伪装成肌肉骨骼疾病的主动脉夹层一例报告及文献复习。

IF 2.4 3区 医学 Q2 ORTHOPEDICS
Xiao-Dan Li, Ze-Jian Chen
{"title":"伪装成肌肉骨骼疾病的主动脉夹层一例报告及文献复习。","authors":"Xiao-Dan Li, Ze-Jian Chen","doi":"10.1186/s12891-025-09135-4","DOIUrl":null,"url":null,"abstract":"<p><strong>Background: </strong>Acute aortic dissection (AAD) is a life-threatening cardiovascular emergency frequently associated with misdiagnosis and delayed treatment. This paper aims to illustrate the diagnostic challenges of AAD in rehabilitation settings by presenting a case with atypical musculoskeletal symptoms and emphasize the importance of considering vascular emergencies with literature review.</p><p><strong>Methods: </strong>A 46-year-old male presented to a rehabilitation center with migrating right shoulder pain and proximal weakness. Initial complaint suggested a musculoskeletal disorder; however, further evaluation revealed hypertension, tachycardia, and migratory, intensifying pain. A subsequent computed tomography angiography confirmed AAD. The patient underwent urgent Sun's procedure, including ascending aorta and total arch replacement with stented elephant trunk implantation, which was followed by multidisciplinary rehabilitation due to the secondary ischemic stroke.</p><p><strong>Results: </strong>The patient's early symptoms closely mimicked musculoskeletal disorders, which delayed his prioritization of seeking medical service. After cardiovascular evaluation and successful aortic repair, the AAD was stabilized. However, he later developed right-sided hemiplegia as a secondary complication and was referred back for neurological rehabilitation, which included repetitive task training, robot-assisted therapy, and functional electrical stimulation. Three months post-surgery, he demonstrated significant functional recovery, with Fugl-Meyer Assessment scores improving from 12/66 to 58/66 for the upper extremity and from 17/34 to 32/34 for the lower extremity.</p><p><strong>Conclusion: </strong>This case and literature review highlight the diagnostic challenges of AAD presenting as musculoskeletal pain and underscores the need for rehabilitation specialists to maintain a broad differential diagnosis. A high index of suspicion is essential for early recognition and timely referral, especially in patients with overlapping symptoms and vascular risk factors.</p><p><strong>Impact: </strong>This case adds to the limited body of evidence on AAD presenting with musculoskeletal complaints and may serve to raise clinical awareness. Further studies, including case series and systematic investigations, are needed to better characterize such atypical presentations and guide diagnostic pathways in rehabilitation settings.</p>","PeriodicalId":9189,"journal":{"name":"BMC Musculoskeletal Disorders","volume":"26 1","pages":"863"},"PeriodicalIF":2.4000,"publicationDate":"2025-09-29","publicationTypes":"Journal Article","fieldsOfStudy":null,"isOpenAccess":false,"openAccessPdf":"https://www.ncbi.nlm.nih.gov/pmc/articles/PMC12482171/pdf/","citationCount":"0","resultStr":"{\"title\":\"Aortic dissection disguised as musculoskeletal condition: a case report and review of literature.\",\"authors\":\"Xiao-Dan Li, Ze-Jian Chen\",\"doi\":\"10.1186/s12891-025-09135-4\",\"DOIUrl\":null,\"url\":null,\"abstract\":\"<p><strong>Background: </strong>Acute aortic dissection (AAD) is a life-threatening cardiovascular emergency frequently associated with misdiagnosis and delayed treatment. This paper aims to illustrate the diagnostic challenges of AAD in rehabilitation settings by presenting a case with atypical musculoskeletal symptoms and emphasize the importance of considering vascular emergencies with literature review.</p><p><strong>Methods: </strong>A 46-year-old male presented to a rehabilitation center with migrating right shoulder pain and proximal weakness. Initial complaint suggested a musculoskeletal disorder; however, further evaluation revealed hypertension, tachycardia, and migratory, intensifying pain. A subsequent computed tomography angiography confirmed AAD. The patient underwent urgent Sun's procedure, including ascending aorta and total arch replacement with stented elephant trunk implantation, which was followed by multidisciplinary rehabilitation due to the secondary ischemic stroke.</p><p><strong>Results: </strong>The patient's early symptoms closely mimicked musculoskeletal disorders, which delayed his prioritization of seeking medical service. After cardiovascular evaluation and successful aortic repair, the AAD was stabilized. However, he later developed right-sided hemiplegia as a secondary complication and was referred back for neurological rehabilitation, which included repetitive task training, robot-assisted therapy, and functional electrical stimulation. Three months post-surgery, he demonstrated significant functional recovery, with Fugl-Meyer Assessment scores improving from 12/66 to 58/66 for the upper extremity and from 17/34 to 32/34 for the lower extremity.</p><p><strong>Conclusion: </strong>This case and literature review highlight the diagnostic challenges of AAD presenting as musculoskeletal pain and underscores the need for rehabilitation specialists to maintain a broad differential diagnosis. A high index of suspicion is essential for early recognition and timely referral, especially in patients with overlapping symptoms and vascular risk factors.</p><p><strong>Impact: </strong>This case adds to the limited body of evidence on AAD presenting with musculoskeletal complaints and may serve to raise clinical awareness. Further studies, including case series and systematic investigations, are needed to better characterize such atypical presentations and guide diagnostic pathways in rehabilitation settings.</p>\",\"PeriodicalId\":9189,\"journal\":{\"name\":\"BMC Musculoskeletal Disorders\",\"volume\":\"26 1\",\"pages\":\"863\"},\"PeriodicalIF\":2.4000,\"publicationDate\":\"2025-09-29\",\"publicationTypes\":\"Journal Article\",\"fieldsOfStudy\":null,\"isOpenAccess\":false,\"openAccessPdf\":\"https://www.ncbi.nlm.nih.gov/pmc/articles/PMC12482171/pdf/\",\"citationCount\":\"0\",\"resultStr\":null,\"platform\":\"Semanticscholar\",\"paperid\":null,\"PeriodicalName\":\"BMC Musculoskeletal Disorders\",\"FirstCategoryId\":\"3\",\"ListUrlMain\":\"https://doi.org/10.1186/s12891-025-09135-4\",\"RegionNum\":3,\"RegionCategory\":\"医学\",\"ArticlePicture\":[],\"TitleCN\":null,\"AbstractTextCN\":null,\"PMCID\":null,\"EPubDate\":\"\",\"PubModel\":\"\",\"JCR\":\"Q2\",\"JCRName\":\"ORTHOPEDICS\",\"Score\":null,\"Total\":0}","platform":"Semanticscholar","paperid":null,"PeriodicalName":"BMC Musculoskeletal Disorders","FirstCategoryId":"3","ListUrlMain":"https://doi.org/10.1186/s12891-025-09135-4","RegionNum":3,"RegionCategory":"医学","ArticlePicture":[],"TitleCN":null,"AbstractTextCN":null,"PMCID":null,"EPubDate":"","PubModel":"","JCR":"Q2","JCRName":"ORTHOPEDICS","Score":null,"Total":0}
引用次数: 0

