ct引导下射频消融治疗肺癌术后高危肺结节的安全性和可行性。

IF 1.5 4区 医学 Q4 MEDICINE, RESEARCH & EXPERIMENTAL
Journal of International Medical Research Pub Date : 2025-09-01 Epub Date: 2025-09-30 DOI:10.1177/03000605251382006
Xiang Lin, Jian Zhou, Beinuo Wang, Zhenghao Dong, Junjie Zhang, Fan Liu, Hu Liao
{"title":"ct引导下射频消融治疗肺癌术后高危肺结节的安全性和可行性。","authors":"Xiang Lin, Jian Zhou, Beinuo Wang, Zhenghao Dong, Junjie Zhang, Fan Liu, Hu Liao","doi":"10.1177/03000605251382006","DOIUrl":null,"url":null,"abstract":"<p><p>BackgroundLung cancer remains the leading cause of cancer-related deaths globally. Patients with postoperative recurrence typically have limited treatment options. This study evaluated the safety and feasibility of computed tomography-guided radiofrequency ablation for treating high-risk pulmonary nodules in patients who have undergone lung cancer surgery and are ineligible for reoperation.MethodsWe retrospectively analyzed 40 patients (16 men and 24 women, aged 41-78 years) with radiologically suspicious recurrent nodules following lung cancer resection who were treated with radiofrequency ablation at West China Hospital (July 2023-August 2024). Outcomes included procedural success, occurrence of complications, hospitalization duration, 30-day mortality, and imaging response.ResultsAll procedures were technically successful. Five minor complications occurred in 12.5% of the patients, including fever (n = 2) and pneumothorax (n = 3). No deaths occurred within 30 days, and no major adverse events (e.g. hemothorax) were observed. The median postoperative length of hospital stay after ablation was 2.0 days. Furthermore, 82.5% of the patients were followed up and had achieved complete ablation at the 3-month mark.ConclusionComputed tomography-guided radiofrequency ablation is a minimally invasive, safe, and effective option for managing high-risk pulmonary nodules in postoperative lung cancer patients who are deemed ineligible for reoperation. Its low complication rate, rapid recovery, and promising local control support its integration into multimodal treatment algorithms. Larger prospective studies are needed to validate long-term outcomes.</p>","PeriodicalId":16129,"journal":{"name":"Journal of International Medical Research","volume":"53 9","pages":"3000605251382006"},"PeriodicalIF":1.5000,"publicationDate":"2025-09-01","publicationTypes":"Journal Article","fieldsOfStudy":null,"isOpenAccess":false,"openAccessPdf":"https://www.ncbi.nlm.nih.gov/pmc/articles/PMC12484925/pdf/","citationCount":"0","resultStr":"{\"title\":\"Safety and feasibility of computed tomography-guided radiofrequency ablation for treating high-risk pulmonary nodules in postoperative lung cancer patients.\",\"authors\":\"Xiang Lin, Jian Zhou, Beinuo Wang, Zhenghao Dong, Junjie Zhang, Fan Liu, Hu Liao\",\"doi\":\"10.1177/03000605251382006\",\"DOIUrl\":null,\"url\":null,\"abstract\":\"<p><p>BackgroundLung cancer remains the leading cause of cancer-related deaths globally. Patients with postoperative recurrence typically have limited treatment options. This study evaluated the safety and feasibility of computed tomography-guided radiofrequency ablation for treating high-risk pulmonary nodules in patients who have undergone lung cancer surgery and are ineligible for reoperation.MethodsWe retrospectively analyzed 40 patients (16 men and 24 women, aged 41-78 years) with radiologically suspicious recurrent nodules following lung cancer resection who were treated with radiofrequency ablation at West China Hospital (July 2023-August 2024). Outcomes included procedural success, occurrence of complications, hospitalization duration, 30-day mortality, and imaging response.ResultsAll procedures were technically successful. Five minor complications occurred in 12.5% of the patients, including fever (n = 2) and pneumothorax (n = 3). No deaths occurred within 30 days, and no major adverse events (e.g. hemothorax) were observed. The median postoperative length of hospital stay after ablation was 2.0 days. Furthermore, 82.5% of the patients were followed up and had achieved complete ablation at the 3-month mark.ConclusionComputed tomography-guided radiofrequency ablation is a minimally invasive, safe, and effective option for managing high-risk pulmonary nodules in postoperative lung cancer patients who are deemed ineligible for reoperation. Its low complication rate, rapid recovery, and promising local control support its integration into multimodal treatment algorithms. Larger prospective studies are needed to validate long-term outcomes.</p>\",\"PeriodicalId\":16129,\"journal\":{\"name\":\"Journal of International Medical Research\",\"volume\":\"53 9\",\"pages\":\"3000605251382006\"},\"PeriodicalIF\":1.5000,\"publicationDate\":\"2025-09-01\",\"publicationTypes\":\"Journal Article\",\"fieldsOfStudy\":null,\"isOpenAccess\":false,\"openAccessPdf\":\"https://www.ncbi.nlm.nih.gov/pmc/articles/PMC12484925/pdf/\",\"citationCount\":\"0\",\"resultStr\":null,\"platform\":\"Semanticscholar\",\"paperid\":null,\"PeriodicalName\":\"Journal of International Medical Research\",\"FirstCategoryId\":\"3\",\"ListUrlMain\":\"https://doi.org/10.1177/03000605251382006\",\"RegionNum\":4,\"RegionCategory\":\"医学\",\"ArticlePicture\":[],\"TitleCN\":null,\"AbstractTextCN\":null,\"PMCID\":null,\"EPubDate\":\"2025/9/30 0:00:00\",\"PubModel\":\"Epub\",\"JCR\":\"Q4\",\"JCRName\":\"MEDICINE, RESEARCH & EXPERIMENTAL\",\"Score\":null,\"Total\":0}","platform":"Semanticscholar","paperid":null,"PeriodicalName":"Journal of International Medical Research","FirstCategoryId":"3","ListUrlMain":"https://doi.org/10.1177/03000605251382006","RegionNum":4,"RegionCategory":"医学","ArticlePicture":[],"TitleCN":null,"AbstractTextCN":null,"PMCID":null,"EPubDate":"2025/9/30 0:00:00","PubModel":"Epub","JCR":"Q4","JCRName":"MEDICINE, RESEARCH & EXPERIMENTAL","Score":null,"Total":0}
引用次数: 0

