一个独特的发现在青少年男性:一个病例报告导航详细关于口腔神经纤维瘤。

Q3 Dentistry
Siroraj Pearlcid, Rencie Hepzibah, Soumya Anandan, H Thamizh Chelvan, Rajeswari Ramesh
{"title":"一个独特的发现在青少年男性:一个病例报告导航详细关于口腔神经纤维瘤。","authors":"Siroraj Pearlcid, Rencie Hepzibah, Soumya Anandan, H Thamizh Chelvan, Rajeswari Ramesh","doi":"10.5005/jp-journals-10005-3136","DOIUrl":null,"url":null,"abstract":"<p><p>Oral neurofibromas, a subtype of neurofibromas, represent benign tumors encasing a peripheral nerve within the oral cavity. These growths are intricately linked to the genetic disorder neurofibromatosis, posing unique challenges in diagnosis and management. Oral neurofibromas typically manifest as slow-growing, painless nodules or masses within the oral cavity. Common sites include the tongue, gingiva, and the buccal mucosa. While these tumors are generally benign, they can cause discomfort, interfere with oral functions, and, in some cases, lead to bleeding or ulceration. Diagnosing oral neurofibromas involves a combination of clinical examination, medical history review, and, in some cases, imaging studies. This case report discusses the histological, immunohistochemical, and surgical characteristics of oral neurofibroma to raise knowledge and comprehension of these diseases.</p><p><strong>How to cite this article: </strong>Siroraj P, Hepzibah R, Anandan S, <i>et al</i>. A Unique Finding in an Adolescent Male: A Case Report Navigating in Detail about Oral Neurofibroma. Int J Clin Pediatr Dent 2025;18(5):591-594.</p>","PeriodicalId":36045,"journal":{"name":"International Journal of Clinical Pediatric Dentistry","volume":"18 5","pages":"591-594"},"PeriodicalIF":0.0000,"publicationDate":"2025-05-01","publicationTypes":"Journal Article","fieldsOfStudy":null,"isOpenAccess":false,"openAccessPdf":"https://www.ncbi.nlm.nih.gov/pmc/articles/PMC12488505/pdf/","citationCount":"0","resultStr":"{\"title\":\"A Unique Finding in an Adolescent Male: A Case Report Navigating in Detail about Oral Neurofibroma.\",\"authors\":\"Siroraj Pearlcid, Rencie Hepzibah, Soumya Anandan, H Thamizh Chelvan, Rajeswari Ramesh\",\"doi\":\"10.5005/jp-journals-10005-3136\",\"DOIUrl\":null,\"url\":null,\"abstract\":\"<p><p>Oral neurofibromas, a subtype of neurofibromas, represent benign tumors encasing a peripheral nerve within the oral cavity. These growths are intricately linked to the genetic disorder neurofibromatosis, posing unique challenges in diagnosis and management. Oral neurofibromas typically manifest as slow-growing, painless nodules or masses within the oral cavity. Common sites include the tongue, gingiva, and the buccal mucosa. While these tumors are generally benign, they can cause discomfort, interfere with oral functions, and, in some cases, lead to bleeding or ulceration. Diagnosing oral neurofibromas involves a combination of clinical examination, medical history review, and, in some cases, imaging studies. This case report discusses the histological, immunohistochemical, and surgical characteristics of oral neurofibroma to raise knowledge and comprehension of these diseases.</p><p><strong>How to cite this article: </strong>Siroraj P, Hepzibah R, Anandan S, <i>et al</i>. A Unique Finding in an Adolescent Male: A Case Report Navigating in Detail about Oral Neurofibroma. Int J Clin Pediatr Dent 2025;18(5):591-594.</p>\",\"PeriodicalId\":36045,\"journal\":{\"name\":\"International Journal of Clinical Pediatric Dentistry\",\"volume\":\"18 5\",\"pages\":\"591-594\"},\"PeriodicalIF\":0.0000,\"publicationDate\":\"2025-05-01\",\"publicationTypes\":\"Journal Article\",\"fieldsOfStudy\":null,\"isOpenAccess\":false,\"openAccessPdf\":\"https://www.ncbi.nlm.nih.gov/pmc/articles/PMC12488505/pdf/\",\"citationCount\":\"0\",\"resultStr\":null,\"platform\":\"Semanticscholar\",\"paperid\":null,\"PeriodicalName\":\"International Journal of Clinical Pediatric Dentistry\",\"FirstCategoryId\":\"1085\",\"ListUrlMain\":\"https://doi.org/10.5005/jp-journals-10005-3136\",\"RegionNum\":0,\"RegionCategory\":null,\"ArticlePicture\":[],\"TitleCN\":null,\"AbstractTextCN\":null,\"PMCID\":null,\"EPubDate\":\"2025/7/25 0:00:00\",\"PubModel\":\"Epub\",\"JCR\":\"Q3\",\"JCRName\":\"Dentistry\",\"Score\":null,\"Total\":0}","platform":"Semanticscholar","paperid":null,"PeriodicalName":"International Journal of Clinical Pediatric Dentistry","FirstCategoryId":"1085","ListUrlMain":"https://doi.org/10.5005/jp-journals-10005-3136","RegionNum":0,"RegionCategory":null,"ArticlePicture":[],"TitleCN":null,"AbstractTextCN":null,"PMCID":null,"EPubDate":"2025/7/25 0:00:00","PubModel":"Epub","JCR":"Q3","JCRName":"Dentistry","Score":null,"Total":0}
引用次数: 0

