三种不同草药提取物联合氢氧化钙作为乳牙封闭材料的临床和影像学比较:体内研究。

Q3 Dentistry
Nikhila Amudala, Punithvathy Rachuri, Satyam Martha, Sri Ramya Maganti, Swathi Matilda, Haritha Kondapalli
{"title":"三种不同草药提取物联合氢氧化钙作为乳牙封闭材料的临床和影像学比较:体内研究。","authors":"Nikhila Amudala, Punithvathy Rachuri, Satyam Martha, Sri Ramya Maganti, Swathi Matilda, Haritha Kondapalli","doi":"10.5005/jp-journals-10005-3183","DOIUrl":null,"url":null,"abstract":"<p><strong>Background: </strong>The success of pulpectomy depends on effective root canal disinfection and use of suitable obturating material which enhances the longevity of the procedure. To overcome detrimental properties of chemical obturating materials due to their allergic potential, cytotoxicity, antimicrobial resistance, and safety concerns, herbal derivatives have been introduced. Due to their biocompatibility, cost-effectiveness, low toxic effects, and antioxidant properties, herbal materials have recently been added to existing filling materials to enhance the efficacy of the procedure.</p><p><strong>Aim: </strong>To compare and evaluate the clinical and radiographic outcomes of three different herbal extracts in combination with calcium hydroxide as obturating materials in primary teeth.</p><p><strong>Materials and methods: </strong>The present study was conducted in 60 children of age group 4-10 years requiring multiple visit pulpectomy for their primary molars. Selected teeth were randomly divided into three groups: group I - calcium hydroxide with <i>Ocimum sanctum</i>, group II - calcium hydroxide with <i>Curcuma longa</i>, and group III - calcium hydroxide with <i>Aloe barbadensis miller</i>. Clinical and radiographic evaluation was done among the groups at intervals of 1 week, 3 months, and 6 months.</p><p><strong>Results: </strong>There was no significant difference in the clinical and radiographic success rate among the groups.</p><p><strong>Conclusion: </strong>Among the three groups, calcium hydroxide with <i>Ocimum sanctum</i> group showed a higher success rate and that with <i>Aloe barbadensis miller</i> group showed the least success rate.</p><p><strong>Clinical significance: </strong>The combination of traditional medicine and technological advances has paved the way for more herbal medicine ingredients and established the next standard in pediatric endodontics. Herbal materials, being economical, were effective in enhancing antibacterial and anti-inflammatory properties of chemical obturating materials.</p><p><strong>How to cite this article: </strong>Amudala N, Rachuri P, Martha S, <i>et al.</i> Comparative Clinical and Radiographic Evaluation of Three Different Herbal Extracts in Combination with Calcium Hydroxide as Obturating Materials in Primary Teeth: An <i>In Vivo</i> Study. Int J Clin Pediatr Dent 2025;18(7):848-855.</p>","PeriodicalId":36045,"journal":{"name":"International Journal of Clinical Pediatric Dentistry","volume":"18 7","pages":"848-855"},"PeriodicalIF":0.0000,"publicationDate":"2025-07-01","publicationTypes":"Journal Article","fieldsOfStudy":null,"isOpenAccess":false,"openAccessPdf":"https://www.ncbi.nlm.nih.gov/pmc/articles/PMC12486541/pdf/","citationCount":"0","resultStr":"{\"title\":\"Comparative Clinical and Radiographic Evaluation of Three Different Herbal Extracts in Combination with Calcium Hydroxide as Obturating Materials in Primary Teeth: An <i>In Vivo</i> Study.\",\"authors\":\"Nikhila Amudala, Punithvathy Rachuri, Satyam Martha, Sri Ramya Maganti, Swathi Matilda, Haritha Kondapalli\",\"doi\":\"10.5005/jp-journals-10005-3183\",\"DOIUrl\":null,\"url\":null,\"abstract\":\"<p><strong>Background: </strong>The success of pulpectomy depends on effective root canal disinfection and use of suitable obturating material which enhances the longevity of the procedure. To overcome detrimental properties of chemical obturating materials due to their allergic potential, cytotoxicity, antimicrobial resistance, and safety concerns, herbal derivatives have been introduced. Due to their biocompatibility, cost-effectiveness, low toxic effects, and antioxidant properties, herbal materials have recently been added to existing filling materials to enhance the efficacy of the procedure.</p><p><strong>Aim: </strong>To compare and evaluate the clinical and radiographic outcomes of three different herbal extracts in combination with calcium hydroxide as obturating materials in primary teeth.</p><p><strong>Materials and methods: </strong>The present study was conducted in 60 children of age group 4-10 years requiring multiple visit pulpectomy for their primary molars. Selected teeth were randomly divided into three groups: group I - calcium hydroxide with <i>Ocimum sanctum</i>, group II - calcium hydroxide with <i>Curcuma longa</i>, and group III - calcium hydroxide with <i>Aloe barbadensis miller</i>. Clinical and radiographic evaluation was done among the groups at intervals of 1 week, 3 months, and 6 months.</p><p><strong>Results: </strong>There was no significant difference in the clinical and radiographic success rate among the groups.</p><p><strong>Conclusion: </strong>Among the three groups, calcium hydroxide with <i>Ocimum sanctum</i> group showed a higher success rate and that with <i>Aloe barbadensis miller</i> group showed the least success rate.</p><p><strong>Clinical significance: </strong>The combination of traditional medicine and technological advances has paved the way for more herbal medicine ingredients and established the next standard in pediatric endodontics. Herbal materials, being economical, were effective in enhancing antibacterial and anti-inflammatory properties of chemical obturating materials.</p><p><strong>How to cite this article: </strong>Amudala N, Rachuri P, Martha S, <i>et al.</i> Comparative Clinical and Radiographic Evaluation of Three Different Herbal Extracts in Combination with Calcium Hydroxide as Obturating Materials in Primary Teeth: An <i>In Vivo</i> Study. Int J Clin Pediatr Dent 2025;18(7):848-855.</p>\",\"PeriodicalId\":36045,\"journal\":{\"name\":\"International Journal of Clinical Pediatric Dentistry\",\"volume\":\"18 7\",\"pages\":\"848-855\"},\"PeriodicalIF\":0.0000,\"publicationDate\":\"2025-07-01\",\"publicationTypes\":\"Journal Article\",\"fieldsOfStudy\":null,\"isOpenAccess\":false,\"openAccessPdf\":\"https://www.ncbi.nlm.nih.gov/pmc/articles/PMC12486541/pdf/\",\"citationCount\":\"0\",\"resultStr\":null,\"platform\":\"Semanticscholar\",\"paperid\":null,\"PeriodicalName\":\"International Journal of Clinical Pediatric Dentistry\",\"FirstCategoryId\":\"1085\",\"ListUrlMain\":\"https://doi.org/10.5005/jp-journals-10005-3183\",\"RegionNum\":0,\"RegionCategory\":null,\"ArticlePicture\":[],\"TitleCN\":null,\"AbstractTextCN\":null,\"PMCID\":null,\"EPubDate\":\"2025/8/20 0:00:00\",\"PubModel\":\"Epub\",\"JCR\":\"Q3\",\"JCRName\":\"Dentistry\",\"Score\":null,\"Total\":0}","platform":"Semanticscholar","paperid":null,"PeriodicalName":"International Journal of Clinical Pediatric Dentistry","FirstCategoryId":"1085","ListUrlMain":"https://doi.org/10.5005/jp-journals-10005-3183","RegionNum":0,"RegionCategory":null,"ArticlePicture":[],"TitleCN":null,"AbstractTextCN":null,"PMCID":null,"EPubDate":"2025/8/20 0:00:00","PubModel":"Epub","JCR":"Q3","JCRName":"Dentistry","Score":null,"Total":0}
引用次数: 0

