褪黑素对多菌灵诱导的成熟雄性大鼠肝毒性保护作用的可能机制:组织学、免疫荧光和生化评价。

IF 1.1 4区 农林科学 Q3 ZOOLOGY
Veterinary Research Forum Pub Date : 2025-01-01 Epub Date: 2025-08-15 DOI:10.30466/vrf.2024.2041021.4455
Ali Menatnia, Ali Louei Monfared, Hassaneen Sharoot
{"title":"褪黑素对多菌灵诱导的成熟雄性大鼠肝毒性保护作用的可能机制:组织学、免疫荧光和生化评价。","authors":"Ali Menatnia, Ali Louei Monfared, Hassaneen Sharoot","doi":"10.30466/vrf.2024.2041021.4455","DOIUrl":null,"url":null,"abstract":"<p><p>This study investigated carbendazim (CBZ)-induced hepatic dysfunction and the mechanistic pathway regarding the protective effect of melatonin (MEL). Twenty-eight male rats were grouped as follows: Control, CBZ (150 mg kg<sup>-1</sup>), MEL (20.00 mg kg<sup>-1</sup>), and CBZ + MEL. The experiment was conducted for 60 days. Tissue samples were stained with Hematoxylin and Eosin and immuno-fluorescence methods to examine apoptotic pathway. Also, hepatic enzymes and miR-122 expression were evaluated. The findings indicated that the CBZ group exhibited an increase in degenerated hepatocytes, hyperemia of sinusoids, and leukocyte infiltration, accompanied by elevated levels of aspartate aminotransferase and alanine aminotransferase, as well as up-regulation of miR-122. Also, there was a significant increase in the fluorescence intensities of caspase-3 and Bax in the CBZ group, whereas a substantial reduction in the fluorescence intensity of Bcl-2 was recorded. In contrast, the simultaneous administration of MEL alongside CBZ was shown to be effective in improving histological structure, decreasing levels of aspartate aminotransferase and alanine aminotransferase, reducing the apoptosis index, and modulating the expression of miR-122 in comparison with the CBZ-only group. The increased expression of miR-122 noted in the CBZ group may correlate with an elevation in the immunoreactivity of apoptosis markers and alterations in liver architecture. Additionally, MEL seems to alleviate CBZ-induced hepatotoxicity by down-regulating miR-122 expression, diminishing the fluorescence intensity of caspase-3 and Bax, and enhancing the immunoreactivity of Bcl-2. Collectively, the regulation of miR-122 may serve as a potential mechanism by which MEL confers its protective effects against liver damage induced by CBZ.</p>","PeriodicalId":23989,"journal":{"name":"Veterinary Research Forum","volume":"16 8","pages":"465-473"},"PeriodicalIF":1.1000,"publicationDate":"2025-01-01","publicationTypes":"Journal Article","fieldsOfStudy":null,"isOpenAccess":false,"openAccessPdf":"https://www.ncbi.nlm.nih.gov/pmc/articles/PMC12476530/pdf/","citationCount":"0","resultStr":"{\"title\":\"Possible mechanism of protective effect of melatonin against carbendazim-induced hepatotoxicity in mature male rats: histological, immunofluorescence, and biochemical evaluations.\",\"authors\":\"Ali Menatnia, Ali Louei Monfared, Hassaneen Sharoot\",\"doi\":\"10.30466/vrf.2024.2041021.4455\",\"DOIUrl\":null,\"url\":null,\"abstract\":\"<p><p>This study investigated carbendazim (CBZ)-induced hepatic dysfunction and the mechanistic pathway regarding the protective effect of melatonin (MEL). Twenty-eight male rats were grouped as follows: Control, CBZ (150 mg kg<sup>-1</sup>), MEL (20.00 mg kg<sup>-1</sup>), and CBZ + MEL. The experiment was conducted for 60 days. Tissue samples were stained with Hematoxylin and Eosin and immuno-fluorescence methods to examine apoptotic pathway. Also, hepatic enzymes and miR-122 expression were evaluated. The findings indicated that the CBZ group exhibited an increase in degenerated hepatocytes, hyperemia of sinusoids, and leukocyte infiltration, accompanied by elevated levels of aspartate aminotransferase and alanine aminotransferase, as well as up-regulation of miR-122. Also, there was a significant increase in the fluorescence intensities of caspase-3 and Bax in the CBZ group, whereas a substantial reduction in the fluorescence intensity of Bcl-2 was recorded. In contrast, the simultaneous administration of MEL alongside CBZ was shown to be effective in improving histological structure, decreasing levels of aspartate aminotransferase and alanine aminotransferase, reducing the apoptosis index, and modulating the expression of miR-122 in comparison with the CBZ-only group. The increased expression of miR-122 noted in the CBZ group may correlate with an elevation in the immunoreactivity of apoptosis markers and alterations in liver architecture. Additionally, MEL seems to alleviate CBZ-induced hepatotoxicity by down-regulating miR-122 expression, diminishing the fluorescence intensity of caspase-3 and Bax, and enhancing the immunoreactivity of Bcl-2. Collectively, the regulation of miR-122 may serve as a potential mechanism by which MEL confers its protective effects against liver damage induced by CBZ.</p>\",\"PeriodicalId\":23989,\"journal\":{\"name\":\"Veterinary Research Forum\",\"volume\":\"16 8\",\"pages\":\"465-473\"},\"PeriodicalIF\":1.1000,\"publicationDate\":\"2025-01-01\",\"publicationTypes\":\"Journal Article\",\"fieldsOfStudy\":null,\"isOpenAccess\":false,\"openAccessPdf\":\"https://www.ncbi.nlm.nih.gov/pmc/articles/PMC12476530/pdf/\",\"citationCount\":\"0\",\"resultStr\":null,\"platform\":\"Semanticscholar\",\"paperid\":null,\"PeriodicalName\":\"Veterinary Research Forum\",\"FirstCategoryId\":\"97\",\"ListUrlMain\":\"https://doi.org/10.30466/vrf.2024.2041021.4455\",\"RegionNum\":4,\"RegionCategory\":\"农林科学\",\"ArticlePicture\":[],\"TitleCN\":null,\"AbstractTextCN\":null,\"PMCID\":null,\"EPubDate\":\"2025/8/15 0:00:00\",\"PubModel\":\"Epub\",\"JCR\":\"Q3\",\"JCRName\":\"ZOOLOGY\",\"Score\":null,\"Total\":0}","platform":"Semanticscholar","paperid":null,"PeriodicalName":"Veterinary Research Forum","FirstCategoryId":"97","ListUrlMain":"https://doi.org/10.30466/vrf.2024.2041021.4455","RegionNum":4,"RegionCategory":"农林科学","ArticlePicture":[],"TitleCN":null,"AbstractTextCN":null,"PMCID":null,"EPubDate":"2025/8/15 0:00:00","PubModel":"Epub","JCR":"Q3","JCRName":"ZOOLOGY","Score":null,"Total":0}
引用次数: 0

