鼻窦癌1例报告。

IF 1 Q4 PRIMARY HEALTH CARE
Jyoti P Sapre, Kirti N Vyas
{"title":"鼻窦癌1例报告。","authors":"Jyoti P Sapre, Kirti N Vyas","doi":"10.4103/jfmpc.jfmpc_349_25","DOIUrl":null,"url":null,"abstract":"<p><p>Carcinoma of the nose and paranasal sinuses is an uncommon tumour accounting for less than 1% of all malignancies and about 3% of head and neck malignancies. It is more common in fifth and sixth decades with increased male preponderance. Occupational exposure to nickel has been known to increased its occurrence. Here we present a case of 25-year male presenting with right sided nasal blockage and pain in the right eye with swelling for 2 months. Imaging studies revealed a large soft tissue density with involvement of surrounding structures with bony erosion and extension to the orbit. Histopathology and Immunohistochemistry confirmed the diagnosis of poorly differentiated sinonasal carcinoma non keratinising type.</p>","PeriodicalId":15856,"journal":{"name":"Journal of Family Medicine and Primary Care","volume":"14 8","pages":"3575-3577"},"PeriodicalIF":1.0000,"publicationDate":"2025-08-01","publicationTypes":"Journal Article","fieldsOfStudy":null,"isOpenAccess":false,"openAccessPdf":"https://www.ncbi.nlm.nih.gov/pmc/articles/PMC12488135/pdf/","citationCount":"0","resultStr":"{\"title\":\"Sinonasal carcinoma: A rare case report.\",\"authors\":\"Jyoti P Sapre, Kirti N Vyas\",\"doi\":\"10.4103/jfmpc.jfmpc_349_25\",\"DOIUrl\":null,\"url\":null,\"abstract\":\"<p><p>Carcinoma of the nose and paranasal sinuses is an uncommon tumour accounting for less than 1% of all malignancies and about 3% of head and neck malignancies. It is more common in fifth and sixth decades with increased male preponderance. Occupational exposure to nickel has been known to increased its occurrence. Here we present a case of 25-year male presenting with right sided nasal blockage and pain in the right eye with swelling for 2 months. Imaging studies revealed a large soft tissue density with involvement of surrounding structures with bony erosion and extension to the orbit. Histopathology and Immunohistochemistry confirmed the diagnosis of poorly differentiated sinonasal carcinoma non keratinising type.</p>\",\"PeriodicalId\":15856,\"journal\":{\"name\":\"Journal of Family Medicine and Primary Care\",\"volume\":\"14 8\",\"pages\":\"3575-3577\"},\"PeriodicalIF\":1.0000,\"publicationDate\":\"2025-08-01\",\"publicationTypes\":\"Journal Article\",\"fieldsOfStudy\":null,\"isOpenAccess\":false,\"openAccessPdf\":\"https://www.ncbi.nlm.nih.gov/pmc/articles/PMC12488135/pdf/\",\"citationCount\":\"0\",\"resultStr\":null,\"platform\":\"Semanticscholar\",\"paperid\":null,\"PeriodicalName\":\"Journal of Family Medicine and Primary Care\",\"FirstCategoryId\":\"1085\",\"ListUrlMain\":\"https://doi.org/10.4103/jfmpc.jfmpc_349_25\",\"RegionNum\":0,\"RegionCategory\":null,\"ArticlePicture\":[],\"TitleCN\":null,\"AbstractTextCN\":null,\"PMCID\":null,\"EPubDate\":\"2025/9/24 0:00:00\",\"PubModel\":\"Epub\",\"JCR\":\"Q4\",\"JCRName\":\"PRIMARY HEALTH CARE\",\"Score\":null,\"Total\":0}","platform":"Semanticscholar","paperid":null,"PeriodicalName":"Journal of Family Medicine and Primary Care","FirstCategoryId":"1085","ListUrlMain":"https://doi.org/10.4103/jfmpc.jfmpc_349_25","RegionNum":0,"RegionCategory":null,"ArticlePicture":[],"TitleCN":null,"AbstractTextCN":null,"PMCID":null,"EPubDate":"2025/9/24 0:00:00","PubModel":"Epub","JCR":"Q4","JCRName":"PRIMARY HEALTH CARE","Score":null,"Total":0}
引用次数: 0

摘要

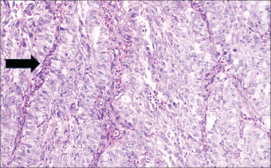
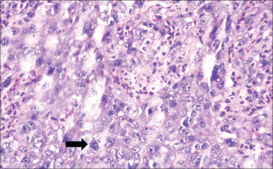
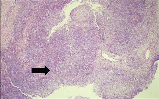
鼻鼻窦癌是一种罕见的肿瘤,占所有恶性肿瘤的不到1%,约占头颈部恶性肿瘤的3%。它在第五和第六十年更常见,男性的优势增加。已知职业接触镍会增加其发病率。我们在此报告一位25岁男性病患,以右侧鼻塞及右眼疼痛及肿胀2个月为主诉。影像学检查显示软组织密度大,周围结构受累,骨质侵蚀并向眼眶延伸。组织病理学及免疫组化证实低分化鼻窦癌为非角化型。
本文章由计算机程序翻译,如有差异,请以英文原文为准。

Sinonasal carcinoma: A rare case report.

Sinonasal carcinoma: A rare case report.

Sinonasal carcinoma: A rare case report.

Sinonasal carcinoma: A rare case report.

Carcinoma of the nose and paranasal sinuses is an uncommon tumour accounting for less than 1% of all malignancies and about 3% of head and neck malignancies. It is more common in fifth and sixth decades with increased male preponderance. Occupational exposure to nickel has been known to increased its occurrence. Here we present a case of 25-year male presenting with right sided nasal blockage and pain in the right eye with swelling for 2 months. Imaging studies revealed a large soft tissue density with involvement of surrounding structures with bony erosion and extension to the orbit. Histopathology and Immunohistochemistry confirmed the diagnosis of poorly differentiated sinonasal carcinoma non keratinising type.

求助全文
通过发布文献求助,成功后即可免费获取论文全文。 去求助
来源期刊
自引率
7.10%
发文量
884
审稿时长
40 weeks
×
引用
GB/T 7714-2015
复制
MLA
复制
APA
复制
导出至
BibTeX EndNote RefMan NoteFirst NoteExpress
×
提示
您的信息不完整,为了账户安全,请先补充。
现在去补充
×
提示
您因"违规操作"
具体请查看互助需知
我知道了
×
提示
确定
请完成安全验证×
copy
已复制链接
快去分享给好友吧!
我知道了
右上角分享
点击右上角分享
0
联系我们:info@booksci.cn Book学术提供免费学术资源搜索服务,方便国内外学者检索中英文文献。致力于提供最便捷和优质的服务体验。 Copyright © 2023 布克学术 All rights reserved.
京ICP备2023020795号-1
ghs 京公网安备 11010802042870号
Book学术文献互助
Book学术文献互助群
群 号:604180095
Book学术官方微信