病例报告:MRPS36的双等位基因变异,编码2-氧戊二酸脱氢酶复合物的一个组成部分,导致leigh综合征。

IF 2 3区 医学 Q2 PEDIATRICS
Frontiers in Pediatrics Pub Date : 2025-09-12 eCollection Date: 2025-01-01 DOI:10.3389/fped.2025.1608840
Huafang Jiang, Chaolong Xu, Zhimei Liu, Ruoyu Duan, Xingfeng Yao, Xiaona Fu, Jiatong Xu, Xuejing Kang, Tenghui Yu, Yuanyuan Wang, Fang Fang
{"title":"病例报告:MRPS36的双等位基因变异,编码2-氧戊二酸脱氢酶复合物的一个组成部分,导致leigh综合征。","authors":"Huafang Jiang, Chaolong Xu, Zhimei Liu, Ruoyu Duan, Xingfeng Yao, Xiaona Fu, Jiatong Xu, Xuejing Kang, Tenghui Yu, Yuanyuan Wang, Fang Fang","doi":"10.3389/fped.2025.1608840","DOIUrl":null,"url":null,"abstract":"<p><strong>Background: </strong>The <i>MRPS36</i> gene encodes the E4 subunit of the 2-oxoglutarate dehydrogenase complex (OGDHC), a critical enzyme in the tricarboxylic acid cycle. OGDHC deficiency can lead to metabolic disorders with a clinical spectrum ranging from fatal neonatal lactic acidosis to variable degrees of global developmental delay and movement disorders. To date, a homozygous <i>MRPS36</i> variant has been reported as a novel cause of Leigh syndrome in only two siblings, who presented with developmental delay, movement disorders, bilateral striatal necrosis, and reduced OGDHC activity.</p><p><strong>Case presentation: </strong>We report a third case of Leigh syndrome associated with <i>MRPS36</i> variants in a 2-year-old boy. The patient exhibited with global developmental delay, dystonia, early-onset chorea, and elevated serum lactate levels. Follow-up brain magnetic resonance imaging at 2 years revealed progressive degenerative lesions in the bilateral basal ganglia. Muscle biopsy showed abnormal mitochondrial accumulation beneath the sarcolemma, and the oxygen consumption rate was reduced in skin fibroblasts. Whole-exome sequencing identified two novel compound heterozygous <i>MRPS36</i> variants: c.42+1G>A (p.?) and c.296G>C (p.Arg99Pro).</p><p><strong>Conclusion: </strong>This case supports <i>MRPS36</i> as a novel pathogenic cause of Leigh syndrome, further expanding the genetic spectrum of the disorder. Key clinical features include developmental delay, involuntary movement disorders, progressive basal ganglia atrophy, and a slowly progressive disease course.</p>","PeriodicalId":12637,"journal":{"name":"Frontiers in Pediatrics","volume":"13 ","pages":"1608840"},"PeriodicalIF":2.0000,"publicationDate":"2025-09-12","publicationTypes":"Journal Article","fieldsOfStudy":null,"isOpenAccess":false,"openAccessPdf":"https://www.ncbi.nlm.nih.gov/pmc/articles/PMC12463997/pdf/","citationCount":"0","resultStr":"{\"title\":\"Case Report: Biallelic variants in <i>MRPS36</i>, encoding a component of the 2-oxoglutarate dehydrogenase complex, cause leigh syndrome.\",\"authors\":\"Huafang Jiang, Chaolong Xu, Zhimei Liu, Ruoyu Duan, Xingfeng Yao, Xiaona Fu, Jiatong Xu, Xuejing Kang, Tenghui Yu, Yuanyuan Wang, Fang Fang\",\"doi\":\"10.3389/fped.2025.1608840\",\"DOIUrl\":null,\"url\":null,\"abstract\":\"<p><strong>Background: </strong>The <i>MRPS36</i> gene encodes the E4 subunit of the 2-oxoglutarate dehydrogenase complex (OGDHC), a critical enzyme in the tricarboxylic acid cycle. OGDHC deficiency can lead to metabolic disorders with a clinical spectrum ranging from fatal neonatal lactic acidosis to variable degrees of global developmental delay and movement disorders. To date, a homozygous <i>MRPS36</i> variant has been reported as a novel cause of Leigh syndrome in only two siblings, who presented with developmental delay, movement disorders, bilateral striatal necrosis, and reduced OGDHC activity.</p><p><strong>Case presentation: </strong>We report a third case of Leigh syndrome associated with <i>MRPS36</i> variants in a 2-year-old boy. The patient exhibited with global developmental delay, dystonia, early-onset chorea, and elevated serum lactate levels. Follow-up brain magnetic resonance imaging at 2 years revealed progressive degenerative lesions in the bilateral basal ganglia. Muscle biopsy showed abnormal mitochondrial accumulation beneath the sarcolemma, and the oxygen consumption rate was reduced in skin fibroblasts. Whole-exome sequencing identified two novel compound heterozygous <i>MRPS36</i> variants: c.42+1G>A (p.?) and c.296G>C (p.Arg99Pro).</p><p><strong>Conclusion: </strong>This case supports <i>MRPS36</i> as a novel pathogenic cause of Leigh syndrome, further expanding the genetic spectrum of the disorder. Key clinical features include developmental delay, involuntary movement disorders, progressive basal ganglia atrophy, and a slowly progressive disease course.</p>\",\"PeriodicalId\":12637,\"journal\":{\"name\":\"Frontiers in Pediatrics\",\"volume\":\"13 \",\"pages\":\"1608840\"},\"PeriodicalIF\":2.0000,\"publicationDate\":\"2025-09-12\",\"publicationTypes\":\"Journal Article\",\"fieldsOfStudy\":null,\"isOpenAccess\":false,\"openAccessPdf\":\"https://www.ncbi.nlm.nih.gov/pmc/articles/PMC12463997/pdf/\",\"citationCount\":\"0\",\"resultStr\":null,\"platform\":\"Semanticscholar\",\"paperid\":null,\"PeriodicalName\":\"Frontiers in Pediatrics\",\"FirstCategoryId\":\"3\",\"ListUrlMain\":\"https://doi.org/10.3389/fped.2025.1608840\",\"RegionNum\":3,\"RegionCategory\":\"医学\",\"ArticlePicture\":[],\"TitleCN\":null,\"AbstractTextCN\":null,\"PMCID\":null,\"EPubDate\":\"2025/1/1 0:00:00\",\"PubModel\":\"eCollection\",\"JCR\":\"Q2\",\"JCRName\":\"PEDIATRICS\",\"Score\":null,\"Total\":0}","platform":"Semanticscholar","paperid":null,"PeriodicalName":"Frontiers in Pediatrics","FirstCategoryId":"3","ListUrlMain":"https://doi.org/10.3389/fped.2025.1608840","RegionNum":3,"RegionCategory":"医学","ArticlePicture":[],"TitleCN":null,"AbstractTextCN":null,"PMCID":null,"EPubDate":"2025/1/1 0:00:00","PubModel":"eCollection","JCR":"Q2","JCRName":"PEDIATRICS","Score":null,"Total":0}
引用次数: 0

