病例报告:AngioJet取栓系统在急性下肢深静脉血栓合并移植肾静脉血栓中的应用(附2例报告)。

IF 2.8 3区 医学 Q2 CARDIAC & CARDIOVASCULAR SYSTEMS
Frontiers in Cardiovascular Medicine Pub Date : 2025-09-15 eCollection Date: 2025-01-01 DOI:10.3389/fcvm.2025.1513776
Lifan Shao, Guangxin Cao, Suiyuan Shang, Bo Sun, Wuguang Ji, Jiefeng Zhang, Tao Liu
{"title":"病例报告:AngioJet取栓系统在急性下肢深静脉血栓合并移植肾静脉血栓中的应用(附2例报告)。","authors":"Lifan Shao, Guangxin Cao, Suiyuan Shang, Bo Sun, Wuguang Ji, Jiefeng Zhang, Tao Liu","doi":"10.3389/fcvm.2025.1513776","DOIUrl":null,"url":null,"abstract":"<p><p>Lower extremity deep venous thrombosis (DVT) combined with transplanted renal vein thrombosis represents a rare and complex form of venous thromboembolism that leads to obstruction of the transplanted renal vein. This condition results in parenchymal edema of the kidney, ultimately impairing the function of the transplanted organ. It constitutes a catastrophic complication following renal transplantation, potentially resulting in loss of function of the transplanted kidney and failure of the surgical procedure. The primary objective of treatment is to promptly remove thrombi from the transplanted renal vein, thereby restoring normal venous return and renal function as swiftly as possible to enhance patient prognosis. Currently, surgical thrombectomy and thrombolytic therapy are considered the mainstay treatment modalities. Surgical thrombectomy is generally recommended as a first-line approach due to its efficacy in achieving rapid thrombus removal. To date, there exists limited literature regarding the utilization of the AngioJet thrombectomy system for managing DVT in conjunction with transplanted renal vein thrombosis. In this report, we present two cases involving middle-aged male patients diagnosed with acute lower extremity DVT complicated by transplanted renal vein thrombosis. Both patients had undergone allogeneic kidney transplantation 15 and 4 years prior, respectively. In these instances, we employed the AngioJet thrombectomy system for emergency thrombus aspiration treatment. The thrombi within both patients' lower extremity deep veins and their respective transplanted renal veins were completely removed. Subsequently, urine output gradually increased for both patients; moreover, their renal function progressively improved to an acceptable range. Notably, neither patient developed postoperative complications nor exhibited any recurrence of thrombi during follow-up evaluations.</p>","PeriodicalId":12414,"journal":{"name":"Frontiers in Cardiovascular Medicine","volume":"12 ","pages":"1513776"},"PeriodicalIF":2.8000,"publicationDate":"2025-09-15","publicationTypes":"Journal Article","fieldsOfStudy":null,"isOpenAccess":false,"openAccessPdf":"https://www.ncbi.nlm.nih.gov/pmc/articles/PMC12477217/pdf/","citationCount":"0","resultStr":"{\"title\":\"Case Report: Application of the AngioJet thrombectomy system in acute lower extremity deep vein thrombosis complicated by transplanted renal vein thrombosis (report of two cases).\",\"authors\":\"Lifan Shao, Guangxin Cao, Suiyuan Shang, Bo Sun, Wuguang Ji, Jiefeng Zhang, Tao Liu\",\"doi\":\"10.3389/fcvm.2025.1513776\",\"DOIUrl\":null,\"url\":null,\"abstract\":\"<p><p>Lower extremity deep venous thrombosis (DVT) combined with transplanted renal vein thrombosis represents a rare and complex form of venous thromboembolism that leads to obstruction of the transplanted renal vein. This condition results in parenchymal edema of the kidney, ultimately impairing the function of the transplanted organ. It constitutes a catastrophic complication following renal transplantation, potentially resulting in loss of function of the transplanted kidney and failure of the surgical procedure. The primary objective of treatment is to promptly remove thrombi from the transplanted renal vein, thereby restoring normal venous return and renal function as swiftly as possible to enhance patient prognosis. Currently, surgical thrombectomy and thrombolytic therapy are considered the mainstay treatment modalities. Surgical thrombectomy is generally recommended as a first-line approach due to its efficacy in achieving rapid thrombus removal. To date, there exists limited literature regarding the utilization of the AngioJet thrombectomy system for managing DVT in conjunction with transplanted renal vein thrombosis. In this report, we present two cases involving middle-aged male patients diagnosed with acute lower extremity DVT complicated by transplanted renal vein thrombosis. Both patients had undergone allogeneic kidney transplantation 15 and 4 years prior, respectively. In these instances, we employed the AngioJet thrombectomy system for emergency thrombus aspiration treatment. The thrombi within both patients' lower extremity deep veins and their respective transplanted renal veins were completely removed. Subsequently, urine output gradually increased for both patients; moreover, their renal function progressively improved to an acceptable range. Notably, neither patient developed postoperative complications nor exhibited any recurrence of thrombi during follow-up evaluations.</p>\",\"PeriodicalId\":12414,\"journal\":{\"name\":\"Frontiers in Cardiovascular Medicine\",\"volume\":\"12 \",\"pages\":\"1513776\"},\"PeriodicalIF\":2.8000,\"publicationDate\":\"2025-09-15\",\"publicationTypes\":\"Journal Article\",\"fieldsOfStudy\":null,\"isOpenAccess\":false,\"openAccessPdf\":\"https://www.ncbi.nlm.nih.gov/pmc/articles/PMC12477217/pdf/\",\"citationCount\":\"0\",\"resultStr\":null,\"platform\":\"Semanticscholar\",\"paperid\":null,\"PeriodicalName\":\"Frontiers in Cardiovascular Medicine\",\"FirstCategoryId\":\"3\",\"ListUrlMain\":\"https://doi.org/10.3389/fcvm.2025.1513776\",\"RegionNum\":3,\"RegionCategory\":\"医学\",\"ArticlePicture\":[],\"TitleCN\":null,\"AbstractTextCN\":null,\"PMCID\":null,\"EPubDate\":\"2025/1/1 0:00:00\",\"PubModel\":\"eCollection\",\"JCR\":\"Q2\",\"JCRName\":\"CARDIAC & CARDIOVASCULAR SYSTEMS\",\"Score\":null,\"Total\":0}","platform":"Semanticscholar","paperid":null,"PeriodicalName":"Frontiers in Cardiovascular Medicine","FirstCategoryId":"3","ListUrlMain":"https://doi.org/10.3389/fcvm.2025.1513776","RegionNum":3,"RegionCategory":"医学","ArticlePicture":[],"TitleCN":null,"AbstractTextCN":null,"PMCID":null,"EPubDate":"2025/1/1 0:00:00","PubModel":"eCollection","JCR":"Q2","JCRName":"CARDIAC & CARDIOVASCULAR SYSTEMS","Score":null,"Total":0}
引用次数: 0

