单侧肾上腺腺瘤所致原发性醛固酮增多症所致复发性低钾血症。一份病例报告。

IF 1 Q4 PRIMARY HEALTH CARE
Srinivas Nalloor, G N Impana, Benaganahalli S Sandeep, V N Ranjitha, M Raghavendran, Anish Behl
{"title":"单侧肾上腺腺瘤所致原发性醛固酮增多症所致复发性低钾血症。一份病例报告。","authors":"Srinivas Nalloor, G N Impana, Benaganahalli S Sandeep, V N Ranjitha, M Raghavendran, Anish Behl","doi":"10.4103/jfmpc.jfmpc_2021_24","DOIUrl":null,"url":null,"abstract":"<p><p>Conn's syndrome or primary aldosteronism (PA) due to aldosterone-producing adrenal adenoma (APA) is the most frequent cause of hypokalemia and secondary hypertension. We are reporting a Primary Aldosteronism(PA) case in an indian male, who presented with recurrent lower limb weakness & was admitted twice for management of his symptoms. On evaluating, laboratory reports revealed that his symptoms are due to refractory severe hypokalemia, metabolic alkalosis, raised serum aldosterone levels, and low plasma renin activity. Transtubular potassium gradient (TTKG) was suggestive of ongoing renal potassium loss. Computed Tomography (CT) angiography of adrenal glands during his first admission showed an 8-mm nodule in the right adrenal gland. CT angiography during his second admission with more severe similar complaints revealed an increase in the size of this nodule. The patient was managed with serum potassium correction and surgical intervention. He underwent laparoscopic right adrenalectomy. Following the surgery, the patient serum potassium normalized and he had a good clinical outcome. We suggest clinicians to consider screening for PA and offer surgical intervention wherever necessary in cases with refractory hypokalemia and secondary hypertension.</p>","PeriodicalId":15856,"journal":{"name":"Journal of Family Medicine and Primary Care","volume":"14 8","pages":"3560-3564"},"PeriodicalIF":1.0000,"publicationDate":"2025-08-01","publicationTypes":"Journal Article","fieldsOfStudy":null,"isOpenAccess":false,"openAccessPdf":"https://www.ncbi.nlm.nih.gov/pmc/articles/PMC12488115/pdf/","citationCount":"0","resultStr":"{\"title\":\"Recurrent hypokalemia induced by primary aldosteronism due to unilateral adrenal adenoma. A case report.\",\"authors\":\"Srinivas Nalloor, G N Impana, Benaganahalli S Sandeep, V N Ranjitha, M Raghavendran, Anish Behl\",\"doi\":\"10.4103/jfmpc.jfmpc_2021_24\",\"DOIUrl\":null,\"url\":null,\"abstract\":\"<p><p>Conn's syndrome or primary aldosteronism (PA) due to aldosterone-producing adrenal adenoma (APA) is the most frequent cause of hypokalemia and secondary hypertension. We are reporting a Primary Aldosteronism(PA) case in an indian male, who presented with recurrent lower limb weakness & was admitted twice for management of his symptoms. On evaluating, laboratory reports revealed that his symptoms are due to refractory severe hypokalemia, metabolic alkalosis, raised serum aldosterone levels, and low plasma renin activity. Transtubular potassium gradient (TTKG) was suggestive of ongoing renal potassium loss. Computed Tomography (CT) angiography of adrenal glands during his first admission showed an 8-mm nodule in the right adrenal gland. CT angiography during his second admission with more severe similar complaints revealed an increase in the size of this nodule. The patient was managed with serum potassium correction and surgical intervention. He underwent laparoscopic right adrenalectomy. Following the surgery, the patient serum potassium normalized and he had a good clinical outcome. We suggest clinicians to consider screening for PA and offer surgical intervention wherever necessary in cases with refractory hypokalemia and secondary hypertension.</p>\",\"PeriodicalId\":15856,\"journal\":{\"name\":\"Journal of Family Medicine and Primary Care\",\"volume\":\"14 8\",\"pages\":\"3560-3564\"},\"PeriodicalIF\":1.0000,\"publicationDate\":\"2025-08-01\",\"publicationTypes\":\"Journal Article\",\"fieldsOfStudy\":null,\"isOpenAccess\":false,\"openAccessPdf\":\"https://www.ncbi.nlm.nih.gov/pmc/articles/PMC12488115/pdf/\",\"citationCount\":\"0\",\"resultStr\":null,\"platform\":\"Semanticscholar\",\"paperid\":null,\"PeriodicalName\":\"Journal of Family Medicine and Primary Care\",\"FirstCategoryId\":\"1085\",\"ListUrlMain\":\"https://doi.org/10.4103/jfmpc.jfmpc_2021_24\",\"RegionNum\":0,\"RegionCategory\":null,\"ArticlePicture\":[],\"TitleCN\":null,\"AbstractTextCN\":null,\"PMCID\":null,\"EPubDate\":\"2025/9/24 0:00:00\",\"PubModel\":\"Epub\",\"JCR\":\"Q4\",\"JCRName\":\"PRIMARY HEALTH CARE\",\"Score\":null,\"Total\":0}","platform":"Semanticscholar","paperid":null,"PeriodicalName":"Journal of Family Medicine and Primary Care","FirstCategoryId":"1085","ListUrlMain":"https://doi.org/10.4103/jfmpc.jfmpc_2021_24","RegionNum":0,"RegionCategory":null,"ArticlePicture":[],"TitleCN":null,"AbstractTextCN":null,"PMCID":null,"EPubDate":"2025/9/24 0:00:00","PubModel":"Epub","JCR":"Q4","JCRName":"PRIMARY HEALTH CARE","Score":null,"Total":0}
引用次数: 0