摘要

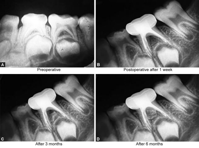
背景:牙髓切除术的成功取决于有效的根管消毒和使用合适的封闭材料,从而延长手术时间。为了克服化学封闭材料因其潜在的过敏、细胞毒性、抗菌素耐药性和安全性问题而产生的有害特性,已经引入了草药衍生物。由于其生物相容性、成本效益、低毒作用和抗氧化特性,草药材料最近被添加到现有的填充材料中,以提高手术的疗效。目的:比较和评价三种不同草药提取物联合氢氧化钙作为乳牙封闭材料的临床和影像学效果。材料与方法:本研究对60名年龄4-10岁的儿童进行了多次访牙拔牙手术。将所选牙随机分为三组:ⅰ组用茴香加氢氧化钙,ⅱ组用姜黄加氢氧化钙,ⅲ组用芦荟加氢氧化钙。每隔1周、3个月和6个月对各组进行临床和影像学评价。结果:两组间临床及影像学成功率无明显差异。结论:三组中,氢氧化钙配合茱萸组成功率最高,芦荟组成功率最低。临床意义:传统医学和技术进步的结合为更多的草药成分铺平了道路,并建立了儿童牙髓学的下一个标准。中草药经济实惠,能有效提高化学封闭材料的抗菌和抗炎性能。如何引用本文:Amudala N, Rachuri P, Martha S,等。三种不同草药提取物联合氢氧化钙作为乳牙封闭材料的临床和影像学比较:体内研究。中华临床儿科杂志,2015;18(7):848-855。
本文章由计算机程序翻译,如有差异,请以英文原文为准。

