Cierny-Mader III期和IV期慢性骨髓炎手术截骨范围的研究。

IF 2.4 3区 医学 Q2 ORTHOPEDICS
Xu Wang, Fei Liu, Zhi-Meng Zhang, Dao-Tong Yuan, Wen-Peng Xie, Yong-Kui Zhang
{"title":"Cierny-Mader III期和IV期慢性骨髓炎手术截骨范围的研究。","authors":"Xu Wang, Fei Liu, Zhi-Meng Zhang, Dao-Tong Yuan, Wen-Peng Xie, Yong-Kui Zhang","doi":"10.1186/s12891-025-09121-w","DOIUrl":null,"url":null,"abstract":"<p><strong>Purpose: </strong>To determine an optimal osteotomy criterion for patients with Cierny-Mader stages III and IV chronic osteomyelitis.</p><p><strong>Methods: </strong>Seventy patients with Cierny-Mader stages III and IV chronic osteomyelitis admitted to the Department of Orthopedics of a Class III Grade A Hospital from January 2018 to March 2022 were selected for retrospective analysis and study. The following patient data were collected: gender, age, site of infection, bacterial culture results, internal fixation status, bone defect length, BMI, history of diabetes mellitus, smoking history, and history of preoperative antibiotic use. The patients were treated with sensitive antibiotics after surgery, followed up regularly, and venous blood C-reactive protein (CRP), sedimentation (ESR), white blood cells (WBC) and muscle strength (MTT scale), joint mobility (neutral 0° method), and bony healing time were measured to observe the recurrence rate of osteomyelitis and to assess the recovery of limb function according to the Enneking scale.</p><p><strong>Results: </strong>Among the 70 patients, 20 cases were guided by X-ray, 30 cases by MRI, and 20 cases by SPECT. All patients underwent thorough debridement under the guidance of imaging modalities followed by external fixation. All cases were followed up and with a mean follow-up time of (12.2 ± 3.2) months. The recurrence rate of 35% in patients with X-ray as a guide was significantly higher than that of patients with MRI as a guide (10%) and SPECT as a guide (5%), and the difference between the three groups was statistically significant (P < 0.05).</p><p><strong>Conclusion: </strong>For patients with osteomyelitis without metal internal fixation, the osteotomy surgical technique with MRI to guide the expansion of 0.5 cm distally and proximally, or with SPECT imaging to guide the surgical procedure in the area with 30-40% of the radioactive count contour (isocontour, ISO) had the advantages of low recurrence rate and good recovery of limb function, and the differences were not statistically significant. For patients with osteomyelitis with metal internal fixation, the osteotomy surgical technique with SPECT to guide the surgical procedure had the advantages of low recurrence rate and good recovery of limb function. In patients with osteomyelitis with metal internal fixation, SPECT was used as a guide to determine the extent of the osteomyelitis lesion, and osteotomy in the area with 30-40% of ISO was more effective than MRI.</p>","PeriodicalId":9189,"journal":{"name":"BMC Musculoskeletal Disorders","volume":"26 1","pages":"877"},"PeriodicalIF":2.4000,"publicationDate":"2025-09-30","publicationTypes":"Journal Article","fieldsOfStudy":null,"isOpenAccess":false,"openAccessPdf":"https://www.ncbi.nlm.nih.gov/pmc/articles/PMC12482713/pdf/","citationCount":"0","resultStr":"{\"title\":\"Study of the extent of surgical osteotomy in Cierny-Mader stages III and IV chronic osteomyelitis.\",\"authors\":\"Xu Wang, Fei Liu, Zhi-Meng Zhang, Dao-Tong Yuan, Wen-Peng Xie, Yong-Kui Zhang\",\"doi\":\"10.1186/s12891-025-09121-w\",\"DOIUrl\":null,\"url\":null,\"abstract\":\"<p><strong>Purpose: </strong>To determine an optimal osteotomy criterion for patients with Cierny-Mader stages III and IV chronic osteomyelitis.</p><p><strong>Methods: </strong>Seventy patients with Cierny-Mader stages III and IV chronic osteomyelitis admitted to the Department of Orthopedics of a Class III Grade A Hospital from January 2018 to March 2022 were selected for retrospective analysis and study. The following patient data were collected: gender, age, site of infection, bacterial culture results, internal fixation status, bone defect length, BMI, history of diabetes mellitus, smoking history, and history of preoperative antibiotic use. The patients were treated with sensitive antibiotics after surgery, followed up regularly, and venous blood C-reactive protein (CRP), sedimentation (ESR), white blood cells (WBC) and muscle strength (MTT scale), joint mobility (neutral 0° method), and bony healing time were measured to observe the recurrence rate of osteomyelitis and to assess the recovery of limb function according to the Enneking scale.</p><p><strong>Results: </strong>Among the 70 patients, 20 cases were guided by X-ray, 30 cases by MRI, and 20 cases by SPECT. All patients underwent thorough debridement under the guidance of imaging modalities followed by external fixation. All cases were followed up and with a mean follow-up time of (12.2 ± 3.2) months. The recurrence rate of 35% in patients with X-ray as a guide was significantly higher than that of patients with MRI as a guide (10%) and SPECT as a guide (5%), and the difference between the three groups was statistically significant (P < 0.05).</p><p><strong>Conclusion: </strong>For patients with osteomyelitis without metal internal fixation, the osteotomy surgical technique with MRI to guide the expansion of 0.5 cm distally and proximally, or with SPECT imaging to guide the surgical procedure in the area with 30-40% of the radioactive count contour (isocontour, ISO) had the advantages of low recurrence rate and good recovery of limb function, and the differences were not statistically significant. For patients with osteomyelitis with metal internal fixation, the osteotomy surgical technique with SPECT to guide the surgical procedure had the advantages of low recurrence rate and good recovery of limb function. In patients with osteomyelitis with metal internal fixation, SPECT was used as a guide to determine the extent of the osteomyelitis lesion, and osteotomy in the area with 30-40% of ISO was more effective than MRI.</p>\",\"PeriodicalId\":9189,\"journal\":{\"name\":\"BMC Musculoskeletal Disorders\",\"volume\":\"26 1\",\"pages\":\"877\"},\"PeriodicalIF\":2.4000,\"publicationDate\":\"2025-09-30\",\"publicationTypes\":\"Journal Article\",\"fieldsOfStudy\":null,\"isOpenAccess\":false,\"openAccessPdf\":\"https://www.ncbi.nlm.nih.gov/pmc/articles/PMC12482713/pdf/\",\"citationCount\":\"0\",\"resultStr\":null,\"platform\":\"Semanticscholar\",\"paperid\":null,\"PeriodicalName\":\"BMC Musculoskeletal Disorders\",\"FirstCategoryId\":\"3\",\"ListUrlMain\":\"https://doi.org/10.1186/s12891-025-09121-w\",\"RegionNum\":3,\"RegionCategory\":\"医学\",\"ArticlePicture\":[],\"TitleCN\":null,\"AbstractTextCN\":null,\"PMCID\":null,\"EPubDate\":\"\",\"PubModel\":\"\",\"JCR\":\"Q2\",\"JCRName\":\"ORTHOPEDICS\",\"Score\":null,\"Total\":0}","platform":"Semanticscholar","paperid":null,"PeriodicalName":"BMC Musculoskeletal Disorders","FirstCategoryId":"3","ListUrlMain":"https://doi.org/10.1186/s12891-025-09121-w","RegionNum":3,"RegionCategory":"医学","ArticlePicture":[],"TitleCN":null,"AbstractTextCN":null,"PMCID":null,"EPubDate":"","PubModel":"","JCR":"Q2","JCRName":"ORTHOPEDICS","Score":null,"Total":0}
引用次数: 0

