病例报告:用支架内支架技术重建近端狭窄的基底动脉动脉瘤。

IF 1.6 4区 医学 Q2 SURGERY
Frontiers in Surgery Pub Date : 2025-09-16 eCollection Date: 2025-01-01 DOI:10.3389/fsurg.2025.1603876
Iroda Mammadinova, Chingiz Nurimanov, Nurtay Nurakay, Karashash Menlibayeva, Serik Akshulakov, Yerbol Makhambetov
{"title":"病例报告:用支架内支架技术重建近端狭窄的基底动脉动脉瘤。","authors":"Iroda Mammadinova, Chingiz Nurimanov, Nurtay Nurakay, Karashash Menlibayeva, Serik Akshulakov, Yerbol Makhambetov","doi":"10.3389/fsurg.2025.1603876","DOIUrl":null,"url":null,"abstract":"<p><strong>Background: </strong>Complex basilar artery aneurysms are challenging to treat due to their deep anatomical location and proximity to critical perforating arteries, as well as their frequent fusiform morphology and association with long-segment stenosis or atherosclerotic changes. Endovascular flow diversion has become an important option; however, its use in large and fusiform basilar artery aneurysms is complicated by the risks of device malapposition, migration, and incomplete occlusion.</p><p><strong>Case presentation: </strong>We report a case of a large basilar artery aneurysm with severe pre-aneurysmal stenosis treated using a telescopic flow-diverter strategy. Balloon angioplasty prior to stent deployment was performed to optimize vessel diameter, followed by the sequential distal-to- proximal placement of overlapping flow diverters. Post-procedural angiography revealed device instability, necessitating the deployment of an additional flow diverter in a \"stent-within-a-stent\" configuration to improve wall apposition and prevent migration. This approach resulted in sustained aneurysm thrombosis and long-term vessel patency.</p><p><strong>Conclusion: </strong>This case illustrates the technical challenges of managing complex basilar artery aneurysms and emphasizes the role of adjunctive stenting in stabilizing flow diverters. Carefully individualized endovascular strategies that account for fusiform morphology, long-segment arterial involvement, atherosclerotic changes, and the perforator-rich environment, together with technical challenges such as the need for telescopic reconstruction or adjunctive balloon angioplasty, are essential for enhancing procedural safety and achieving durable aneurysm occlusion in high-risk patients.</p>","PeriodicalId":12564,"journal":{"name":"Frontiers in Surgery","volume":"12 ","pages":"1603876"},"PeriodicalIF":1.6000,"publicationDate":"2025-09-16","publicationTypes":"Journal Article","fieldsOfStudy":null,"isOpenAccess":false,"openAccessPdf":"https://www.ncbi.nlm.nih.gov/pmc/articles/PMC12479525/pdf/","citationCount":"0","resultStr":"{\"title\":\"Case Report: \\\"Stent-within-a-Stent\\\" technique after telescopic flow diverter reconstruction for basilar artery aneurysm with proximal stenosis.\",\"authors\":\"Iroda Mammadinova, Chingiz Nurimanov, Nurtay Nurakay, Karashash Menlibayeva, Serik Akshulakov, Yerbol Makhambetov\",\"doi\":\"10.3389/fsurg.2025.1603876\",\"DOIUrl\":null,\"url\":null,\"abstract\":\"<p><strong>Background: </strong>Complex basilar artery aneurysms are challenging to treat due to their deep anatomical location and proximity to critical perforating arteries, as well as their frequent fusiform morphology and association with long-segment stenosis or atherosclerotic changes. Endovascular flow diversion has become an important option; however, its use in large and fusiform basilar artery aneurysms is complicated by the risks of device malapposition, migration, and incomplete occlusion.</p><p><strong>Case presentation: </strong>We report a case of a large basilar artery aneurysm with severe pre-aneurysmal stenosis treated using a telescopic flow-diverter strategy. Balloon angioplasty prior to stent deployment was performed to optimize vessel diameter, followed by the sequential distal-to- proximal placement of overlapping flow diverters. Post-procedural angiography revealed device instability, necessitating the deployment of an additional flow diverter in a \\\"stent-within-a-stent\\\" configuration to improve wall apposition and prevent migration. This approach resulted in sustained aneurysm thrombosis and long-term vessel patency.</p><p><strong>Conclusion: </strong>This case illustrates the technical challenges of managing complex basilar artery aneurysms and emphasizes the role of adjunctive stenting in stabilizing flow diverters. Carefully individualized endovascular strategies that account for fusiform morphology, long-segment arterial involvement, atherosclerotic changes, and the perforator-rich environment, together with technical challenges such as the need for telescopic reconstruction or adjunctive balloon angioplasty, are essential for enhancing procedural safety and achieving durable aneurysm occlusion in high-risk patients.</p>\",\"PeriodicalId\":12564,\"journal\":{\"name\":\"Frontiers in Surgery\",\"volume\":\"12 \",\"pages\":\"1603876\"},\"PeriodicalIF\":1.6000,\"publicationDate\":\"2025-09-16\",\"publicationTypes\":\"Journal Article\",\"fieldsOfStudy\":null,\"isOpenAccess\":false,\"openAccessPdf\":\"https://www.ncbi.nlm.nih.gov/pmc/articles/PMC12479525/pdf/\",\"citationCount\":\"0\",\"resultStr\":null,\"platform\":\"Semanticscholar\",\"paperid\":null,\"PeriodicalName\":\"Frontiers in Surgery\",\"FirstCategoryId\":\"3\",\"ListUrlMain\":\"https://doi.org/10.3389/fsurg.2025.1603876\",\"RegionNum\":4,\"RegionCategory\":\"医学\",\"ArticlePicture\":[],\"TitleCN\":null,\"AbstractTextCN\":null,\"PMCID\":null,\"EPubDate\":\"2025/1/1 0:00:00\",\"PubModel\":\"eCollection\",\"JCR\":\"Q2\",\"JCRName\":\"SURGERY\",\"Score\":null,\"Total\":0}","platform":"Semanticscholar","paperid":null,"PeriodicalName":"Frontiers in Surgery","FirstCategoryId":"3","ListUrlMain":"https://doi.org/10.3389/fsurg.2025.1603876","RegionNum":4,"RegionCategory":"医学","ArticlePicture":[],"TitleCN":null,"AbstractTextCN":null,"PMCID":null,"EPubDate":"2025/1/1 0:00:00","PubModel":"eCollection","JCR":"Q2","JCRName":"SURGERY","Score":null,"Total":0}
引用次数: 0