摘要

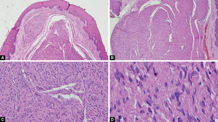
口腔神经纤维瘤是神经纤维瘤的一种亚型,表现为口腔内包围周围神经的良性肿瘤。这些生长与遗传疾病神经纤维瘤病有着复杂的联系,在诊断和管理方面提出了独特的挑战。口腔神经纤维瘤通常表现为口腔内生长缓慢、无痛的结节或肿块。常见的部位包括舌头、牙龈和颊黏膜。虽然这些肿瘤通常是良性的,但它们会引起不适,干扰口腔功能,在某些情况下,还会导致出血或溃疡。口腔神经纤维瘤的诊断需要结合临床检查、病史回顾,在某些情况下还需要影像学检查。本病例报告讨论口腔神经纤维瘤的组织学、免疫组织化学和外科特征,以提高对这些疾病的认识和理解。文章引用方式:Siroraj P, Hepzibah R, Anandan S,等。一个独特的发现在青少年男性:一个病例报告导航详细关于口腔神经纤维瘤。中华临床儿科杂志,2015;18(5):591-594。
本文章由计算机程序翻译,如有差异,请以英文原文为准。

A Unique Finding in an Adolescent Male: A Case Report Navigating in Detail about Oral Neurofibroma.

A Unique Finding in an Adolescent Male: A Case Report Navigating in Detail about Oral Neurofibroma.

A Unique Finding in an Adolescent Male: A Case Report Navigating in Detail about Oral Neurofibroma.

A Unique Finding in an Adolescent Male: A Case Report Navigating in Detail about Oral Neurofibroma.

Oral neurofibromas, a subtype of neurofibromas, represent benign tumors encasing a peripheral nerve within the oral cavity. These growths are intricately linked to the genetic disorder neurofibromatosis, posing unique challenges in diagnosis and management. Oral neurofibromas typically manifest as slow-growing, painless nodules or masses within the oral cavity. Common sites include the tongue, gingiva, and the buccal mucosa. While these tumors are generally benign, they can cause discomfort, interfere with oral functions, and, in some cases, lead to bleeding or ulceration. Diagnosing oral neurofibromas involves a combination of clinical examination, medical history review, and, in some cases, imaging studies. This case report discusses the histological, immunohistochemical, and surgical characteristics of oral neurofibroma to raise knowledge and comprehension of these diseases.

How to cite this article: Siroraj P, Hepzibah R, Anandan S, et al. A Unique Finding in an Adolescent Male: A Case Report Navigating in Detail about Oral Neurofibroma. Int J Clin Pediatr Dent 2025;18(5):591-594.

求助全文
通过发布文献求助,成功后即可免费获取论文全文。 去求助
来源期刊
CiteScore
1.20
自引率
0.00%
发文量
135
×
引用
GB/T 7714-2015
复制
MLA
复制
APA
复制
导出至
BibTeX EndNote RefMan NoteFirst NoteExpress
×
提示
您的信息不完整,为了账户安全,请先补充。
现在去补充
×
提示
您因"违规操作"
具体请查看互助需知
我知道了
×
提示
确定
请完成安全验证×
copy
已复制链接
快去分享给好友吧!
我知道了
右上角分享
点击右上角分享
0
联系我们:info@booksci.cn Book学术提供免费学术资源搜索服务,方便国内外学者检索中英文文献。致力于提供最便捷和优质的服务体验。 Copyright © 2023 布克学术 All rights reserved.
京ICP备2023020795号-1
ghs 京公网安备 11010802042870号
Book学术文献互助
Book学术文献互助群
群 号:604180095
Book学术官方微信