富血小板纤维蛋白联合碳酸盐羟基磷灰石治疗根状囊肿骨再生一例报告。

IF 0.9 Q4 DENTISTRY, ORAL SURGERY & MEDICINE
Case Reports in Dentistry Pub Date : 2025-09-21 eCollection Date: 2025-01-01 DOI:10.1155/crid/3254011
Muhammad Irfan Rasul, Kasma As, Nurhayaty Natsir
{"title":"富血小板纤维蛋白联合碳酸盐羟基磷灰石治疗根状囊肿骨再生一例报告。","authors":"Muhammad Irfan Rasul, Kasma As, Nurhayaty Natsir","doi":"10.1155/crid/3254011","DOIUrl":null,"url":null,"abstract":"<p><p><b>Introduction:</b> Radicular cysts are the most common type of inflammatory cyst of the jaw. Management of radicular cysts may include cyst enucleation with apical resection. Spontaneous bone healing after cyst enucleation has been reported to occur in 73.5% of cases after 12 months. Residual cavity size was reduced 12.34% after 6 months, 43.46% after 12 months, and 81.30% after 24 months after surgery. This case report presents the use of platelet-rich fibrin and carbonate hydroxyapatite in the management of a radicular cyst for bone regeneration. This combination has not been previously reported. <b>Case Report:</b> A 31-year-old male complained of swelling of the anterior maxilla for 1.5 years. The patient had a history of pain and previous dental restorations. A biopsy confirmed the diagnosis of a radicular cyst. The cyst in the tooth region 21-23 was treated with enucleation of the cyst and apical resection. We used PRF with CHA on the cyst defect to enhance healing and bone regeneration. CBCT showed that bone density increased, and the size defect area buccal-palatal expansion reduced 54.4%, and mesial-distal expansion reduced 35.7% after 6 months of surgery. <b>Conclusion:</b> PRF and CHA may be used to accelerate bone regeneration in radicular cyst management.</p>","PeriodicalId":46841,"journal":{"name":"Case Reports in Dentistry","volume":"2025 ","pages":"3254011"},"PeriodicalIF":0.9000,"publicationDate":"2025-09-21","publicationTypes":"Journal Article","fieldsOfStudy":null,"isOpenAccess":false,"openAccessPdf":"https://www.ncbi.nlm.nih.gov/pmc/articles/PMC12476931/pdf/","citationCount":"0","resultStr":"{\"title\":\"Combination of Platelet-Rich Fibrin and Carbonate Hydroxyapatite for Bone Regeneration in the Management of Radicular Cyst: A Case Report.\",\"authors\":\"Muhammad Irfan Rasul, Kasma As, Nurhayaty Natsir\",\"doi\":\"10.1155/crid/3254011\",\"DOIUrl\":null,\"url\":null,\"abstract\":\"<p><p><b>Introduction:</b> Radicular cysts are the most common type of inflammatory cyst of the jaw. Management of radicular cysts may include cyst enucleation with apical resection. Spontaneous bone healing after cyst enucleation has been reported to occur in 73.5% of cases after 12 months. Residual cavity size was reduced 12.34% after 6 months, 43.46% after 12 months, and 81.30% after 24 months after surgery. This case report presents the use of platelet-rich fibrin and carbonate hydroxyapatite in the management of a radicular cyst for bone regeneration. This combination has not been previously reported. <b>Case Report:</b> A 31-year-old male complained of swelling of the anterior maxilla for 1.5 years. The patient had a history of pain and previous dental restorations. A biopsy confirmed the diagnosis of a radicular cyst. The cyst in the tooth region 21-23 was treated with enucleation of the cyst and apical resection. We used PRF with CHA on the cyst defect to enhance healing and bone regeneration. CBCT showed that bone density increased, and the size defect area buccal-palatal expansion reduced 54.4%, and mesial-distal expansion reduced 35.7% after 6 months of surgery. <b>Conclusion:</b> PRF and CHA may be used to accelerate bone regeneration in radicular cyst management.</p>\",\"PeriodicalId\":46841,\"journal\":{\"name\":\"Case Reports in Dentistry\",\"volume\":\"2025 \",\"pages\":\"3254011\"},\"PeriodicalIF\":0.9000,\"publicationDate\":\"2025-09-21\",\"publicationTypes\":\"Journal Article\",\"fieldsOfStudy\":null,\"isOpenAccess\":false,\"openAccessPdf\":\"https://www.ncbi.nlm.nih.gov/pmc/articles/PMC12476931/pdf/\",\"citationCount\":\"0\",\"resultStr\":null,\"platform\":\"Semanticscholar\",\"paperid\":null,\"PeriodicalName\":\"Case Reports in Dentistry\",\"FirstCategoryId\":\"1085\",\"ListUrlMain\":\"https://doi.org/10.1155/crid/3254011\",\"RegionNum\":0,\"RegionCategory\":null,\"ArticlePicture\":[],\"TitleCN\":null,\"AbstractTextCN\":null,\"PMCID\":null,\"EPubDate\":\"2025/1/1 0:00:00\",\"PubModel\":\"eCollection\",\"JCR\":\"Q4\",\"JCRName\":\"DENTISTRY, ORAL SURGERY & MEDICINE\",\"Score\":null,\"Total\":0}","platform":"Semanticscholar","paperid":null,"PeriodicalName":"Case Reports in Dentistry","FirstCategoryId":"1085","ListUrlMain":"https://doi.org/10.1155/crid/3254011","RegionNum":0,"RegionCategory":null,"ArticlePicture":[],"TitleCN":null,"AbstractTextCN":null,"PMCID":null,"EPubDate":"2025/1/1 0:00:00","PubModel":"eCollection","JCR":"Q4","JCRName":"DENTISTRY, ORAL SURGERY & MEDICINE","Score":null,"Total":0}
引用次数: 0

