乳糜胸引起的膈疝:Gorham-Stout综合征的新并发症。

IF 0.5 Q4 SURGERY
Journal of Surgical Case Reports Pub Date : 2025-09-30 eCollection Date: 2025-09-01 DOI:10.1093/jscr/rjaf772
Quan Chen, Cuiyan Yang, Hui Chen, Chuanfeng Ke
{"title":"乳糜胸引起的膈疝:Gorham-Stout综合征的新并发症。","authors":"Quan Chen, Cuiyan Yang, Hui Chen, Chuanfeng Ke","doi":"10.1093/jscr/rjaf772","DOIUrl":null,"url":null,"abstract":"<p><p>A young male with Gorham-Stout syndrome (GSS), a rare lymphovascular disorder causing bone loss, presented with cough, difficulty breathing, and chylous pleural effusion infected with <i>Staphylococcus aureus</i>. Despite thoracic duct ligation, his chylothorax recurred. Imaging showed bone lesions in the sternum and ribs, along with thickened pleura. Electromyography revealed mild bilateral phrenic nerve motor conduction abnormalities. A year later, he developed a symptomatic left diaphragmatic hernia with partial bowel obstruction that required surgical repair. This case highlights the need for early diaphragm monitoring in GSS patients with chylothorax to prevent serious complications.</p>","PeriodicalId":47321,"journal":{"name":"Journal of Surgical Case Reports","volume":"2025 9","pages":"rjaf772"},"PeriodicalIF":0.5000,"publicationDate":"2025-09-30","publicationTypes":"Journal Article","fieldsOfStudy":null,"isOpenAccess":false,"openAccessPdf":"https://www.ncbi.nlm.nih.gov/pmc/articles/PMC12482988/pdf/","citationCount":"0","resultStr":"{\"title\":\"Chylothorax-induced diaphragmatic herniation: a novel complication of Gorham-Stout syndrome.\",\"authors\":\"Quan Chen, Cuiyan Yang, Hui Chen, Chuanfeng Ke\",\"doi\":\"10.1093/jscr/rjaf772\",\"DOIUrl\":null,\"url\":null,\"abstract\":\"<p><p>A young male with Gorham-Stout syndrome (GSS), a rare lymphovascular disorder causing bone loss, presented with cough, difficulty breathing, and chylous pleural effusion infected with <i>Staphylococcus aureus</i>. Despite thoracic duct ligation, his chylothorax recurred. Imaging showed bone lesions in the sternum and ribs, along with thickened pleura. Electromyography revealed mild bilateral phrenic nerve motor conduction abnormalities. A year later, he developed a symptomatic left diaphragmatic hernia with partial bowel obstruction that required surgical repair. This case highlights the need for early diaphragm monitoring in GSS patients with chylothorax to prevent serious complications.</p>\",\"PeriodicalId\":47321,\"journal\":{\"name\":\"Journal of Surgical Case Reports\",\"volume\":\"2025 9\",\"pages\":\"rjaf772\"},\"PeriodicalIF\":0.5000,\"publicationDate\":\"2025-09-30\",\"publicationTypes\":\"Journal Article\",\"fieldsOfStudy\":null,\"isOpenAccess\":false,\"openAccessPdf\":\"https://www.ncbi.nlm.nih.gov/pmc/articles/PMC12482988/pdf/\",\"citationCount\":\"0\",\"resultStr\":null,\"platform\":\"Semanticscholar\",\"paperid\":null,\"PeriodicalName\":\"Journal of Surgical Case Reports\",\"FirstCategoryId\":\"1085\",\"ListUrlMain\":\"https://doi.org/10.1093/jscr/rjaf772\",\"RegionNum\":0,\"RegionCategory\":null,\"ArticlePicture\":[],\"TitleCN\":null,\"AbstractTextCN\":null,\"PMCID\":null,\"EPubDate\":\"2025/9/1 0:00:00\",\"PubModel\":\"eCollection\",\"JCR\":\"Q4\",\"JCRName\":\"SURGERY\",\"Score\":null,\"Total\":0}","platform":"Semanticscholar","paperid":null,"PeriodicalName":"Journal of Surgical Case Reports","FirstCategoryId":"1085","ListUrlMain":"https://doi.org/10.1093/jscr/rjaf772","RegionNum":0,"RegionCategory":null,"ArticlePicture":[],"TitleCN":null,"AbstractTextCN":null,"PMCID":null,"EPubDate":"2025/9/1 0:00:00","PubModel":"eCollection","JCR":"Q4","JCRName":"SURGERY","Score":null,"Total":0}
引用次数: 0