摘要

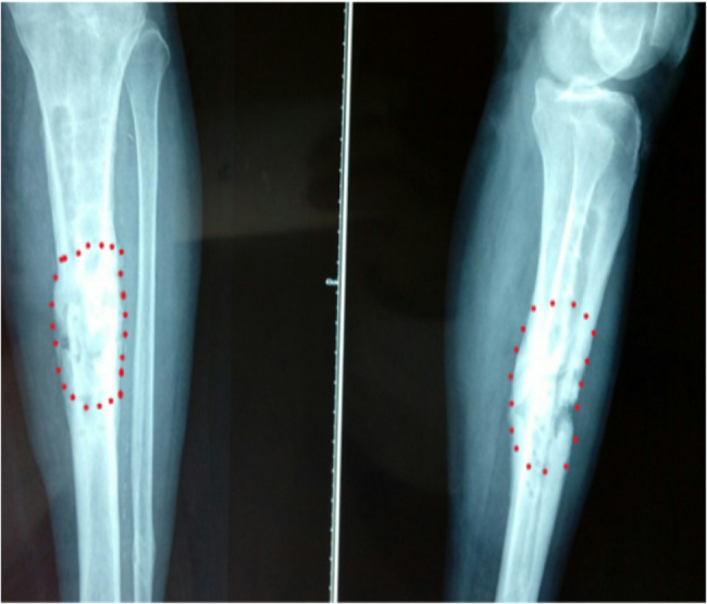
目的:确定cierney - mader III期和IV期慢性骨髓炎患者的最佳截骨标准。方法:选择2018年1月至2022年3月某三甲医院骨科收治的70例慢性cierney - mader III期和IV期骨髓炎患者进行回顾性分析和研究。收集患者的性别、年龄、感染部位、细菌培养结果、内固定状态、骨缺损长度、BMI、糖尿病史、吸烟史、术前抗生素使用史。术后给予敏感抗生素治疗,定期随访,测定静脉血c反应蛋白(CRP)、血沉(ESR)、白细胞(WBC)、肌力(MTT量表)、关节活动度(中性0°法)、骨愈合时间,观察骨髓炎复发率,并按Enneking量表评估肢体功能恢复情况。结果:70例患者中x线引导20例,MRI引导30例,SPECT引导20例。所有患者均在影像学指导下行彻底清创后行外固定。所有病例均得到随访,平均随访时间(12.2±3.2)个月。以x线为指导的患者复发率为35%,显著高于MRI为指导的患者复发率10%和SPECT为指导的患者复发率5%,三组间差异有统计学意义(P)对于无金属内固定的骨髓炎患者,采用MRI引导远端和近端扩张0.5 cm的截骨手术技术,或采用SPECT成像指导手术在放射计数等值线(isocontour, ISO) 30-40%的区域内进行手术,具有复发率低、肢体功能恢复好等优点,差异无统计学意义。对于金属内固定骨髓炎患者,以SPECT为指导的截骨手术技术具有复发率低、肢体功能恢复好等优点。在金属内固定的骨髓炎患者中,SPECT作为指导来确定骨髓炎病变的程度,在ISO为30-40%的区域截骨比MRI更有效。
本文章由计算机程序翻译,如有差异,请以英文原文为准。

