川崎病的超声心动图评价。

IF 0.8 Q4 RADIOLOGY, NUCLEAR MEDICINE & MEDICAL IMAGING
Journal of Medical Ultrasound Pub Date : 2025-09-18 eCollection Date: 2025-07-01 DOI:10.4103/jmu.JMU-D-25-00029
Betau Hwang
{"title":"川崎病的超声心动图评价。","authors":"Betau Hwang","doi":"10.4103/jmu.JMU-D-25-00029","DOIUrl":null,"url":null,"abstract":"<p><p>Kawasaki disease (KD) is an etiology-unknown but with a generalized inflammatory disorder of multiple organs and systems in childhood. The basic pathologic changes are panvasculitis of the small and medium-sized arteries, mainly the coronary arteries. It is now the leading cause of acquired heart disease during childhood in developed countries and has led to the early development of angina pectoris, myocardial ischemia/infarction, and even sudden cardiac death in early adulthood. Although there is no definitive diagnostic test for KD, the accurate diagnosis is dependent on the clinical presentations to meet the diagnostic criteria. Echocardiography is a well-known noninvasive tool to detect structural abnormalities and evaluation of cardiovascular function. It has been reported to detect accurately the early and late cardiovascular abnormalities, including perivascular brightness, lack of tapering, dilatation, and aneurysmal formation of coronary arteries as well as the mitral/aortic regurgitation, pericardial effusion, and myocardial functional changes in KD. In cases of incomplete form of KD and patients whose clinical manifestations did not meet the diagnostic criteria, abnormal echocardiographic findings of coronary artery may provide the assistance for early diagnosis of KD. Long-term periodic echocardiographic follow-up is the basic and essential study for patients of KD with initial coronary arterial abnormalities. Ninety nine articles that studied echocardiographic findings of KD had been reviewed and will be discussed.</p>","PeriodicalId":45466,"journal":{"name":"Journal of Medical Ultrasound","volume":"33 3","pages":"206-215"},"PeriodicalIF":0.8000,"publicationDate":"2025-09-18","publicationTypes":"Journal Article","fieldsOfStudy":null,"isOpenAccess":false,"openAccessPdf":"https://www.ncbi.nlm.nih.gov/pmc/articles/PMC12463369/pdf/","citationCount":"0","resultStr":"{\"title\":\"Echocardiographic Evaluation in Kawasaki Disease.\",\"authors\":\"Betau Hwang\",\"doi\":\"10.4103/jmu.JMU-D-25-00029\",\"DOIUrl\":null,\"url\":null,\"abstract\":\"<p><p>Kawasaki disease (KD) is an etiology-unknown but with a generalized inflammatory disorder of multiple organs and systems in childhood. The basic pathologic changes are panvasculitis of the small and medium-sized arteries, mainly the coronary arteries. It is now the leading cause of acquired heart disease during childhood in developed countries and has led to the early development of angina pectoris, myocardial ischemia/infarction, and even sudden cardiac death in early adulthood. Although there is no definitive diagnostic test for KD, the accurate diagnosis is dependent on the clinical presentations to meet the diagnostic criteria. Echocardiography is a well-known noninvasive tool to detect structural abnormalities and evaluation of cardiovascular function. It has been reported to detect accurately the early and late cardiovascular abnormalities, including perivascular brightness, lack of tapering, dilatation, and aneurysmal formation of coronary arteries as well as the mitral/aortic regurgitation, pericardial effusion, and myocardial functional changes in KD. In cases of incomplete form of KD and patients whose clinical manifestations did not meet the diagnostic criteria, abnormal echocardiographic findings of coronary artery may provide the assistance for early diagnosis of KD. Long-term periodic echocardiographic follow-up is the basic and essential study for patients of KD with initial coronary arterial abnormalities. Ninety nine articles that studied echocardiographic findings of KD had been reviewed and will be discussed.</p>\",\"PeriodicalId\":45466,\"journal\":{\"name\":\"Journal of Medical Ultrasound\",\"volume\":\"33 3\",\"pages\":\"206-215\"},\"PeriodicalIF\":0.8000,\"publicationDate\":\"2025-09-18\",\"publicationTypes\":\"Journal Article\",\"fieldsOfStudy\":null,\"isOpenAccess\":false,\"openAccessPdf\":\"https://www.ncbi.nlm.nih.gov/pmc/articles/PMC12463369/pdf/\",\"citationCount\":\"0\",\"resultStr\":null,\"platform\":\"Semanticscholar\",\"paperid\":null,\"PeriodicalName\":\"Journal of Medical Ultrasound\",\"FirstCategoryId\":\"1085\",\"ListUrlMain\":\"https://doi.org/10.4103/jmu.JMU-D-25-00029\",\"RegionNum\":0,\"RegionCategory\":null,\"ArticlePicture\":[],\"TitleCN\":null,\"AbstractTextCN\":null,\"PMCID\":null,\"EPubDate\":\"2025/7/1 0:00:00\",\"PubModel\":\"eCollection\",\"JCR\":\"Q4\",\"JCRName\":\"RADIOLOGY, NUCLEAR MEDICINE & MEDICAL IMAGING\",\"Score\":null,\"Total\":0}","platform":"Semanticscholar","paperid":null,"PeriodicalName":"Journal of Medical Ultrasound","FirstCategoryId":"1085","ListUrlMain":"https://doi.org/10.4103/jmu.JMU-D-25-00029","RegionNum":0,"RegionCategory":null,"ArticlePicture":[],"TitleCN":null,"AbstractTextCN":null,"PMCID":null,"EPubDate":"2025/7/1 0:00:00","PubModel":"eCollection","JCR":"Q4","JCRName":"RADIOLOGY, NUCLEAR MEDICINE & MEDICAL IMAGING","Score":null,"Total":0}
引用次数: 0