摘要

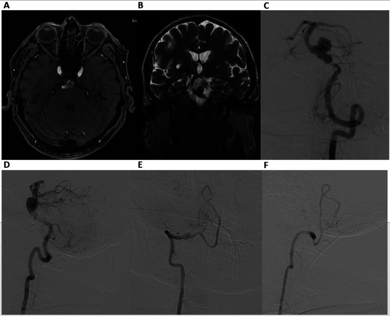
背景:复杂基底动脉动脉瘤的治疗具有挑战性,因为其解剖位置较深,靠近关键穿动脉,并且其频繁的梭状形态和与长段狭窄或动脉粥样硬化改变有关。血管内分流已成为重要的选择;然而,它在大的和梭状的基底动脉动脉瘤中的应用是复杂的,因为装置错位、移动和不完全闭塞的风险。病例介绍:我们报告一例大基底动脉瘤伴严重动脉瘤前狭窄的病例,采用套筒式血流分流术治疗。在支架部署之前进行球囊血管成形术以优化血管直径,然后依次从远端到近端放置重叠的血流分流器。术后血管造影显示设备不稳定,需要在“支架内支架”配置中部署额外的分流器,以改善管壁的放置并防止迁移。这种方法导致持续的动脉瘤血栓形成和长期的血管通畅。结论:本病例说明了处理复杂基底动脉动脉瘤的技术挑战,并强调了辅助支架置入在稳定血流分流器中的作用。考虑到梭状形态、长段动脉受损伤、动脉粥样硬化改变和穿孔丰富的环境,以及需要套筒重建或辅助球囊血管成形术等技术挑战,仔细个性化的血管内策略对于提高手术安全性和实现高风险患者持久的动脉瘤闭塞至关重要。
本文章由计算机程序翻译,如有差异,请以英文原文为准。

Case Report: "Stent-within-a-Stent" technique after telescopic flow diverter reconstruction for basilar artery aneurysm with proximal stenosis.

