囊性成釉纤维瘤壁型的儿科外科治疗:罕见的谜样病理。

Q3 Dentistry
Dhananjaya Gaviappa, K Vineeth Kumar, Dominic Augustine, Samudrala Venkatesiah Sowmya, Tanya Saxena, Sibikar Prabakar
{"title":"囊性成釉纤维瘤壁型的儿科外科治疗:罕见的谜样病理。","authors":"Dhananjaya Gaviappa, K Vineeth Kumar, Dominic Augustine, Samudrala Venkatesiah Sowmya, Tanya Saxena, Sibikar Prabakar","doi":"10.5005/jp-journals-10005-3180","DOIUrl":null,"url":null,"abstract":"<p><strong>Introduction: </strong>Cystic ameloblastic fibroma (CAF) is an uncommon mixed odontogenic tumor. It is rare in children and has a mean age of 15.9 years, commonly seen in the posterior mandibular region. The mural type of CAF is an even rarer subtype, characterized by the presence of cystic spaces lined by tumor cells.</p><p><strong>Aim: </strong>To document the clinical, radiographic, histopathological features, and surgical management of a rare case of cystic ameloblastic fibroma-mural type in an 8-year-old male. The report also aims to provide insights into the diagnosis and treatment of this rare odontogenic tumor in the pediatric population.</p><p><strong>Case description: </strong>We present a case of an 8-year-old male who was diagnosed with a mural type of CAF. The patient presented with facial asymmetry and painless swelling of the right mandible. Diagnosis was confirmed through clinical, radiographic, and histopathological examinations, following which a management plan involving the extraction of affected teeth and the surgical excision of the lesion was performed. A 2-year follow-up showed no recurrence.</p><p><strong>Conclusion: </strong>This report highlights the importance of early diagnosis and prompt management of CAF during the mixed dentition stage. Small lesions may be treated conservatively, but extensive lesions require radical treatment. This case is the first documented instance of CAF in the Asian population and the second occurrence in patients under 10 years old. It outlines the management protocol for CAF in younger patients with mixed dentition, emphasizing the importance of early intervention for positive outcomes.</p><p><strong>How to cite this article: </strong>Gaviappa D, K VK, Augustine D, <i>et al.</i> Pediatric Surgical Management of Cystic Ameloblastic Fibroma-Mural Type: A Rare Enigmatic Pathology. Int J Clin Pediatr Dent 2025;18(7):871-878.</p>","PeriodicalId":36045,"journal":{"name":"International Journal of Clinical Pediatric Dentistry","volume":"18 7","pages":"871-878"},"PeriodicalIF":0.0000,"publicationDate":"2025-07-01","publicationTypes":"Journal Article","fieldsOfStudy":null,"isOpenAccess":false,"openAccessPdf":"https://www.ncbi.nlm.nih.gov/pmc/articles/PMC12486607/pdf/","citationCount":"0","resultStr":"{\"title\":\"Pediatric Surgical Management of Cystic Ameloblastic Fibroma-Mural Type: A Rare Enigmatic Pathology.\",\"authors\":\"Dhananjaya Gaviappa, K Vineeth Kumar, Dominic Augustine, Samudrala Venkatesiah Sowmya, Tanya Saxena, Sibikar Prabakar\",\"doi\":\"10.5005/jp-journals-10005-3180\",\"DOIUrl\":null,\"url\":null,\"abstract\":\"<p><strong>Introduction: </strong>Cystic ameloblastic fibroma (CAF) is an uncommon mixed odontogenic tumor. It is rare in children and has a mean age of 15.9 years, commonly seen in the posterior mandibular region. The mural type of CAF is an even rarer subtype, characterized by the presence of cystic spaces lined by tumor cells.</p><p><strong>Aim: </strong>To document the clinical, radiographic, histopathological features, and surgical management of a rare case of cystic ameloblastic fibroma-mural type in an 8-year-old male. The report also aims to provide insights into the diagnosis and treatment of this rare odontogenic tumor in the pediatric population.</p><p><strong>Case description: </strong>We present a case of an 8-year-old male who was diagnosed with a mural type of CAF. The patient presented with facial asymmetry and painless swelling of the right mandible. Diagnosis was confirmed through clinical, radiographic, and histopathological examinations, following which a management plan involving the extraction of affected teeth and the surgical excision of the lesion was performed. A 2-year follow-up showed no recurrence.</p><p><strong>Conclusion: </strong>This report highlights the importance of early diagnosis and prompt management of CAF during the mixed dentition stage. Small lesions may be treated conservatively, but extensive lesions require radical treatment. This case is the first documented instance of CAF in the Asian population and the second occurrence in patients under 10 years old. It outlines the management protocol for CAF in younger patients with mixed dentition, emphasizing the importance of early intervention for positive outcomes.</p><p><strong>How to cite this article: </strong>Gaviappa D, K VK, Augustine D, <i>et al.</i> Pediatric Surgical Management of Cystic Ameloblastic Fibroma-Mural Type: A Rare Enigmatic Pathology. Int J Clin Pediatr Dent 2025;18(7):871-878.</p>\",\"PeriodicalId\":36045,\"journal\":{\"name\":\"International Journal of Clinical Pediatric Dentistry\",\"volume\":\"18 7\",\"pages\":\"871-878\"},\"PeriodicalIF\":0.0000,\"publicationDate\":\"2025-07-01\",\"publicationTypes\":\"Journal Article\",\"fieldsOfStudy\":null,\"isOpenAccess\":false,\"openAccessPdf\":\"https://www.ncbi.nlm.nih.gov/pmc/articles/PMC12486607/pdf/\",\"citationCount\":\"0\",\"resultStr\":null,\"platform\":\"Semanticscholar\",\"paperid\":null,\"PeriodicalName\":\"International Journal of Clinical Pediatric Dentistry\",\"FirstCategoryId\":\"1085\",\"ListUrlMain\":\"https://doi.org/10.5005/jp-journals-10005-3180\",\"RegionNum\":0,\"RegionCategory\":null,\"ArticlePicture\":[],\"TitleCN\":null,\"AbstractTextCN\":null,\"PMCID\":null,\"EPubDate\":\"2025/8/20 0:00:00\",\"PubModel\":\"Epub\",\"JCR\":\"Q3\",\"JCRName\":\"Dentistry\",\"Score\":null,\"Total\":0}","platform":"Semanticscholar","paperid":null,"PeriodicalName":"International Journal of Clinical Pediatric Dentistry","FirstCategoryId":"1085","ListUrlMain":"https://doi.org/10.5005/jp-journals-10005-3180","RegionNum":0,"RegionCategory":null,"ArticlePicture":[],"TitleCN":null,"AbstractTextCN":null,"PMCID":null,"EPubDate":"2025/8/20 0:00:00","PubModel":"Epub","JCR":"Q3","JCRName":"Dentistry","Score":null,"Total":0}
引用次数: 0