Study of the extent of surgical osteotomy in Cierny-Mader stages III and IV chronic osteomyelitis.

Study of the extent of surgical osteotomy in Cierny-Mader stages III and IV chronic osteomyelitis.

Study of the extent of surgical osteotomy in Cierny-Mader stages III and IV chronic osteomyelitis.

Study of the extent of surgical osteotomy in Cierny-Mader stages III and IV chronic osteomyelitis.

Purpose: To determine an optimal osteotomy criterion for patients with Cierny-Mader stages III and IV chronic osteomyelitis.

Methods: Seventy patients with Cierny-Mader stages III and IV chronic osteomyelitis admitted to the Department of Orthopedics of a Class III Grade A Hospital from January 2018 to March 2022 were selected for retrospective analysis and study. The following patient data were collected: gender, age, site of infection, bacterial culture results, internal fixation status, bone defect length, BMI, history of diabetes mellitus, smoking history, and history of preoperative antibiotic use. The patients were treated with sensitive antibiotics after surgery, followed up regularly, and venous blood C-reactive protein (CRP), sedimentation (ESR), white blood cells (WBC) and muscle strength (MTT scale), joint mobility (neutral 0° method), and bony healing time were measured to observe the recurrence rate of osteomyelitis and to assess the recovery of limb function according to the Enneking scale.

Results: Among the 70 patients, 20 cases were guided by X-ray, 30 cases by MRI, and 20 cases by SPECT. All patients underwent thorough debridement under the guidance of imaging modalities followed by external fixation. All cases were followed up and with a mean follow-up time of (12.2 ± 3.2) months. The recurrence rate of 35% in patients with X-ray as a guide was significantly higher than that of patients with MRI as a guide (10%) and SPECT as a guide (5%), and the difference between the three groups was statistically significant (P < 0.05).

Conclusion: For patients with osteomyelitis without metal internal fixation, the osteotomy surgical technique with MRI to guide the expansion of 0.5 cm distally and proximally, or with SPECT imaging to guide the surgical procedure in the area with 30-40% of the radioactive count contour (isocontour, ISO) had the advantages of low recurrence rate and good recovery of limb function, and the differences were not statistically significant. For patients with osteomyelitis with metal internal fixation, the osteotomy surgical technique with SPECT to guide the surgical procedure had the advantages of low recurrence rate and good recovery of limb function. In patients with osteomyelitis with metal internal fixation, SPECT was used as a guide to determine the extent of the osteomyelitis lesion, and osteotomy in the area with 30-40% of ISO was more effective than MRI.

求助全文
通过发布文献求助,成功后即可免费获取论文全文。 去求助
来源期刊
BMC Musculoskeletal Disorders
BMC Musculoskeletal Disorders 医学-风湿病学
CiteScore
3.80
自引率
8.70%
发文量
1017
审稿时长
3-6 weeks
期刊介绍: BMC Musculoskeletal Disorders is an open access, peer-reviewed journal that considers articles on all aspects of the prevention, diagnosis and management of musculoskeletal disorders, as well as related molecular genetics, pathophysiology, and epidemiology. The scope of the Journal covers research into rheumatic diseases where the primary focus relates specifically to a component(s) of the musculoskeletal system.
×
引用
GB/T 7714-2015
复制
MLA
复制
APA
复制
导出至
BibTeX EndNote RefMan NoteFirst NoteExpress
×
提示
您的信息不完整,为了账户安全,请先补充。
现在去补充
×
提示
您因"违规操作"
具体请查看互助需知
我知道了
×
提示
确定
请完成安全验证×
copy
已复制链接
快去分享给好友吧!
我知道了
右上角分享
点击右上角分享
0
联系我们:info@booksci.cn Book学术提供免费学术资源搜索服务,方便国内外学者检索中英文文献。致力于提供最便捷和优质的服务体验。 Copyright © 2023 布克学术 All rights reserved.
京ICP备2023020795号-1
ghs 京公网安备 11010802042870号
Book学术文献互助
Book学术文献互助群
群 号:604180095
Book学术官方微信