Case Report: "Stent-within-a-Stent" technique after telescopic flow diverter reconstruction for basilar artery aneurysm with proximal stenosis.

Case Report: "Stent-within-a-Stent" technique after telescopic flow diverter reconstruction for basilar artery aneurysm with proximal stenosis.

Case Report: "Stent-within-a-Stent" technique after telescopic flow diverter reconstruction for basilar artery aneurysm with proximal stenosis.

Background: Complex basilar artery aneurysms are challenging to treat due to their deep anatomical location and proximity to critical perforating arteries, as well as their frequent fusiform morphology and association with long-segment stenosis or atherosclerotic changes. Endovascular flow diversion has become an important option; however, its use in large and fusiform basilar artery aneurysms is complicated by the risks of device malapposition, migration, and incomplete occlusion.

Case presentation: We report a case of a large basilar artery aneurysm with severe pre-aneurysmal stenosis treated using a telescopic flow-diverter strategy. Balloon angioplasty prior to stent deployment was performed to optimize vessel diameter, followed by the sequential distal-to- proximal placement of overlapping flow diverters. Post-procedural angiography revealed device instability, necessitating the deployment of an additional flow diverter in a "stent-within-a-stent" configuration to improve wall apposition and prevent migration. This approach resulted in sustained aneurysm thrombosis and long-term vessel patency.

Conclusion: This case illustrates the technical challenges of managing complex basilar artery aneurysms and emphasizes the role of adjunctive stenting in stabilizing flow diverters. Carefully individualized endovascular strategies that account for fusiform morphology, long-segment arterial involvement, atherosclerotic changes, and the perforator-rich environment, together with technical challenges such as the need for telescopic reconstruction or adjunctive balloon angioplasty, are essential for enhancing procedural safety and achieving durable aneurysm occlusion in high-risk patients.

求助全文
通过发布文献求助,成功后即可免费获取论文全文。 去求助
来源期刊
Frontiers in Surgery
Frontiers in Surgery Medicine-Surgery
CiteScore
1.90
自引率
11.10%
发文量
1872
审稿时长
12 weeks
期刊介绍: Evidence of surgical interventions go back to prehistoric times. Since then, the field of surgery has developed into a complex array of specialties and procedures, particularly with the advent of microsurgery, lasers and minimally invasive techniques. The advanced skills now required from surgeons has led to ever increasing specialization, though these still share important fundamental principles. Frontiers in Surgery is the umbrella journal representing the publication interests of all surgical specialties. It is divided into several “Specialty Sections” listed below. All these sections have their own Specialty Chief Editor, Editorial Board and homepage, but all articles carry the citation Frontiers in Surgery. Frontiers in Surgery calls upon medical professionals and scientists from all surgical specialties to publish their experimental and clinical studies in this journal. By assembling all surgical specialties, which nonetheless retain their independence, under the common umbrella of Frontiers in Surgery, a powerful publication venue is created. Since there is often overlap and common ground between the different surgical specialties, assembly of all surgical disciplines into a single journal will foster a collaborative dialogue amongst the surgical community. This means that publications, which are also of interest to other surgical specialties, will reach a wider audience and have greater impact. The aim of this multidisciplinary journal is to create a discussion and knowledge platform of advances and research findings in surgical practice today to continuously improve clinical management of patients and foster innovation in this field.
×
引用
GB/T 7714-2015
复制
MLA
复制
APA
复制
导出至
BibTeX EndNote RefMan NoteFirst NoteExpress
×
提示
您的信息不完整,为了账户安全,请先补充。
现在去补充
×
提示
您因"违规操作"
具体请查看互助需知
我知道了
×
提示
确定
请完成安全验证×
copy
已复制链接
快去分享给好友吧!
我知道了
右上角分享
点击右上角分享
0
联系我们:info@booksci.cn Book学术提供免费学术资源搜索服务,方便国内外学者检索中英文文献。致力于提供最便捷和优质的服务体验。 Copyright © 2023 布克学术 All rights reserved.
京ICP备2023020795号-1
ghs 京公网安备 11010802042870号
Book学术文献互助
Book学术文献互助群
群 号:604180095
Book学术官方微信