摘要

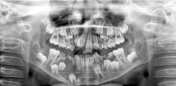
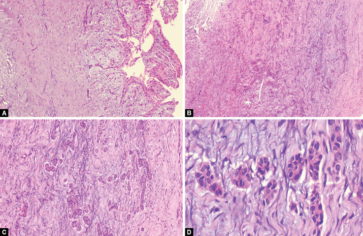
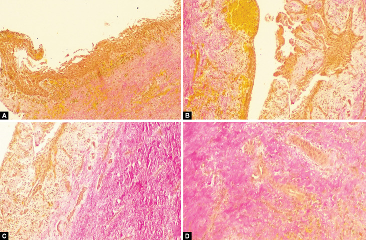
囊性成釉细胞纤维瘤(CAF)是一种罕见的混合性牙源性肿瘤。它在儿童中很少见,平均年龄为15.9岁,常见于下颌后区。壁型CAF是一种更罕见的亚型,其特征是存在由肿瘤细胞排列的囊性间隙。目的:记录一例罕见的8岁男性囊性成釉纤维瘤壁型的临床、影像学、组织病理学特征和手术治疗。该报告还旨在为儿科人群中这种罕见的牙源性肿瘤的诊断和治疗提供见解。病例描述:我们提出一个8岁的男性谁被诊断为壁型CAF。患者表现为面部不对称,右侧下颌骨无痛性肿胀。通过临床、放射学和组织病理学检查确诊,随后制定了包括拔除患牙和手术切除病变的治疗计划。2年随访未见复发。结论:本报告强调了在混合牙列阶段早期诊断和及时处理CAF的重要性。小病变可以保守治疗,但广泛病变需要根治性治疗。该病例是亚洲人群中第一例有记录的CAF病例,也是第二次发生在10岁以下患者中。它概述了年轻混合牙列患者CAF的管理方案,强调了早期干预对积极结果的重要性。如何引用本文:Gaviappa D, K VK, Augustine D等。囊性成釉纤维瘤壁型的儿科外科治疗:罕见的谜样病理。中华临床儿科杂志,2015;18(7):871-878。
本文章由计算机程序翻译,如有差异,请以英文原文为准。

