一例gli1改变的间充质胸膜肿瘤伴新型基因融合:临床观点。

IF 0.5 Q4 SURGERY
Journal of Surgical Case Reports Pub Date : 2025-09-30 eCollection Date: 2025-09-01 DOI:10.1093/jscr/rjaf781
Sheikh Izzat Bin Zainal-Abidin Bahajjaj, Cynthia Ming Li Chia, Benjamin Livingston Farah
{"title":"一例gli1改变的间充质胸膜肿瘤伴新型基因融合:临床观点。","authors":"Sheikh Izzat Bin Zainal-Abidin Bahajjaj, Cynthia Ming Li Chia, Benjamin Livingston Farah","doi":"10.1093/jscr/rjaf781","DOIUrl":null,"url":null,"abstract":"<p><p>This report presents a case of a Glioma-associated homologue-1 (GLI1)-altered mesenchymal tumour with novel gene fusion arising from the pleura in a 25-year-old female undergoing treatment for primary colorectal adenocarcinoma. A pleural nodule was incidentally detected during staging, and biopsy revealed a mesenchymal tumour with a novel NCOR2(exon 7)::GLI1(exon 6) gene fusion. The tumour showed an indolent course over 10 months of surveillance during chemotherapy, with no significant growth. Despite the absence of malignant features, such as high mitotic rate, necrosis, or large size, and a low proliferation index, surgical excision was chosen due to the rarity and uncertain prognosis of this fusion. Histology confirmed a low-grade tumour with unusual SOX10 expression. This case expands the understanding of GLI1-altered mesenchymal tumours, especially in uncommon sites like the pleura, and highlights the importance of multidisciplinary decision-making. Ongoing molecular and pathological analysis is critical to establish robust diagnostic and prognostic frameworks for such rare tumour entities.</p>","PeriodicalId":47321,"journal":{"name":"Journal of Surgical Case Reports","volume":"2025 9","pages":"rjaf781"},"PeriodicalIF":0.5000,"publicationDate":"2025-09-30","publicationTypes":"Journal Article","fieldsOfStudy":null,"isOpenAccess":false,"openAccessPdf":"https://www.ncbi.nlm.nih.gov/pmc/articles/PMC12481683/pdf/","citationCount":"0","resultStr":"{\"title\":\"A case of GLI1-altered mesenchymal pleural tumour with novel gene fusion: a clinical perspective.\",\"authors\":\"Sheikh Izzat Bin Zainal-Abidin Bahajjaj, Cynthia Ming Li Chia, Benjamin Livingston Farah\",\"doi\":\"10.1093/jscr/rjaf781\",\"DOIUrl\":null,\"url\":null,\"abstract\":\"<p><p>This report presents a case of a Glioma-associated homologue-1 (GLI1)-altered mesenchymal tumour with novel gene fusion arising from the pleura in a 25-year-old female undergoing treatment for primary colorectal adenocarcinoma. A pleural nodule was incidentally detected during staging, and biopsy revealed a mesenchymal tumour with a novel NCOR2(exon 7)::GLI1(exon 6) gene fusion. The tumour showed an indolent course over 10 months of surveillance during chemotherapy, with no significant growth. Despite the absence of malignant features, such as high mitotic rate, necrosis, or large size, and a low proliferation index, surgical excision was chosen due to the rarity and uncertain prognosis of this fusion. Histology confirmed a low-grade tumour with unusual SOX10 expression. This case expands the understanding of GLI1-altered mesenchymal tumours, especially in uncommon sites like the pleura, and highlights the importance of multidisciplinary decision-making. Ongoing molecular and pathological analysis is critical to establish robust diagnostic and prognostic frameworks for such rare tumour entities.</p>\",\"PeriodicalId\":47321,\"journal\":{\"name\":\"Journal of Surgical Case Reports\",\"volume\":\"2025 9\",\"pages\":\"rjaf781\"},\"PeriodicalIF\":0.5000,\"publicationDate\":\"2025-09-30\",\"publicationTypes\":\"Journal Article\",\"fieldsOfStudy\":null,\"isOpenAccess\":false,\"openAccessPdf\":\"https://www.ncbi.nlm.nih.gov/pmc/articles/PMC12481683/pdf/\",\"citationCount\":\"0\",\"resultStr\":null,\"platform\":\"Semanticscholar\",\"paperid\":null,\"PeriodicalName\":\"Journal of Surgical Case Reports\",\"FirstCategoryId\":\"1085\",\"ListUrlMain\":\"https://doi.org/10.1093/jscr/rjaf781\",\"RegionNum\":0,\"RegionCategory\":null,\"ArticlePicture\":[],\"TitleCN\":null,\"AbstractTextCN\":null,\"PMCID\":null,\"EPubDate\":\"2025/9/1 0:00:00\",\"PubModel\":\"eCollection\",\"JCR\":\"Q4\",\"JCRName\":\"SURGERY\",\"Score\":null,\"Total\":0}","platform":"Semanticscholar","paperid":null,"PeriodicalName":"Journal of Surgical Case Reports","FirstCategoryId":"1085","ListUrlMain":"https://doi.org/10.1093/jscr/rjaf781","RegionNum":0,"RegionCategory":null,"ArticlePicture":[],"TitleCN":null,"AbstractTextCN":null,"PMCID":null,"EPubDate":"2025/9/1 0:00:00","PubModel":"eCollection","JCR":"Q4","JCRName":"SURGERY","Score":null,"Total":0}
引用次数: 0

