在手持式乳房超声检查中偶然发现麦克利里综合征。

IF 0.8 Q4 RADIOLOGY, NUCLEAR MEDICINE & MEDICAL IMAGING
Journal of Medical Ultrasound Pub Date : 2025-01-18 eCollection Date: 2025-07-01 DOI:10.4103/jmu.jmu_46_24
Aydan Arslan, Nilgün Güldoğan, Özlem Fidanci, Bahadır Balkanli
{"title":"在手持式乳房超声检查中偶然发现麦克利里综合征。","authors":"Aydan Arslan, Nilgün Güldoğan, Özlem Fidanci, Bahadır Balkanli","doi":"10.4103/jmu.jmu_46_24","DOIUrl":null,"url":null,"abstract":"<p><strong>Background: </strong>The goal of our study is to identify the prevalence of McCleery syndrome and categorize its clinical manifestations in patients who obtained a diagnostic breast ultrasonography at our clinic.</p><p><strong>Methods: </strong>Five thousand four hundred and twenty cases were reviewed in our clinic for diagnostic breast imaging between May 2021 and May 2022. Five thousand three hundred and two of the cases were female, while 118 were male. Duplex Doppler scanning was used to assess the subclavian vein and the axillary venous structures. The same radiologist performed all examinations; in cases where suspicion was warranted, a second radiologist's opinion was acquired. The diagnosis was confirmed by consensus.</p><p><strong>Results: </strong>In 52 cases, McCleery syndrome was identified. Between the ages of 36 and 54 years, the average age was 47 years. In four of the patients, magnetic resonance venography supported the diagnosis. In most cases, McCleery syndrome was unilateral. In only two cases was it bilateral. The incidence of McCleery syndrome was 0.95% in our study. Pain was the most often reported symptom (53.8% of 28 cases). No symptoms were reported in 26.9% of the patients.</p><p><strong>Conclusion: </strong>During a breast ultrasound, radiologists should be aware of McCleery syndrome while assessing the axilla.</p>","PeriodicalId":45466,"journal":{"name":"Journal of Medical Ultrasound","volume":"33 3","pages":"248-252"},"PeriodicalIF":0.8000,"publicationDate":"2025-01-18","publicationTypes":"Journal Article","fieldsOfStudy":null,"isOpenAccess":false,"openAccessPdf":"https://www.ncbi.nlm.nih.gov/pmc/articles/PMC12463365/pdf/","citationCount":"0","resultStr":"{\"title\":\"Incidentally Detected McCleery Syndrome during Handheld Breast Ultrasound.\",\"authors\":\"Aydan Arslan, Nilgün Güldoğan, Özlem Fidanci, Bahadır Balkanli\",\"doi\":\"10.4103/jmu.jmu_46_24\",\"DOIUrl\":null,\"url\":null,\"abstract\":\"<p><strong>Background: </strong>The goal of our study is to identify the prevalence of McCleery syndrome and categorize its clinical manifestations in patients who obtained a diagnostic breast ultrasonography at our clinic.</p><p><strong>Methods: </strong>Five thousand four hundred and twenty cases were reviewed in our clinic for diagnostic breast imaging between May 2021 and May 2022. Five thousand three hundred and two of the cases were female, while 118 were male. Duplex Doppler scanning was used to assess the subclavian vein and the axillary venous structures. The same radiologist performed all examinations; in cases where suspicion was warranted, a second radiologist's opinion was acquired. The diagnosis was confirmed by consensus.</p><p><strong>Results: </strong>In 52 cases, McCleery syndrome was identified. Between the ages of 36 and 54 years, the average age was 47 years. In four of the patients, magnetic resonance venography supported the diagnosis. In most cases, McCleery syndrome was unilateral. In only two cases was it bilateral. The incidence of McCleery syndrome was 0.95% in our study. Pain was the most often reported symptom (53.8% of 28 cases). No symptoms were reported in 26.9% of the patients.</p><p><strong>Conclusion: </strong>During a breast ultrasound, radiologists should be aware of McCleery syndrome while assessing the axilla.</p>\",\"PeriodicalId\":45466,\"journal\":{\"name\":\"Journal of Medical Ultrasound\",\"volume\":\"33 3\",\"pages\":\"248-252\"},\"PeriodicalIF\":0.8000,\"publicationDate\":\"2025-01-18\",\"publicationTypes\":\"Journal Article\",\"fieldsOfStudy\":null,\"isOpenAccess\":false,\"openAccessPdf\":\"https://www.ncbi.nlm.nih.gov/pmc/articles/PMC12463365/pdf/\",\"citationCount\":\"0\",\"resultStr\":null,\"platform\":\"Semanticscholar\",\"paperid\":null,\"PeriodicalName\":\"Journal of Medical Ultrasound\",\"FirstCategoryId\":\"1085\",\"ListUrlMain\":\"https://doi.org/10.4103/jmu.jmu_46_24\",\"RegionNum\":0,\"RegionCategory\":null,\"ArticlePicture\":[],\"TitleCN\":null,\"AbstractTextCN\":null,\"PMCID\":null,\"EPubDate\":\"2025/7/1 0:00:00\",\"PubModel\":\"eCollection\",\"JCR\":\"Q4\",\"JCRName\":\"RADIOLOGY, NUCLEAR MEDICINE & MEDICAL IMAGING\",\"Score\":null,\"Total\":0}","platform":"Semanticscholar","paperid":null,"PeriodicalName":"Journal of Medical Ultrasound","FirstCategoryId":"1085","ListUrlMain":"https://doi.org/10.4103/jmu.jmu_46_24","RegionNum":0,"RegionCategory":null,"ArticlePicture":[],"TitleCN":null,"AbstractTextCN":null,"PMCID":null,"EPubDate":"2025/7/1 0:00:00","PubModel":"eCollection","JCR":"Q4","JCRName":"RADIOLOGY, NUCLEAR MEDICINE & MEDICAL IMAGING","Score":null,"Total":0}
引用次数: 0

