罗马尼亚足月新生儿肾脏超声参考值:与人体测量特征的相关性。

IF 2.1 4区 医学 Q2 PEDIATRICS
Leonard Năstase, Adrian-Ioan Toma, Alexandru Dinulescu, Adelina Androne
{"title":"罗马尼亚足月新生儿肾脏超声参考值:与人体测量特征的相关性。","authors":"Leonard Năstase, Adrian-Ioan Toma, Alexandru Dinulescu, Adelina Androne","doi":"10.3390/children12091191","DOIUrl":null,"url":null,"abstract":"<p><strong>Background: </strong>The establishment of population-specific reference values for neonatal renal dimensions is essential for accurate assessment of kidney development. Currently, standardized reference data for renal volume in Romanian newborns are lacking. This study aims to establish normal renal dimensions and volumes in Romanian term newborns and evaluate their correlations with anthropometric characteristics.</p><p><strong>Methods: </strong>A prospective study was conducted at Polizu Maternity, Bucharest, Romania, involving a cohort of 100 term newborns with a gestational age (GA) between 37 and 42 weeks, all delivered at the INSMC \"Alessandrescu-Rusescu\" Polizu Maternity Hospital. Routine renal ultrasound was performed for all term newborns within the first 72 h of life. Renal dimensions were measured in the longitudinal and axial sections, and the volume was calculated.</p><p><strong>Results: </strong>The average kidney dimensions were as follows: length 42.0 ± 3.4 mm, width 22.6 ± 2.6 mm, and thickness 19.9 ± 2.5 mm. Renal volume ranged from 5.1 to 18.9 mL, with an average of 10.2 ± 2.5 mL. The kidney volume was significantly correlated with gestational age (r = 0.195; <i>p</i> = 0.05) and birth length (r = 0.267; <i>p</i> = 0.008), and most strongly with birth weight (r = 0.306; <i>p</i> = 0.002).</p><p><strong>Conclusions: </strong>This study provides the first reference values for renal dimensions in Romanian term newborns. Renal volume shows modest correlations with anthropometric characteristics, particularly birth weight. These reference values may serve as baseline measurements for future longitudinal studies investigating renal development and disease risk.</p>","PeriodicalId":48588,"journal":{"name":"Children-Basel","volume":"12 9","pages":""},"PeriodicalIF":2.1000,"publicationDate":"2025-09-08","publicationTypes":"Journal Article","fieldsOfStudy":null,"isOpenAccess":false,"openAccessPdf":"https://www.ncbi.nlm.nih.gov/pmc/articles/PMC12468884/pdf/","citationCount":"0","resultStr":"{\"title\":\"Neonatal Renal Ultrasound Reference Values in Romanian Term Newborns: Correlations with Anthropometric Characteristics.\",\"authors\":\"Leonard Năstase, Adrian-Ioan Toma, Alexandru Dinulescu, Adelina Androne\",\"doi\":\"10.3390/children12091191\",\"DOIUrl\":null,\"url\":null,\"abstract\":\"<p><strong>Background: </strong>The establishment of population-specific reference values for neonatal renal dimensions is essential for accurate assessment of kidney development. Currently, standardized reference data for renal volume in Romanian newborns are lacking. This study aims to establish normal renal dimensions and volumes in Romanian term newborns and evaluate their correlations with anthropometric characteristics.</p><p><strong>Methods: </strong>A prospective study was conducted at Polizu Maternity, Bucharest, Romania, involving a cohort of 100 term newborns with a gestational age (GA) between 37 and 42 weeks, all delivered at the INSMC \\\"Alessandrescu-Rusescu\\\" Polizu Maternity Hospital. Routine renal ultrasound was performed for all term newborns within the first 72 h of life. Renal dimensions were measured in the longitudinal and axial sections, and the volume was calculated.</p><p><strong>Results: </strong>The average kidney dimensions were as follows: length 42.0 ± 3.4 mm, width 22.6 ± 2.6 mm, and thickness 19.9 ± 2.5 mm. Renal volume ranged from 5.1 to 18.9 mL, with an average of 10.2 ± 2.5 mL. The kidney volume was significantly correlated with gestational age (r = 0.195; <i>p</i> = 0.05) and birth length (r = 0.267; <i>p</i> = 0.008), and most strongly with birth weight (r = 0.306; <i>p</i> = 0.002).</p><p><strong>Conclusions: </strong>This study provides the first reference values for renal dimensions in Romanian term newborns. Renal volume shows modest correlations with anthropometric characteristics, particularly birth weight. These reference values may serve as baseline measurements for future longitudinal studies investigating renal development and disease risk.</p>\",\"PeriodicalId\":48588,\"journal\":{\"name\":\"Children-Basel\",\"volume\":\"12 9\",\"pages\":\"\"},\"PeriodicalIF\":2.1000,\"publicationDate\":\"2025-09-08\",\"publicationTypes\":\"Journal Article\",\"fieldsOfStudy\":null,\"isOpenAccess\":false,\"openAccessPdf\":\"https://www.ncbi.nlm.nih.gov/pmc/articles/PMC12468884/pdf/\",\"citationCount\":\"0\",\"resultStr\":null,\"platform\":\"Semanticscholar\",\"paperid\":null,\"PeriodicalName\":\"Children-Basel\",\"FirstCategoryId\":\"3\",\"ListUrlMain\":\"https://doi.org/10.3390/children12091191\",\"RegionNum\":4,\"RegionCategory\":\"医学\",\"ArticlePicture\":[],\"TitleCN\":null,\"AbstractTextCN\":null,\"PMCID\":null,\"EPubDate\":\"\",\"PubModel\":\"\",\"JCR\":\"Q2\",\"JCRName\":\"PEDIATRICS\",\"Score\":null,\"Total\":0}","platform":"Semanticscholar","paperid":null,"PeriodicalName":"Children-Basel","FirstCategoryId":"3","ListUrlMain":"https://doi.org/10.3390/children12091191","RegionNum":4,"RegionCategory":"医学","ArticlePicture":[],"TitleCN":null,"AbstractTextCN":null,"PMCID":null,"EPubDate":"","PubModel":"","JCR":"Q2","JCRName":"PEDIATRICS","Score":null,"Total":0}
引用次数: 0