摘要

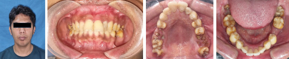
根状囊肿是颌部最常见的炎性囊肿。根状囊肿的治疗包括囊肿去核加根尖切除。据报道,囊肿去核后12个月的自发性骨愈合率为73.5%。术后6个月,术后12个月,术后24个月,术后残余腔大小分别减少12.34%、43.46%和81.30%。本病例报告介绍了利用富含血小板的纤维蛋白和碳酸盐羟基磷灰石治疗根状囊肿的骨再生。这种组合以前没有报道过。病例报告:一名31岁男性,主诉前上颌骨肿胀1.5年。患者有疼痛史和牙齿修复史。活检证实了根状囊肿的诊断。对21-23牙区囊肿行囊肿去核及根尖切除。我们将PRF和CHA用于囊肿缺损,以促进愈合和骨再生。CBCT显示,术后6个月骨密度增加,颊腭扩张面积缩小54.4%,中-远端扩张面积缩小35.7%。结论:PRF和CHA可用于神经根囊肿治疗中促进骨再生。
本文章由计算机程序翻译,如有差异,请以英文原文为准。

Combination of Platelet-Rich Fibrin and Carbonate Hydroxyapatite for Bone Regeneration in the Management of Radicular Cyst: A Case Report.

Combination of Platelet-Rich Fibrin and Carbonate Hydroxyapatite for Bone Regeneration in the Management of Radicular Cyst: A Case Report.

Combination of Platelet-Rich Fibrin and Carbonate Hydroxyapatite for Bone Regeneration in the Management of Radicular Cyst: A Case Report.

Combination of Platelet-Rich Fibrin and Carbonate Hydroxyapatite for Bone Regeneration in the Management of Radicular Cyst: A Case Report.

Introduction: Radicular cysts are the most common type of inflammatory cyst of the jaw. Management of radicular cysts may include cyst enucleation with apical resection. Spontaneous bone healing after cyst enucleation has been reported to occur in 73.5% of cases after 12 months. Residual cavity size was reduced 12.34% after 6 months, 43.46% after 12 months, and 81.30% after 24 months after surgery. This case report presents the use of platelet-rich fibrin and carbonate hydroxyapatite in the management of a radicular cyst for bone regeneration. This combination has not been previously reported. Case Report: A 31-year-old male complained of swelling of the anterior maxilla for 1.5 years. The patient had a history of pain and previous dental restorations. A biopsy confirmed the diagnosis of a radicular cyst. The cyst in the tooth region 21-23 was treated with enucleation of the cyst and apical resection. We used PRF with CHA on the cyst defect to enhance healing and bone regeneration. CBCT showed that bone density increased, and the size defect area buccal-palatal expansion reduced 54.4%, and mesial-distal expansion reduced 35.7% after 6 months of surgery. Conclusion: PRF and CHA may be used to accelerate bone regeneration in radicular cyst management.

求助全文
通过发布文献求助,成功后即可免费获取论文全文。 去求助
来源期刊
Case Reports in Dentistry
Case Reports in Dentistry DENTISTRY, ORAL SURGERY & MEDICINE-
CiteScore
1.40
自引率
12.50%
发文量
107
审稿时长
14 weeks
期刊介绍: Case Reports in Dentistry is a peer-reviewed, Open Access journal that publishes case reports and case series in all areas of dentistry, including periodontal diseases, dental implants, oral pathology, as well as oral and maxillofacial surgery.
×
引用
GB/T 7714-2015
复制
MLA
复制
APA
复制
导出至
BibTeX EndNote RefMan NoteFirst NoteExpress
×
提示
您的信息不完整,为了账户安全,请先补充。
现在去补充
×
提示
您因"违规操作"
具体请查看互助需知
我知道了
×
提示
确定
请完成安全验证×
copy
已复制链接
快去分享给好友吧!
我知道了
右上角分享
点击右上角分享
0
联系我们:info@booksci.cn Book学术提供免费学术资源搜索服务,方便国内外学者检索中英文文献。致力于提供最便捷和优质的服务体验。 Copyright © 2023 布克学术 All rights reserved.
京ICP备2023020795号-1
ghs 京公网安备 11010802042870号
Book学术文献互助
Book学术文献互助群
群 号:604180095
Book学术官方微信