益生菌减轻来曲唑诱导多囊卵巢综合征的卵巢血管生成障碍。

IF 3.4 2区 医学 Q1 INTEGRATIVE & COMPLEMENTARY MEDICINE
Stephanie E Areloegbe, Ikenna A Abugu, Isaac O Ajadi, Ayodeji Aturamu, Mary B Ajadi, Chukwubueze L Atuma, Christopher O Akintayo, Gloria O Omoruyi, Samuel O Onyekweli, Olabimpe C Badejogbin, Oluwatobi A Amusa, Oluseyi E Adelekan, Kayode Ajayi, Paul A Oyewole, Kehinde S Olaniyi
{"title":"益生菌减轻来曲唑诱导多囊卵巢综合征的卵巢血管生成障碍。","authors":"Stephanie E Areloegbe, Ikenna A Abugu, Isaac O Ajadi, Ayodeji Aturamu, Mary B Ajadi, Chukwubueze L Atuma, Christopher O Akintayo, Gloria O Omoruyi, Samuel O Onyekweli, Olabimpe C Badejogbin, Oluwatobi A Amusa, Oluseyi E Adelekan, Kayode Ajayi, Paul A Oyewole, Kehinde S Olaniyi","doi":"10.1186/s12906-025-05109-0","DOIUrl":null,"url":null,"abstract":"<p><strong>Background: </strong>Among metabolic/endocrine diseases affecting women in the reproductive years, polycystic ovarian syndrome (PCOS) is well documented as the leading cause of female infertility and several complications including dyslipidemia, cardiomorbidities, among others. Vascular endothelial growth factor (VEGF) is a proangiogenic marker which plays crucial roles in endothelial dysfunction, including ovarian dysfunction. Probiotics are gut microbiome that regulate metabolic health via epigenetic modulation of histone. Nevertheless, the present study was designed to investigate the beneficial effect of probiotics on aberrant ovarian angiogenesis in a PCOS rat model.</p><p><strong>Materials and methods: </strong>Eight-week-old female Wistar rats were divided into four groups (n = 5). The administration of 1 mg/kg (p.o) letrozole for three weeks induced PCOS. thereafter the animals were treated with 3 × 10<sup>9</sup> CFU (p.o) from probiotics for six weeks.</p><p><strong>Results: </strong>The rats that received letrozole exhibited obesity, ovarian weight gain, hyperandrogenism, hypoestrogenism, and multiple ovarian cysts and demonstrated an increased level of anti-Mullerian hormone. Animals in this group also demonstrated ovarian triglyceride accumulation, inflammation, lipid peroxidation, elevated corticosterone as a parameter that show metabolic stress and elevated angiogenic factor (VEGF). Also, a decreased level of antioxidant defense (NrF2), and HIF-1a and a significant decrease in mitofusin 2 (Mfn2) was observed while histone deacetylase 2 (HDAC2) was significantly elevated when compared to the control group. Interestingly, treatment with probiotics significantly reversed these ovarian metabolic, biochemical and morphological changes.</p><p><strong>Conclusion: </strong>Collectively, the present result suggests that probiotics ameliorates aberrant ovarian angiogenesis with subsequent improvement of ovarian function in PCOS model. This beneficial effect of probiotics is accompanied by modulation of Mfn2 and suppression of HDAC2.</p>","PeriodicalId":9128,"journal":{"name":"BMC Complementary Medicine and Therapies","volume":"25 1","pages":"346"},"PeriodicalIF":3.4000,"publicationDate":"2025-10-01","publicationTypes":"Journal Article","fieldsOfStudy":null,"isOpenAccess":false,"openAccessPdf":"https://www.ncbi.nlm.nih.gov/pmc/articles/PMC12486965/pdf/","citationCount":"0","resultStr":"{\"title\":\"Probiotics mitigates ovarian angiogenic disturbance in letrozole-induced PCOS.