妊娠期烟雾病1例报告及文献复习。

IF 1.3 Q3 MEDICINE, GENERAL & INTERNAL
Cureus Pub Date : 2025-09-30 eCollection Date: 2025-09-01 DOI:10.7759/cureus.93567
George Mpourazanis, Zoi Anastasiadi, Elisavet Melissi, Petros Papalexis, Michaela Papadatou, Athina Veneti, Apostolos Ntanasis, Magdalini Aliri, Michail Billis, Anastasia Zagaliki, Christos Akrivis, Panagiotis Tsirkas
{"title":"妊娠期烟雾病1例报告及文献复习。","authors":"George Mpourazanis, Zoi Anastasiadi, Elisavet Melissi, Petros Papalexis, Michaela Papadatou, Athina Veneti, Apostolos Ntanasis, Magdalini Aliri, Michail Billis, Anastasia Zagaliki, Christos Akrivis, Panagiotis Tsirkas","doi":"10.7759/cureus.93567","DOIUrl":null,"url":null,"abstract":"<p><p>Moyamoya disease (MMD) is a rare cerebrovascular disorder characterized by the constriction or obstruction of the internal carotid and anterior cerebral arteries bilaterally, leading to either ischemic or hemorrhagic events. A 28-year-old Caucasian female with a history of bilateral MMD was admitted for a scheduled cesarean delivery at 38 weeks of pregnancy. The management around the surgery involved stopping aspirin, closely monitoring hemodynamics, and administering general anesthesia. A healthy male baby was delivered via cesarean section, and both the mother and infant were discharged on the third day without any complications. This case represents the first recorded instance of MMD during pregnancy in Greece. Achieving successful results is possible through early identification, tailored delivery planning, and collaborative care among obstetrics, neurology, and anesthesia teams. Additional multicenter research is necessary to create standard management protocols for this high-risk patient group.</p>","PeriodicalId":93960,"journal":{"name":"Cureus","volume":"17 9","pages":"e93567"},"PeriodicalIF":1.3000,"publicationDate":"2025-09-30","publicationTypes":"Journal Article","fieldsOfStudy":null,"isOpenAccess":false,"openAccessPdf":"https://www.ncbi.nlm.nih.gov/pmc/articles/PMC12483289/pdf/","citationCount":"0","resultStr":"{\"title\":\"Moyamoya Disease in Pregnancy: A Case Report and Review of the Literature.\",\"authors\":\"George Mpourazanis, Zoi Anastasiadi, Elisavet Melissi, Petros Papalexis, Michaela Papadatou, Athina Veneti, Apostolos Ntanasis, Magdalini Aliri, Michail Billis, Anastasia Zagaliki, Christos Akrivis, Panagiotis Tsirkas\",\"doi\":\"10.7759/cureus.93567\",\"DOIUrl\":null,\"url\":null,\"abstract\":\"<p><p>Moyamoya disease (MMD) is a rare cerebrovascular disorder characterized by the constriction or obstruction of the internal carotid and anterior cerebral arteries bilaterally, leading to either ischemic or hemorrhagic events. A 28-year-old Caucasian female with a history of bilateral MMD was admitted for a scheduled cesarean delivery at 38 weeks of pregnancy. The management around the surgery involved stopping aspirin, closely monitoring hemodynamics, and administering general anesthesia. A healthy male baby was delivered via cesarean section, and both the mother and infant were discharged on the third day without any complications. This case represents the first recorded instance of MMD during pregnancy in Greece. Achieving successful results is possible through early identification, tailored delivery planning, and collaborative care among obstetrics, neurology, and anesthesia teams. Additional multicenter research is necessary to create standard management protocols for this high-risk patient group.</p>\",\"PeriodicalId\":93960,\"journal\":{\"name\":\"Cureus\",\"volume\":\"17 9\",\"pages\":\"e93567\"},\"PeriodicalIF\":1.3000,\"publicationDate\":\"2025-09-30\",\"publicationTypes\":\"Journal Article\",\"fieldsOfStudy\":null,\"isOpenAccess\":false,\"openAccessPdf\":\"https://www.ncbi.nlm.nih.gov/pmc/articles/PMC12483289/pdf/\",\"citationCount\":\"0\",\"resultStr\":null,\"platform\":\"Semanticscholar\",\"paperid\":null,\"PeriodicalName\":\"Cureus\",\"FirstCategoryId\":\"1085\",\"ListUrlMain\":\"https://doi.org/10.7759/cureus.93567\",\"RegionNum\":0,\"RegionCategory\":null,\"ArticlePicture\":[],\"TitleCN\":null,\"AbstractTextCN\":null,\"PMCID\":null,\"EPubDate\":\"2025/9/1 0:00:00\",\"PubModel\":\"eCollection\",\"JCR\":\"Q3\",\"JCRName\":\"MEDICINE, GENERAL & INTERNAL\",\"Score\":null,\"Total\":0}","platform":"Semanticscholar","paperid":null,"PeriodicalName":"Cureus","FirstCategoryId":"1085","ListUrlMain":"https://doi.org/10.7759/cureus.93567","RegionNum":0,"RegionCategory":null,"ArticlePicture":[],"TitleCN":null,"AbstractTextCN":null,"PMCID":null,"EPubDate":"2025/9/1 0:00:00","PubModel":"eCollection","JCR":"Q3","JCRName":"MEDICINE, GENERAL & INTERNAL","Score":null,"Total":0}
引用次数: 0