Pediatric Surgical Management of Cystic Ameloblastic Fibroma-Mural Type: A Rare Enigmatic Pathology.

Pediatric Surgical Management of Cystic Ameloblastic Fibroma-Mural Type: A Rare Enigmatic Pathology.

Pediatric Surgical Management of Cystic Ameloblastic Fibroma-Mural Type: A Rare Enigmatic Pathology.

Pediatric Surgical Management of Cystic Ameloblastic Fibroma-Mural Type: A Rare Enigmatic Pathology.

Introduction: Cystic ameloblastic fibroma (CAF) is an uncommon mixed odontogenic tumor. It is rare in children and has a mean age of 15.9 years, commonly seen in the posterior mandibular region. The mural type of CAF is an even rarer subtype, characterized by the presence of cystic spaces lined by tumor cells.

Aim: To document the clinical, radiographic, histopathological features, and surgical management of a rare case of cystic ameloblastic fibroma-mural type in an 8-year-old male. The report also aims to provide insights into the diagnosis and treatment of this rare odontogenic tumor in the pediatric population.

Case description: We present a case of an 8-year-old male who was diagnosed with a mural type of CAF. The patient presented with facial asymmetry and painless swelling of the right mandible. Diagnosis was confirmed through clinical, radiographic, and histopathological examinations, following which a management plan involving the extraction of affected teeth and the surgical excision of the lesion was performed. A 2-year follow-up showed no recurrence.

Conclusion: This report highlights the importance of early diagnosis and prompt management of CAF during the mixed dentition stage. Small lesions may be treated conservatively, but extensive lesions require radical treatment. This case is the first documented instance of CAF in the Asian population and the second occurrence in patients under 10 years old. It outlines the management protocol for CAF in younger patients with mixed dentition, emphasizing the importance of early intervention for positive outcomes.

How to cite this article: Gaviappa D, K VK, Augustine D, et al. Pediatric Surgical Management of Cystic Ameloblastic Fibroma-Mural Type: A Rare Enigmatic Pathology. Int J Clin Pediatr Dent 2025;18(7):871-878.

求助全文
通过发布文献求助,成功后即可免费获取论文全文。 去求助
来源期刊
CiteScore
1.20
自引率
0.00%
发文量
135
×
引用
GB/T 7714-2015
复制
MLA
复制
APA
复制
导出至
BibTeX EndNote RefMan NoteFirst NoteExpress
×
提示
您的信息不完整,为了账户安全,请先补充。
现在去补充
×
提示
您因"违规操作"
具体请查看互助需知
我知道了
×
提示
确定
请完成安全验证×
copy
已复制链接
快去分享给好友吧!
我知道了
右上角分享
点击右上角分享
0
联系我们:info@booksci.cn Book学术提供免费学术资源搜索服务,方便国内外学者检索中英文文献。致力于提供最便捷和优质的服务体验。 Copyright © 2023 布克学术 All rights reserved.
京ICP备2023020795号-1
ghs 京公网安备 11010802042870号
Book学术文献互助
Book学术文献互助群
群 号:604180095
Book学术官方微信