摘要

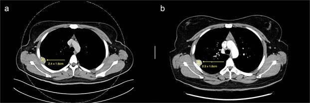
本报告报告了一例胶质瘤相关同源物-1 (GLI1)改变的间充质肿瘤,并伴有新的基因融合,发生在一名25岁的接受原发性结直肠癌治疗的女性胸膜上。在分期期间偶然发现胸膜结节,活检显示间质肿瘤具有新的NCOR2(外显子7):GLI1(外显子6)基因融合。在化疗期间,肿瘤在10个月的监测中表现为惰性过程,没有明显的生长。尽管没有恶性特征,如有丝分裂率高、坏死或体积大、增殖指数低,但由于这种融合的罕见性和不确定的预后,我们选择了手术切除。组织学证实为低级别肿瘤,SOX10表达异常。该病例扩大了对gli1改变的间充质肿瘤的理解,特别是在胸膜等罕见部位,并强调了多学科决策的重要性。正在进行的分子和病理分析对于建立这种罕见肿瘤实体的可靠诊断和预后框架至关重要。
本文章由计算机程序翻译,如有差异,请以英文原文为准。

A case of GLI1-altered mesenchymal pleural tumour with novel gene fusion: a clinical perspective.

A case of GLI1-altered mesenchymal pleural tumour with novel gene fusion: a clinical perspective.

A case of GLI1-altered mesenchymal pleural tumour with novel gene fusion: a clinical perspective.

This report presents a case of a Glioma-associated homologue-1 (GLI1)-altered mesenchymal tumour with novel gene fusion arising from the pleura in a 25-year-old female undergoing treatment for primary colorectal adenocarcinoma. A pleural nodule was incidentally detected during staging, and biopsy revealed a mesenchymal tumour with a novel NCOR2(exon 7)::GLI1(exon 6) gene fusion. The tumour showed an indolent course over 10 months of surveillance during chemotherapy, with no significant growth. Despite the absence of malignant features, such as high mitotic rate, necrosis, or large size, and a low proliferation index, surgical excision was chosen due to the rarity and uncertain prognosis of this fusion. Histology confirmed a low-grade tumour with unusual SOX10 expression. This case expands the understanding of GLI1-altered mesenchymal tumours, especially in uncommon sites like the pleura, and highlights the importance of multidisciplinary decision-making. Ongoing molecular and pathological analysis is critical to establish robust diagnostic and prognostic frameworks for such rare tumour entities.

求助全文
通过发布文献求助,成功后即可免费获取论文全文。 去求助
来源期刊
CiteScore
0.70
自引率
0.00%
发文量
559
审稿时长
11 weeks
×
引用
GB/T 7714-2015
复制
MLA
复制
APA
复制
导出至
BibTeX EndNote RefMan NoteFirst NoteExpress
×
提示
您的信息不完整,为了账户安全,请先补充。
现在去补充
×
提示
您因"违规操作"
具体请查看互助需知
我知道了
×
提示
确定
请完成安全验证×
copy
已复制链接
快去分享给好友吧!
我知道了
右上角分享
点击右上角分享
0
联系我们:info@booksci.cn Book学术提供免费学术资源搜索服务,方便国内外学者检索中英文文献。致力于提供最便捷和优质的服务体验。 Copyright © 2023 布克学术 All rights reserved.
京ICP备2023020795号-1
ghs 京公网安备 11010802042870号
Book学术文献互助
Book学术文献互助群
群 号:604180095
Book学术官方微信