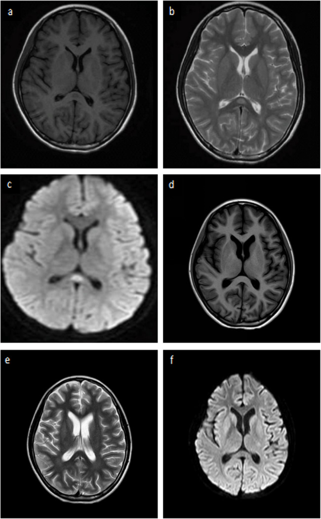
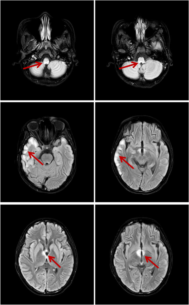
肺炎支原体感染并发水通道蛋白-4阳性视神经脊髓炎:1例报告并文献复习。

IF 2 3区 医学 Q2 PEDIATRICS
Hong Liang, Yuwen Chen, Pimei Zheng
{"title":"肺炎支原体感染并发水通道蛋白-4阳性视神经脊髓炎:1例报告并文献复习。","authors":"Hong Liang, Yuwen Chen, Pimei Zheng","doi":"10.1186/s12887-025-06155-w","DOIUrl":null,"url":null,"abstract":"","PeriodicalId":9144,"journal":{"name":"BMC Pediatrics","volume":"25 1","pages":"765"},"PeriodicalIF":2.0000,"publicationDate":"2025-10-03","publicationTypes":"Journal Article","fieldsOfStudy":null,"isOpenAccess":false,"openAccessPdf":"https://www.ncbi.nlm.nih.gov/pmc/articles/PMC12495817/pdf/","citationCount":"0","resultStr":"{\"title\":\"Mycoplasma pneumoniae infection and concurrent aquaporin-4-positive neuromyelitis optica spectrum disorder: a case report and literature review.\",\"authors\":\"Hong Liang, Yuwen Chen, Pimei Zheng\",\"doi\":\"10.1186/s12887-025-06155-w\",\"DOIUrl\":null,\"url\":null,\"abstract\":\"\",\"PeriodicalId\":9144,\"journal\":{\"name\":\"BMC Pediatrics\",\"volume\":\"25 1\",\"pages\":\"765\"},\"PeriodicalIF\":2.0000,\"publicationDate\":\"2025-10-03\",\"publicationTypes\":\"Journal Article\",\"fieldsOfStudy\":null,\"isOpenAccess\":false,\"openAccessPdf\":\"https://www.ncbi.nlm.nih.gov/pmc/articles/PMC12495817/pdf/\",\"citationCount\":\"0\",\"resultStr\":null,\"platform\":\"Semanticscholar\",\"paperid\":null,\"PeriodicalName\":\"BMC Pediatrics\",\"FirstCategoryId\":\"3\",\"ListUrlMain\":\"https://doi.org/10.1186/s12887-025-06155-w\",\"RegionNum\":3,\"RegionCategory\":\"医学\",\"ArticlePicture\":[],\"TitleCN\":null,\"AbstractTextCN\":null,\"PMCID\":null,\"EPubDate\":\"\",\"PubModel\":\"\",\"JCR\":\"Q2\",\"JCRName\":\"PEDIATRICS\",\"Score\":null,\"Total\":0}","platform":"Semanticscholar","paperid":null,"PeriodicalName":"BMC Pediatrics","FirstCategoryId":"3","ListUrlMain":"https://doi.org/10.1186/s12887-025-06155-w","RegionNum":3,"RegionCategory":"医学","ArticlePicture":[],"TitleCN":null,"AbstractTextCN":null,"PMCID":null,"EPubDate":"","PubModel":"","JCR":"Q2","JCRName":"PEDIATRICS","Score":null,"Total":0}
引用次数: 0

摘要

本文章由计算机程序翻译,如有差异,请以英文原文为准。

Mycoplasma pneumoniae infection and concurrent aquaporin-4-positive neuromyelitis optica spectrum disorder: a case report and literature review.

Mycoplasma pneumoniae infection and concurrent aquaporin-4-positive neuromyelitis optica spectrum disorder: a case report and literature review.

Mycoplasma pneumoniae infection and concurrent aquaporin-4-positive neuromyelitis optica spectrum disorder: a case report and literature review.

Mycoplasma pneumoniae infection and concurrent aquaporin-4-positive neuromyelitis optica spectrum disorder: a case report and literature review.
求助全文
通过发布文献求助,成功后即可免费获取论文全文。 去求助
来源期刊
BMC Pediatrics
BMC Pediatrics PEDIATRICS-
CiteScore
3.70
自引率
4.20%
发文量
683
审稿时长
3-8 weeks
期刊介绍: BMC Pediatrics is an open access journal publishing peer-reviewed research articles in all aspects of health care in neonates, children and adolescents, as well as related molecular genetics, pathophysiology, and epidemiology.
×
引用
GB/T 7714-2015
复制
MLA
复制
APA
复制
导出至
BibTeX EndNote RefMan NoteFirst NoteExpress
×
提示
您的信息不完整,为了账户安全,请先补充。
现在去补充
×
提示
您因"违规操作"
具体请查看互助需知
我知道了
×
提示
确定
请完成安全验证×
copy
已复制链接
快去分享给好友吧!
我知道了
右上角分享
点击右上角分享
0
联系我们:info@booksci.cn Book学术提供免费学术资源搜索服务,方便国内外学者检索中英文文献。致力于提供最便捷和优质的服务体验。 Copyright © 2023 布克学术 All rights reserved.
京ICP备2023020795号-1
ghs 京公网安备 11010802042870号
Book学术文献互助
Book学术文献互助群
群 号:604180095
Book学术官方微信