正常猫肝外门静脉系统分支的解剖变异:CT血管造影评价。

IF 2.1 2区 农林科学 Q2 VETERINARY SCIENCES
Journal of Feline Medicine and Surgery Pub Date : 2025-09-01 Epub Date: 2025-09-30 DOI:10.1177/1098612X251368447
Moniek Mwm Dekkers, Nausikaa Devriendt, Hilde de Rooster, Jimmy Saunders, Emmelie Stock
{"title":"正常猫肝外门静脉系统分支的解剖变异:CT血管造影评价。","authors":"Moniek Mwm Dekkers, Nausikaa Devriendt, Hilde de Rooster, Jimmy Saunders, Emmelie Stock","doi":"10.1177/1098612X251368447","DOIUrl":null,"url":null,"abstract":"<p><p>ObjectivesIt is often suggested in the literature that the anatomy of the extrahepatic portal vein (EHPV) in dogs and cats is similar. Nevertheless, variations and contradictions in the tributaries of the EHPV in cats have been described. Therefore, the aim of this study was to describe the normal anatomical variations of the tributaries of the EHPV in a large cohort of cats.MethodsA retrospective, descriptive, cross-sectional study of abdominal CT angiography (CTA) scans was performed. Cats that underwent CTA between January 2020 and July 2024 were reviewed in consensus by three observers. Cats with vascular anomalies or CTA scans in which the EHPV or its tributaries could not be accurately evaluated were excluded.ResultsA total of 52 CTA scans were included. The splenic vein (SV) was consistently present in all cats as the most caudally inserting vein in the EHPV. The left gastric vein (LGV) entered the EHPV directly in 42/52 cats and, in 36 of those, the LGV was the most cranial vein entering the EHPV. In 28 cats with direct insertion, a second branch of the LGV entered the SV. In eight cats, a single LGV entered the SV, as is typically seen in dogs. In the remaining two cats, the LGV was not identified. In 34/52 cats, the gastroduodenal vein entered the EHPV, as described in dogs, whereas in the remaining 18 cats, the right gastric vein and cranial pancreaticoduodenal vein entered the EHPV together.Conclusions and relevanceVarious anatomical variations of the inserting veins in the EHPV were identified. Knowledge about the variation in normal anatomy of the EHPV and its tributaries is important, especially to evaluate complex pathologies of the EHPV, such as vascular anomalies and EHPV thromboses.</p>","PeriodicalId":15851,"journal":{"name":"Journal of Feline Medicine and Surgery","volume":"27 9","pages":"1098612X251368447"},"PeriodicalIF":2.1000,"publicationDate":"2025-09-01","publicationTypes":"Journal Article","fieldsOfStudy":null,"isOpenAccess":false,"openAccessPdf":"https://www.ncbi.nlm.nih.gov/pmc/articles/PMC12484910/pdf/","citationCount":"0","resultStr":"{\"title\":\"Anatomical variations in the tributaries of the normal feline extrahepatic portal system: evaluation with CT angiography.\",\"authors\":\"Moniek Mwm Dekkers, Nausikaa Devriendt, Hilde de Rooster, Jimmy Saunders, Emmelie Stock\",\"doi\":\"10.1177/1098612X251368447\",\"DOIUrl\":null,\"url\":null,\"abstract\":\"<p><p>ObjectivesIt is often suggested in the literature that the anatomy of the extrahepatic portal vein (EHPV) in dogs and cats is similar. Nevertheless, variations and contradictions in the tributaries of the EHPV in cats have been described. Therefore, the aim of this study was to describe the normal anatomical variations of the tributaries of the EHPV in a large cohort of cats.MethodsA retrospective, descriptive, cross-sectional study of abdominal CT angiography (CTA) scans was performed. Cats that underwent CTA between January 2020 and July 2024 were reviewed in consensus by three observers. Cats with vascular anomalies or CTA scans in which the EHPV or its tributaries could not be accurately evaluated were excluded.ResultsA total of 52 CTA scans were included. The splenic vein (SV) was consistently present in all cats as the most caudally inserting vein in the EHPV. The left gastric vein (LGV) entered the EHPV directly in 42/52 cats and, in 36 of those, the LGV was the most cranial vein entering the EHPV. In 28 cats with direct insertion, a second branch of the LGV entered the SV. In eight cats, a single LGV entered the SV, as is typically seen in dogs. In the remaining two cats, the LGV was not identified. In 34/52 cats, the gastroduodenal vein entered the EHPV, as described in dogs, whereas in the remaining 18 cats, the right gastric vein and cranial pancreaticoduodenal vein entered the EHPV together.Conclusions and relevanceVarious anatomical variations of the inserting veins in the EHPV were identified. Knowledge about the variation in normal anatomy of the EHPV and its tributaries is important, especially to evaluate complex pathologies of the EHPV, such as vascular anomalies and EHPV thromboses.</p>\",\"PeriodicalId\":15851,\"journal\":{\"name\":\"Journal of Feline Medicine and Surgery\",\"volume\":\"27 9\",\"pages\":\"1098612X251368447\"},\"PeriodicalIF\":2.1000,\"publicationDate\":\"2025-09-01\",\"publicationTypes\":\"Journal Article\",\"fieldsOfStudy\":null,\"isOpenAccess\":false,\"openAccessPdf\":\"https://www.ncbi.nlm.nih.gov/pmc/articles/PMC12484910/pdf/\",\"citationCount\":\"0\",\"resultStr\":null,\"platform\":\"Semanticscholar\",\"paperid\":null,\"PeriodicalName\":\"Journal of Feline Medicine and Surgery\",\"FirstCategoryId\":\"97\",\"ListUrlMain\":\"https://doi.org/10.1177/1098612X251368447\",\"RegionNum\":2,\"RegionCategory\":\"农林科学\",\"ArticlePicture\":[],\"TitleCN\":null,\"AbstractTextCN\":null,\"PMCID\":null,\"EPubDate\":\"2025/9/30 0:00:00\",\"PubModel\":\"Epub\",\"JCR\":\"Q2\",\"JCRName\":\"VETERINARY SCIENCES\",\"Score\":null,\"Total\":0}","platform":"Semanticscholar","paperid":null,"PeriodicalName":"Journal of Feline Medicine and Surgery","FirstCategoryId":"97","ListUrlMain":"https://doi.org/10.1177/1098612X251368447","RegionNum":2,"RegionCategory":"农林科学","ArticlePicture":[],"TitleCN":null,"AbstractTextCN":null,"PMCID":null,"EPubDate":"2025/9/30 0:00:00","PubModel":"Epub","JCR":"Q2","JCRName":"VETERINARY SCIENCES","Score":null,"Total":0}
引用次数: 0