摘要

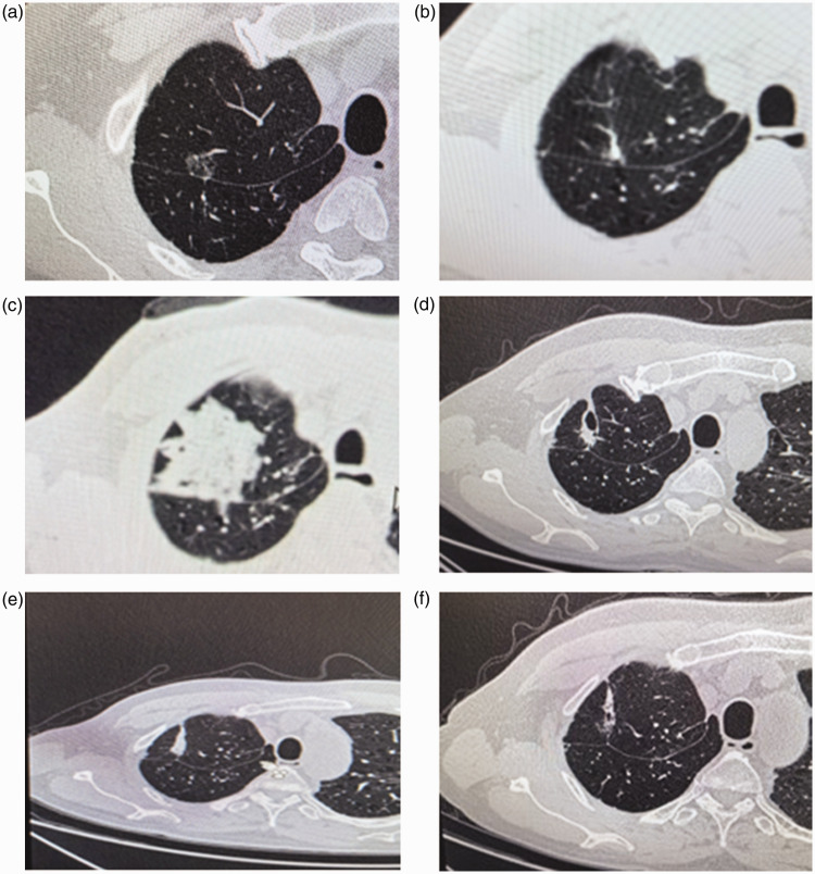
肺癌仍然是全球癌症相关死亡的主要原因。术后复发的患者通常有有限的治疗选择。本研究评估了计算机断层扫描引导下射频消融治疗肺癌手术后不适合再手术的高危肺结节的安全性和可行性。方法回顾性分析2023年7月~ 2024年8月在华西医院行射频消融治疗的肺癌术后放射学可疑复发结节患者40例(男16例,女24例,年龄41 ~ 78岁)。结果包括手术成功、并发症发生、住院时间、30天死亡率和影像学反应。结果所有手术在技术上均成功。12.5%的患者出现5个轻微并发症,包括发热(n = 2)和气胸(n = 3)。30天内未发生死亡,未观察到重大不良事件(如血胸)。术后平均住院时间为2.0天。此外,82.5%的患者接受了随访,并在3个月时实现了完全消融。结论ct引导下射频消融是一种微创、安全、有效的治疗肺癌术后不适合再手术的高危肺结节的方法。其低并发症率、快速恢复和有希望的局部控制支持其集成到多模式治疗算法中。需要更大规模的前瞻性研究来验证长期结果。
本文章由计算机程序翻译,如有差异,请以英文原文为准。