摘要

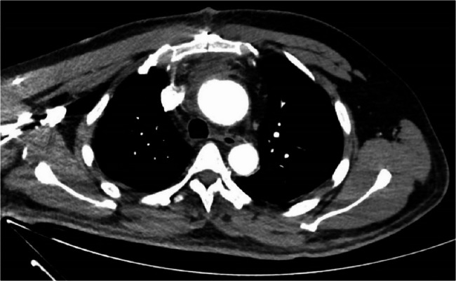
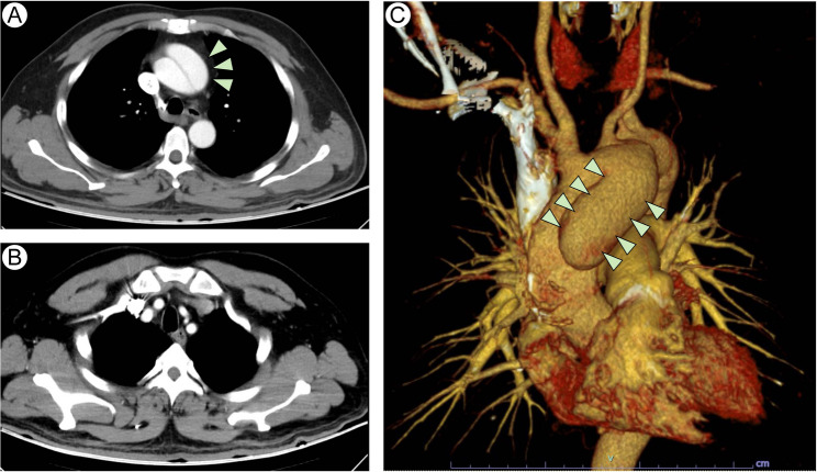
背景:急性主动脉夹层(AAD)是一种危及生命的心血管急症,常与误诊和延误治疗有关。本文旨在通过介绍一个非典型肌肉骨骼症状的病例来说明AAD在康复环境中的诊断挑战,并通过文献综述强调考虑血管紧急情况的重要性。方法:一名46岁男性,因右肩移动性疼痛和近端无力来到康复中心。最初的主诉表明是肌肉骨骼疾病;然而,进一步的评估显示高血压、心动过速和迁移性疼痛加剧。随后的计算机断层血管造影证实AAD。患者接受了Sun的紧急手术,包括升主动脉和全弓置换术和支架植入术,随后因继发性缺血性卒中接受了多学科康复治疗。结果:患者的早期症状与肌肉骨骼疾病非常相似,这推迟了他就医的优先顺序。经心血管评估和主动脉修复成功后,AAD稳定。然而,他后来出现了作为继发性并发症的右侧偏瘫,并被转回进行神经康复治疗,包括重复性任务训练、机器人辅助治疗和功能性电刺激。术后3个月,患者表现出明显的功能恢复,Fugl-Meyer评分上肢从12/66提高到58/66,下肢从17/34提高到32/34。结论:本病例和文献综述强调了以肌肉骨骼疼痛为表现的AAD的诊断挑战,并强调了康复专家保持广泛鉴别诊断的必要性。高怀疑指数对于早期识别和及时转诊至关重要,特别是在症状和血管危险因素重叠的患者中。影响:本病例增加了有限的AAD表现为肌肉骨骼主诉的证据,可能有助于提高临床认识。需要进一步的研究,包括病例系列和系统调查,以更好地描述这种非典型表现并指导康复环境中的诊断途径。
本文章由计算机程序翻译,如有差异,请以英文原文为准。

