“心中的蘑菇”:1例幽门螺杆菌感染性心内膜炎病例报告。

IF 2.8 3区 医学 Q2 CARDIAC & CARDIOVASCULAR SYSTEMS
Frontiers in Cardiovascular Medicine Pub Date : 2025-09-15 eCollection Date: 2025-01-01 DOI:10.3389/fcvm.2025.1643975
Yunhan Mao, XinPei Liu, ChaoJi Zhang, Jun Zheng
{"title":"“心中的蘑菇”:1例幽门螺杆菌感染性心内膜炎病例报告。","authors":"Yunhan Mao, XinPei Liu, ChaoJi Zhang, Jun Zheng","doi":"10.3389/fcvm.2025.1643975","DOIUrl":null,"url":null,"abstract":"<p><p><i>Volvariella volvacea (V. volvacea)</i>, an edible mushroom, may act as a pathogenic agent causing invasive fungal infections (IFIs) in immunocompromised patients. We present a 38-year-old male with persistent high fever post-allo-HSCT. Plasma mNGS revealed rising <i>V. volvacea</i> DNA loads (1,137 copies/μl). Intravenous antifungal therapy was initiated upon the diagnosis of IFI. Transthoracic echocardiography showed a 4 × 1 cm left atrial vegetation, with enhanced CT confirming multiorgan septic emboli (brain and kidney). PET/CT revealed a left atrial vegetation originating from a right lung infectious lesion, spreading contiguously into the left atrium via the pulmonary vein. Urgent vegetation resection was performed, followed by continued intravenous antifungal treatment. At the 5-month follow-up, the patient was afebrile with negative mNGS, completely resolved pulmonary lesion, and an improved quality of life. This case highlights the potential value of surgical-targeted antifungal therapy for fungal endocarditis and suggests practical principles: including mNGS-guided diagnosis, urgent surgical excision, long-term optimized antifungal therapy, and regular follow-up surveillance of the residual infected lesion.</p>","PeriodicalId":12414,"journal":{"name":"Frontiers in Cardiovascular Medicine","volume":"12 ","pages":"1643975"},"PeriodicalIF":2.8000,"publicationDate":"2025-09-15","publicationTypes":"Journal Article","fieldsOfStudy":null,"isOpenAccess":false,"openAccessPdf":"https://www.ncbi.nlm.nih.gov/pmc/articles/PMC12477206/pdf/","citationCount":"0","resultStr":"{\"title\":\"\\\"Mushroom in the heart\\\": a <i>Volvariella volvacea</i> infective endocarditis case report.\",\"authors\":\"Yunhan Mao, XinPei Liu, ChaoJi Zhang, Jun Zheng\",\"doi\":\"10.3389/fcvm.2025.1643975\",\"DOIUrl\":null,\"url\":null,\"abstract\":\"<p><p><i>Volvariella volvacea (V. volvacea)</i>, an edible mushroom, may act as a pathogenic agent causing invasive fungal infections (IFIs) in immunocompromised patients. We present a 38-year-old male with persistent high fever post-allo-HSCT. Plasma mNGS revealed rising <i>V. volvacea</i> DNA loads (1,137 copies/μl). Intravenous antifungal therapy was initiated upon the diagnosis of IFI. Transthoracic echocardiography showed a 4 × 1 cm left atrial vegetation, with enhanced CT confirming multiorgan septic emboli (brain and kidney). PET/CT revealed a left atrial vegetation originating from a right lung infectious lesion, spreading contiguously into the left atrium via the pulmonary vein. Urgent vegetation resection was performed, followed by continued intravenous antifungal treatment. At the 5-month follow-up, the patient was afebrile with negative mNGS, completely resolved pulmonary lesion, and an improved quality of life. This case highlights the potential value of surgical-targeted antifungal therapy for fungal endocarditis and suggests practical principles: including mNGS-guided diagnosis, urgent surgical excision, long-term optimized antifungal therapy, and regular follow-up surveillance of the residual infected lesion.</p>\",\"PeriodicalId\":12414,\"journal\":{\"name\":\"Frontiers in Cardiovascular Medicine\",\"volume\":\"12 \",\"pages\":\"1643975\"},\"PeriodicalIF\":2.8000,\"publicationDate\":\"2025-09-15\",\"publicationTypes\":\"Journal Article\",\"fieldsOfStudy\":null,\"isOpenAccess\":false,\"openAccessPdf\":\"https://www.ncbi.nlm.nih.gov/pmc/articles/PMC12477206/pdf/\",\"citationCount\":\"0\",\"resultStr\":null,\"platform\":\"Semanticscholar\",\"paperid\":null,\"PeriodicalName\":\"Frontiers in Cardiovascular Medicine\",\"FirstCategoryId\":\"3\",\"ListUrlMain\":\"https://doi.org/10.3389/fcvm.2025.1643975\",\"RegionNum\":3,\"RegionCategory\":\"医学\",\"ArticlePicture\":[],\"TitleCN\":null,\"AbstractTextCN\":null,\"PMCID\":null,\"EPubDate\":\"2025/1/1 0:00:00\",\"PubModel\":\"eCollection\",\"JCR\":\"Q2\",\"JCRName\":\"CARDIAC & CARDIOVASCULAR SYSTEMS\",\"Score\":null,\"Total\":0}","platform":"Semanticscholar","paperid":null,"PeriodicalName":"Frontiers in Cardiovascular Medicine","FirstCategoryId":"3","ListUrlMain":"https://doi.org/10.3389/fcvm.2025.1643975","RegionNum":3,"RegionCategory":"医学","ArticlePicture":[],"TitleCN":null,"AbstractTextCN":null,"PMCID":null,"EPubDate":"2025/1/1 0:00:00","PubModel":"eCollection","JCR":"Q2","JCRName":"CARDIAC & CARDIOVASCULAR SYSTEMS","Score":null,"Total":0}
引用次数: 0

