从Bernard-Soulier综合征到谷甾醇血症:基因分析在出血素质中的作用。

IF 2.2 4区 医学 Q2 HEMATOLOGY
Cristina Marrero-Cepeda, Gloria García-Donas, Francisco Javier Rodríguez-Martorell, Ramiro Núñez-Vázquez, Concepción Prats-Martín, José Antonio Pérez-Simón, María Teresa Vargas
{"title":"从Bernard-Soulier综合征到谷甾醇血症:基因分析在出血素质中的作用。","authors":"Cristina Marrero-Cepeda, Gloria García-Donas, Francisco Javier Rodríguez-Martorell, Ramiro Núñez-Vázquez, Concepción Prats-Martín, José Antonio Pérez-Simón, María Teresa Vargas","doi":"10.1186/s12959-025-00759-z","DOIUrl":null,"url":null,"abstract":"<p><p>Bleeding diathesis' diagnosis can be challenging due to the high number of disorders with hemorrhagic symptomatology. Sitosterolemia is a rare disease characterized by increased sterols plasma levels and cardiovascular, cutaneous, articular, and hematological manifestations, including anemia and macrothrombocytopenia. The disorder is caused by ABCG5 and ABCG8 mutations.We present a case of a patient with bleeding diathesis, macrothrombocytopenia, a moderate defect of primary hemostasis and a pathological platelet aggregation analysis, with an initial diagnosis of Bernard-Soulier variant syndrome. After performing a genetic study using an exome analysis, the patient had two ABCG8 gen variants, one pathogenic (NP_071882.1:p.Trp536Ter (NM_022437.2:c.1608G > A) variant, ClinVar ID: 499930) and the other one probably pathogenic (NP_071882.1:p.Leu465Arg (NM_022437.2:c.1394T > G) variant), changing the diagnosis to sitosterolemia, which has its own therapeutic approach.This case report shows the importance of the genetic analysis. Sitosterolemia should be suspected in the presence of macrothrombocytopenia, stomatocytes in the blood smear and hemolytic anemia, performing a genetic study including ABCG5 and ABCG8 gene variants.</p>","PeriodicalId":22982,"journal":{"name":"Thrombosis Journal","volume":"23 1","pages":"84"},"PeriodicalIF":2.2000,"publicationDate":"2025-09-29","publicationTypes":"Journal Article","fieldsOfStudy":null,"isOpenAccess":false,"openAccessPdf":"https://www.ncbi.nlm.nih.gov/pmc/articles/PMC12477814/pdf/","citationCount":"0","resultStr":"{\"title\":\"From Bernard-Soulier syndrome to sitosterolemia: the role of genetic analysis in bleeding diathesis.\",\"authors\":\"Cristina Marrero-Cepeda, Gloria García-Donas, Francisco Javier Rodríguez-Martorell, Ramiro Núñez-Vázquez, Concepción Prats-Martín, José Antonio Pérez-Simón, María Teresa Vargas\",\"doi\":\"10.1186/s12959-025-00759-z\",\"DOIUrl\":null,\"url\":null,\"abstract\":\"<p><p>Bleeding diathesis' diagnosis can be challenging due to the high number of disorders with hemorrhagic symptomatology. Sitosterolemia is a rare disease characterized by increased sterols plasma levels and cardiovascular, cutaneous, articular, and hematological manifestations, including anemia and macrothrombocytopenia. The disorder is caused by ABCG5 and ABCG8 mutations.We present a case of a patient with bleeding diathesis, macrothrombocytopenia, a moderate defect of primary hemostasis and a pathological platelet aggregation analysis, with an initial diagnosis of Bernard-Soulier variant syndrome. After performing a genetic study using an exome analysis, the patient had two ABCG8 gen variants, one pathogenic (NP_071882.1:p.Trp536Ter (NM_022437.2:c.1608G > A) variant, ClinVar ID: 499930) and the other one probably pathogenic (NP_071882.1:p.Leu465Arg (NM_022437.2:c.1394T > G) variant), changing the diagnosis to sitosterolemia, which has its own therapeutic approach.This case report shows the importance of the genetic analysis. Sitosterolemia should be suspected in the presence of macrothrombocytopenia, stomatocytes in the blood smear and hemolytic anemia, performing a genetic study including ABCG5 and ABCG8 gene variants.</p>\",\"PeriodicalId\":22982,\"journal\":{\"name\":\"Thrombosis Journal\",\"volume\":\"23 1\",\"pages\":\"84\"},\"PeriodicalIF\":2.2000,\"publicationDate\":\"2025-09-29\",\"publicationTypes\":\"Journal Article\",\"fieldsOfStudy\":null,\"isOpenAccess\":false,\"openAccessPdf\":\"https://www.ncbi.nlm.nih.gov/pmc/articles/PMC12477814/pdf/\",\"citationCount\":\"0\",\"resultStr\":null,\"platform\":\"Semanticscholar\",\"paperid\":null,\"PeriodicalName\":\"Thrombosis Journal\",\"FirstCategoryId\":\"3\",\"ListUrlMain\":\"https://doi.org/10.1186/s12959-025-00759-z\",\"RegionNum\":4,\"RegionCategory\":\"医学\",\"ArticlePicture\":[],\"TitleCN\":null,\"AbstractTextCN\":null,\"PMCID\":null,\"EPubDate\":\"\",\"PubModel\":\"\",\"JCR\":\"Q2\",\"JCRName\":\"HEMATOLOGY\",\"Score\":null,\"Total\":0}","platform":"Semanticscholar","paperid":null,"PeriodicalName":"Thrombosis Journal","FirstCategoryId":"3","ListUrlMain":"https://doi.org/10.1186/s12959-025-00759-z","RegionNum":4,"RegionCategory":"医学","ArticlePicture":[],"TitleCN":null,"AbstractTextCN":null,"PMCID":null,"EPubDate":"","PubModel":"","JCR":"Q2","JCRName":"HEMATOLOGY","Score":null,"Total":0}
引用次数: 0