摘要

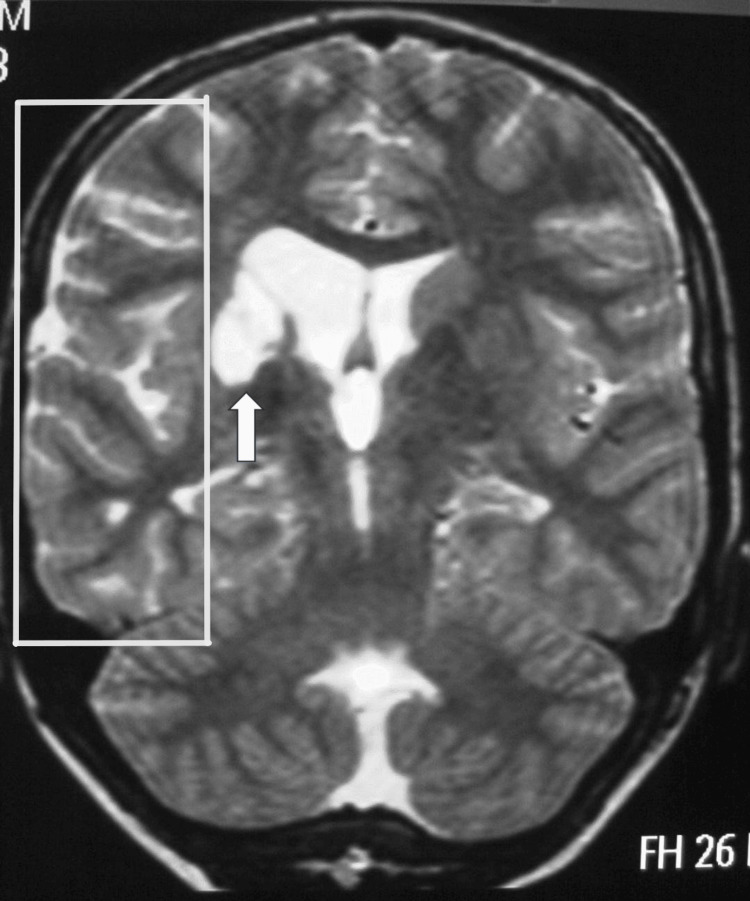
烟雾病(MMD)是一种罕见的脑血管疾病,其特征是双侧颈内动脉和大脑前动脉收缩或阻塞,导致缺血或出血事件。一位28岁的白人女性,有双侧烟雾病史,在怀孕38周时接受剖宫产。手术前后的处理包括停用阿司匹林,密切监测血流动力学,并给予全身麻醉。一个健康的男婴通过剖宫产分娩,母亲和婴儿在第三天出院,没有任何并发症。该病例是希腊首次记录的妊娠期烟雾病病例。通过早期识别、量身定制的分娩计划以及产科、神经病学和麻醉团队之间的协作护理,有可能取得成功的结果。需要更多的多中心研究来为这一高危患者群体制定标准的管理方案。
本文章由计算机程序翻译,如有差异,请以英文原文为准。

Moyamoya Disease in Pregnancy: A Case Report and Review of the Literature.

Moyamoya Disease in Pregnancy: A Case Report and Review of the Literature.

Moyamoya Disease in Pregnancy: A Case Report and Review of the Literature.

Moyamoya disease (MMD) is a rare cerebrovascular disorder characterized by the constriction or obstruction of the internal carotid and anterior cerebral arteries bilaterally, leading to either ischemic or hemorrhagic events. A 28-year-old Caucasian female with a history of bilateral MMD was admitted for a scheduled cesarean delivery at 38 weeks of pregnancy. The management around the surgery involved stopping aspirin, closely monitoring hemodynamics, and administering general anesthesia. A healthy male baby was delivered via cesarean section, and both the mother and infant were discharged on the third day without any complications. This case represents the first recorded instance of MMD during pregnancy in Greece. Achieving successful results is possible through early identification, tailored delivery planning, and collaborative care among obstetrics, neurology, and anesthesia teams. Additional multicenter research is necessary to create standard management protocols for this high-risk patient group.

求助全文
通过发布文献求助,成功后即可免费获取论文全文。 去求助
来源期刊
自引率
0.00%
发文量
0
×
引用
GB/T 7714-2015
复制
MLA
复制
APA
复制
导出至
BibTeX EndNote RefMan NoteFirst NoteExpress
×
提示
您的信息不完整,为了账户安全,请先补充。
现在去补充
×
提示
您因"违规操作"
具体请查看互助需知
我知道了
×
提示
确定
请完成安全验证×
copy
已复制链接
快去分享给好友吧!
我知道了
右上角分享
点击右上角分享
0
联系我们:info@booksci.cn Book学术提供免费学术资源搜索服务,方便国内外学者检索中英文文献。致力于提供最便捷和优质的服务体验。 Copyright © 2023 布克学术 All rights reserved.
京ICP备2023020795号-1
ghs 京公网安备 11010802042870号
Book学术文献互助
Book学术文献互助群
群 号:604180095
Book学术官方微信