\",\"authors\":\"Stephanie E Areloegbe, Ikenna A Abugu, Isaac O Ajadi, Ayodeji Aturamu, Mary B Ajadi, Chukwubueze L Atuma, Christopher O Akintayo, Gloria O Omoruyi, Samuel O Onyekweli, Olabimpe C Badejogbin, Oluwatobi A Amusa, Oluseyi E Adelekan, Kayode Ajayi, Paul A Oyewole, Kehinde S Olaniyi\",\"doi\":\"10.1186/s12906-025-05109-0\",\"DOIUrl\":null,\"url\":null,\"abstract\":\"<p><strong>Background: </strong>Among metabolic/endocrine diseases affecting women in the reproductive years, polycystic ovarian syndrome (PCOS) is well documented as the leading cause of female infertility and several complications including dyslipidemia, cardiomorbidities, among others. Vascular endothelial growth factor (VEGF) is a proangiogenic marker which plays crucial roles in endothelial dysfunction, including ovarian dysfunction. Probiotics are gut microbiome that regulate metabolic health via epigenetic modulation of histone. Nevertheless, the present study was designed to investigate the beneficial effect of probiotics on aberrant ovarian angiogenesis in a PCOS rat model.</p><p><strong>Materials and methods: </strong>Eight-week-old female Wistar rats were divided into four groups (n = 5). The administration of 1 mg/kg (p.o) letrozole for three weeks induced PCOS. thereafter the animals were treated with 3 × 10<sup>9</sup> CFU (p.o) from probiotics for six weeks.</p><p><strong>Results: </strong>The rats that received letrozole exhibited obesity, ovarian weight gain, hyperandrogenism, hypoestrogenism, and multiple ovarian cysts and demonstrated an increased level of anti-Mullerian hormone. Animals in this group also demonstrated ovarian triglyceride accumulation, inflammation, lipid peroxidation, elevated corticosterone as a parameter that show metabolic stress and elevated angiogenic factor (VEGF). Also, a decreased level of antioxidant defense (NrF2), and HIF-1a and a significant decrease in mitofusin 2 (Mfn2) was observed while histone deacetylase 2 (HDAC2) was significantly elevated when compared to the control group. Interestingly, treatment with probiotics significantly reversed these ovarian metabolic, biochemical and morphological changes.</p><p><strong>Conclusion: </strong>Collectively, the present result suggests that probiotics ameliorates aberrant ovarian angiogenesis with subsequent improvement of ovarian function in PCOS model. This beneficial effect of probiotics is accompanied by modulation of Mfn2 and suppression of HDAC2.</p>\",\"PeriodicalId\":9128,\"journal\":{\"name\":\"BMC Complementary Medicine and Therapies\",\"volume\":\"25 1\",\"pages\":\"346\"},\"PeriodicalIF\":3.4000,\"publicationDate\":\"2025-10-01\",\"publicationTypes\":\"Journal Article\",\"fieldsOfStudy\":null,\"isOpenAccess\":false,\"openAccessPdf\":\"https://www.ncbi.nlm.nih.gov/pmc/articles/PMC12486965/pdf/\",\"citationCount\":\"0\",\"resultStr\":null,\"platform\":\"Semanticscholar\",\"paperid\":null,\"PeriodicalName\":\"BMC Complementary Medicine and Therapies\",\"FirstCategoryId\":\"3\",\"ListUrlMain\":\"https://doi.org/10.1186/s12906-025-05109-0\",\"RegionNum\":2,\"RegionCategory\":\"医学\",\"ArticlePicture\":[],\"TitleCN\":null,\"AbstractTextCN\":null,\"PMCID\":null,\"EPubDate\":\"\",\"PubModel\":\"\",\"JCR\":\"Q1\",\"JCRName\":\"INTEGRATIVE & COMPLEMENTARY MEDICINE\",\"Score\":null,\"Total\":0}","platform":"Semanticscholar","paperid":null,"PeriodicalName":"BMC Complementary Medicine and Therapies","FirstCategoryId":"3","ListUrlMain":"https://doi.org/10.1186/s12906-025-05109-0","RegionNum":2,"RegionCategory":"医学","ArticlePicture":[],"TitleCN":null,"AbstractTextCN":null,"PMCID":null,"EPubDate":"","PubModel":"","JCR":"Q1","JCRName":"INTEGRATIVE & COMPLEMENTARY MEDICINE","Score":null,"Total":0}
引用次数: 0