摘要

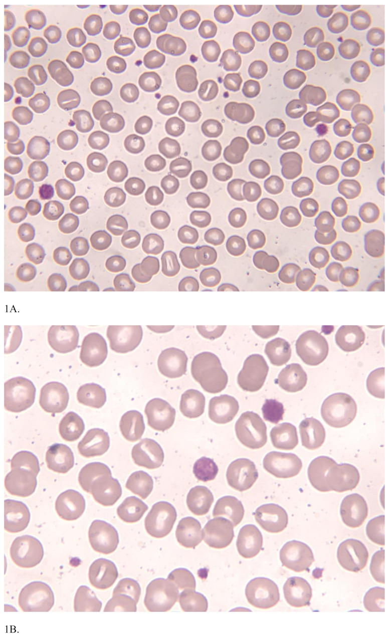
出血素质的诊断是具有挑战性的,因为大量的疾病与出血性症状。谷甾醇血症是一种罕见的疾病,其特征是血浆固醇水平升高,心血管、皮肤、关节和血液系统表现,包括贫血和巨血小板减少症。这种疾病是由ABCG5和ABCG8突变引起的。我们提出一个病例的患者出血素质,大量血小板减少症,中度缺陷的原发性止血和病理血小板聚集分析,与伯纳德-苏利尔变异综合征的初步诊断。在使用外显子组分析进行遗传研究后,患者有两个ABCG8基因变异,一个致病(NP_071882.1:p。Trp536Ter (NM_022437.2:c.1608G > A)变异,ClinVar ID: 499930)和另一个可能致病的(NP_071882.1:p。Leu465Arg (NM_022437.2:c.1394T > G)变异),将诊断改变为谷甾醇血症,这有自己的治疗方法。本病例报告显示了遗传分析的重要性。谷脂血症应怀疑存在大量血小板减少症、血涂片中的气孔细胞和溶血性贫血,进行包括ABCG5和ABCG8基因变异的遗传研究。
本文章由计算机程序翻译,如有差异,请以英文原文为准。

From Bernard-Soulier syndrome to sitosterolemia: the role of genetic analysis in bleeding diathesis.

From Bernard-Soulier syndrome to sitosterolemia: the role of genetic analysis in bleeding diathesis.

From Bernard-Soulier syndrome to sitosterolemia: the role of genetic analysis in bleeding diathesis.

Bleeding diathesis' diagnosis can be challenging due to the high number of disorders with hemorrhagic symptomatology. Sitosterolemia is a rare disease characterized by increased sterols plasma levels and cardiovascular, cutaneous, articular, and hematological manifestations, including anemia and macrothrombocytopenia. The disorder is caused by ABCG5 and ABCG8 mutations.We present a case of a patient with bleeding diathesis, macrothrombocytopenia, a moderate defect of primary hemostasis and a pathological platelet aggregation analysis, with an initial diagnosis of Bernard-Soulier variant syndrome. After performing a genetic study using an exome analysis, the patient had two ABCG8 gen variants, one pathogenic (NP_071882.1:p.Trp536Ter (NM_022437.2:c.1608G > A) variant, ClinVar ID: 499930) and the other one probably pathogenic (NP_071882.1:p.Leu465Arg (NM_022437.2:c.1394T > G) variant), changing the diagnosis to sitosterolemia, which has its own therapeutic approach.This case report shows the importance of the genetic analysis. Sitosterolemia should be suspected in the presence of macrothrombocytopenia, stomatocytes in the blood smear and hemolytic anemia, performing a genetic study including ABCG5 and ABCG8 gene variants.

求助全文
通过发布文献求助,成功后即可免费获取论文全文。 去求助
来源期刊
Thrombosis Journal
Thrombosis Journal Medicine-Hematology
CiteScore
3.80
自引率
3.20%
发文量
69
审稿时长
16 weeks
期刊介绍: Thrombosis Journal is an open-access journal that publishes original articles on aspects of clinical and basic research, new methodology, case reports and reviews in the areas of thrombosis. Topics of particular interest include the diagnosis of arterial and venous thrombosis, new antithrombotic treatments, new developments in the understanding, diagnosis and treatments of atherosclerotic vessel disease, relations between haemostasis and vascular disease, hypertension, diabetes, immunology and obesity.
×
引用
GB/T 7714-2015
复制
MLA
复制
APA
复制
导出至
BibTeX EndNote RefMan NoteFirst NoteExpress
×
提示
您的信息不完整,为了账户安全,请先补充。
现在去补充
×
提示
您因"违规操作"
具体请查看互助需知
我知道了
×
提示
确定
请完成安全验证×
copy
已复制链接
快去分享给好友吧!
我知道了
右上角分享
点击右上角分享
0
联系我们:info@booksci.cn Book学术提供免费学术资源搜索服务,方便国内外学者检索中英文文献。致力于提供最便捷和优质的服务体验。 Copyright © 2023 布克学术 All rights reserved.
京ICP备2023020795号-1
ghs 京公网安备 11010802042870号
Book学术文献互助
Book学术文献互助群
群 号:604180095
Book学术官方微信