头颈部及纵隔多发副神经节瘤1例。

IF 2.3 3区 医学 Q2 PATHOLOGY
Shahab Rafieian, Hesam Amini, Omid Rezaei, Aysan Nozheh, Niloofar Ayoobi Yazdi
{"title":"头颈部及纵隔多发副神经节瘤1例。","authors":"Shahab Rafieian, Hesam Amini, Omid Rezaei, Aysan Nozheh, Niloofar Ayoobi Yazdi","doi":"10.1186/s13000-025-01710-6","DOIUrl":null,"url":null,"abstract":"<p><strong>Background: </strong>Paragangliomas are neuroendocrine tumors that often present as solitary tumors. In this case report, we describe a patient with multiple head and neck paraganglioma associated with a mediastinal paraganglioma.</p><p><strong>Case presentation: </strong>The patient was a 46-year-old male with a history of surgical removal of a mass from the right side of the neck, who presented with dysphonia lasting two months, hoarseness, vague chest pain, and unilateral ptosis. CT angiography of the carotid arteries and thoracic aorta revealed multiple findings, including a well-defined enhancing mass measuring 33 × 39 mm in the aorto-pulmonary prevascular space, a grade I carotid body tumor on the left side of the neck, vagal paragangliomas on the right side of the neck, and a glomus jugulare tumor on the right side. These findings were collectively suggestive of multiple paragangliomas. The patient subsequently underwent surgical resection of the mediastinal tumor, and pathological examination confirmed the diagnosis of paraganglioma.</p><p><strong>Conclusion: </strong>This report details a rare case of paraganglioma with multiple head, neck, and mediastinal involvement, emphasizing the need for thorough evaluation and genetic assessment in atypical presentations.</p>","PeriodicalId":11237,"journal":{"name":"Diagnostic Pathology","volume":"20 1","pages":"109"},"PeriodicalIF":2.3000,"publicationDate":"2025-09-30","publicationTypes":"Journal Article","fieldsOfStudy":null,"isOpenAccess":false,"openAccessPdf":"https://www.ncbi.nlm.nih.gov/pmc/articles/PMC12486719/pdf/","citationCount":"0","resultStr":"{\"title\":\"Multiple paragangliomas diagnosed in head, neck, and mediastinum: a case report.\",\"authors\":\"Shahab Rafieian, Hesam Amini, Omid Rezaei, Aysan Nozheh, Niloofar Ayoobi Yazdi\",\"doi\":\"10.1186/s13000-025-01710-6\",\"DOIUrl\":null,\"url\":null,\"abstract\":\"<p><strong>Background: </strong>Paragangliomas are neuroendocrine tumors that often present as solitary tumors. In this case report, we describe a patient with multiple head and neck paraganglioma associated with a mediastinal paraganglioma.</p><p><strong>Case presentation: </strong>The patient was a 46-year-old male with a history of surgical removal of a mass from the right side of the neck, who presented with dysphonia lasting two months, hoarseness, vague chest pain, and unilateral ptosis. CT angiography of the carotid arteries and thoracic aorta revealed multiple findings, including a well-defined enhancing mass measuring 33 × 39 mm in the aorto-pulmonary prevascular space, a grade I carotid body tumor on the left side of the neck, vagal paragangliomas on the right side of the neck, and a glomus jugulare tumor on the right side. These findings were collectively suggestive of multiple paragangliomas. The patient subsequently underwent surgical resection of the mediastinal tumor, and pathological examination confirmed the diagnosis of paraganglioma.</p><p><strong>Conclusion: </strong>This report details a rare case of paraganglioma with multiple head, neck, and mediastinal involvement, emphasizing the need for thorough evaluation and genetic assessment in atypical presentations.</p>\",\"PeriodicalId\":11237,\"journal\":{\"name\":\"Diagnostic Pathology\",\"volume\":\"20 1\",\"pages\":\"109\"},\"PeriodicalIF\":2.3000,\"publicationDate\":\"2025-09-30\",\"publicationTypes\":\"Journal Article\",\"fieldsOfStudy\":null,\"isOpenAccess\":false,\"openAccessPdf\":\"https://www.ncbi.nlm.nih.gov/pmc/articles/PMC12486719/pdf/\",\"citationCount\":\"0\",\"resultStr\":null,\"platform\":\"Semanticscholar\",\"paperid\":null,\"PeriodicalName\":\"Diagnostic Pathology\",\"FirstCategoryId\":\"3\",\"ListUrlMain\":\"https://doi.org/10.1186/s13000-025-01710-6\",\"RegionNum\":3,\"RegionCategory\":\"医学\",\"ArticlePicture\":[],\"TitleCN\":null,\"AbstractTextCN\":null,\"PMCID\":null,\"EPubDate\":\"\",\"PubModel\":\"\",\"JCR\":\"Q2\",\"JCRName\":\"PATHOLOGY\",\"Score\":null,\"Total\":0}","platform":"Semanticscholar","paperid":null,"PeriodicalName":"Diagnostic Pathology","FirstCategoryId":"3","ListUrlMain":"https://doi.org/10.1186/s13000-025-01710-6","RegionNum":3,"RegionCategory":"医学","ArticlePicture":[],"TitleCN":null,"AbstractTextCN":null,"PMCID":null,"EPubDate":"","PubModel":"","JCR":"Q2","JCRName":"PATHOLOGY","Score":null,"Total":0}
引用次数: 0

