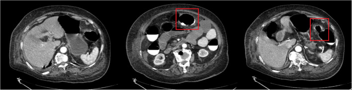
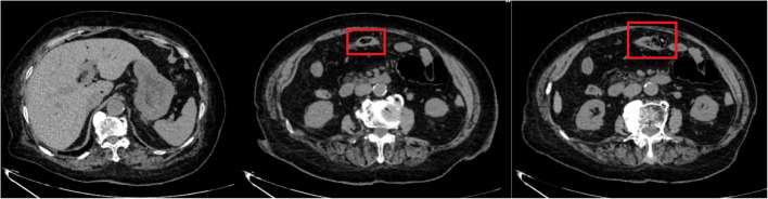
非典型表现的老年患者的CT上未增强的肠扩张和继发性肠梗阻是外科手术的危险信号。

IF 3.8 2区 医学 Q2 GERIATRICS & GERONTOLOGY
Xirang Wang, Jian Kang, Yuxiang Li, Xiaofeng Sun, Yunpeng Wu, Jun Zhang, Hehui Tao, Li Wang, Ruizhou Rong, Miao Wang, Kang Liu, Zhen Ban
{"title":"非典型表现的老年患者的CT上未增强的肠扩张和继发性肠梗阻是外科手术的危险信号。","authors":"Xirang Wang, Jian Kang, Yuxiang Li, Xiaofeng Sun, Yunpeng Wu, Jun Zhang, Hehui Tao, Li Wang, Ruizhou Rong, Miao Wang, Kang Liu, Zhen Ban","doi":"10.1186/s12877-025-06431-5","DOIUrl":null,"url":null,"abstract":"<p><strong>Background: </strong>Ischemic bowel disease represents a critical diagnostic challenge in emergency surgical practice. Despite its relatively low incidence in patients presenting with abdominal pain, this condition demands urgent attention due to its potentially fatal outcomes when management is delayed.</p><p><strong>Case presentation: </strong>We present a clinically instructive case of a nonagenarian female initially diagnosed with colonic pneumatosis through imaging studies. Subsequent diagnostic reevaluation revealed progressive colonic necrosis requiring emergent surgical intervention. The patient underwent successful segmental colectomy with colostomy, achieving full recovery and discharge within 14 postoperative days.</p><p><strong>Conclusion: </strong>This case highlights three critical aspects in managing geriatric patients with acute abdominal emergencies: The inherent diagnostic limitations posed by atypical presentations in elderly populations, including unreliable history-taking and attenuated physical signs; The insufficient sensitivity of conventional laboratory markers (leukocytosis, NEUT%, PCT, lactate elevation) for detecting intestinal ischemia; The pivotal role of contrast-enhanced computed tomography (CT) in surgical decision-making, particularly the prognostic significance of non-enhancing bowel wall dilatation as a radiographic hallmark of transmural necrosis. Early surgical consultation and protocolized CT interpretation are paramount for optimizing outcomes in this high-risk patient cohort.</p>","PeriodicalId":9056,"journal":{"name":"BMC Geriatrics","volume":"25 1","pages":"744"},"PeriodicalIF":3.8000,"publicationDate":"2025-09-29","publicationTypes":"Journal Article","fieldsOfStudy":null,"isOpenAccess":false,"openAccessPdf":"https://www.ncbi.nlm.nih.gov/pmc/articles/PMC12482860/pdf/","citationCount":"0","resultStr":"{\"title\":\"Non-enhancing bowel dilatation and secondary ileus on CT as a surgical red flag in geriatric patients with atypical presentations.\",\"authors\":\"Xirang Wang, Jian Kang, Yuxiang Li, Xiaofeng Sun, Yunpeng Wu, Jun Zhang, Hehui Tao, Li Wang, Ruizhou Rong, Miao Wang, Kang Liu, Zhen Ban\",\"doi\":\"10.1186/s12877-025-06431-5\",\"DOIUrl\":null,\"url\":null,\"abstract\":\"<p><strong>Background: </strong>Ischemic bowel disease represents a critical diagnostic challenge in emergency surgical practice. Despite its relatively low incidence in patients presenting with abdominal pain, this condition demands urgent attention due to its potentially fatal outcomes when management is delayed.</p><p><strong>Case presentation: </strong>We present a clinically instructive case of a nonagenarian female initially diagnosed with colonic pneumatosis through imaging studies. Subsequent diagnostic reevaluation revealed progressive colonic necrosis requiring emergent surgical intervention. The patient underwent successful segmental colectomy with colostomy, achieving full recovery and discharge within 14 postoperative days.</p><p><strong>Conclusion: </strong>This case highlights three critical aspects in managing geriatric patients with acute abdominal emergencies: The inherent diagnostic limitations posed by atypical presentations in elderly populations, including unreliable history-taking and attenuated physical signs; The insufficient sensitivity of conventional laboratory markers (leukocytosis, NEUT%, PCT, lactate elevation) for detecting intestinal ischemia; The pivotal role of contrast-enhanced computed tomography (CT) in surgical decision-making, particularly the prognostic significance of non-enhancing bowel wall dilatation as a radiographic hallmark of transmural necrosis. Early surgical consultation and protocolized CT interpretation are paramount for optimizing outcomes in this high-risk patient cohort.</p>\",\"PeriodicalId\":9056,\"journal\":{\"name\":\"BMC Geriatrics\",\"volume\":\"25 1\",\"pages\":\"744\"},\"PeriodicalIF\":3.8000,\"publicationDate\":\"2025-09-29\",\"publicationTypes\":\"Journal Article\",\"fieldsOfStudy\":null,\"isOpenAccess\":false,\"openAccessPdf\":\"https://www.ncbi.nlm.nih.gov/pmc/articles/PMC12482860/pdf/\",\"citationCount\":\"0\",\"resultStr\":null,\"platform\":\"Semanticscholar\",\"paperid\":null,\"PeriodicalName\":\"BMC Geriatrics\",\"FirstCategoryId\":\"3\",\"ListUrlMain\":\"https://doi.org/10.1186/s12877-025-06431-5\",\"RegionNum\":2,\"RegionCategory\":\"医学\",\"ArticlePicture\":[],\"TitleCN\":null,\"AbstractTextCN\":null,\"PMCID\":null,\"EPubDate\":\"\",\"PubModel\":\"\",\"JCR\":\"Q2\",\"JCRName\":\"GERIATRICS & GERONTOLOGY\",\"Score\":null,\"Total\":0}","platform":"Semanticscholar","paperid":null,"PeriodicalName":"BMC Geriatrics","FirstCategoryId":"3","ListUrlMain":"https://doi.org/10.1186/s12877-025-06431-5","RegionNum":2,"RegionCategory":"医学","ArticlePicture":[],"TitleCN":null,"AbstractTextCN":null,"PMCID":null,"EPubDate":"","PubModel":"","JCR":"Q2","JCRName":"GERIATRICS & GERONTOLOGY","Score":null,"Total":0}
引用次数: 0

