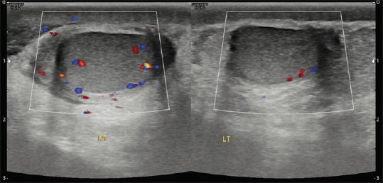
急性阴囊痛-超声评估在解决诊断困境中的作用。

IF 0.8 Q4 RADIOLOGY, NUCLEAR MEDICINE & MEDICAL IMAGING
Journal of Medical Ultrasound Pub Date : 2025-04-25 eCollection Date: 2025-07-01 DOI:10.4103/jmu.jmu_72_24
Muhammad Nor Taufik Abd Latiff, Muhammad Amirrul Nizam Razi, Firdaus Hayati
{"title":"急性阴囊痛-超声评估在解决诊断困境中的作用。","authors":"Muhammad Nor Taufik Abd Latiff, Muhammad Amirrul Nizam Razi, Firdaus Hayati","doi":"10.4103/jmu.jmu_72_24","DOIUrl":null,"url":null,"abstract":"","PeriodicalId":45466,"journal":{"name":"Journal of Medical Ultrasound","volume":"33 3","pages":"291-292"},"PeriodicalIF":0.8000,"publicationDate":"2025-04-25","publicationTypes":"Journal Article","fieldsOfStudy":null,"isOpenAccess":false,"openAccessPdf":"https://www.ncbi.nlm.nih.gov/pmc/articles/PMC12463354/pdf/","citationCount":"0","resultStr":"{\"title\":\"Acute Scrotal Pain - Role of Sonographic Evaluation in Solving Diagnostic Dilemma.\",\"authors\":\"Muhammad Nor Taufik Abd Latiff, Muhammad Amirrul Nizam Razi, Firdaus Hayati\",\"doi\":\"10.4103/jmu.jmu_72_24\",\"DOIUrl\":null,\"url\":null,\"abstract\":\"\",\"PeriodicalId\":45466,\"journal\":{\"name\":\"Journal of Medical Ultrasound\",\"volume\":\"33 3\",\"pages\":\"291-292\"},\"PeriodicalIF\":0.8000,\"publicationDate\":\"2025-04-25\",\"publicationTypes\":\"Journal Article\",\"fieldsOfStudy\":null,\"isOpenAccess\":false,\"openAccessPdf\":\"https://www.ncbi.nlm.nih.gov/pmc/articles/PMC12463354/pdf/\",\"citationCount\":\"0\",\"resultStr\":null,\"platform\":\"Semanticscholar\",\"paperid\":null,\"PeriodicalName\":\"Journal of Medical Ultrasound\",\"FirstCategoryId\":\"1085\",\"ListUrlMain\":\"https://doi.org/10.4103/jmu.jmu_72_24\",\"RegionNum\":0,\"RegionCategory\":null,\"ArticlePicture\":[],\"TitleCN\":null,\"AbstractTextCN\":null,\"PMCID\":null,\"EPubDate\":\"2025/7/1 0:00:00\",\"PubModel\":\"eCollection\",\"JCR\":\"Q4\",\"JCRName\":\"RADIOLOGY, NUCLEAR MEDICINE & MEDICAL IMAGING\",\"Score\":null,\"Total\":0}","platform":"Semanticscholar","paperid":null,"PeriodicalName":"Journal of Medical Ultrasound","FirstCategoryId":"1085","ListUrlMain":"https://doi.org/10.4103/jmu.jmu_72_24","RegionNum":0,"RegionCategory":null,"ArticlePicture":[],"TitleCN":null,"AbstractTextCN":null,"PMCID":null,"EPubDate":"2025/7/1 0:00:00","PubModel":"eCollection","JCR":"Q4","JCRName":"RADIOLOGY, NUCLEAR MEDICINE & MEDICAL IMAGING","Score":null,"Total":0}
引用次数: 0

摘要

本文章由计算机程序翻译,如有差异,请以英文原文为准。

Acute Scrotal Pain - Role of Sonographic Evaluation in Solving Diagnostic Dilemma.

Acute Scrotal Pain - Role of Sonographic Evaluation in Solving Diagnostic Dilemma.

Acute Scrotal Pain - Role of Sonographic Evaluation in Solving Diagnostic Dilemma.

Acute Scrotal Pain - Role of Sonographic Evaluation in Solving Diagnostic Dilemma.
求助全文
通过发布文献求助,成功后即可免费获取论文全文。 去求助
来源期刊
Journal of Medical Ultrasound
Journal of Medical Ultrasound RADIOLOGY, NUCLEAR MEDICINE & MEDICAL IMAGING-
CiteScore
1.30
自引率
9.10%
发文量
90
审稿时长
10 weeks
期刊介绍: The Journal of Medical Ultrasound is the peer-reviewed publication of the Asian Federation of Societies for Ultrasound in Medicine and Biology, and the Chinese Taipei Society of Ultrasound in Medicine. Its aim is to promote clinical and scientific research in ultrasonography, and to serve as a channel of communication among sonologists, sonographers, and medical ultrasound physicians in the Asia-Pacific region and wider international community. The Journal invites original contributions relating to the clinical and laboratory investigations and applications of ultrasonography.
×
引用
GB/T 7714-2015
复制
MLA
复制
APA
复制
导出至
BibTeX EndNote RefMan NoteFirst NoteExpress
×
提示
您的信息不完整,为了账户安全,请先补充。
现在去补充
×
提示
您因"违规操作"
具体请查看互助需知
我知道了
×
提示
确定
请完成安全验证×
copy
已复制链接
快去分享给好友吧!
我知道了
右上角分享
点击右上角分享
0
联系我们:info@booksci.cn Book学术提供免费学术资源搜索服务,方便国内外学者检索中英文文献。致力于提供最便捷和优质的服务体验。 Copyright © 2023 布克学术 All rights reserved.
京ICP备2023020795号-1
ghs 京公网安备 11010802042870号
Book学术文献互助
Book学术文献互助群
群 号:604180095
Book学术官方微信