摘要

背景:建立人群特异性的新生儿肾脏尺寸参考值对于准确评估肾脏发育至关重要。目前,罗马尼亚新生儿肾容量的标准化参考数据缺乏。本研究旨在建立罗马尼亚足月新生儿正常肾脏尺寸和体积,并评估其与人体测量特征的相关性。方法:在罗马尼亚布加勒斯特的Polizu妇产医院进行了一项前瞻性研究,纳入了100名胎龄在37至42周之间的足月新生儿,所有新生儿均在INSMC“alessandrescue - rusescu”Polizu妇产医院分娩。所有足月新生儿在出生后72小时内进行常规肾超声检查。测量肾脏纵、轴向切片尺寸,计算体积。结果:肾脏平均尺寸:长42.0±3.4 mm,宽22.6±2.6 mm,厚19.9±2.5 mm。肾容积变化范围为5.1 ~ 18.9 mL,平均为10.2±2.5 mL。肾容积与胎龄(r = 0.195; p = 0.05)、出生体长(r = 0.267; p = 0.008)、出生体重(r = 0.306; p = 0.002)相关性最强。结论:本研究为罗马尼亚足月新生儿肾脏尺寸提供了第一个参考值。肾容量与人体测量特征,特别是出生体重有一定的相关性。这些参考值可以作为未来调查肾脏发展和疾病风险的纵向研究的基线测量值。
本文章由计算机程序翻译,如有差异,请以英文原文为准。

Neonatal Renal Ultrasound Reference Values in Romanian Term Newborns: Correlations with Anthropometric Characteristics.

Neonatal Renal Ultrasound Reference Values in Romanian Term Newborns: Correlations with Anthropometric Characteristics.

Neonatal Renal Ultrasound Reference Values in Romanian Term Newborns: Correlations with Anthropometric Characteristics.

Neonatal Renal Ultrasound Reference Values in Romanian Term Newborns: Correlations with Anthropometric Characteristics.