摘要

背景:缺血性肠病是急诊外科实践中一个关键的诊断挑战。尽管其在腹痛患者中的发病率相对较低,但由于治疗延迟可能导致致命的后果,因此需要紧急关注。病例介绍:我们报告一位90多岁女性,通过影像学检查首次诊断为结肠肺病,具有临床指导意义。随后的诊断重新评估显示进行性结肠坏死需要紧急手术干预。患者成功行节段性结肠切除术并结肠造口术,术后14天内完全康复出院。结论:本病例突出了处理老年急腹症患者的三个关键方面:老年人非典型表现带来的固有诊断局限性,包括不可靠的病史记录和减弱的身体体征;常规实验室标志物(白细胞、NEUT%、PCT、乳酸水平升高)检测肠缺血的敏感性不足;对比增强计算机断层扫描(CT)在手术决策中的关键作用,特别是作为跨壁坏死的影像学标志的非增强肠壁扩张的预后意义。在这一高危患者队列中,早期手术咨询和程序化的CT解释对于优化结果至关重要。
本文章由计算机程序翻译,如有差异,请以英文原文为准。

Non-enhancing bowel dilatation and secondary ileus on CT as a surgical red flag in geriatric patients with atypical presentations.

Non-enhancing bowel dilatation and secondary ileus on CT as a surgical red flag in geriatric patients with atypical presentations.

Non-enhancing bowel dilatation and secondary ileus on CT as a surgical red flag in geriatric patients with atypical presentations.

Non-enhancing bowel dilatation and secondary ileus on CT as a surgical red flag in geriatric patients with atypical presentations.

Background: Ischemic bowel disease represents a critical diagnostic challenge in emergency surgical practice. Despite its relatively low incidence in patients presenting with abdominal pain, this condition demands urgent attention due to its potentially fatal outcomes when management is delayed.

Case presentation: We present a clinically instructive case of a nonagenarian female initially diagnosed with colonic pneumatosis through imaging studies. Subsequent diagnostic reevaluation revealed progressive colonic necrosis requiring emergent surgical intervention. The patient underwent successful segmental colectomy with colostomy, achieving full recovery and discharge within 14 postoperative days.

Conclusion: This case highlights three critical aspects in managing geriatric patients with acute abdominal emergencies: The inherent diagnostic limitations posed by atypical presentations in elderly populations, including unreliable history-taking and attenuated physical signs; The insufficient sensitivity of conventional laboratory markers (leukocytosis, NEUT%, PCT, lactate elevation) for detecting intestinal ischemia; The pivotal role of contrast-enhanced computed tomography (CT) in surgical decision-making, particularly the prognostic significance of non-enhancing bowel wall dilatation as a radiographic hallmark of transmural necrosis. Early surgical consultation and protocolized CT interpretation are paramount for optimizing outcomes in this high-risk patient cohort.

求助全文
通过发布文献求助,成功后即可免费获取论文全文。 去求助
来源期刊
BMC Geriatrics
BMC Geriatrics GERIATRICS & GERONTOLOGY-
CiteScore
5.70
自引率
7.30%
发文量
873
审稿时长
20 weeks
期刊介绍: BMC Geriatrics is an open access journal publishing original peer-reviewed research articles in all aspects of the health and healthcare of older people, including the effects of healthcare systems and policies. The journal also welcomes research focused on the aging process, including cellular, genetic, and physiological processes and cognitive modifications.
×
引用
GB/T 7714-2015
复制
MLA
复制
APA
复制
导出至
BibTeX EndNote RefMan NoteFirst NoteExpress
×
提示
您的信息不完整,为了账户安全,请先补充。
现在去补充
×
提示
您因"违规操作"
具体请查看互助需知
我知道了
×
提示
确定
请完成安全验证×
copy
已复制链接
快去分享给好友吧!
我知道了
右上角分享
点击右上角分享
0
联系我们:info@booksci.cn Book学术提供免费学术资源搜索服务,方便国内外学者检索中英文文献。致力于提供最便捷和优质的服务体验。 Copyright © 2023 布克学术 All rights reserved.
京ICP备2023020795号-1
ghs 京公网安备 11010802042870号
Book学术文献互助
Book学术文献互助群
群 号:604180095
Book学术官方微信