流浪阑尾炎的不确定命运:个人经历与文献回顾。

IF 1.6 4区 医学 Q2 SURGERY
Frontiers in Surgery Pub Date : 2025-09-17 eCollection Date: 2025-01-01 DOI:10.3389/fsurg.2025.1646625
Andrea Cavallaro, Antonio Zanghì, Paolo Di Mattia, Filippo Sanfilippo, Luigi La Via, Giordana Riccioli, Alessandro Cappellani, Kenya Tiralongo
{"title":"流浪阑尾炎的不确定命运:个人经历与文献回顾。","authors":"Andrea Cavallaro, Antonio Zanghì, Paolo Di Mattia, Filippo Sanfilippo, Luigi La Via, Giordana Riccioli, Alessandro Cappellani, Kenya Tiralongo","doi":"10.3389/fsurg.2025.1646625","DOIUrl":null,"url":null,"abstract":"<p><strong>Introduction: </strong>Retained appendicoliths are an uncommon but clinically relevant complication of appendectomy, particularly in cases of perforated appendicitis. Migration of the appendicolith into the peritoneal cavity or liver may lead to persistent or recurrent abscess formation.</p><p><strong>Case description: </strong>We present the case of a 29-year-old male with recurrent hepatic abscesses following laparoscopic appendectomy. Initial CT and MRI imaging revealed calcified components within the liver consistent with a migrated appendicolith. Despite percutaneous drainage and antibiotic therapy, the patient experienced relapse. Definitive resolution was achieved through laparoscopic hepatic resection and removal of the retained appendicolith.</p><p><strong>Discussion: </strong>This case highlights the diagnostic challenges and potential complications associated with retained appendicoliths. Imaging plays a crucial role in identification and management. While conservative approaches may be attempted, surgical retrieval is often required to prevent recurrent infections.</p><p><strong>Conclusion: </strong>Retained appendicoliths should be considered in the differential diagnosis of hepatic abscesses following appendectomy. Timely diagnosis and complete removal are essential to avoid long-term morbidity.</p>","PeriodicalId":12564,"journal":{"name":"Frontiers in Surgery","volume":"12 ","pages":"1646625"},"PeriodicalIF":1.6000,"publicationDate":"2025-09-17","publicationTypes":"Journal Article","fieldsOfStudy":null,"isOpenAccess":false,"openAccessPdf":"https://www.ncbi.nlm.nih.gov/pmc/articles/PMC12484003/pdf/","citationCount":"0","resultStr":"{\"title\":\"The uncertain fate of a wandering appendicolith: personal experience and literature review.\",\"authors\":\"Andrea Cavallaro, Antonio Zanghì, Paolo Di Mattia, Filippo Sanfilippo, Luigi La Via, Giordana Riccioli, Alessandro Cappellani, Kenya Tiralongo\",\"doi\":\"10.3389/fsurg.2025.1646625\",\"DOIUrl\":null,\"url\":null,\"abstract\":\"<p><strong>Introduction: </strong>Retained appendicoliths are an uncommon but clinically relevant complication of appendectomy, particularly in cases of perforated appendicitis. Migration of the appendicolith into the peritoneal cavity or liver may lead to persistent or recurrent abscess formation.</p><p><strong>Case description: </strong>We present the case of a 29-year-old male with recurrent hepatic abscesses following laparoscopic appendectomy. Initial CT and MRI imaging revealed calcified components within the liver consistent with a migrated appendicolith. Despite percutaneous drainage and antibiotic therapy, the patient experienced relapse. Definitive resolution was achieved through laparoscopic hepatic resection and removal of the retained appendicolith.</p><p><strong>Discussion: </strong>This case highlights the diagnostic challenges and potential complications associated with retained appendicoliths. Imaging plays a crucial role in identification and management. While conservative approaches may be attempted, surgical retrieval is often required to prevent recurrent infections.</p><p><strong>Conclusion: </strong>Retained appendicoliths should be considered in the differential diagnosis of hepatic abscesses following appendectomy. Timely diagnosis and complete removal are essential to avoid long-term morbidity.</p>\",\"PeriodicalId\":12564,\"journal\":{\"name\":\"Frontiers in Surgery\",\"volume\":\"12 \",\"pages\":\"1646625\"},\"PeriodicalIF\":1.6000,\"publicationDate\":\"2025-09-17\",\"publicationTypes\":\"Journal Article\",\"fieldsOfStudy\":null,\"isOpenAccess\":false,\"openAccessPdf\":\"https://www.ncbi.nlm.nih.gov/pmc/articles/PMC12484003/pdf/\",\"citationCount\":\"0\",\"resultStr\":null,\"platform\":\"Semanticscholar\",\"paperid\":null,\"PeriodicalName\":\"Frontiers in Surgery\",\"FirstCategoryId\":\"3\",\"ListUrlMain\":\"https://doi.org/10.3389/fsurg.2025.1646625\",\"RegionNum\":4,\"RegionCategory\":\"医学\",\"ArticlePicture\":[],\"TitleCN\":null,\"AbstractTextCN\":null,\"PMCID\":null,\"EPubDate\":\"2025/1/1 0:00:00\",\"PubModel\":\"eCollection\",\"JCR\":\"Q2\",\"JCRName\":\"SURGERY\",\"Score\":null,\"Total\":0}","platform":"Semanticscholar","paperid":null,"PeriodicalName":"Frontiers in Surgery","FirstCategoryId":"3","ListUrlMain":"https://doi.org/10.3389/fsurg.2025.1646625","RegionNum":4,"RegionCategory":"医学","ArticlePicture":[],"TitleCN":null,"AbstractTextCN":null,"PMCID":null,"EPubDate":"2025/1/1 0:00:00","PubModel":"eCollection","JCR":"Q2","JCRName":"SURGERY","Score":null,"Total":0}
引用次数: 0