摘要

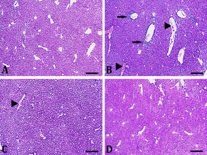
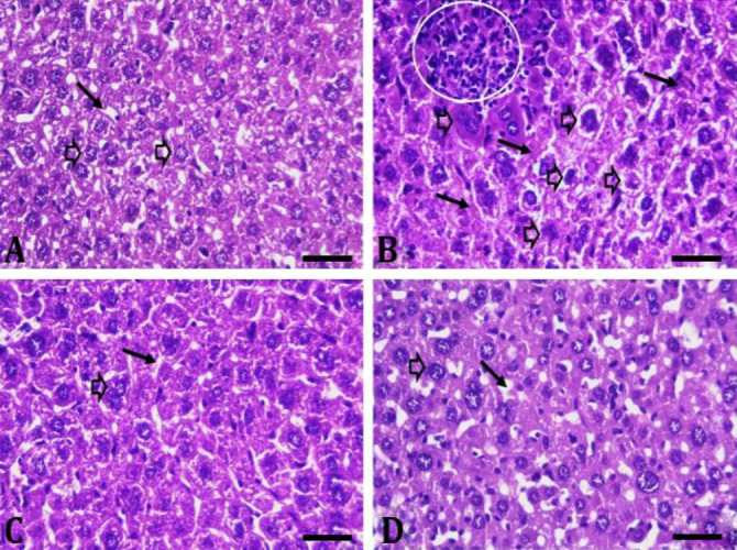
本研究探讨多菌灵(CBZ)诱导肝功能障碍及褪黑素(MEL)保护作用的机制途径。将28只雄性大鼠分为:对照组、CBZ (150 mg kg-1)、MEL (20.00 mg kg-1)、CBZ + MEL。试验期60 d。采用苏木精染色、伊红染色及免疫荧光法检测细胞凋亡途径。同时检测肝酶和miR-122的表达。结果表明,CBZ组表现为肝细胞变性、窦状窦充血、白细胞浸润增加,伴有天冬氨酸转氨酶和丙氨酸转氨酶水平升高,miR-122上调。此外,CBZ组caspase-3和Bax的荧光强度显著增加,而Bcl-2的荧光强度则显著降低。相比之下,与CBZ组相比,MEL与CBZ同时给药可有效改善组织结构,降低天冬氨酸转氨酶和丙氨酸转氨酶水平,降低凋亡指数,调节miR-122的表达。CBZ组中miR-122表达的增加可能与细胞凋亡标志物免疫反应性的升高和肝脏结构的改变有关。此外,MEL似乎通过下调miR-122的表达,降低caspase-3和Bax的荧光强度,增强Bcl-2的免疫反应性来减轻cbz诱导的肝毒性。总的来说,miR-122的调控可能是MEL对CBZ诱导的肝损伤发挥保护作用的一种潜在机制。
本文章由计算机程序翻译,如有差异,请以英文原文为准。