摘要

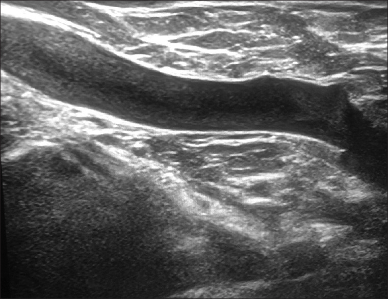
背景:我们研究的目的是确定McCleery综合征的患病率,并对在我们诊所进行诊断性乳腺超声检查的患者进行临床表现分类。方法:对2021年5月至2022年5月在我院进行乳腺影像学诊断的54220例病例进行回顾性分析。其中女性五千三百十二例,男性一百一十八例。采用双多普勒扫描评估锁骨下静脉和腋窝静脉结构。所有检查都由同一名放射科医生进行;在有理由怀疑的情况下,获得第二位放射科医生的意见。诊断得到一致确认。结果:52例确诊为McCleery综合征。在36岁至54岁之间,平均年龄为47岁。在4例患者中,磁共振静脉造影支持了诊断。在大多数病例中,麦克利利综合征是单侧的。只有两个病例是双侧的。本研究中McCleery综合征的发生率为0.95%。疼痛是最常见的症状(28例中占53.8%)。26.9%的患者无症状报告。结论:在乳腺超声检查中,放射科医师在评估腋窝时应注意麦克利里综合征。
本文章由计算机程序翻译,如有差异,请以英文原文为准。

Incidentally Detected McCleery Syndrome during Handheld Breast Ultrasound.

Incidentally Detected McCleery Syndrome during Handheld Breast Ultrasound.

Incidentally Detected McCleery Syndrome during Handheld Breast Ultrasound.

Incidentally Detected McCleery Syndrome during Handheld Breast Ultrasound.

Background: The goal of our study is to identify the prevalence of McCleery syndrome and categorize its clinical manifestations in patients who obtained a diagnostic breast ultrasonography at our clinic.

Methods: Five thousand four hundred and twenty cases were reviewed in our clinic for diagnostic breast imaging between May 2021 and May 2022. Five thousand three hundred and two of the cases were female, while 118 were male. Duplex Doppler scanning was used to assess the subclavian vein and the axillary venous structures. The same radiologist performed all examinations; in cases where suspicion was warranted, a second radiologist's opinion was acquired. The diagnosis was confirmed by consensus.

Results: In 52 cases, McCleery syndrome was identified. Between the ages of 36 and 54 years, the average age was 47 years. In four of the patients, magnetic resonance venography supported the diagnosis. In most cases, McCleery syndrome was unilateral. In only two cases was it bilateral. The incidence of McCleery syndrome was 0.95% in our study. Pain was the most often reported symptom (53.8% of 28 cases). No symptoms were reported in 26.9% of the patients.

Conclusion: During a breast ultrasound, radiologists should be aware of McCleery syndrome while assessing the axilla.

求助全文
通过发布文献求助,成功后即可免费获取论文全文。 去求助
来源期刊
Journal of Medical Ultrasound
Journal of Medical Ultrasound RADIOLOGY, NUCLEAR MEDICINE & MEDICAL IMAGING-
CiteScore
1.30
自引率
9.10%
发文量
90
审稿时长
10 weeks
期刊介绍: The Journal of Medical Ultrasound is the peer-reviewed publication of the Asian Federation of Societies for Ultrasound in Medicine and Biology, and the Chinese Taipei Society of Ultrasound in Medicine. Its aim is to promote clinical and scientific research in ultrasonography, and to serve as a channel of communication among sonologists, sonographers, and medical ultrasound physicians in the Asia-Pacific region and wider international community. The Journal invites original contributions relating to the clinical and laboratory investigations and applications of ultrasonography.
×
引用
GB/T 7714-2015
复制
MLA
复制
APA
复制
导出至
BibTeX EndNote RefMan NoteFirst NoteExpress
×
提示
您的信息不完整,为了账户安全,请先补充。
现在去补充
×
提示
您因"违规操作"
具体请查看互助需知
我知道了
×
提示
确定
请完成安全验证×
copy
已复制链接
快去分享给好友吧!
我知道了
右上角分享
点击右上角分享
0
联系我们:info@booksci.cn Book学术提供免费学术资源搜索服务,方便国内外学者检索中英文文献。致力于提供最便捷和优质的服务体验。 Copyright © 2023 布克学术 All rights reserved.
京ICP备2023020795号-1
ghs 京公网安备 11010802042870号
Book学术文献互助
Book学术文献互助群
群 号:604180095
Book学术官方微信