Comparative Clinical and Radiographic Evaluation of Three Different Herbal Extracts in Combination with Calcium Hydroxide as Obturating Materials in Primary Teeth: An <i>In Vivo</i> Study.

Comparative Clinical and Radiographic Evaluation of Three Different Herbal Extracts in Combination with Calcium Hydroxide as Obturating Materials in Primary Teeth: An <i>In Vivo</i> Study.

Comparative Clinical and Radiographic Evaluation of Three Different Herbal Extracts in Combination with Calcium Hydroxide as Obturating Materials in Primary Teeth: An <i>In Vivo</i> Study.

Comparative Clinical and Radiographic Evaluation of Three Different Herbal Extracts in Combination with Calcium Hydroxide as Obturating Materials in Primary Teeth: An In Vivo Study.

Background: The success of pulpectomy depends on effective root canal disinfection and use of suitable obturating material which enhances the longevity of the procedure. To overcome detrimental properties of chemical obturating materials due to their allergic potential, cytotoxicity, antimicrobial resistance, and safety concerns, herbal derivatives have been introduced. Due to their biocompatibility, cost-effectiveness, low toxic effects, and antioxidant properties, herbal materials have recently been added to existing filling materials to enhance the efficacy of the procedure.

Aim: To compare and evaluate the clinical and radiographic outcomes of three different herbal extracts in combination with calcium hydroxide as obturating materials in primary teeth.

Materials and methods: The present study was conducted in 60 children of age group 4-10 years requiring multiple visit pulpectomy for their primary molars. Selected teeth were randomly divided into three groups: group I - calcium hydroxide with Ocimum sanctum, group II - calcium hydroxide with Curcuma longa, and group III - calcium hydroxide with Aloe barbadensis miller. Clinical and radiographic evaluation was done among the groups at intervals of 1 week, 3 months, and 6 months.

Results: There was no significant difference in the clinical and radiographic success rate among the groups.

Conclusion: Among the three groups, calcium hydroxide with Ocimum sanctum group showed a higher success rate and that with Aloe barbadensis miller group showed the least success rate.

Clinical significance: The combination of traditional medicine and technological advances has paved the way for more herbal medicine ingredients and established the next standard in pediatric endodontics. Herbal materials, being economical, were effective in enhancing antibacterial and anti-inflammatory properties of chemical obturating materials.

How to cite this article: Amudala N, Rachuri P, Martha S, et al. Comparative Clinical and Radiographic Evaluation of Three Different Herbal Extracts in Combination with Calcium Hydroxide as Obturating Materials in Primary Teeth: An In Vivo Study. Int J Clin Pediatr Dent 2025;18(7):848-855.

求助全文
通过发布文献求助,成功后即可免费获取论文全文。 去求助
来源期刊
CiteScore
1.20
自引率
0.00%
发文量
135
×
引用
GB/T 7714-2015
复制
MLA
复制
APA
复制
导出至
BibTeX EndNote RefMan NoteFirst NoteExpress
×
提示
您的信息不完整,为了账户安全,请先补充。
现在去补充
×
提示
您因"违规操作"
具体请查看互助需知
我知道了
×
提示
确定
请完成安全验证×
copy
已复制链接
快去分享给好友吧!
我知道了
右上角分享
点击右上角分享
0
联系我们:info@booksci.cn Book学术提供免费学术资源搜索服务,方便国内外学者检索中英文文献。致力于提供最便捷和优质的服务体验。 Copyright © 2023 布克学术 All rights reserved.
京ICP备2023020795号-1
ghs 京公网安备 11010802042870号
Book学术文献互助
Book学术文献互助群
群 号:604180095
Book学术官方微信