摘要

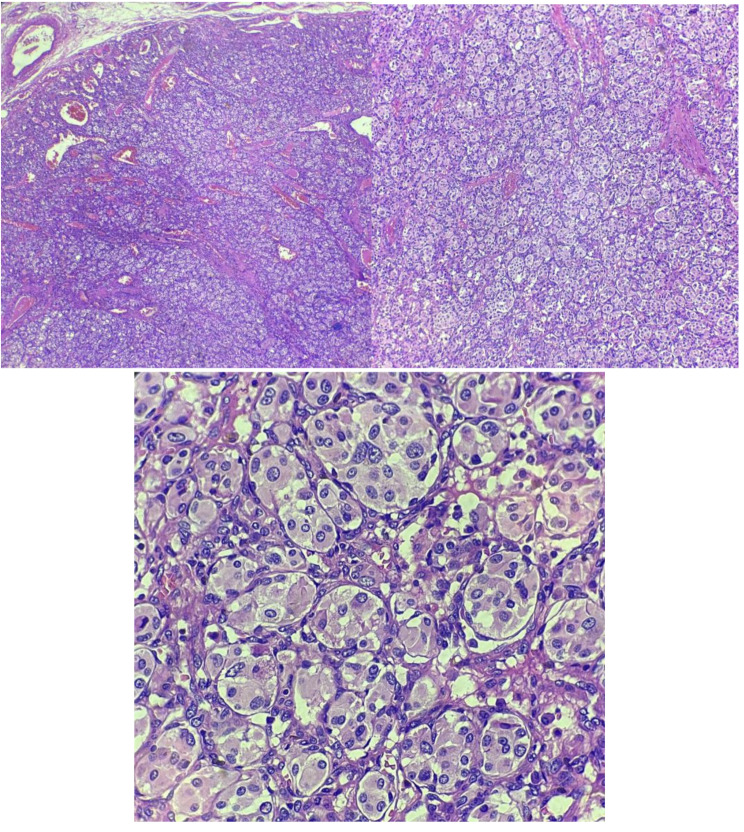
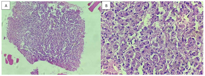
背景:副神经节瘤是一种神经内分泌肿瘤,常表现为孤立性肿瘤。在这个病例报告中,我们描述了一个患者多发性头颈部副神经节瘤合并纵隔副神经节瘤。病例介绍:患者为46岁男性,曾手术切除颈部右侧肿块,表现为发音困难持续两个月,声音嘶哑,胸痛模糊,单侧上睑下垂。颈动脉及胸主动脉CT血管造影显示多发病灶,包括主动脉-肺血管间隙一明显强化肿块,大小为33 × 39 mm,左侧颈动脉体1级肿瘤,右侧颈迷走副神经节瘤,右侧颈静脉球瘤。这些发现共同提示多发性副神经节瘤。患者随后行纵隔肿瘤手术切除,病理检查证实为副神经节瘤。结论:本报告详细介绍了一例罕见的副神经节瘤伴多发性头颈部和纵隔受累的病例,强调了对非典型表现进行彻底评估和遗传评估的必要性。
本文章由计算机程序翻译,如有差异,请以英文原文为准。

