子宫动脉栓塞后非球形聚乙烯醇颗粒与三丙烯明胶微球的比较:回顾性研究。

Q3 Medicine
Mohammad Gharib Salehi, Mohammad Hossein Golezar, Arman Sijanivandi, Sana Delavari, Maryam Yeganegi, Shadi Nouri, Nazanin Farshchian
{"title":"子宫动脉栓塞后非球形聚乙烯醇颗粒与三丙烯明胶微球的比较:回顾性研究。","authors":"Mohammad Gharib Salehi, Mohammad Hossein Golezar, Arman Sijanivandi, Sana Delavari, Maryam Yeganegi, Shadi Nouri, Nazanin Farshchian","doi":"10.25122/jml-2024-0327","DOIUrl":null,"url":null,"abstract":"<p><p>The aim of this study was to compare leiomyoma infarction rates and embolization success using pelvic MRI following uterine artery embolization (UAE) using non-spherical polyvinyl-alcohol particles (nsPVA) or tris-acryl-gelatin microspheres (TAGM). A retrospective analysis was performed in 141 patients (mean age, 38 years) who underwent standard bilateral UAE with either nsPVA (<i>n</i> = 80) or TAGM (<i>n</i> = 61). Embolization success was defined as complete infarction of all discernible fibroids. Mann-Whitney U and independent-sample <i>t</i>-test were used to compare data types. A binary logistic regression was performed. 556 fibroids were evaluated, with a median uterine volume of 435 cm<sup>3</sup> and a median dominant fibroid volume of 110 cm3. There were no significant differences between the two groups regarding baseline characteristics, including age (<i>P</i> = 0.446), uterine volume (<i>P</i> = 0.148), dominant myoma volume (<i>P</i> = 0.124), and non-infarcted myoma number (<i>P</i> = 0.092). The tumor infarction rate in the nsPVA and TAGM groups was 74% (251/337) and 79% (174/219), respectively, which was approximately similar (<i>P</i> = 0.191). Likewise, embolization success was similar among both groups (67.5% vs. 72.1% for nsPVA and TAGM, respectively, <i>P</i> = 0.589). There was an inverse relationship between the number of preliminary non-infarcted myomas and embolization success rate (<i>P</i> = 0.035). This study assessed the availability and side effects of these two substances, and patients underwent a 6-month follow-up MRI to evaluate possible consequences. According to post-embolization MRI, the leiomyoma infarction and embolization success rates for nsPVA and TAGM were similar. The decrease in uterine and myoma volumes was analogous to both drugs.</p>","PeriodicalId":16386,"journal":{"name":"Journal of Medicine and Life","volume":"18 8","pages":"766-771"},"PeriodicalIF":0.0000,"publicationDate":"2025-08-01","publicationTypes":"Journal Article","fieldsOfStudy":null,"isOpenAccess":false,"openAccessPdf":"https://www.ncbi.nlm.nih.gov/pmc/articles/PMC12467395/pdf/","citationCount":"0","resultStr":"{\"title\":\"Comparison between non-spherical polyvinyl alcohol particles and tris-acryl gelatin microspheres after uterine artery embolization: a retrospective study.\",\"authors\":\"Mohammad Gharib Salehi, Mohammad Hossein Golezar, Arman Sijanivandi, Sana Delavari, Maryam Yeganegi, Shadi Nouri, Nazanin Farshchian\",\"doi\":\"10.25122/jml-2024-0327\",\"DOIUrl\":null,\"url\":null,\"abstract\":\"<p><p>The aim of this study was to compare leiomyoma infarction rates and embolization success using pelvic MRI following uterine artery embolization (UAE) using non-spherical polyvinyl-alcohol particles (nsPVA) or tris-acryl-gelatin microspheres (TAGM). A retrospective analysis was performed in 141 patients (mean age, 38 years) who underwent standard bilateral UAE with either nsPVA (<i>n</i> = 80) or TAGM (<i>n</i> = 61). Embolization success was defined as complete infarction of all discernible fibroids. Mann-Whitney U and independent-sample <i>t</i>-test were used to compare data types. A binary logistic regression was performed. 556 fibroids were evaluated, with a median uterine volume of 435 cm<sup>3</sup> and a median dominant fibroid volume of 110 cm3. There were no significant differences between the two groups regarding baseline characteristics, including age (<i>P</i> = 0.446), uterine volume (<i>P</i> = 0.148), dominant myoma volume (<i>P</i> = 0.124), and non-infarcted myoma number (<i>P</i> = 0.092). The tumor infarction rate in the nsPVA and TAGM groups was 74% (251/337) and 79% (174/219), respectively, which was approximately similar (<i>P</i> = 0.191). Likewise, embolization success was similar among both groups (67.5% vs. 72.1% for nsPVA and TAGM, respectively, <i>P</i> = 0.589). There was an inverse relationship between the number of preliminary non-infarcted myomas and embolization success rate (<i>P</i> = 0.035). This study assessed the availability and side effects of these two substances, and patients underwent a 6-month follow-up MRI to evaluate possible consequences. According to post-embolization MRI, the leiomyoma infarction and embolization success rates for nsPVA and TAGM were similar. The decrease in uterine and myoma volumes was analogous to both drugs.</p>\",\"PeriodicalId\":16386,\"journal\":{\"name\":\"Journal of Medicine and Life\",\"volume\":\"18 8\",\"pages\":\"766-771\"},\"PeriodicalIF\":0.0000,\"publicationDate\":\"2025-08-01\",\"publicationTypes\":\"Journal Article\",\"fieldsOfStudy\":null,\"isOpenAccess\":false,\"openAccessPdf\":\"https://www.ncbi.nlm.nih.gov/pmc/articles/PMC12467395/pdf/\",\"citationCount\":\"0\",\"resultStr\":null,\"platform\":\"Semanticscholar\",\"paperid\":null,\"PeriodicalName\":\"Journal of Medicine and Life\",\"FirstCategoryId\":\"1085\",\"ListUrlMain\":\"https://doi.org/10.25122/jml-2024-0327\",\"RegionNum\":0,\"RegionCategory\":null,\"ArticlePicture\":[],\"TitleCN\":null,\"AbstractTextCN\":null,\"PMCID\":null,\"EPubDate\":\"\",\"PubModel\":\"\",\"JCR\":\"Q3\",\"JCRName\":\"Medicine\",\"Score\":null,\"Total\":0}","platform":"Semanticscholar","paperid":null,"PeriodicalName":"Journal of Medicine and Life","FirstCategoryId":"1085","ListUrlMain":"https://doi.org/10.25122/jml-2024-0327","RegionNum":0,"RegionCategory":null,"ArticlePicture":[],"TitleCN":null,"AbstractTextCN":null,"PMCID":null,"EPubDate":"","PubModel":"","JCR":"Q3","JCRName":"Medicine","Score":null,"Total":0}
引用次数: 0

