在可疑的恶性甲状腺结节抽吸,核特征值得特别注意报告细胞学分析-现实世界情景队列。

IF 2.3 4区 医学 Q4 ENDOCRINOLOGY & METABOLISM
Fabiane Carvalho Macedo, Ricardo Luiz Costantin Delfim, Fernanda Vaisman
{"title":"在可疑的恶性甲状腺结节抽吸,核特征值得特别注意报告细胞学分析-现实世界情景队列。","authors":"Fabiane Carvalho Macedo, Ricardo Luiz Costantin Delfim, Fernanda Vaisman","doi":"10.20945/2359-4292-2024-0481","DOIUrl":null,"url":null,"abstract":"<p><strong>Objective: </strong>To identify cytologic characteristics in a suspicious for malignancy cohort that may help to recognize false positives in cytopathological tests of thyroid nodules in a \"real world scenario\", with histopathological reports as the gold standard.</p><p><strong>Methods: </strong>Cytomorphologic features of suspicious for malignancy thyroid nodules in a 13-year retrospective database were reviewed. Therefore, we identified false positive cases, analyzed the possible causes of cytopathological diagnostic failure and calculated the frequency of false positive results and the risk of malignancy in the suspicious for malignancy cohort.</p><p><strong>Results: </strong>Among the 289 suspicious for malignancy type nodules, 283 were malignant, 5 were benign, and 1 was a noninvasive follicular thyroid neoplasm with papillary-like nuclear features (NIFTP). The most frequently reported cytology features were nuclear grooves and pseudoinclusions; however, they were present in malignant and benign specimens. Statistical analysis revealed that the presence of micronucleoli (p < 0.001) and/or irregular/oval nuclei (p = 0.05) were the characteristics most strongly associated with malignancy. The risk of malignancy was 98% in this study.</p><p><strong>Conclusion: </strong>The presence of micronucleoli and nuclear irregularity was highly predictive of malignancy according to suspicious for malignancy cytology and were not present in false positive patients. Hence, careful examination of nuclear characteristics can be helpful for identifying true malignancies via suspicious for malignancy cytology. This was significant even when only a qualitative analysis was taken into account.</p>","PeriodicalId":54303,"journal":{"name":"Archives of Endocrinology Metabolism","volume":"69 5","pages":"e240481"},"PeriodicalIF":2.3000,"publicationDate":"2025-09-30","publicationTypes":"Journal Article","fieldsOfStudy":null,"isOpenAccess":false,"openAccessPdf":"https://www.ncbi.nlm.nih.gov/pmc/articles/PMC12483352/pdf/","citationCount":"0","resultStr":"{\"title\":\"In suspicious for malignancy thyroid nodule aspirates, nuclei characteristics deserves special attention in reported cytology analysis - real world scenario cohort.\",\"authors\":\"Fabiane Carvalho Macedo, Ricardo Luiz Costantin Delfim, Fernanda Vaisman\",\"doi\":\"10.20945/2359-4292-2024-0481\",\"DOIUrl\":null,\"url\":null,\"abstract\":\"<p><strong>Objective: </strong>To identify cytologic characteristics in a suspicious for malignancy cohort that may help to recognize false positives in cytopathological tests of thyroid nodules in a \\\"real world scenario\\\", with histopathological reports as the gold standard.</p><p><strong>Methods: </strong>Cytomorphologic features of suspicious for malignancy thyroid nodules in a 13-year retrospective database were reviewed. Therefore, we identified false positive cases, analyzed the possible causes of cytopathological diagnostic failure and calculated the frequency of false positive results and the risk of malignancy in the suspicious for malignancy cohort.</p><p><strong>Results: </strong>Among the 289 suspicious for malignancy type nodules, 283 were malignant, 5 were benign, and 1 was a noninvasive follicular thyroid neoplasm with papillary-like nuclear features (NIFTP). The most frequently reported cytology features were nuclear grooves and pseudoinclusions; however, they were present in malignant and benign specimens. Statistical analysis revealed that the presence of micronucleoli (p < 0.001) and/or irregular/oval nuclei (p = 0.05) were the characteristics most strongly associated with malignancy. The risk of malignancy was 98% in this study.</p><p><strong>Conclusion: </strong>The presence of micronucleoli and nuclear irregularity was highly predictive of malignancy according to suspicious for malignancy cytology and were not present in false positive patients. Hence, careful examination of nuclear characteristics can be helpful for identifying true malignancies via suspicious for malignancy cytology. This was significant even when only a qualitative analysis was taken into account.</p>\",\"PeriodicalId\":54303,\"journal\":{\"name\":\"Archives of Endocrinology Metabolism\",\"volume\":\"69 5\",\"pages\":\"e240481\"},\"PeriodicalIF\":2.3000,\"publicationDate\":\"2025-09-30\",\"publicationTypes\":\"Journal Article\",\"fieldsOfStudy\":null,\"isOpenAccess\":false,\"openAccessPdf\":\"https://www.ncbi.nlm.nih.gov/pmc/articles/PMC12483352/pdf/\",\"citationCount\":\"0\",\"resultStr\":null,\"platform\":\"Semanticscholar\",\"paperid\":null,\"PeriodicalName\":\"Archives of Endocrinology Metabolism\",\"FirstCategoryId\":\"3\",\"ListUrlMain\":\"https://doi.org/10.20945/2359-4292-2024-0481\",\"RegionNum\":4,\"RegionCategory\":\"医学\",\"ArticlePicture\":[],\"TitleCN\":null,\"AbstractTextCN\":null,\"PMCID\":null,\"EPubDate\":\"\",\"PubModel\":\"\",\"JCR\":\"Q4\",\"JCRName\":\"ENDOCRINOLOGY & METABOLISM\",\"Score\":null,\"Total\":0}","platform":"Semanticscholar","paperid":null,"PeriodicalName":"Archives of Endocrinology Metabolism","FirstCategoryId":"3","ListUrlMain":"https://doi.org/10.20945/2359-4292-2024-0481","RegionNum":4,"RegionCategory":"医学","ArticlePicture":[],"TitleCN":null,"AbstractTextCN":null,"PMCID":null,"EPubDate":"","PubModel":"","JCR":"Q4","JCRName":"ENDOCRINOLOGY & METABOLISM","Score":null,"Total":0}
引用次数: 0