Background: The establishment of population-specific reference values for neonatal renal dimensions is essential for accurate assessment of kidney development. Currently, standardized reference data for renal volume in Romanian newborns are lacking. This study aims to establish normal renal dimensions and volumes in Romanian term newborns and evaluate their correlations with anthropometric characteristics.

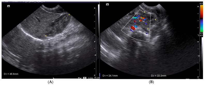
Methods: A prospective study was conducted at Polizu Maternity, Bucharest, Romania, involving a cohort of 100 term newborns with a gestational age (GA) between 37 and 42 weeks, all delivered at the INSMC "Alessandrescu-Rusescu" Polizu Maternity Hospital. Routine renal ultrasound was performed for all term newborns within the first 72 h of life. Renal dimensions were measured in the longitudinal and axial sections, and the volume was calculated.

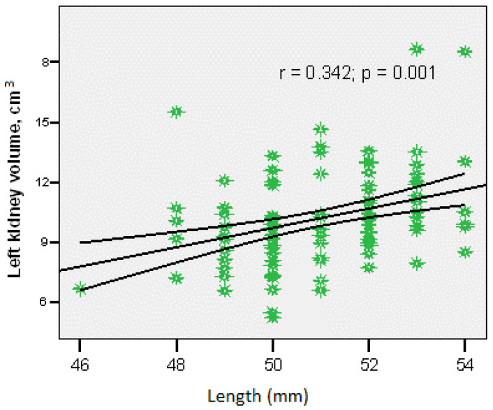
Results: The average kidney dimensions were as follows: length 42.0 ± 3.4 mm, width 22.6 ± 2.6 mm, and thickness 19.9 ± 2.5 mm. Renal volume ranged from 5.1 to 18.9 mL, with an average of 10.2 ± 2.5 mL. The kidney volume was significantly correlated with gestational age (r = 0.195; p = 0.05) and birth length (r = 0.267; p = 0.008), and most strongly with birth weight (r = 0.306; p = 0.002).

Conclusions: This study provides the first reference values for renal dimensions in Romanian term newborns. Renal volume shows modest correlations with anthropometric characteristics, particularly birth weight. These reference values may serve as baseline measurements for future longitudinal studies investigating renal development and disease risk.

求助全文
通过发布文献求助,成功后即可免费获取论文全文。 去求助
来源期刊
Children-Basel
Children-Basel PEDIATRICS-
CiteScore
2.70
自引率
16.70%
发文量
1735
审稿时长
6 weeks
期刊介绍: Children is an international, open access journal dedicated to a streamlined, yet scientifically rigorous, dissemination of peer-reviewed science related to childhood health and disease in developed and developing countries. The publication focuses on sharing clinical, epidemiological and translational science relevant to children’s health. Moreover, the primary goals of the publication are to highlight under‑represented pediatric disciplines, to emphasize interdisciplinary research and to disseminate advances in knowledge in global child health. In addition to original research, the journal publishes expert editorials and commentaries, clinical case reports, and insightful communications reflecting the latest developments in pediatric medicine. By publishing meritorious articles as soon as the editorial review process is completed, rather than at predefined intervals, Children also permits rapid open access sharing of new information, allowing us to reach the broadest audience in the most expedient fashion.
×
引用
GB/T 7714-2015
复制
MLA
复制
APA
复制
导出至
BibTeX EndNote RefMan NoteFirst NoteExpress
×
提示
您的信息不完整,为了账户安全,请先补充。
现在去补充
×
提示
您因"违规操作"
具体请查看互助需知
我知道了
×
提示
确定
请完成安全验证×
copy
已复制链接
快去分享给好友吧!
我知道了
右上角分享
点击右上角分享
0
联系我们:info@booksci.cn Book学术提供免费学术资源搜索服务,方便国内外学者检索中英文文献。致力于提供最便捷和优质的服务体验。 Copyright © 2023 布克学术 All rights reserved.
京ICP备2023020795号-1
ghs 京公网安备 11010802042870号
Book学术文献互助
Book学术文献互助群
群 号:604180095
Book学术官方微信