韩国患者年龄相关性黄斑变性继发地域性萎缩的特征。

IF 1.7 4区 医学 Q3 OPHTHALMOLOGY
Sang Min Park, Daeun Shin, Chul Gu Kim, Jae Hui Kim
{"title":"韩国患者年龄相关性黄斑变性继发地域性萎缩的特征。","authors":"Sang Min Park, Daeun Shin, Chul Gu Kim, Jae Hui Kim","doi":"10.1186/s12886-025-04330-2","DOIUrl":null,"url":null,"abstract":"","PeriodicalId":9058,"journal":{"name":"BMC Ophthalmology","volume":"25 1","pages":"516"},"PeriodicalIF":1.7000,"publicationDate":"2025-09-30","publicationTypes":"Journal Article","fieldsOfStudy":null,"isOpenAccess":false,"openAccessPdf":"https://www.ncbi.nlm.nih.gov/pmc/articles/PMC12487059/pdf/","citationCount":"0","resultStr":"{\"title\":\"Characteristics of geographic atrophy secondary to age-related macular degeneration in Korean patients.\",\"authors\":\"Sang Min Park, Daeun Shin, Chul Gu Kim, Jae Hui Kim\",\"doi\":\"10.1186/s12886-025-04330-2\",\"DOIUrl\":null,\"url\":null,\"abstract\":\"\",\"PeriodicalId\":9058,\"journal\":{\"name\":\"BMC Ophthalmology\",\"volume\":\"25 1\",\"pages\":\"516\"},\"PeriodicalIF\":1.7000,\"publicationDate\":\"2025-09-30\",\"publicationTypes\":\"Journal Article\",\"fieldsOfStudy\":null,\"isOpenAccess\":false,\"openAccessPdf\":\"https://www.ncbi.nlm.nih.gov/pmc/articles/PMC12487059/pdf/\",\"citationCount\":\"0\",\"resultStr\":null,\"platform\":\"Semanticscholar\",\"paperid\":null,\"PeriodicalName\":\"BMC Ophthalmology\",\"FirstCategoryId\":\"3\",\"ListUrlMain\":\"https://doi.org/10.1186/s12886-025-04330-2\",\"RegionNum\":4,\"RegionCategory\":\"医学\",\"ArticlePicture\":[],\"TitleCN\":null,\"AbstractTextCN\":null,\"PMCID\":null,\"EPubDate\":\"\",\"PubModel\":\"\",\"JCR\":\"Q3\",\"JCRName\":\"OPHTHALMOLOGY\",\"Score\":null,\"Total\":0}","platform":"Semanticscholar","paperid":null,"PeriodicalName":"BMC Ophthalmology","FirstCategoryId":"3","ListUrlMain":"https://doi.org/10.1186/s12886-025-04330-2","RegionNum":4,"RegionCategory":"医学","ArticlePicture":[],"TitleCN":null,"AbstractTextCN":null,"PMCID":null,"EPubDate":"","PubModel":"","JCR":"Q3","JCRName":"OPHTHALMOLOGY","Score":null,"Total":0}
引用次数: 0

摘要

本文章由计算机程序翻译,如有差异,请以英文原文为准。

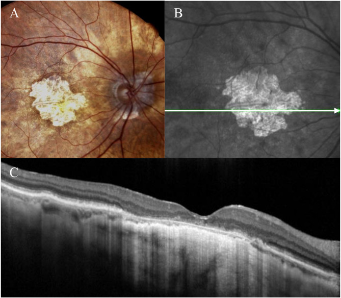
Characteristics of geographic atrophy secondary to age-related macular degeneration in Korean patients.

Characteristics of geographic atrophy secondary to age-related macular degeneration in Korean patients.

Characteristics of geographic atrophy secondary to age-related macular degeneration in Korean patients.
求助全文
通过发布文献求助,成功后即可免费获取论文全文。 去求助
来源期刊
BMC Ophthalmology
BMC Ophthalmology OPHTHALMOLOGY-
CiteScore
3.40
自引率
5.00%
发文量
441
审稿时长
6-12 weeks
期刊介绍: BMC Ophthalmology is an open access, peer-reviewed journal that considers articles on all aspects of the prevention, diagnosis and management of eye disorders, as well as related molecular genetics, pathophysiology, and epidemiology.
×
引用
GB/T 7714-2015
复制
MLA
复制
APA
复制
导出至
BibTeX EndNote RefMan NoteFirst NoteExpress
×
提示
您的信息不完整,为了账户安全,请先补充。
现在去补充
×
提示
您因"违规操作"
具体请查看互助需知
我知道了
×
提示
确定
请完成安全验证×
copy
已复制链接
快去分享给好友吧!
我知道了
右上角分享
点击右上角分享
0
联系我们:info@booksci.cn Book学术提供免费学术资源搜索服务,方便国内外学者检索中英文文献。致力于提供最便捷和优质的服务体验。 Copyright © 2023 布克学术 All rights reserved.
京ICP备2023020795号-1
ghs 京公网安备 11010802042870号
Book学术文献互助
Book学术文献互助群
群 号:604180095
Book学术官方微信