摘要

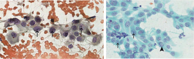
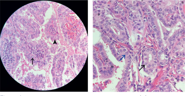
目的:确定可疑恶性肿瘤队列的细胞学特征,这些特征可能有助于在“真实世界场景”中识别甲状腺结节细胞病理学检查中的假阳性,以组织病理学报告为金标准。方法:回顾性分析13年来可疑甲状腺恶性结节的细胞形态学特征。因此,我们识别假阳性病例,分析细胞病理学诊断失败的可能原因,并计算可疑恶性肿瘤队列中假阳性结果的频率和恶性肿瘤的风险。结果:289例疑似恶性结节中,恶性283例,良性5例,1例为核乳头状样无创滤泡性甲状腺肿瘤(NIFTP)。最常见的细胞学特征是核沟和假包涵体;然而,它们存在于恶性和良性标本中。统计分析显示,微核仁(p < 0.001)和/或不规则/卵圆形核(p = 0.05)是与恶性肿瘤最密切相关的特征。在这项研究中,恶性肿瘤的风险为98%。结论:微核仁和核不规则的存在对恶性肿瘤具有高度的预测作用,对恶性细胞学可疑,假阳性患者未见。因此,仔细检查核特征可以帮助通过怀疑恶性细胞学来识别真正的恶性肿瘤。即使只考虑到定性分析,这也是很重要的。
本文章由计算机程序翻译,如有差异,请以英文原文为准。

In suspicious for malignancy thyroid nodule aspirates, nuclei characteristics deserves special attention in reported cytology analysis - real world scenario cohort.

In suspicious for malignancy thyroid nodule aspirates, nuclei characteristics deserves special attention in reported cytology analysis - real world scenario cohort.

In suspicious for malignancy thyroid nodule aspirates, nuclei characteristics deserves special attention in reported cytology analysis - real world scenario cohort.

Objective: To identify cytologic characteristics in a suspicious for malignancy cohort that may help to recognize false positives in cytopathological tests of thyroid nodules in a "real world scenario", with histopathological reports as the gold standard.

Methods: Cytomorphologic features of suspicious for malignancy thyroid nodules in a 13-year retrospective database were reviewed. Therefore, we identified false positive cases, analyzed the possible causes of cytopathological diagnostic failure and calculated the frequency of false positive results and the risk of malignancy in the suspicious for malignancy cohort.

Results: Among the 289 suspicious for malignancy type nodules, 283 were malignant, 5 were benign, and 1 was a noninvasive follicular thyroid neoplasm with papillary-like nuclear features (NIFTP). The most frequently reported cytology features were nuclear grooves and pseudoinclusions; however, they were present in malignant and benign specimens. Statistical analysis revealed that the presence of micronucleoli (p < 0.001) and/or irregular/oval nuclei (p = 0.05) were the characteristics most strongly associated with malignancy. The risk of malignancy was 98% in this study.

Conclusion: The presence of micronucleoli and nuclear irregularity was highly predictive of malignancy according to suspicious for malignancy cytology and were not present in false positive patients. Hence, careful examination of nuclear characteristics can be helpful for identifying true malignancies via suspicious for malignancy cytology. This was significant even when only a qualitative analysis was taken into account.

求助全文
通过发布文献求助,成功后即可免费获取论文全文。 去求助
来源期刊
Archives of Endocrinology Metabolism
Archives of Endocrinology Metabolism Medicine-Endocrinology, Diabetes and Metabolism
CiteScore
2.90
自引率
5.90%
发文量
107
审稿时长
7 weeks
期刊介绍: The Archives of Endocrinology and Metabolism - AE&M – is the official journal of the Brazilian Society of Endocrinology and Metabolism - SBEM, which is affiliated with the Brazilian Medical Association. Edited since 1951, the AE&M aims at publishing articles on scientific themes in the basic translational and clinical area of Endocrinology and Metabolism. The printed version AE&M is published in 6 issues/year. The full electronic issue is open access in the SciELO - Scientific Electronic Library Online e at the AE&M site: www.aem-sbem.com. From volume 59 on, the name was changed to Archives of Endocrinology and Metabolism, and it became mandatory for manuscripts to be submitted in English for the online issue. However, for the printed issue it is still optional for the articles to be sent in English or Portuguese. The journal is published six times a year, with one issue every two months.
×
引用
GB/T 7714-2015
复制
MLA
复制
APA
复制
导出至
BibTeX EndNote RefMan NoteFirst NoteExpress
×
提示
您的信息不完整,为了账户安全,请先补充。
现在去补充
×
提示
您因"违规操作"
具体请查看互助需知
我知道了
×
提示
确定
请完成安全验证×
copy
已复制链接
快去分享给好友吧!
我知道了
右上角分享
点击右上角分享
0
联系我们:info@booksci.cn Book学术提供免费学术资源搜索服务,方便国内外学者检索中英文文献。致力于提供最便捷和优质的服务体验。 Copyright © 2023 布克学术 All rights reserved.
京ICP备2023020795号-1
ghs 京公网安备 11010802042870号
Book学术文献互助
Book学术文献互助群
群 号:604180095
Book学术官方微信