摘要

阑尾结石是阑尾切除术的一种罕见但临床相关的并发症,特别是在穿孔性阑尾炎的病例中。阑尾结石移入腹腔或肝脏可导致持续性或复发性脓肿形成。病例描述:我们报告一例29岁男性在腹腔镜阑尾切除术后复发性肝脓肿的病例。最初的CT和MRI成像显示肝脏内的钙化成分与阑尾石的迁移一致。尽管经皮引流和抗生素治疗,患者还是复发了。通过腹腔镜肝切除术和去除残留的阑尾石,最终解决了问题。讨论:本病例强调了诊断的挑战和潜在的并发症与保留阑尾结石。成像在识别和管理中起着至关重要的作用。虽然可以尝试保守方法,但通常需要手术切除以防止复发感染。结论:阑尾切除术后肝脓肿的鉴别诊断应考虑保留的阑尾结石。及时诊断和完全切除是避免长期发病的必要条件。
本文章由计算机程序翻译,如有差异,请以英文原文为准。

The uncertain fate of a wandering appendicolith: personal experience and literature review.

The uncertain fate of a wandering appendicolith: personal experience and literature review.

The uncertain fate of a wandering appendicolith: personal experience and literature review.

The uncertain fate of a wandering appendicolith: personal experience and literature review.

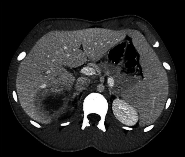
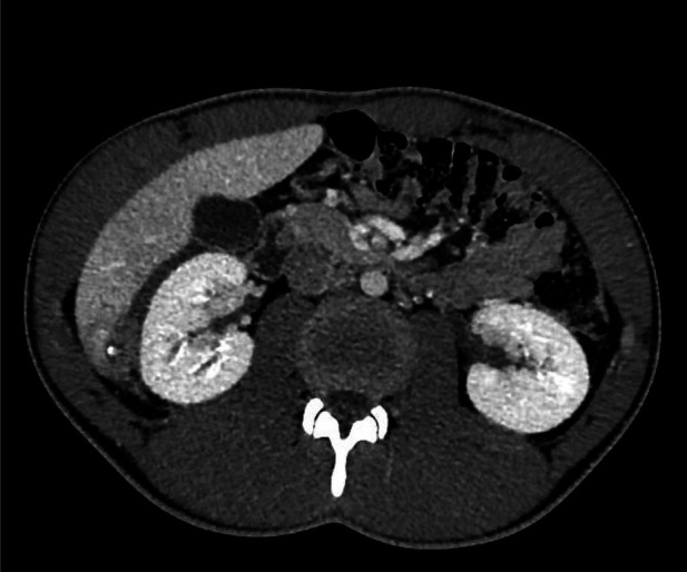
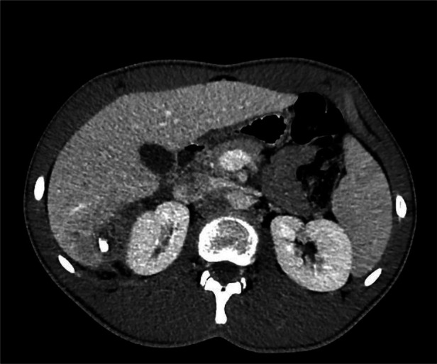
Introduction: Retained appendicoliths are an uncommon but clinically relevant complication of appendectomy, particularly in cases of perforated appendicitis. Migration of the appendicolith into the peritoneal cavity or liver may lead to persistent or recurrent abscess formation.