摘要

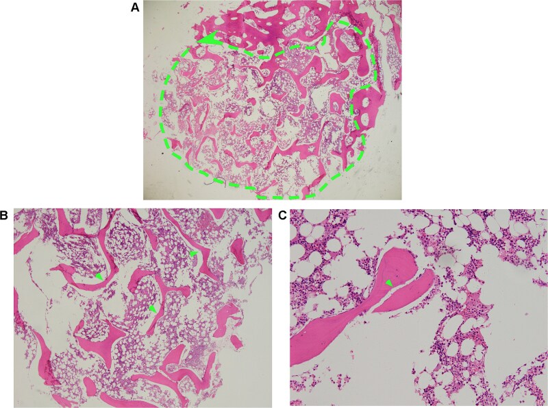
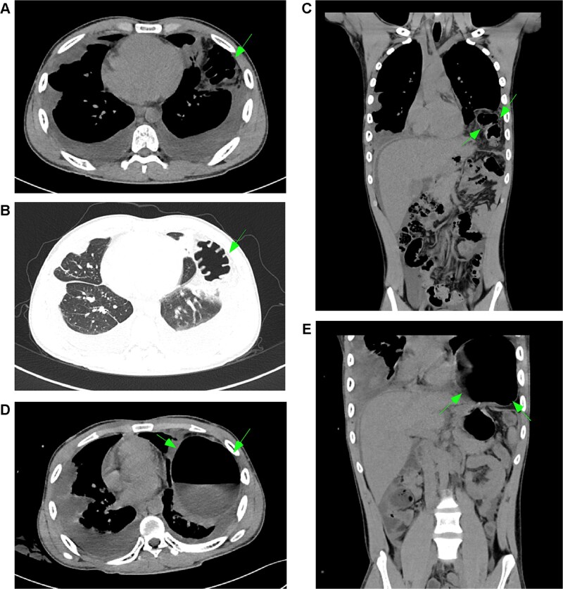
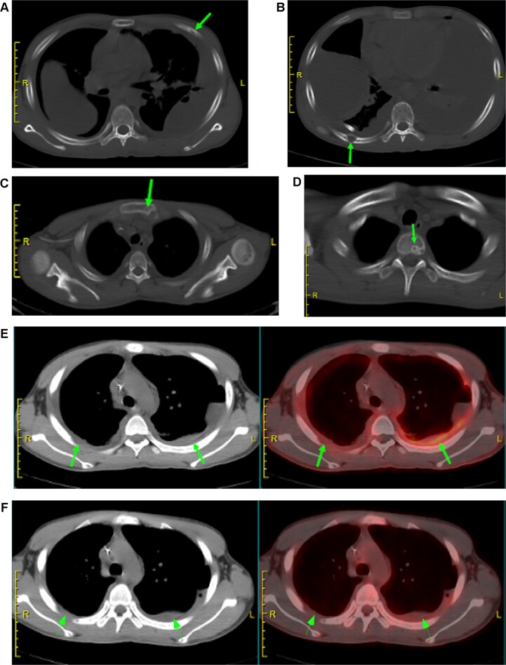
一例年轻男性Gorham-Stout综合征(GSS),一种罕见的导致骨质流失的淋巴血管疾病,表现为咳嗽、呼吸困难和乳糜胸膜积液感染金黄色葡萄球菌。尽管进行了胸导管结扎术,他的乳糜胸还是复发了。影像学显示胸骨和肋骨病变,胸膜增厚。肌电图显示轻度双侧膈神经运动传导异常。一年后,他出现了有症状的左侧膈疝并伴有部分肠梗阻,需要手术修复。本病例强调了GSS合并乳糜胸患者早期膈肌监测的必要性,以防止严重的并发症。
本文章由计算机程序翻译,如有差异,请以英文原文为准。

Chylothorax-induced diaphragmatic herniation: a novel complication of Gorham-Stout syndrome.

Chylothorax-induced diaphragmatic herniation: a novel complication of Gorham-Stout syndrome.

Chylothorax-induced diaphragmatic herniation: a novel complication of Gorham-Stout syndrome.

Chylothorax-induced diaphragmatic herniation: a novel complication of Gorham-Stout syndrome.

A young male with Gorham-Stout syndrome (GSS), a rare lymphovascular disorder causing bone loss, presented with cough, difficulty breathing, and chylous pleural effusion infected with Staphylococcus aureus. Despite thoracic duct ligation, his chylothorax recurred. Imaging showed bone lesions in the sternum and ribs, along with thickened pleura. Electromyography revealed mild bilateral phrenic nerve motor conduction abnormalities. A year later, he developed a symptomatic left diaphragmatic hernia with partial bowel obstruction that required surgical repair. This case highlights the need for early diaphragm monitoring in GSS patients with chylothorax to prevent serious complications.

求助全文
通过发布文献求助,成功后即可免费获取论文全文。 去求助
来源期刊
CiteScore
0.70
自引率
0.00%
发文量
559
审稿时长
11 weeks
×
引用
GB/T 7714-2015
复制
MLA
复制
APA
复制
导出至
BibTeX EndNote RefMan NoteFirst NoteExpress
×
提示
您的信息不完整,为了账户安全,请先补充。
现在去补充
×
提示
您因"违规操作"
具体请查看互助需知
我知道了
×
提示
确定
请完成安全验证×
copy
已复制链接
快去分享给好友吧!
我知道了
右上角分享
点击右上角分享
0
联系我们:info@booksci.cn Book学术提供免费学术资源搜索服务,方便国内外学者检索中英文文献。致力于提供最便捷和优质的服务体验。 Copyright © 2023 布克学术 All rights reserved.
京ICP备2023020795号-1
ghs 京公网安备 11010802042870号
Book学术文献互助
Book学术文献互助群
群 号:604180095
Book学术官方微信