Multiple paragangliomas diagnosed in head, neck, and mediastinum: a case report.

Multiple paragangliomas diagnosed in head, neck, and mediastinum: a case report.

Multiple paragangliomas diagnosed in head, neck, and mediastinum: a case report.

Multiple paragangliomas diagnosed in head, neck, and mediastinum: a case report.

Background: Paragangliomas are neuroendocrine tumors that often present as solitary tumors. In this case report, we describe a patient with multiple head and neck paraganglioma associated with a mediastinal paraganglioma.

Case presentation: The patient was a 46-year-old male with a history of surgical removal of a mass from the right side of the neck, who presented with dysphonia lasting two months, hoarseness, vague chest pain, and unilateral ptosis. CT angiography of the carotid arteries and thoracic aorta revealed multiple findings, including a well-defined enhancing mass measuring 33 × 39 mm in the aorto-pulmonary prevascular space, a grade I carotid body tumor on the left side of the neck, vagal paragangliomas on the right side of the neck, and a glomus jugulare tumor on the right side. These findings were collectively suggestive of multiple paragangliomas. The patient subsequently underwent surgical resection of the mediastinal tumor, and pathological examination confirmed the diagnosis of paraganglioma.

Conclusion: This report details a rare case of paraganglioma with multiple head, neck, and mediastinal involvement, emphasizing the need for thorough evaluation and genetic assessment in atypical presentations.

求助全文
通过发布文献求助,成功后即可免费获取论文全文。 去求助
来源期刊
Diagnostic Pathology
Diagnostic Pathology 医学-病理学
CiteScore
4.60
自引率
0.00%
发文量
93
审稿时长
1 months
期刊介绍: Diagnostic Pathology is an open access, peer-reviewed, online journal that considers research in surgical and clinical pathology, immunology, and biology, with a special focus on cutting-edge approaches in diagnostic pathology and tissue-based therapy. The journal covers all aspects of surgical pathology, including classic diagnostic pathology, prognosis-related diagnosis (tumor stages, prognosis markers, such as MIB-percentage, hormone receptors, etc.), and therapy-related findings. The journal also focuses on the technological aspects of pathology, including molecular biology techniques, morphometry aspects (stereology, DNA analysis, syntactic structure analysis), communication aspects (telecommunication, virtual microscopy, virtual pathology institutions, etc.), and electronic education and quality assurance (for example interactive publication, on-line references with automated updating, etc.).
×
引用
GB/T 7714-2015
复制
MLA
复制
APA
复制
导出至
BibTeX EndNote RefMan NoteFirst NoteExpress
×
提示
您的信息不完整,为了账户安全,请先补充。
现在去补充
×
提示
您因"违规操作"
具体请查看互助需知
我知道了
×
提示
确定
请完成安全验证×
copy
已复制链接
快去分享给好友吧!
我知道了
右上角分享
点击右上角分享
0
联系我们:info@booksci.cn Book学术提供免费学术资源搜索服务,方便国内外学者检索中英文文献。致力于提供最便捷和优质的服务体验。 Copyright © 2023 布克学术 All rights reserved.
京ICP备2023020795号-1
ghs 京公网安备 11010802042870号
Book学术文献互助
Book学术文献互助群
群 号:604180095
Book学术官方微信