Case description: We present the case of a 29-year-old male with recurrent hepatic abscesses following laparoscopic appendectomy. Initial CT and MRI imaging revealed calcified components within the liver consistent with a migrated appendicolith. Despite percutaneous drainage and antibiotic therapy, the patient experienced relapse. Definitive resolution was achieved through laparoscopic hepatic resection and removal of the retained appendicolith.

Discussion: This case highlights the diagnostic challenges and potential complications associated with retained appendicoliths. Imaging plays a crucial role in identification and management. While conservative approaches may be attempted, surgical retrieval is often required to prevent recurrent infections.

Conclusion: Retained appendicoliths should be considered in the differential diagnosis of hepatic abscesses following appendectomy. Timely diagnosis and complete removal are essential to avoid long-term morbidity.

求助全文
通过发布文献求助,成功后即可免费获取论文全文。 去求助
来源期刊
Frontiers in Surgery
Frontiers in Surgery Medicine-Surgery
CiteScore
1.90
自引率
11.10%
发文量
1872
审稿时长
12 weeks
期刊介绍: Evidence of surgical interventions go back to prehistoric times. Since then, the field of surgery has developed into a complex array of specialties and procedures, particularly with the advent of microsurgery, lasers and minimally invasive techniques. The advanced skills now required from surgeons has led to ever increasing specialization, though these still share important fundamental principles. Frontiers in Surgery is the umbrella journal representing the publication interests of all surgical specialties. It is divided into several “Specialty Sections” listed below. All these sections have their own Specialty Chief Editor, Editorial Board and homepage, but all articles carry the citation Frontiers in Surgery. Frontiers in Surgery calls upon medical professionals and scientists from all surgical specialties to publish their experimental and clinical studies in this journal. By assembling all surgical specialties, which nonetheless retain their independence, under the common umbrella of Frontiers in Surgery, a powerful publication venue is created. Since there is often overlap and common ground between the different surgical specialties, assembly of all surgical disciplines into a single journal will foster a collaborative dialogue amongst the surgical community. This means that publications, which are also of interest to other surgical specialties, will reach a wider audience and have greater impact. The aim of this multidisciplinary journal is to create a discussion and knowledge platform of advances and research findings in surgical practice today to continuously improve clinical management of patients and foster innovation in this field.
×
引用
GB/T 7714-2015
复制
MLA
复制
APA
复制
导出至
BibTeX EndNote RefMan NoteFirst NoteExpress
×
提示
您的信息不完整,为了账户安全,请先补充。
现在去补充
×
提示
您因"违规操作"
具体请查看互助需知
我知道了
×
提示
确定
请完成安全验证×
copy
已复制链接
快去分享给好友吧!
我知道了
右上角分享
点击右上角分享
0
联系我们:info@booksci.cn Book学术提供免费学术资源搜索服务,方便国内外学者检索中英文文献。致力于提供最便捷和优质的服务体验。 Copyright © 2023 布克学术 All rights reserved.
京ICP备2023020795号-1
ghs 京公网安备 11010802042870号
Book学术文献互助
Book学术文献互助群
群 号:604180095
Book学术官方微信