导航复杂性:一个埃利斯-范·克雷费尔德综合征的儿科病例。

IF 1 Q4 PRIMARY HEALTH CARE
Mridula Goswami, Riya Marie Johnson, Rimshheanam
{"title":"导航复杂性:一个埃利斯-范·克雷费尔德综合征的儿科病例。","authors":"Mridula Goswami, Riya Marie Johnson, Rimshheanam","doi":"10.4103/jfmpc.jfmpc_184_25","DOIUrl":null,"url":null,"abstract":"<p><p>Ellis-van Creveld (EVC) syndrome is a rare autosomal recessive disorder characterized by congenital abnormalities such as ectodermal dysplasia, post-axial polydactyly, chondrodysplasia, and congenital heart defects. The syndrome presents unique challenges in pediatric dentistry due to its diverse oral manifestations and the need for multidisciplinary care. This case report presents a 12-year-old male with EVC syndrome presented with bilateral polydactyly, a syndromic facial appearance, and congenital heart defects. Clinical and radiographic evaluation revealed several missing and malformed teeth. A comprehensive treatment plan was formulated which included prosthetic rehabilitation with removable partial dentures. Regular follow-ups were conducted to assess overall oral health. Multidisciplinary management, including dental, cardiac, and psychological care, is crucial for optimizing patient outcomes. Early diagnosis and treatment are crucial for improving oral health, function, and quality of life, thereby enhancing the psychological well-being and self-esteem of affected children.</p>","PeriodicalId":15856,"journal":{"name":"Journal of Family Medicine and Primary Care","volume":"14 8","pages":"3578-3581"},"PeriodicalIF":1.0000,"publicationDate":"2025-08-01","publicationTypes":"Journal Article","fieldsOfStudy":null,"isOpenAccess":false,"openAccessPdf":"https://www.ncbi.nlm.nih.gov/pmc/articles/PMC12488175/pdf/","citationCount":"0","resultStr":"{\"title\":\"Navigating complexities: A pediatric case of Ellis-van Creveld syndrome.\",\"authors\":\"Mridula Goswami, Riya Marie Johnson, Rimshheanam\",\"doi\":\"10.4103/jfmpc.jfmpc_184_25\",\"DOIUrl\":null,\"url\":null,\"abstract\":\"<p><p>Ellis-van Creveld (EVC) syndrome is a rare autosomal recessive disorder characterized by congenital abnormalities such as ectodermal dysplasia, post-axial polydactyly, chondrodysplasia, and congenital heart defects. The syndrome presents unique challenges in pediatric dentistry due to its diverse oral manifestations and the need for multidisciplinary care. This case report presents a 12-year-old male with EVC syndrome presented with bilateral polydactyly, a syndromic facial appearance, and congenital heart defects. Clinical and radiographic evaluation revealed several missing and malformed teeth. A comprehensive treatment plan was formulated which included prosthetic rehabilitation with removable partial dentures. Regular follow-ups were conducted to assess overall oral health. Multidisciplinary management, including dental, cardiac, and psychological care, is crucial for optimizing patient outcomes. Early diagnosis and treatment are crucial for improving oral health, function, and quality of life, thereby enhancing the psychological well-being and self-esteem of affected children.</p>\",\"PeriodicalId\":15856,\"journal\":{\"name\":\"Journal of Family Medicine and Primary Care\",\"volume\":\"14 8\",\"pages\":\"3578-3581\"},\"PeriodicalIF\":1.0000,\"publicationDate\":\"2025-08-01\",\"publicationTypes\":\"Journal Article\",\"fieldsOfStudy\":null,\"isOpenAccess\":false,\"openAccessPdf\":\"https://www.ncbi.nlm.nih.gov/pmc/articles/PMC12488175/pdf/\",\"citationCount\":\"0\",\"resultStr\":null,\"platform\":\"Semanticscholar\",\"paperid\":null,\"PeriodicalName\":\"Journal of Family Medicine and Primary Care\",\"FirstCategoryId\":\"1085\",\"ListUrlMain\":\"https://doi.org/10.4103/jfmpc.jfmpc_184_25\",\"RegionNum\":0,\"RegionCategory\":null,\"ArticlePicture\":[],\"TitleCN\":null,\"AbstractTextCN\":null,\"PMCID\":null,\"EPubDate\":\"2025/9/24 0:00:00\",\"PubModel\":\"Epub\",\"JCR\":\"Q4\",\"JCRName\":\"PRIMARY HEALTH CARE\",\"Score\":null,\"Total\":0}","platform":"Semanticscholar","paperid":null,"PeriodicalName":"Journal of Family Medicine and Primary Care","FirstCategoryId":"1085","ListUrlMain":"https://doi.org/10.4103/jfmpc.jfmpc_184_25","RegionNum":0,"RegionCategory":null,"ArticlePicture":[],"TitleCN":null,"AbstractTextCN":null,"PMCID":null,"EPubDate":"2025/9/24 0:00:00","PubModel":"Epub","JCR":"Q4","JCRName":"PRIMARY HEALTH CARE","Score":null,"Total":0}
引用次数: 0