摘要

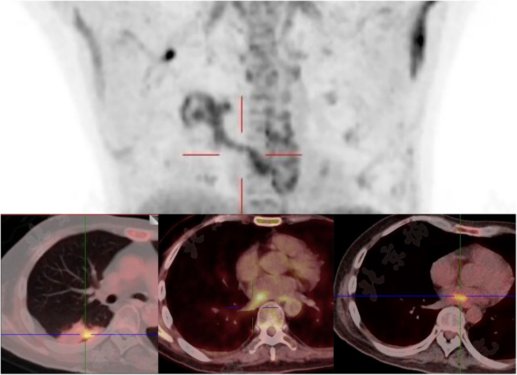
volvacea (V. volvacea)是一种可食用的蘑菇,可能作为病原体引起免疫功能低下患者的侵袭性真菌感染(IFIs)。我们报告一位38岁男性患者,在异基因造血干细胞移植后持续高烧。血浆mNGS结果显示,V. volvacea DNA负荷增加(1137拷贝/μl)。诊断为IFI后开始静脉抗真菌治疗。经胸超声心动图显示4 × 1 cm左心房赘生物,增强CT证实多器官脓毒性栓塞(脑和肾)。PET/CT显示左心房赘生物起源于右肺感染性病变,经肺静脉连续扩散至左心房。进行紧急植被切除,然后继续静脉抗真菌治疗。随访5个月,患者发热,mNGS阴性,肺部病变完全消退,生活质量改善。本病例强调了手术靶向抗真菌治疗真菌性心内膜炎的潜在价值,并提出了实用原则:包括mngs指导下的诊断、紧急手术切除、长期优化抗真菌治疗、定期随访监测残留感染病灶。
本文章由计算机程序翻译,如有差异,请以英文原文为准。

"Mushroom in the heart": a <i>Volvariella volvacea</i> infective endocarditis case report.

"Mushroom in the heart": a <i>Volvariella volvacea</i> infective endocarditis case report.

"Mushroom in the heart": a <i>Volvariella volvacea</i> infective endocarditis case report.

"Mushroom in the heart": a Volvariella volvacea infective endocarditis case report.

Volvariella volvacea (V. volvacea), an edible mushroom, may act as a pathogenic agent causing invasive fungal infections (IFIs) in immunocompromised patients. We present a 38-year-old male with persistent high fever post-allo-HSCT. Plasma mNGS revealed rising V. volvacea DNA loads (1,137 copies/μl). Intravenous antifungal therapy was initiated upon the diagnosis of IFI. Transthoracic echocardiography showed a 4 × 1 cm left atrial vegetation, with enhanced CT confirming multiorgan septic emboli (brain and kidney). PET/CT revealed a left atrial vegetation originating from a right lung infectious lesion, spreading contiguously into the left atrium via the pulmonary vein. Urgent vegetation resection was performed, followed by continued intravenous antifungal treatment. At the 5-month follow-up, the patient was afebrile with negative mNGS, completely resolved pulmonary lesion, and an improved quality of life. This case highlights the potential value of surgical-targeted antifungal therapy for fungal endocarditis and suggests practical principles: including mNGS-guided diagnosis, urgent surgical excision, long-term optimized antifungal therapy, and regular follow-up surveillance of the residual infected lesion.

求助全文
通过发布文献求助,成功后即可免费获取论文全文。 去求助
来源期刊
Frontiers in Cardiovascular Medicine
Frontiers in Cardiovascular Medicine Medicine-Cardiology and Cardiovascular Medicine
CiteScore
3.80
自引率
11.10%
发文量
3529
审稿时长
14 weeks
期刊介绍: Frontiers? Which frontiers? Where exactly are the frontiers of cardiovascular medicine? And who should be defining these frontiers? At Frontiers in Cardiovascular Medicine we believe it is worth being curious to foresee and explore beyond the current frontiers. In other words, we would like, through the articles published by our community journal Frontiers in Cardiovascular Medicine, to anticipate the future of cardiovascular medicine, and thus better prevent cardiovascular disorders and improve therapeutic options and outcomes of our patients.
×
引用
GB/T 7714-2015
复制
MLA
复制
APA
复制
导出至
BibTeX EndNote RefMan NoteFirst NoteExpress
×
提示
您的信息不完整,为了账户安全,请先补充。
现在去补充
×
提示
您因"违规操作"
具体请查看互助需知
我知道了
×
提示
确定
请完成安全验证×
copy
已复制链接
快去分享给好友吧!
我知道了
右上角分享
点击右上角分享
0
联系我们:info@booksci.cn Book学术提供免费学术资源搜索服务,方便国内外学者检索中英文文献。致力于提供最便捷和优质的服务体验。 Copyright © 2023 布克学术 All rights reserved.
京ICP备2023020795号-1
ghs 京公网安备 11010802042870号
Book学术文献互助
Book学术文献互助群
群 号:604180095
Book学术官方微信