摘要

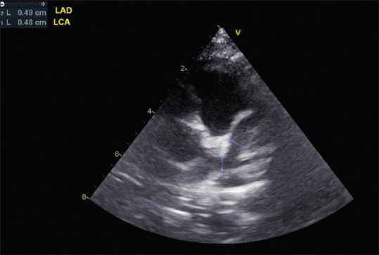
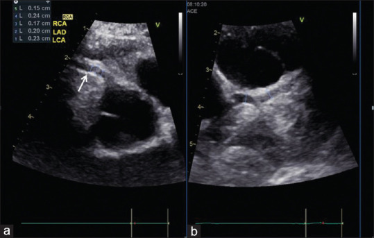
川崎病(Kawasaki disease, KD)是一种病因不明的儿童多器官和系统的全身性炎症性疾病。基本的病理改变是中小动脉,主要是冠状动脉的全血管炎。它现在是发达国家儿童获得性心脏病的主要原因,并导致心绞痛、心肌缺血/梗死的早期发展,甚至是成年早期的心源性猝死。虽然对KD没有明确的诊断测试,但准确的诊断取决于临床表现是否符合诊断标准。超声心动图是一种众所周知的无创工具,用于检测结构异常和评估心血管功能。据报道,它可以准确地检测早期和晚期心血管异常,包括血管周围亮度,缺乏锥形,扩张和冠状动脉动脉瘤形成以及二尖瓣/主动脉反流,心包积液和KD的心肌功能改变。对于KD形态不全及临床表现不符合诊断标准的患者,冠状动脉超声心动图异常可为KD的早期诊断提供帮助。长期定期超声心动图随访是KD患者首发冠状动脉异常的基础和必要研究。本文回顾并讨论了99篇研究KD超声心动图表现的文章。
本文章由计算机程序翻译,如有差异,请以英文原文为准。

Echocardiographic Evaluation in Kawasaki Disease.

Echocardiographic Evaluation in Kawasaki Disease.

Echocardiographic Evaluation in Kawasaki Disease.

Echocardiographic Evaluation in Kawasaki Disease.

Kawasaki disease (KD) is an etiology-unknown but with a generalized inflammatory disorder of multiple organs and systems in childhood. The basic pathologic changes are panvasculitis of the small and medium-sized arteries, mainly the coronary arteries. It is now the leading cause of acquired heart disease during childhood in developed countries and has led to the early development of angina pectoris, myocardial ischemia/infarction, and even sudden cardiac death in early adulthood. Although there is no definitive diagnostic test for KD, the accurate diagnosis is dependent on the clinical presentations to meet the diagnostic criteria. Echocardiography is a well-known noninvasive tool to detect structural abnormalities and evaluation of cardiovascular function. It has been reported to detect accurately the early and late cardiovascular abnormalities, including perivascular brightness, lack of tapering, dilatation, and aneurysmal formation of coronary arteries as well as the mitral/aortic regurgitation, pericardial effusion, and myocardial functional changes in KD. In cases of incomplete form of KD and patients whose clinical manifestations did not meet the diagnostic criteria, abnormal echocardiographic findings of coronary artery may provide the assistance for early diagnosis of KD. Long-term periodic echocardiographic follow-up is the basic and essential study for patients of KD with initial coronary arterial abnormalities. Ninety nine articles that studied echocardiographic findings of KD had been reviewed and will be discussed.

求助全文
通过发布文献求助,成功后即可免费获取论文全文。 去求助
来源期刊
Journal of Medical Ultrasound
Journal of Medical Ultrasound RADIOLOGY, NUCLEAR MEDICINE & MEDICAL IMAGING-
CiteScore
1.30
自引率
9.10%
发文量
90
审稿时长
10 weeks
期刊介绍: The Journal of Medical Ultrasound is the peer-reviewed publication of the Asian Federation of Societies for Ultrasound in Medicine and Biology, and the Chinese Taipei Society of Ultrasound in Medicine. Its aim is to promote clinical and scientific research in ultrasonography, and to serve as a channel of communication among sonologists, sonographers, and medical ultrasound physicians in the Asia-Pacific region and wider international community. The Journal invites original contributions relating to the clinical and laboratory investigations and applications of ultrasonography.
×
引用
GB/T 7714-2015
复制
MLA
复制
APA
复制
导出至
BibTeX EndNote RefMan NoteFirst NoteExpress
×
提示
您的信息不完整,为了账户安全,请先补充。
现在去补充
×
提示
您因"违规操作"
具体请查看互助需知
我知道了
×
提示
确定
请完成安全验证×
copy
已复制链接
快去分享给好友吧!
我知道了
右上角分享
点击右上角分享
0
联系我们:info@booksci.cn Book学术提供免费学术资源搜索服务,方便国内外学者检索中英文文献。致力于提供最便捷和优质的服务体验。 Copyright © 2023 布克学术 All rights reserved.
京ICP备2023020795号-1
ghs 京公网安备 11010802042870号
Book学术文献互助
Book学术文献互助群
群 号:604180095
Book学术官方微信