摘要

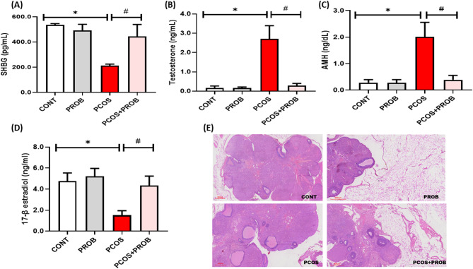
背景:在影响育龄期女性的代谢/内分泌疾病中,多囊卵巢综合征(PCOS)是女性不育的主要原因,并伴有血脂异常、心血管疾病等并发症。血管内皮生长因子(VEGF)是一种促血管生成的标志物,在内皮功能障碍,包括卵巢功能障碍中起着至关重要的作用。益生菌是通过表观遗传调节组蛋白来调节代谢健康的肠道微生物群。然而,本研究旨在探讨益生菌对PCOS大鼠卵巢异常血管生成的有益作用。材料与方法:取8周龄Wistar雌性大鼠,随机分为4组(n = 5)。给药1 mg/kg (p.o)来曲唑3周诱导多囊卵巢综合征。然后给予3 × 109 CFU (p.o)益生菌6周。结果:接受来曲唑治疗的大鼠表现出肥胖、卵巢体重增加、雄激素分泌过多、雌激素分泌不足和多发性卵巢囊肿,并表现出抗苗勒管激素水平升高。该组动物还表现出卵巢甘油三酯积累、炎症、脂质过氧化、皮质酮升高作为代谢应激和血管生成因子(VEGF)升高的参数。此外,与对照组相比,抗氧化防御(NrF2)和HIF-1a水平降低,有丝分裂蛋白2 (Mfn2)显著降低,组蛋白去乙酰化酶2 (HDAC2)显著升高。有趣的是,益生菌治疗显著逆转了卵巢代谢、生化和形态的变化。结论:综上所述,本研究提示益生菌可改善PCOS模型卵巢异常血管生成,进而改善卵巢功能。益生菌的这种有益作用伴随着Mfn2的调节和HDAC2的抑制。
本文章由计算机程序翻译,如有差异,请以英文原文为准。

Probiotics mitigates ovarian angiogenic disturbance in letrozole-induced PCOS.

Probiotics mitigates ovarian angiogenic disturbance in letrozole-induced PCOS.

Probiotics mitigates ovarian angiogenic disturbance in letrozole-induced PCOS.

Probiotics mitigates ovarian angiogenic disturbance in letrozole-induced PCOS.

Background: Among metabolic/endocrine diseases affecting women in the reproductive years, polycystic ovarian syndrome (PCOS) is well documented as the leading cause of female infertility and several complications including dyslipidemia, cardiomorbidities, among others. Vascular endothelial growth factor (VEGF) is a proangiogenic marker which plays crucial roles in endothelial dysfunction, including ovarian dysfunction. Probiotics are gut microbiome that regulate metabolic health via epigenetic modulation of histone. Nevertheless, the present study was designed to investigate the beneficial effect of probiotics on aberrant ovarian angiogenesis in a PCOS rat model.

Materials and methods: Eight-week-old female Wistar rats were divided into four groups (n = 5). The administration of 1 mg/kg (p.o) letrozole for three weeks induced PCOS. thereafter the animals were treated with 3 × 109 CFU (p.o) from probiotics for six weeks.

Results: The rats that received letrozole exhibited obesity, ovarian weight gain, hyperandrogenism, hypoestrogenism, and multiple ovarian cysts and demonstrated an increased level of anti-Mullerian hormone. Animals in this group also demonstrated ovarian triglyceride accumulation, inflammation, lipid peroxidation, elevated corticosterone as a parameter that show metabolic stress and elevated angiogenic factor (VEGF). Also, a decreased level of antioxidant defense (NrF2), and HIF-1a and a significant decrease in mitofusin 2 (Mfn2) was observed while histone deacetylase 2 (HDAC2) was significantly elevated when compared to the control group. Interestingly, treatment with probiotics significantly reversed these ovarian metabolic, biochemical and morphological changes.

Conclusion: Collectively, the present result suggests that probiotics ameliorates aberrant ovarian angiogenesis with subsequent improvement of ovarian function in PCOS model. This beneficial effect of probiotics is accompanied by modulation of Mfn2 and suppression of HDAC2.

求助全文
通过发布文献求助,成功后即可免费获取论文全文。 去求助
来源期刊
BMC Complementary Medicine and Therapies
BMC Complementary Medicine and Therapies INTEGRATIVE & COMPLEMENTARY MEDICINE-
CiteScore
6.10
自引率
2.60%
发文量
300
审稿时长
19 weeks
期刊介绍:
×
引用
GB/T 7714-2015
复制
MLA
复制
APA
复制
导出至
BibTeX EndNote RefMan NoteFirst NoteExpress
×
提示
您的信息不完整,为了账户安全,请先补充。
现在去补充
×
提示
您因"违规操作"
具体请查看互助需知
我知道了
×
提示
确定
请完成安全验证×
copy
已复制链接
快去分享给好友吧!
我知道了
右上角分享
点击右上角分享
0
联系我们:info@booksci.cn Book学术提供免费学术资源搜索服务,方便国内外学者检索中英文文献。致力于提供最便捷和优质的服务体验。 Copyright © 2023 布克学术 All rights reserved.
京ICP备2023020795号-1
ghs 京公网安备 11010802042870号
Book学术文献互助
Book学术文献互助群
群 号:604180095
Book学术官方微信