摘要

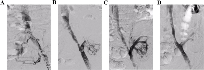
下肢深静脉血栓(DVT)合并移植肾静脉血栓形成是一种罕见而复杂的静脉血栓栓塞,可导致移植肾静脉阻塞。这种情况导致肾脏实质水肿,最终损害移植器官的功能。它是肾移植后的灾难性并发症,可能导致移植肾功能丧失和手术失败。治疗的主要目的是及时清除移植肾静脉中的血栓,从而尽快恢复正常的静脉回流和肾功能,提高患者预后。目前,手术取栓和溶栓治疗被认为是主要的治疗方式。外科取栓术通常被推荐为一线治疗方法,因为它能快速清除血栓。迄今为止,关于使用AngioJet取栓系统治疗DVT合并移植肾静脉血栓的文献有限。在此报告中,我们报告两例中年男性患者诊断为急性下肢深静脉血栓合并移植肾静脉血栓。两例患者分别在15年和4年前接受了异基因肾移植。在这些病例中,我们采用AngioJet取栓系统进行急诊血栓抽吸治疗。两例患者下肢深静脉及各自移植肾静脉内的血栓均被完全清除。随后,两例患者尿量逐渐增加;此外,肾功能逐渐改善到可接受的范围。值得注意的是,在随访评估中,患者均未出现术后并发症,也未出现血栓复发。
本文章由计算机程序翻译,如有差异,请以英文原文为准。

Case Report: Application of the AngioJet thrombectomy system in acute lower extremity deep vein thrombosis complicated by transplanted renal vein thrombosis (report of two cases).