摘要

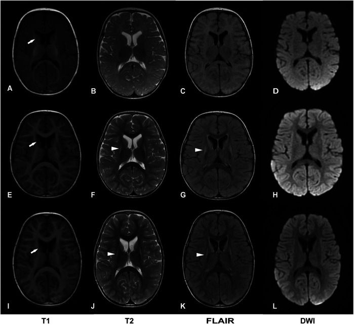
背景:MRPS36基因编码2-氧戊二酸脱氢酶复合物(OGDHC)的E4亚基,OGDHC是三羧酸循环中的关键酶。OGDHC缺乏可导致代谢性疾病,其临床范围从致命性新生儿乳酸性酸中毒到不同程度的全身发育迟缓和运动障碍。迄今为止,纯合子MRPS36变体仅在两个兄弟姐妹中被报道为Leigh综合征的新病因,这两个兄弟姐妹表现为发育迟缓、运动障碍、双侧纹状体坏死和OGDHC活性降低。病例介绍:我们报告了一名2岁男孩的第三例与MRPS36变异相关的Leigh综合征。患者表现出全面发育迟缓、肌张力障碍、早发性舞蹈病和血清乳酸水平升高。随访2年的脑磁共振成像显示双侧基底节区出现进行性退行性病变。肌肉活检显示肌膜下线粒体异常积聚,皮肤成纤维细胞耗氧量降低。全外显子组测序鉴定出两个新的复合杂合MRPS36变异:C .42+1G>A (p.?)和C . 296g >C (p. arg99pro)。结论:本病例支持MRPS36作为Leigh综合征的一个新的致病原因,进一步扩大了该疾病的遗传谱。主要临床特征包括发育迟缓、不自主运动障碍、进行性基底神经节萎缩和缓慢进展的病程。
本文章由计算机程序翻译,如有差异,请以英文原文为准。

Case Report: Biallelic variants in <i>MRPS36</i>, encoding a component of the 2-oxoglutarate dehydrogenase complex, cause leigh syndrome.