摘要

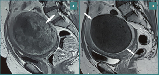
本研究的目的是比较使用非球形聚乙烯醇颗粒(nsPVA)或三丙烯-明胶微球(TAGM)子宫动脉栓塞(UAE)后盆腔MRI的平滑肌瘤梗死率和栓塞成功率。回顾性分析141例(平均年龄38岁)接受标准双侧UAE合并nsPVA (n = 80)或TAGM (n = 61)的患者。栓塞成功的定义是所有可识别的肌瘤完全梗死。采用Mann-Whitney U检验和独立样本t检验比较数据类型。进行二元逻辑回归。556个肌瘤被评估,子宫中位体积为435 cm3,优势肌瘤中位体积为110 cm3。两组患者的基线特征包括年龄(P = 0.446)、子宫体积(P = 0.148)、显性肌瘤体积(P = 0.124)和非梗死性肌瘤数量(P = 0.092),差异无统计学意义。nsPVA组和TAGM组的肿瘤梗死率分别为74%(251/337)和79%(174/219),两者基本相似(P = 0.191)。同样,两组的栓塞成功率相似(nsPVA和TAGM分别为67.5%和72.1%,P = 0.589)。初步非梗死肌瘤数量与栓塞成功率呈负相关(P = 0.035)。本研究评估了这两种物质的可用性和副作用,并对患者进行了6个月的MRI随访,以评估可能的后果。根据栓塞后的MRI, nsPVA和TAGM的平滑肌瘤梗死和栓塞成功率相似。子宫和肌瘤体积的减少与两种药物相似。
本文章由计算机程序翻译,如有差异,请以英文原文为准。

Comparison between non-spherical polyvinyl alcohol particles and tris-acryl gelatin microspheres after uterine artery embolization: a retrospective study.