Aortic dissection disguised as musculoskeletal condition: a case report and review of literature.

Aortic dissection disguised as musculoskeletal condition: a case report and review of literature.

Aortic dissection disguised as musculoskeletal condition: a case report and review of literature.

Aortic dissection disguised as musculoskeletal condition: a case report and review of literature.

Background: Acute aortic dissection (AAD) is a life-threatening cardiovascular emergency frequently associated with misdiagnosis and delayed treatment. This paper aims to illustrate the diagnostic challenges of AAD in rehabilitation settings by presenting a case with atypical musculoskeletal symptoms and emphasize the importance of considering vascular emergencies with literature review.

Methods: A 46-year-old male presented to a rehabilitation center with migrating right shoulder pain and proximal weakness. Initial complaint suggested a musculoskeletal disorder; however, further evaluation revealed hypertension, tachycardia, and migratory, intensifying pain. A subsequent computed tomography angiography confirmed AAD. The patient underwent urgent Sun's procedure, including ascending aorta and total arch replacement with stented elephant trunk implantation, which was followed by multidisciplinary rehabilitation due to the secondary ischemic stroke.

Results: The patient's early symptoms closely mimicked musculoskeletal disorders, which delayed his prioritization of seeking medical service. After cardiovascular evaluation and successful aortic repair, the AAD was stabilized. However, he later developed right-sided hemiplegia as a secondary complication and was referred back for neurological rehabilitation, which included repetitive task training, robot-assisted therapy, and functional electrical stimulation. Three months post-surgery, he demonstrated significant functional recovery, with Fugl-Meyer Assessment scores improving from 12/66 to 58/66 for the upper extremity and from 17/34 to 32/34 for the lower extremity.

Conclusion: This case and literature review highlight the diagnostic challenges of AAD presenting as musculoskeletal pain and underscores the need for rehabilitation specialists to maintain a broad differential diagnosis. A high index of suspicion is essential for early recognition and timely referral, especially in patients with overlapping symptoms and vascular risk factors.

Impact: This case adds to the limited body of evidence on AAD presenting with musculoskeletal complaints and may serve to raise clinical awareness. Further studies, including case series and systematic investigations, are needed to better characterize such atypical presentations and guide diagnostic pathways in rehabilitation settings.

求助全文
通过发布文献求助,成功后即可免费获取论文全文。 去求助
来源期刊
BMC Musculoskeletal Disorders
BMC Musculoskeletal Disorders 医学-风湿病学
CiteScore
3.80
自引率
8.70%
发文量
1017
审稿时长
3-6 weeks
期刊介绍: BMC Musculoskeletal Disorders is an open access, peer-reviewed journal that considers articles on all aspects of the prevention, diagnosis and management of musculoskeletal disorders, as well as related molecular genetics, pathophysiology, and epidemiology. The scope of the Journal covers research into rheumatic diseases where the primary focus relates specifically to a component(s) of the musculoskeletal system.
×
引用
GB/T 7714-2015
复制
MLA
复制
APA
复制
导出至
BibTeX EndNote RefMan NoteFirst NoteExpress
×
提示
您的信息不完整,为了账户安全,请先补充。
现在去补充
×
提示
您因"违规操作"
具体请查看互助需知
我知道了
×
提示
确定
请完成安全验证×
copy
已复制链接
快去分享给好友吧!
我知道了
右上角分享
点击右上角分享
0
联系我们:info@booksci.cn Book学术提供免费学术资源搜索服务,方便国内外学者检索中英文文献。致力于提供最便捷和优质的服务体验。 Copyright © 2023 布克学术 All rights reserved.
京ICP备2023020795号-1
ghs 京公网安备 11010802042870号
Book学术文献互助
Book学术文献互助群
群 号:604180095
Book学术官方微信