Safety and feasibility of computed tomography-guided radiofrequency ablation for treating high-risk pulmonary nodules in postoperative lung cancer patients.

Safety and feasibility of computed tomography-guided radiofrequency ablation for treating high-risk pulmonary nodules in postoperative lung cancer patients.

Safety and feasibility of computed tomography-guided radiofrequency ablation for treating high-risk pulmonary nodules in postoperative lung cancer patients.

Safety and feasibility of computed tomography-guided radiofrequency ablation for treating high-risk pulmonary nodules in postoperative lung cancer patients.

BackgroundLung cancer remains the leading cause of cancer-related deaths globally. Patients with postoperative recurrence typically have limited treatment options. This study evaluated the safety and feasibility of computed tomography-guided radiofrequency ablation for treating high-risk pulmonary nodules in patients who have undergone lung cancer surgery and are ineligible for reoperation.MethodsWe retrospectively analyzed 40 patients (16 men and 24 women, aged 41-78 years) with radiologically suspicious recurrent nodules following lung cancer resection who were treated with radiofrequency ablation at West China Hospital (July 2023-August 2024). Outcomes included procedural success, occurrence of complications, hospitalization duration, 30-day mortality, and imaging response.ResultsAll procedures were technically successful. Five minor complications occurred in 12.5% of the patients, including fever (n = 2) and pneumothorax (n = 3). No deaths occurred within 30 days, and no major adverse events (e.g. hemothorax) were observed. The median postoperative length of hospital stay after ablation was 2.0 days. Furthermore, 82.5% of the patients were followed up and had achieved complete ablation at the 3-month mark.ConclusionComputed tomography-guided radiofrequency ablation is a minimally invasive, safe, and effective option for managing high-risk pulmonary nodules in postoperative lung cancer patients who are deemed ineligible for reoperation. Its low complication rate, rapid recovery, and promising local control support its integration into multimodal treatment algorithms. Larger prospective studies are needed to validate long-term outcomes.

求助全文
通过发布文献求助,成功后即可免费获取论文全文。 去求助
来源期刊
CiteScore
3.20
自引率
0.00%
发文量
555
审稿时长
1 months
期刊介绍: _Journal of International Medical Research_ is a leading international journal for rapid publication of original medical, pre-clinical and clinical research, reviews, preliminary and pilot studies on a page charge basis. As a service to authors, every article accepted by peer review will be given a full technical edit to make papers as accessible and readable to the international medical community as rapidly as possible. Once the technical edit queries have been answered to the satisfaction of the journal, the paper will be published and made available freely to everyone under a creative commons licence. Symposium proceedings, summaries of presentations or collections of medical, pre-clinical or clinical data on a specific topic are welcome for publication as supplements. Print ISSN: 0300-0605
×
引用
GB/T 7714-2015
复制
MLA
复制
APA
复制
导出至
BibTeX EndNote RefMan NoteFirst NoteExpress
×
提示
您的信息不完整,为了账户安全,请先补充。
现在去补充
×
提示
您因"违规操作"
具体请查看互助需知
我知道了
×
提示
确定
请完成安全验证×
copy
已复制链接
快去分享给好友吧!
我知道了
右上角分享
点击右上角分享
0
联系我们:info@booksci.cn Book学术提供免费学术资源搜索服务,方便国内外学者检索中英文文献。致力于提供最便捷和优质的服务体验。 Copyright © 2023 布克学术 All rights reserved.
京ICP备2023020795号-1
ghs 京公网安备 11010802042870号
Book学术文献互助
Book学术文献互助群
群 号:604180095
Book学术官方微信