家族性,非综合征性,影响双牙的广泛性根根肿大:第一例报道。

Q3 Dentistry
Ramya Ramanathan, Paul Chalakkal, Siya Gajanan Dukle, Aman Rajput, Daulat Kumar
{"title":"家族性,非综合征性,影响双牙的广泛性根根肿大:第一例报道。","authors":"Ramya Ramanathan, Paul Chalakkal, Siya Gajanan Dukle, Aman Rajput, Daulat Kumar","doi":"10.5005/jp-journals-10005-3165","DOIUrl":null,"url":null,"abstract":"<p><strong>Aim and background: </strong>Radiculomegaly is a rare anomaly characterized by the abnormal elongation of tooth roots. Its etiology is poorly understood and is often diagnosed accidentally during routine dental or radiographic evaluations. The condition may pose challenges while carrying out root canal treatment, extraction, or orthodontic tooth movement.</p><p><strong>Case description: </strong>This article highlights the first ever reported case of familial, nonsyndromic, generalized radiculomegaly affecting the primary and permanent dentitions in a 13-year-old male who had visited the Department of Pedodontics and Preventive Dentistry for a dental checkup. Clinical examination revealed a delay in eruption since his dentition was inconsistent with his age. An orthopantomograph showed the presence of primary and permanent teeth with longer roots than usual.</p><p><strong>Conclusion: </strong>A diagnosis of radiculomegaly was made from full-mouth CBCT tooth measurements that confirmed longer roots. Orthopantomographs of his sibling and father revealed similar findings.</p><p><strong>Clinical significance: </strong>Radiculomegaly is a rare condition. It is generally asymptomatic; however, it may cause difficulties during endodontic treatment. Therefore, early diagnosis is beneficial.</p><p><strong>How to cite this article: </strong>Ramanathan R, Chalakkal P, Dukle SG, <i>et al.</i> Familial, Nonsyndromic, Generalized Radiculomegaly Affecting Both Dentitions: The First Reported Case. Int J Clin Pediatr Dent 2025;18(7):879-882.</p>","PeriodicalId":36045,"journal":{"name":"International Journal of Clinical Pediatric Dentistry","volume":"18 7","pages":"879-882"},"PeriodicalIF":0.0000,"publicationDate":"2025-07-01","publicationTypes":"Journal Article","fieldsOfStudy":null,"isOpenAccess":false,"openAccessPdf":"https://www.ncbi.nlm.nih.gov/pmc/articles/PMC12486560/pdf/","citationCount":"0","resultStr":"{\"title\":\"Familial, Nonsyndromic, Generalized Radiculomegaly Affecting Both Dentitions: The First Reported Case.\",\"authors\":\"Ramya Ramanathan, Paul Chalakkal, Siya Gajanan Dukle, Aman Rajput, Daulat Kumar\",\"doi\":\"10.5005/jp-journals-10005-3165\",\"DOIUrl\":null,\"url\":null,\"abstract\":\"<p><strong>Aim and background: </strong>Radiculomegaly is a rare anomaly characterized by the abnormal elongation of tooth roots. Its etiology is poorly understood and is often diagnosed accidentally during routine dental or radiographic evaluations. The condition may pose challenges while carrying out root canal treatment, extraction, or orthodontic tooth movement.</p><p><strong>Case description: </strong>This article highlights the first ever reported case of familial, nonsyndromic, generalized radiculomegaly affecting the primary and permanent dentitions in a 13-year-old male who had visited the Department of Pedodontics and Preventive Dentistry for a dental checkup. Clinical examination revealed a delay in eruption since his dentition was inconsistent with his age. An orthopantomograph showed the presence of primary and permanent teeth with longer roots than usual.</p><p><strong>Conclusion: </strong>A diagnosis of radiculomegaly was made from full-mouth CBCT tooth measurements that confirmed longer roots. Orthopantomographs of his sibling and father revealed similar findings.</p><p><strong>Clinical significance: </strong>Radiculomegaly is a rare condition. It is generally asymptomatic; however, it may cause difficulties during endodontic treatment. Therefore, early diagnosis is beneficial.</p><p><strong>How to cite this article: </strong>Ramanathan R, Chalakkal P, Dukle SG, <i>et al.</i> Familial, Nonsyndromic, Generalized Radiculomegaly Affecting Both Dentitions: The First Reported Case. Int J Clin Pediatr Dent 2025;18(7):879-882.</p>\",\"PeriodicalId\":36045,\"journal\":{\"name\":\"International Journal of Clinical Pediatric Dentistry\",\"volume\":\"18 7\",\"pages\":\"879-882\"},\"PeriodicalIF\":0.0000,\"publicationDate\":\"2025-07-01\",\"publicationTypes\":\"Journal Article\",\"fieldsOfStudy\":null,\"isOpenAccess\":false,\"openAccessPdf\":\"https://www.ncbi.nlm.nih.gov/pmc/articles/PMC12486560/pdf/\",\"citationCount\":\"0\",\"resultStr\":null,\"platform\":\"Semanticscholar\",\"paperid\":null,\"PeriodicalName\":\"International Journal of Clinical Pediatric Dentistry\",\"FirstCategoryId\":\"1085\",\"ListUrlMain\":\"https://doi.org/10.5005/jp-journals-10005-3165\",\"RegionNum\":0,\"RegionCategory\":null,\"ArticlePicture\":[],\"TitleCN\":null,\"AbstractTextCN\":null,\"PMCID\":null,\"EPubDate\":\"2025/8/20 0:00:00\",\"PubModel\":\"Epub\",\"JCR\":\"Q3\",\"JCRName\":\"Dentistry\",\"Score\":null,\"Total\":0}","platform":"Semanticscholar","paperid":null,"PeriodicalName":"International Journal of Clinical Pediatric Dentistry","FirstCategoryId":"1085","ListUrlMain":"https://doi.org/10.5005/jp-journals-10005-3165","RegionNum":0,"RegionCategory":null,"ArticlePicture":[],"TitleCN":null,"AbstractTextCN":null,"PMCID":null,"EPubDate":"2025/8/20 0:00:00","PubModel":"Epub","JCR":"Q3","JCRName":"Dentistry","Score":null,"Total":0}
引用次数: 0

