2岁儿童纤维母细胞瘤1例报告。

IF 1.5 4区 医学 Q4 MEDICINE, RESEARCH & EXPERIMENTAL
Journal of International Medical Research Pub Date : 2025-09-01 Epub Date: 2025-09-30 DOI:10.1177/03000605251379965
Yihao Tian, Jian Ming
{"title":"2岁儿童纤维母细胞瘤1例报告。","authors":"Yihao Tian, Jian Ming","doi":"10.1177/03000605251379965","DOIUrl":null,"url":null,"abstract":"<p><p>Desmoplastic fibroblastoma is a benign tumor. It was first reported by Evans in 1995 and is also known as collagenous fibroma. We encountered a case of desmoplastic fibroblastoma in clinical practice, wherein a 2-year-old girl presented with the following specimen from the scalp-a piece of gray-white nonplastic tissue with a volume of 2 × 1.5 × 1 cm. The cut surface was gray-white, solid, and of moderate consistency. Microscopically, there were only a few tumor cells, composed of spindle-shaped and stellate fibroblasts embedded in a dense collagenous or myxoid matrix, with minimal cellular atypia. The patient underwent surgical procedures for resection and is recovering well. This report provides an opportunity for experts and scholars to learn and communicate together. A new breakthrough has been achieved with regard to the age range of onset for this disease.</p>","PeriodicalId":16129,"journal":{"name":"Journal of International Medical Research","volume":"53 9","pages":"3000605251379965"},"PeriodicalIF":1.5000,"publicationDate":"2025-09-01","publicationTypes":"Journal Article","fieldsOfStudy":null,"isOpenAccess":false,"openAccessPdf":"https://www.ncbi.nlm.nih.gov/pmc/articles/PMC12484914/pdf/","citationCount":"0","resultStr":"{\"title\":\"A case report of desmoplastic fibroblastoma in a 2-year-old child.\",\"authors\":\"Yihao Tian, Jian Ming\",\"doi\":\"10.1177/03000605251379965\",\"DOIUrl\":null,\"url\":null,\"abstract\":\"<p><p>Desmoplastic fibroblastoma is a benign tumor. It was first reported by Evans in 1995 and is also known as collagenous fibroma. We encountered a case of desmoplastic fibroblastoma in clinical practice, wherein a 2-year-old girl presented with the following specimen from the scalp-a piece of gray-white nonplastic tissue with a volume of 2 × 1.5 × 1 cm. The cut surface was gray-white, solid, and of moderate consistency. Microscopically, there were only a few tumor cells, composed of spindle-shaped and stellate fibroblasts embedded in a dense collagenous or myxoid matrix, with minimal cellular atypia. The patient underwent surgical procedures for resection and is recovering well. This report provides an opportunity for experts and scholars to learn and communicate together. A new breakthrough has been achieved with regard to the age range of onset for this disease.</p>\",\"PeriodicalId\":16129,\"journal\":{\"name\":\"Journal of International Medical Research\",\"volume\":\"53 9\",\"pages\":\"3000605251379965\"},\"PeriodicalIF\":1.5000,\"publicationDate\":\"2025-09-01\",\"publicationTypes\":\"Journal Article\",\"fieldsOfStudy\":null,\"isOpenAccess\":false,\"openAccessPdf\":\"https://www.ncbi.nlm.nih.gov/pmc/articles/PMC12484914/pdf/\",\"citationCount\":\"0\",\"resultStr\":null,\"platform\":\"Semanticscholar\",\"paperid\":null,\"PeriodicalName\":\"Journal of International Medical Research\",\"FirstCategoryId\":\"3\",\"ListUrlMain\":\"https://doi.org/10.1177/03000605251379965\",\"RegionNum\":4,\"RegionCategory\":\"医学\",\"ArticlePicture\":[],\"TitleCN\":null,\"AbstractTextCN\":null,\"PMCID\":null,\"EPubDate\":\"2025/9/30 0:00:00\",\"PubModel\":\"Epub\",\"JCR\":\"Q4\",\"JCRName\":\"MEDICINE, RESEARCH & EXPERIMENTAL\",\"Score\":null,\"Total\":0}","platform":"Semanticscholar","paperid":null,"PeriodicalName":"Journal of International Medical Research","FirstCategoryId":"3","ListUrlMain":"https://doi.org/10.1177/03000605251379965","RegionNum":4,"RegionCategory":"医学","ArticlePicture":[],"TitleCN":null,"AbstractTextCN":null,"PMCID":null,"EPubDate":"2025/9/30 0:00:00","PubModel":"Epub","JCR":"Q4","JCRName":"MEDICINE, RESEARCH & EXPERIMENTAL","Score":null,"Total":0}
引用次数: 0