摘要

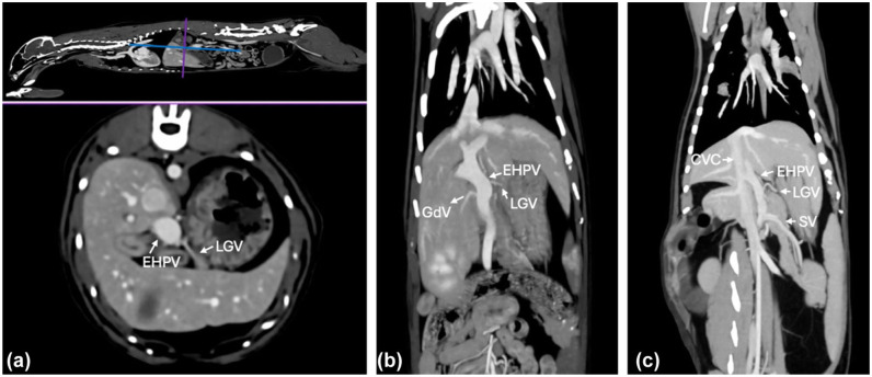
目的在文献中经常提出狗和猫的肝外门静脉(EHPV)的解剖结构相似。然而,在猫的EHPV分支的变化和矛盾已被描述。因此,本研究的目的是描述大群猫中EHPV分支的正常解剖变异。方法对腹部CT血管造影(CTA)进行回顾性、描述性、横断面研究。2020年1月至2024年7月期间接受CTA的猫由三名观察员一致审查。排除血管异常或CTA扫描不能准确评估EHPV或其分支的猫。结果共纳入52张CTA扫描。脾静脉(SV)始终存在于所有猫作为最尾部插入静脉在EHPV。42/52只猫的胃左静脉(LGV)直接进入EHPV,其中36只猫的胃左静脉是进入EHPV最多的颅静脉。在28只直接插入的猫中,LGV的第二个分支进入SV。在8只猫中,单个LGV进入SV,这在狗中很常见。在剩下的两只猫中,LGV没有被确定。在34/52只猫中,胃十二指肠静脉进入EHPV,正如在狗中所描述的那样,而在其余18只猫中,右胃静脉和颅胰十二指肠静脉一起进入EHPV。结论及相关性发现了欧洲人乳头状瘤病毒插入静脉的各种解剖变异。了解EHPV及其分支的正常解剖结构的变化是很重要的,特别是对评估EHPV的复杂病理,如血管异常和EHPV血栓形成。
本文章由计算机程序翻译,如有差异,请以英文原文为准。