Possible mechanism of protective effect of melatonin against carbendazim-induced hepatotoxicity in mature male rats: histological, immunofluorescence, and biochemical evaluations.

Possible mechanism of protective effect of melatonin against carbendazim-induced hepatotoxicity in mature male rats: histological, immunofluorescence, and biochemical evaluations.

Possible mechanism of protective effect of melatonin against carbendazim-induced hepatotoxicity in mature male rats: histological, immunofluorescence, and biochemical evaluations.

Possible mechanism of protective effect of melatonin against carbendazim-induced hepatotoxicity in mature male rats: histological, immunofluorescence, and biochemical evaluations.

This study investigated carbendazim (CBZ)-induced hepatic dysfunction and the mechanistic pathway regarding the protective effect of melatonin (MEL). Twenty-eight male rats were grouped as follows: Control, CBZ (150 mg kg-1), MEL (20.00 mg kg-1), and CBZ + MEL. The experiment was conducted for 60 days. Tissue samples were stained with Hematoxylin and Eosin and immuno-fluorescence methods to examine apoptotic pathway. Also, hepatic enzymes and miR-122 expression were evaluated. The findings indicated that the CBZ group exhibited an increase in degenerated hepatocytes, hyperemia of sinusoids, and leukocyte infiltration, accompanied by elevated levels of aspartate aminotransferase and alanine aminotransferase, as well as up-regulation of miR-122. Also, there was a significant increase in the fluorescence intensities of caspase-3 and Bax in the CBZ group, whereas a substantial reduction in the fluorescence intensity of Bcl-2 was recorded. In contrast, the simultaneous administration of MEL alongside CBZ was shown to be effective in improving histological structure, decreasing levels of aspartate aminotransferase and alanine aminotransferase, reducing the apoptosis index, and modulating the expression of miR-122 in comparison with the CBZ-only group. The increased expression of miR-122 noted in the CBZ group may correlate with an elevation in the immunoreactivity of apoptosis markers and alterations in liver architecture. Additionally, MEL seems to alleviate CBZ-induced hepatotoxicity by down-regulating miR-122 expression, diminishing the fluorescence intensity of caspase-3 and Bax, and enhancing the immunoreactivity of Bcl-2. Collectively, the regulation of miR-122 may serve as a potential mechanism by which MEL confers its protective effects against liver damage induced by CBZ.

求助全文
通过发布文献求助,成功后即可免费获取论文全文。 去求助
来源期刊
Veterinary Research Forum
Veterinary Research Forum Veterinary-General Veterinary
CiteScore
1.50
自引率
0.00%
发文量
0
审稿时长
8 weeks
期刊介绍: Veterinary Research Forum (VRF) is a quarterly international journal committed to publish worldwide contributions on all aspects of veterinary science and medicine, including anatomy and histology, physiology and pharmacology, anatomic and clinical pathology, parasitology, microbiology, immunology and epidemiology, food hygiene, poultry science, fish and aquaculture, anesthesia and surgery, large and small animal internal medicine, large and small animal reproduction, biotechnology and diagnostic imaging of domestic, companion and farm animals.
×
引用
GB/T 7714-2015
复制
MLA
复制
APA
复制
导出至
BibTeX EndNote RefMan NoteFirst NoteExpress
×
提示
您的信息不完整,为了账户安全,请先补充。
现在去补充
×
提示
您因"违规操作"
具体请查看互助需知
我知道了
×
提示
确定
请完成安全验证×
copy
已复制链接
快去分享给好友吧!
我知道了
右上角分享
点击右上角分享
0
联系我们:info@booksci.cn Book学术提供免费学术资源搜索服务,方便国内外学者检索中英文文献。致力于提供最便捷和优质的服务体验。 Copyright © 2023 布克学术 All rights reserved.
京ICP备2023020795号-1
ghs 京公网安备 11010802042870号
Book学术文献互助
Book学术文献互助群
群 号:604180095
Book学术官方微信