摘要

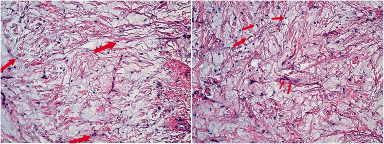
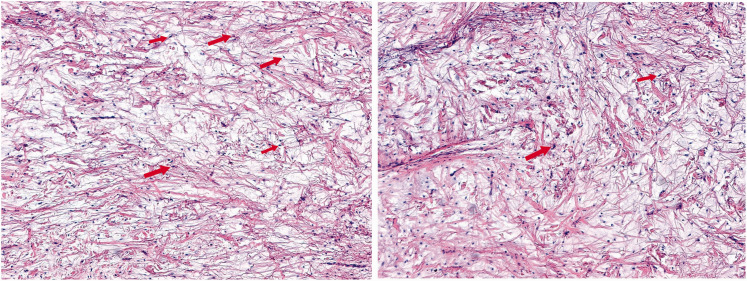
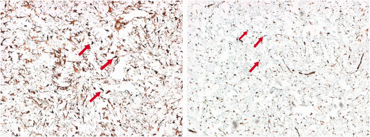
纤维母细胞瘤是一种良性肿瘤。1995年由Evans首次报道,也被称为胶原纤维瘤。我们在临床实践中遇到了一例结缔组织增生成纤维细胞瘤,其中一名2岁的女孩在头皮上出现了以下标本-一块灰白色的非塑性组织,体积为2 × 1.5 × 1厘米。切割表面灰白色,坚固,稠度适中。显微镜下仅见少量肿瘤细胞,由梭形和星状成纤维细胞包埋在致密的胶原或黏液基质中,细胞异型性极少。患者接受手术切除,恢复良好。本报告为专家学者提供了一个共同学习和交流的机会。在该病发病年龄范围方面取得了新的突破。
本文章由计算机程序翻译,如有差异,请以英文原文为准。

A case report of desmoplastic fibroblastoma in a 2-year-old child.

A case report of desmoplastic fibroblastoma in a 2-year-old child.

A case report of desmoplastic fibroblastoma in a 2-year-old child.

A case report of desmoplastic fibroblastoma in a 2-year-old child.

Desmoplastic fibroblastoma is a benign tumor. It was first reported by Evans in 1995 and is also known as collagenous fibroma. We encountered a case of desmoplastic fibroblastoma in clinical practice, wherein a 2-year-old girl presented with the following specimen from the scalp-a piece of gray-white nonplastic tissue with a volume of 2 × 1.5 × 1 cm. The cut surface was gray-white, solid, and of moderate consistency. Microscopically, there were only a few tumor cells, composed of spindle-shaped and stellate fibroblasts embedded in a dense collagenous or myxoid matrix, with minimal cellular atypia. The patient underwent surgical procedures for resection and is recovering well. This report provides an opportunity for experts and scholars to learn and communicate together. A new breakthrough has been achieved with regard to the age range of onset for this disease.

求助全文
通过发布文献求助,成功后即可免费获取论文全文。 去求助
来源期刊
CiteScore
3.20
自引率
0.00%
发文量
555
审稿时长
1 months
期刊介绍: _Journal of International Medical Research_ is a leading international journal for rapid publication of original medical, pre-clinical and clinical research, reviews, preliminary and pilot studies on a page charge basis. As a service to authors, every article accepted by peer review will be given a full technical edit to make papers as accessible and readable to the international medical community as rapidly as possible. Once the technical edit queries have been answered to the satisfaction of the journal, the paper will be published and made available freely to everyone under a creative commons licence. Symposium proceedings, summaries of presentations or collections of medical, pre-clinical or clinical data on a specific topic are welcome for publication as supplements. Print ISSN: 0300-0605
×
引用
GB/T 7714-2015
复制
MLA
复制
APA
复制
导出至
BibTeX EndNote RefMan NoteFirst NoteExpress
×
提示
您的信息不完整,为了账户安全,请先补充。
现在去补充
×
提示
您因"违规操作"
具体请查看互助需知
我知道了
×
提示
确定
请完成安全验证×
copy
已复制链接
快去分享给好友吧!
我知道了
右上角分享
点击右上角分享
0
联系我们:info@booksci.cn Book学术提供免费学术资源搜索服务,方便国内外学者检索中英文文献。致力于提供最便捷和优质的服务体验。 Copyright © 2023 布克学术 All rights reserved.
京ICP备2023020795号-1
ghs 京公网安备 11010802042870号
Book学术文献互助
Book学术文献互助群
群 号:604180095
Book学术官方微信