Case Report: Biallelic variants in <i>MRPS36</i>, encoding a component of the 2-oxoglutarate dehydrogenase complex, cause leigh syndrome.

Case Report: Biallelic variants in <i>MRPS36</i>, encoding a component of the 2-oxoglutarate dehydrogenase complex, cause leigh syndrome.

Case Report: Biallelic variants in MRPS36, encoding a component of the 2-oxoglutarate dehydrogenase complex, cause leigh syndrome.

Background: The MRPS36 gene encodes the E4 subunit of the 2-oxoglutarate dehydrogenase complex (OGDHC), a critical enzyme in the tricarboxylic acid cycle. OGDHC deficiency can lead to metabolic disorders with a clinical spectrum ranging from fatal neonatal lactic acidosis to variable degrees of global developmental delay and movement disorders. To date, a homozygous MRPS36 variant has been reported as a novel cause of Leigh syndrome in only two siblings, who presented with developmental delay, movement disorders, bilateral striatal necrosis, and reduced OGDHC activity.

Case presentation: We report a third case of Leigh syndrome associated with MRPS36 variants in a 2-year-old boy. The patient exhibited with global developmental delay, dystonia, early-onset chorea, and elevated serum lactate levels. Follow-up brain magnetic resonance imaging at 2 years revealed progressive degenerative lesions in the bilateral basal ganglia. Muscle biopsy showed abnormal mitochondrial accumulation beneath the sarcolemma, and the oxygen consumption rate was reduced in skin fibroblasts. Whole-exome sequencing identified two novel compound heterozygous MRPS36 variants: c.42+1G>A (p.?) and c.296G>C (p.Arg99Pro).

Conclusion: This case supports MRPS36 as a novel pathogenic cause of Leigh syndrome, further expanding the genetic spectrum of the disorder. Key clinical features include developmental delay, involuntary movement disorders, progressive basal ganglia atrophy, and a slowly progressive disease course.

求助全文
通过发布文献求助,成功后即可免费获取论文全文。 去求助
来源期刊
Frontiers in Pediatrics
Frontiers in Pediatrics Medicine-Pediatrics, Perinatology and Child Health
CiteScore
3.60
自引率
7.70%
发文量
2132
审稿时长
14 weeks
期刊介绍: Frontiers in Pediatrics (Impact Factor 2.33) publishes rigorously peer-reviewed research broadly across the field, from basic to clinical research that meets ongoing challenges in pediatric patient care and child health. Field Chief Editors Arjan Te Pas at Leiden University and Michael L. Moritz at the Children''s Hospital of Pittsburgh are supported by an outstanding Editorial Board of international experts. This multidisciplinary open-access journal is at the forefront of disseminating and communicating scientific knowledge and impactful discoveries to researchers, academics, clinicians and the public worldwide. Frontiers in Pediatrics also features Research Topics, Frontiers special theme-focused issues managed by Guest Associate Editors, addressing important areas in pediatrics. In this fashion, Frontiers serves as an outlet to publish the broadest aspects of pediatrics in both basic and clinical research, including high-quality reviews, case reports, editorials and commentaries related to all aspects of pediatrics.
×
引用
GB/T 7714-2015
复制
MLA
复制
APA
复制
导出至
BibTeX EndNote RefMan NoteFirst NoteExpress
×
提示
您的信息不完整,为了账户安全,请先补充。
现在去补充
×
提示
您因"违规操作"
具体请查看互助需知
我知道了
×
提示
确定
请完成安全验证×
copy
已复制链接
快去分享给好友吧!
我知道了
右上角分享
点击右上角分享
0
联系我们:info@booksci.cn Book学术提供免费学术资源搜索服务,方便国内外学者检索中英文文献。致力于提供最便捷和优质的服务体验。 Copyright © 2023 布克学术 All rights reserved.
京ICP备2023020795号-1
ghs 京公网安备 11010802042870号
Book学术文献互助
Book学术文献互助群
群 号:604180095
Book学术官方微信