摘要

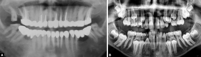
目的与背景:牙根肿大是一种罕见的异常,其特征是牙根的异常伸长。其病因尚不清楚,通常在常规牙科或放射检查中被意外诊断。在进行根管治疗、拔牙或正畸牙齿移动时,这种情况可能会带来挑战。病例描述:这篇文章强调了首次报道的家族性,非综合征性,广泛性根根肿大影响原牙和恒牙的病例,患者是一名13岁的男性,他曾到儿科和牙科预防科进行牙科检查。临床检查发现因牙列与年龄不一致而延迟出牙。矫形断层照相显示其乳牙和恒牙的牙根比平时长。结论:通过全口CBCT牙齿测量证实根长,可以诊断根根肿大。他的兄弟姐妹和父亲的骨正位断层扫描显示了类似的结果。临床意义:神经根肿大是一种罕见的疾病。通常无症状;然而,这可能会给牙髓治疗带来困难。因此,早期诊断是有益的。如何引用本文:Ramanathan R, Chalakkal P, Dukle SG等。家族性,非综合征性,影响双牙的广泛性根根肿大:第一例报道。中华临床儿科杂志,2015;18(7):879-882。
本文章由计算机程序翻译,如有差异,请以英文原文为准。

Familial, Nonsyndromic, Generalized Radiculomegaly Affecting Both Dentitions: The First Reported Case.

Familial, Nonsyndromic, Generalized Radiculomegaly Affecting Both Dentitions: The First Reported Case.

Familial, Nonsyndromic, Generalized Radiculomegaly Affecting Both Dentitions: The First Reported Case.

Familial, Nonsyndromic, Generalized Radiculomegaly Affecting Both Dentitions: The First Reported Case.

Aim and background: Radiculomegaly is a rare anomaly characterized by the abnormal elongation of tooth roots. Its etiology is poorly understood and is often diagnosed accidentally during routine dental or radiographic evaluations. The condition may pose challenges while carrying out root canal treatment, extraction, or orthodontic tooth movement.

Case description: This article highlights the first ever reported case of familial, nonsyndromic, generalized radiculomegaly affecting the primary and permanent dentitions in a 13-year-old male who had visited the Department of Pedodontics and Preventive Dentistry for a dental checkup. Clinical examination revealed a delay in eruption since his dentition was inconsistent with his age. An orthopantomograph showed the presence of primary and permanent teeth with longer roots than usual.

Conclusion: A diagnosis of radiculomegaly was made from full-mouth CBCT tooth measurements that confirmed longer roots. Orthopantomographs of his sibling and father revealed similar findings.

Clinical significance: Radiculomegaly is a rare condition. It is generally asymptomatic; however, it may cause difficulties during endodontic treatment. Therefore, early diagnosis is beneficial.

How to cite this article: Ramanathan R, Chalakkal P, Dukle SG, et al. Familial, Nonsyndromic, Generalized Radiculomegaly Affecting Both Dentitions: The First Reported Case. Int J Clin Pediatr Dent 2025;18(7):879-882.

求助全文
通过发布文献求助,成功后即可免费获取论文全文。 去求助
来源期刊
CiteScore
1.20
自引率
0.00%
发文量
135
×
引用
GB/T 7714-2015
复制
MLA
复制
APA
复制
导出至
BibTeX EndNote RefMan NoteFirst NoteExpress
×
提示
您的信息不完整,为了账户安全,请先补充。
现在去补充
×
提示
您因"违规操作"
具体请查看互助需知
我知道了
×
提示
确定
请完成安全验证×
copy
已复制链接
快去分享给好友吧!
我知道了
右上角分享
点击右上角分享
0
联系我们:info@booksci.cn Book学术提供免费学术资源搜索服务,方便国内外学者检索中英文文献。致力于提供最便捷和优质的服务体验。 Copyright © 2023 布克学术 All rights reserved.
京ICP备2023020795号-1
ghs 京公网安备 11010802042870号
Book学术文献互助
Book学术文献互助群
群 号:604180095
Book学术官方微信