Comparison between non-spherical polyvinyl alcohol particles and tris-acryl gelatin microspheres after uterine artery embolization: a retrospective study.

Comparison between non-spherical polyvinyl alcohol particles and tris-acryl gelatin microspheres after uterine artery embolization: a retrospective study.

Comparison between non-spherical polyvinyl alcohol particles and tris-acryl gelatin microspheres after uterine artery embolization: a retrospective study.

The aim of this study was to compare leiomyoma infarction rates and embolization success using pelvic MRI following uterine artery embolization (UAE) using non-spherical polyvinyl-alcohol particles (nsPVA) or tris-acryl-gelatin microspheres (TAGM). A retrospective analysis was performed in 141 patients (mean age, 38 years) who underwent standard bilateral UAE with either nsPVA (n = 80) or TAGM (n = 61). Embolization success was defined as complete infarction of all discernible fibroids. Mann-Whitney U and independent-sample t-test were used to compare data types. A binary logistic regression was performed. 556 fibroids were evaluated, with a median uterine volume of 435 cm3 and a median dominant fibroid volume of 110 cm3. There were no significant differences between the two groups regarding baseline characteristics, including age (P = 0.446), uterine volume (P = 0.148), dominant myoma volume (P = 0.124), and non-infarcted myoma number (P = 0.092). The tumor infarction rate in the nsPVA and TAGM groups was 74% (251/337) and 79% (174/219), respectively, which was approximately similar (P = 0.191). Likewise, embolization success was similar among both groups (67.5% vs. 72.1% for nsPVA and TAGM, respectively, P = 0.589). There was an inverse relationship between the number of preliminary non-infarcted myomas and embolization success rate (P = 0.035). This study assessed the availability and side effects of these two substances, and patients underwent a 6-month follow-up MRI to evaluate possible consequences. According to post-embolization MRI, the leiomyoma infarction and embolization success rates for nsPVA and TAGM were similar. The decrease in uterine and myoma volumes was analogous to both drugs.

求助全文
通过发布文献求助,成功后即可免费获取论文全文。 去求助
来源期刊
Journal of Medicine and Life
Journal of Medicine and Life Medicine-Medicine (all)
CiteScore
1.90
自引率
0.00%
发文量
202
期刊介绍: The Journal of Medicine and Life publishes peer-reviewed articles from various fields of medicine and life sciences, including original research, systematic reviews, special reports, case presentations, major medical breakthroughs and letters to the editor. The Journal focuses on current matters that lie at the intersection of biomedical science and clinical practice and strives to present this information to inform health care delivery and improve patient outcomes. Papers addressing topics such as neuroprotection, neurorehabilitation, neuroplasticity, and neuroregeneration are particularly encouraged, as part of the Journal''s continuous interest in neuroscience research. The Editorial Board of the Journal of Medicine and Life is open to consider manuscripts from all levels of research and areas of biological sciences, including fundamental, experimental or clinical research and matters of public health. As part of our pledge to promote an educational and community-building environment, our issues feature sections designated to informing our readers regarding exciting international congresses, teaching courses and relevant institutional-level events.
×
引用
GB/T 7714-2015
复制
MLA
复制
APA
复制
导出至
BibTeX EndNote RefMan NoteFirst NoteExpress
×
提示
您的信息不完整,为了账户安全,请先补充。
现在去补充
×
提示
您因"违规操作"
具体请查看互助需知
我知道了
×
提示
确定
请完成安全验证×
copy
已复制链接
快去分享给好友吧!
我知道了
右上角分享
点击右上角分享
0
联系我们:info@booksci.cn Book学术提供免费学术资源搜索服务,方便国内外学者检索中英文文献。致力于提供最便捷和优质的服务体验。 Copyright © 2023 布克学术 All rights reserved.
京ICP备2023020795号-1
ghs 京公网安备 11010802042870号
Book学术文献互助
Book学术文献互助群
群 号:604180095
Book学术官方微信