Case Report: Application of the AngioJet thrombectomy system in acute lower extremity deep vein thrombosis complicated by transplanted renal vein thrombosis (report of two cases).

Case Report: Application of the AngioJet thrombectomy system in acute lower extremity deep vein thrombosis complicated by transplanted renal vein thrombosis (report of two cases).

Case Report: Application of the AngioJet thrombectomy system in acute lower extremity deep vein thrombosis complicated by transplanted renal vein thrombosis (report of two cases).

Lower extremity deep venous thrombosis (DVT) combined with transplanted renal vein thrombosis represents a rare and complex form of venous thromboembolism that leads to obstruction of the transplanted renal vein. This condition results in parenchymal edema of the kidney, ultimately impairing the function of the transplanted organ. It constitutes a catastrophic complication following renal transplantation, potentially resulting in loss of function of the transplanted kidney and failure of the surgical procedure. The primary objective of treatment is to promptly remove thrombi from the transplanted renal vein, thereby restoring normal venous return and renal function as swiftly as possible to enhance patient prognosis. Currently, surgical thrombectomy and thrombolytic therapy are considered the mainstay treatment modalities. Surgical thrombectomy is generally recommended as a first-line approach due to its efficacy in achieving rapid thrombus removal. To date, there exists limited literature regarding the utilization of the AngioJet thrombectomy system for managing DVT in conjunction with transplanted renal vein thrombosis. In this report, we present two cases involving middle-aged male patients diagnosed with acute lower extremity DVT complicated by transplanted renal vein thrombosis. Both patients had undergone allogeneic kidney transplantation 15 and 4 years prior, respectively. In these instances, we employed the AngioJet thrombectomy system for emergency thrombus aspiration treatment. The thrombi within both patients' lower extremity deep veins and their respective transplanted renal veins were completely removed. Subsequently, urine output gradually increased for both patients; moreover, their renal function progressively improved to an acceptable range. Notably, neither patient developed postoperative complications nor exhibited any recurrence of thrombi during follow-up evaluations.

求助全文
通过发布文献求助,成功后即可免费获取论文全文。 去求助
来源期刊
Frontiers in Cardiovascular Medicine
Frontiers in Cardiovascular Medicine Medicine-Cardiology and Cardiovascular Medicine
CiteScore
3.80
自引率
11.10%
发文量
3529
审稿时长
14 weeks
期刊介绍: Frontiers? Which frontiers? Where exactly are the frontiers of cardiovascular medicine? And who should be defining these frontiers? At Frontiers in Cardiovascular Medicine we believe it is worth being curious to foresee and explore beyond the current frontiers. In other words, we would like, through the articles published by our community journal Frontiers in Cardiovascular Medicine, to anticipate the future of cardiovascular medicine, and thus better prevent cardiovascular disorders and improve therapeutic options and outcomes of our patients.
×
引用
GB/T 7714-2015
复制
MLA
复制
APA
复制
导出至
BibTeX EndNote RefMan NoteFirst NoteExpress
×
提示
您的信息不完整,为了账户安全,请先补充。
现在去补充
×
提示
您因"违规操作"
具体请查看互助需知
我知道了
×
提示
确定
请完成安全验证×
copy
已复制链接
快去分享给好友吧!
我知道了
右上角分享
点击右上角分享
0
联系我们:info@booksci.cn Book学术提供免费学术资源搜索服务,方便国内外学者检索中英文文献。致力于提供最便捷和优质的服务体验。 Copyright © 2023 布克学术 All rights reserved.
京ICP备2023020795号-1
ghs 京公网安备 11010802042870号
Book学术文献互助
Book学术文献互助群
群 号:604180095
Book学术官方微信