摘要

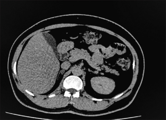
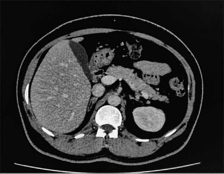
由醛固酮生成肾上腺腺瘤(APA)引起的康氏综合征或原发性醛固酮增多症(PA)是低钾血症和继发性高血压的最常见原因。我们报告一例原发性醛固酮增多症(PA)在印度男性,谁提出了复发性下肢无力和入院两次,以管理他的症状。经评估,实验室报告显示他的症状是由于难治性严重低钾血症、代谢性碱中毒、血清醛固酮水平升高和血浆肾素活性低所致。经小管钾梯度(TTKG)提示持续的肾钾流失。首次入院时的肾上腺CT血管造影显示右侧肾上腺有一个8毫米结节。在他第二次入院时,CT血管造影显示该结节的大小增加。患者接受血钾校正和手术干预。他接受了腹腔镜右肾上腺切除术。术后患者血钾恢复正常,临床预后良好。我们建议临床医生考虑筛查PA,并在必要时对难治性低钾血症和继发性高血压患者进行手术干预。
本文章由计算机程序翻译,如有差异,请以英文原文为准。

Recurrent hypokalemia induced by primary aldosteronism due to unilateral adrenal adenoma. A case report.

Recurrent hypokalemia induced by primary aldosteronism due to unilateral adrenal adenoma. A case report.

Recurrent hypokalemia induced by primary aldosteronism due to unilateral adrenal adenoma. A case report.

Recurrent hypokalemia induced by primary aldosteronism due to unilateral adrenal adenoma. A case report.

Conn's syndrome or primary aldosteronism (PA) due to aldosterone-producing adrenal adenoma (APA) is the most frequent cause of hypokalemia and secondary hypertension. We are reporting a Primary Aldosteronism(PA) case in an indian male, who presented with recurrent lower limb weakness & was admitted twice for management of his symptoms. On evaluating, laboratory reports revealed that his symptoms are due to refractory severe hypokalemia, metabolic alkalosis, raised serum aldosterone levels, and low plasma renin activity. Transtubular potassium gradient (TTKG) was suggestive of ongoing renal potassium loss. Computed Tomography (CT) angiography of adrenal glands during his first admission showed an 8-mm nodule in the right adrenal gland. CT angiography during his second admission with more severe similar complaints revealed an increase in the size of this nodule. The patient was managed with serum potassium correction and surgical intervention. He underwent laparoscopic right adrenalectomy. Following the surgery, the patient serum potassium normalized and he had a good clinical outcome. We suggest clinicians to consider screening for PA and offer surgical intervention wherever necessary in cases with refractory hypokalemia and secondary hypertension.

求助全文
通过发布文献求助,成功后即可免费获取论文全文。 去求助
来源期刊
自引率
7.10%
发文量
884
审稿时长
40 weeks
×
引用
GB/T 7714-2015
复制
MLA
复制
APA
复制
导出至
BibTeX EndNote RefMan NoteFirst NoteExpress
×
提示
您的信息不完整,为了账户安全,请先补充。
现在去补充
×
提示
您因"违规操作"
具体请查看互助需知
我知道了
×
提示
确定
请完成安全验证×
copy
已复制链接
快去分享给好友吧!
我知道了
右上角分享
点击右上角分享
0
联系我们:info@booksci.cn Book学术提供免费学术资源搜索服务,方便国内外学者检索中英文文献。致力于提供最便捷和优质的服务体验。 Copyright © 2023 布克学术 All rights reserved.
京ICP备2023020795号-1
ghs 京公网安备 11010802042870号
Book学术文献互助
Book学术文献互助群
群 号:604180095
Book学术官方微信