front of the sacrum. As surgical resection for the local recurrence was considered too invasive, carbon-ion radiotherapy (CIRT) was performed as radical local therapy. Because the surrounding intestine was highly adherent to the tumor and there was a high risk of developing an ulcer, the intestine was prophylactically resected. The patient has remained relapse-free for 2 years and 6 months since the most recent surgery. CIRT for LRRC appears to represent a useful therapeutic option in combination with prophylactic intestinal resection.</p>\",\"PeriodicalId\":47321,\"journal\":{\"name\":\"Journal of Surgical Case Reports\",\"volume\":\"2025 10\",\"pages\":\"rjaf788\"},\"PeriodicalIF\":0.5000,\"publicationDate\":\"2025-10-02\",\"publicationTypes\":\"Journal Article\",\"fieldsOfStudy\":null,\"isOpenAccess\":false,\"openAccessPdf\":\"https://www.ncbi.nlm.nih.gov/pmc/articles/PMC12490716/pdf/\",\"citationCount\":\"0\",\"resultStr\":null,\"platform\":\"Semanticscholar\",\"paperid\":null,\"PeriodicalName\":\"Journal of Surgical Case Reports\",\"FirstCategoryId\":\"1085\",\"ListUrlMain\":\"https://doi.org/10.1093/jscr/rjaf788\",\"RegionNum\":0,\"RegionCategory\":null,\"ArticlePicture\":[],\"TitleCN\":null,\"AbstractTextCN\":null,\"PMCID\":null,\"EPubDate\":\"2025/10/1 0:00:00\",\"PubModel\":\"eCollection\",\"JCR\":\"Q4\",\"JCRName\":\"SURGERY\",\"Score\":null,\"Total\":0}","platform":"Semanticscholar","paperid":null,"PeriodicalName":"Journal of Surgical Case Reports","FirstCategoryId":"1085","ListUrlMain":"https://doi.org/10.1093/jscr/rjaf788","RegionNum":0,"RegionCategory":null,"ArticlePicture":[],"TitleCN":null,"AbstractTextCN":null,"PMCID":null,"EPubDate":"2025/10/1 0:00:00","PubModel":"eCollection","JCR":"Q4","JCRName":"SURGERY","Score":null,"Total":0}
引用次数: 0

摘要

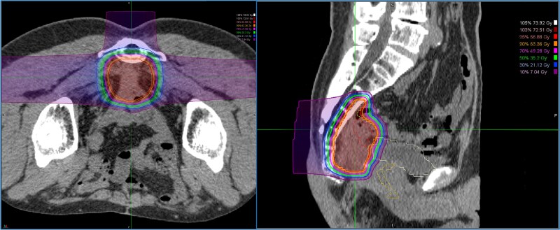
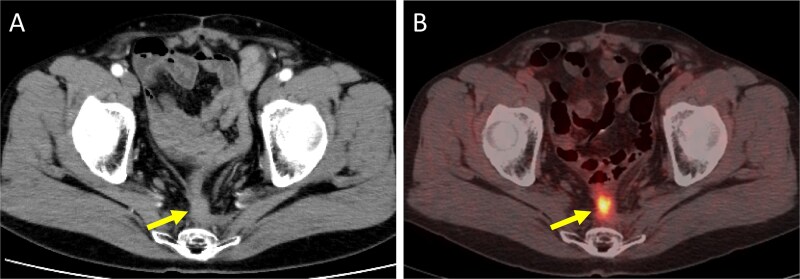
局部复发直肠癌(LRRC)手术后的治疗通常是复杂和具有挑战性的。一名52岁男性患者因巨大乙状结肠直肠癌引起的肠穿孔接受紧急手术(Hartmann手术),随后对并发晚期直肠癌进行新辅助放化疗和腹部会阴切除术。后来出现了孤立的肺转移,并通过手术切除。然而,患者在骶骨前方出现LRRC。由于局部复发手术切除过于侵入性,因此采用碳离子放射治疗(CIRT)作为局部根治性治疗。由于周围的肠道与肿瘤的黏附性很强,而且发生溃疡的风险很高,因此预防性切除了肠道。自最近一次手术后,患者无复发2年零6个月。CIRT治疗LRRC与预防性肠切除术相结合似乎是一种有用的治疗选择。
本文章由计算机程序翻译,如有差异,请以英文原文为准。

Prophylactic intestinal resection following carbon-ion radiotherapy for locally recurrent rectal cancer: a case report.

Prophylactic intestinal resection following carbon-ion radiotherapy for locally recurrent rectal cancer: a case report.

Prophylactic intestinal resection following carbon-ion radiotherapy for locally recurrent rectal cancer: a case report.

Prophylactic intestinal resection following carbon-ion radiotherapy for locally recurrent rectal cancer: a case report.

Treatment of locally recurrent rectal cancer (LRRC) after surgery is often complex and challenging. A 52-year-old man received emergency surgery (Hartmann's procedure) for bowel perforation caused by a huge sigmoid colon cancer, followed by treatment for concurrent advanced lower rectal cancer with neoadjuvant chemoradiotherapy and abdominoperineal resection. A solitary lung metastasis emerged afterwards, and was surgically removed. However, the patient developed LRRC in front of the sacrum. As surgical resection for the local recurrence was considered too invasive, carbon-ion radiotherapy (CIRT) was performed as radical local therapy. Because the surrounding intestine was highly adherent to the tumor and there was a high risk of developing an ulcer, the intestine was prophylactically resected. The patient has remained relapse-free for 2 years and 6 months since the most recent surgery. CIRT for LRRC appears to represent a useful therapeutic option in combination with prophylactic intestinal resection.

求助全文
通过发布文献求助,成功后即可免费获取论文全文。 去求助
来源期刊
CiteScore
0.70
自引率
0.00%
发文量
559
审稿时长
11 weeks
×
引用
GB/T 7714-2015
复制
MLA
复制
APA
复制
导出至
BibTeX EndNote RefMan NoteFirst NoteExpress
×
提示
您的信息不完整,为了账户安全,请先补充。
现在去补充
×
提示
您因"违规操作"
具体请查看互助需知
我知道了
×
提示
确定
请完成安全验证×
copy
已复制链接
快去分享给好友吧!
我知道了
右上角分享
点击右上角分享
0
联系我们:info@booksci.cn Book学术提供免费学术资源搜索服务,方便国内外学者检索中英文文献。致力于提供最便捷和优质的服务体验。 Copyright © 2023 布克学术 All rights reserved.
京ICP备2023020795号-1
ghs 京公网安备 11010802042870号
Book学术文献互助
Book学术文献互助群
群 号:604180095
Book学术官方微信