Anatomical variations in the tributaries of the normal feline extrahepatic portal system: evaluation with CT angiography.

Anatomical variations in the tributaries of the normal feline extrahepatic portal system: evaluation with CT angiography.

Anatomical variations in the tributaries of the normal feline extrahepatic portal system: evaluation with CT angiography.

Anatomical variations in the tributaries of the normal feline extrahepatic portal system: evaluation with CT angiography.

ObjectivesIt is often suggested in the literature that the anatomy of the extrahepatic portal vein (EHPV) in dogs and cats is similar. Nevertheless, variations and contradictions in the tributaries of the EHPV in cats have been described. Therefore, the aim of this study was to describe the normal anatomical variations of the tributaries of the EHPV in a large cohort of cats.MethodsA retrospective, descriptive, cross-sectional study of abdominal CT angiography (CTA) scans was performed. Cats that underwent CTA between January 2020 and July 2024 were reviewed in consensus by three observers. Cats with vascular anomalies or CTA scans in which the EHPV or its tributaries could not be accurately evaluated were excluded.ResultsA total of 52 CTA scans were included. The splenic vein (SV) was consistently present in all cats as the most caudally inserting vein in the EHPV. The left gastric vein (LGV) entered the EHPV directly in 42/52 cats and, in 36 of those, the LGV was the most cranial vein entering the EHPV. In 28 cats with direct insertion, a second branch of the LGV entered the SV. In eight cats, a single LGV entered the SV, as is typically seen in dogs. In the remaining two cats, the LGV was not identified. In 34/52 cats, the gastroduodenal vein entered the EHPV, as described in dogs, whereas in the remaining 18 cats, the right gastric vein and cranial pancreaticoduodenal vein entered the EHPV together.Conclusions and relevanceVarious anatomical variations of the inserting veins in the EHPV were identified. Knowledge about the variation in normal anatomy of the EHPV and its tributaries is important, especially to evaluate complex pathologies of the EHPV, such as vascular anomalies and EHPV thromboses.

求助全文
通过发布文献求助,成功后即可免费获取论文全文。 去求助
来源期刊
CiteScore
3.90
自引率
17.60%
发文量
254
审稿时长
8-16 weeks
期刊介绍: JFMS is an international, peer-reviewed journal aimed at both practitioners and researchers with an interest in the clinical veterinary healthcare of domestic cats. The journal is published monthly in two formats: ‘Classic’ editions containing high-quality original papers on all aspects of feline medicine and surgery, including basic research relevant to clinical practice; and dedicated ‘Clinical Practice’ editions primarily containing opinionated review articles providing state-of-the-art information for feline clinicians, along with other relevant articles such as consensus guidelines.
×
引用
GB/T 7714-2015
复制
MLA
复制
APA
复制
导出至
BibTeX EndNote RefMan NoteFirst NoteExpress
×
提示
您的信息不完整,为了账户安全,请先补充。
现在去补充
×
提示
您因"违规操作"
具体请查看互助需知
我知道了
×
提示
确定
请完成安全验证×
copy
已复制链接
快去分享给好友吧!
我知道了
右上角分享
点击右上角分享
0
联系我们:info@booksci.cn Book学术提供免费学术资源搜索服务,方便国内外学者检索中英文文献。致力于提供最便捷和优质的服务体验。 Copyright © 2023 布克学术 All rights reserved.
京ICP备2023020795号-1
ghs 京公网安备 11010802042870号
Book学术文献互助
Book学术文献互助群
群 号:604180095
Book学术官方微信