摘要

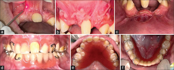
Ellis-van Creveld (EVC)综合征是一种罕见的常染色体隐性遗传病,以先天性异常为特征,如外胚层发育不良、轴后多指畸形、软骨发育不良和先天性心脏缺陷。由于其多样化的口腔表现和多学科护理的需要,该综合征在儿科牙科中提出了独特的挑战。本病例报告提出一12岁男性EVC综合征,表现为双侧多指畸形,综合征性面部外观和先天性心脏缺陷。临床及影像学检查发现数颗牙齿缺失及畸形。制定了包括可摘局部义齿修复在内的综合治疗方案。定期随访以评估整体口腔健康状况。多学科管理,包括牙科、心脏和心理护理,对优化患者预后至关重要。早期诊断和治疗对于改善口腔健康、功能和生活质量至关重要,从而增强患病儿童的心理健康和自尊。
本文章由计算机程序翻译,如有差异,请以英文原文为准。

Navigating complexities: A pediatric case of Ellis-van Creveld syndrome.

Navigating complexities: A pediatric case of Ellis-van Creveld syndrome.

Navigating complexities: A pediatric case of Ellis-van Creveld syndrome.

Navigating complexities: A pediatric case of Ellis-van Creveld syndrome.

Ellis-van Creveld (EVC) syndrome is a rare autosomal recessive disorder characterized by congenital abnormalities such as ectodermal dysplasia, post-axial polydactyly, chondrodysplasia, and congenital heart defects. The syndrome presents unique challenges in pediatric dentistry due to its diverse oral manifestations and the need for multidisciplinary care. This case report presents a 12-year-old male with EVC syndrome presented with bilateral polydactyly, a syndromic facial appearance, and congenital heart defects. Clinical and radiographic evaluation revealed several missing and malformed teeth. A comprehensive treatment plan was formulated which included prosthetic rehabilitation with removable partial dentures. Regular follow-ups were conducted to assess overall oral health. Multidisciplinary management, including dental, cardiac, and psychological care, is crucial for optimizing patient outcomes. Early diagnosis and treatment are crucial for improving oral health, function, and quality of life, thereby enhancing the psychological well-being and self-esteem of affected children.

求助全文
通过发布文献求助,成功后即可免费获取论文全文。 去求助
来源期刊
自引率
7.10%
发文量
884
审稿时长
40 weeks
×
引用
GB/T 7714-2015
复制
MLA
复制
APA
复制
导出至
BibTeX EndNote RefMan NoteFirst NoteExpress
×
提示
您的信息不完整,为了账户安全,请先补充。
现在去补充
×
提示
您因"违规操作"
具体请查看互助需知
我知道了
×
提示
确定
请完成安全验证×
copy
已复制链接
快去分享给好友吧!
我知道了
右上角分享
点击右上角分享
0
联系我们:info@booksci.cn Book学术提供免费学术资源搜索服务,方便国内外学者检索中英文文献。致力于提供最便捷和优质的服务体验。 Copyright © 2023 布克学术 All rights reserved.
京ICP备2023020795号-1
ghs 京公网安备 11010802042870号
Book学术文献互助
Book学术文献互助群
群 号:604180095
Book学术官方微信