小儿脊柱孤立性纤维性肿瘤:一种罕见疾病的系统综述。

IF 2.1 4区 医学 Q2 PEDIATRICS
Andrea Trezza, Chiara B Rui, Stefano Chiaravalli, Veronica Biassoni, Elisabetta Schiavello, Sabina Vennarini, Ester Orlandi, Giorgio G Carrabba, Maura Massimino, Carlo G Giussani
{"title":"小儿脊柱孤立性纤维性肿瘤:一种罕见疾病的系统综述。","authors":"Andrea Trezza, Chiara B Rui, Stefano Chiaravalli, Veronica Biassoni, Elisabetta Schiavello, Sabina Vennarini, Ester Orlandi, Giorgio G Carrabba, Maura Massimino, Carlo G Giussani","doi":"10.3390/children12091214","DOIUrl":null,"url":null,"abstract":"<p><p><b>Background:</b> Spinal solitary fibrous tumors (SFTs) are a rare oncological entity, almost anecdotal in the pediatric population. They have a high relapse rate and represent an ongoing oncological challenge. <b>Methods:</b> In this article, we conducted a systematic review starting from a case report to highlight the current state of the art in managing these tumors. <b>Results:</b> Spinal solitary fibrous tumors (SFTs) are rare, slow-growing neoplasms that can be either intra- or extramedullary. Only a limited number of studies focus on primary pediatric spinal cord localization. Five pediatric cases of spinal SFT have been documented in the literature. On MRI, they typically present as highly vascularized, contrast-enhancing masses. Histologically, they are composed of spindle-shaped cells within a collagenous stroma featuring staghorn-shaped blood vessels. More aggressive subtypes, such as dedifferentiated SFTs, resemble high-grade sarcomas. The NAB2-STAT6 fusion is a key marker, driving EGFR signaling, collagen production, and fibrosis. Additional diagnostic markers include CD34, CD99, and Bcl-2. Surgical resection remains the primary treatment. In metastatic cases, chemotherapy-mainly with anthracyclines, dacarbazine, or temozolomide-is employed, although no standardized pediatric protocols exist. Anti-angiogenic agents, including tyrosine kinase inhibitors, have shown promise. Radiotherapy is used postoperatively for local disease control, but its impact on survival is still under investigation. <b>Conclusions:</b> Surgery remains the cornerstone of treatment, significantly impacting the natural history of the disease and symptom control. While clinical trials exploring radiotherapy and chemotherapy are ongoing in adults, no specific treatment protocol has been established for pediatric patients.</p>","PeriodicalId":48588,"journal":{"name":"Children-Basel","volume":"12 9","pages":""},"PeriodicalIF":2.1000,"publicationDate":"2025-09-10","publicationTypes":"Journal Article","fieldsOfStudy":null,"isOpenAccess":false,"openAccessPdf":"https://www.ncbi.nlm.nih.gov/pmc/articles/PMC12468233/pdf/","citationCount":"0","resultStr":"{\"title\":\"Pediatric Spinal Solitary Fibrous Tumor: A Systematic Review of a Rare Condition.\",\"authors\":\"Andrea Trezza, Chiara B Rui, Stefano Chiaravalli, Veronica Biassoni, Elisabetta Schiavello, Sabina Vennarini, Ester Orlandi, Giorgio G Carrabba, Maura Massimino, Carlo G Giussani\",\"doi\":\"10.3390/children12091214\",\"DOIUrl\":null,\"url\":null,\"abstract\":\"<p><p><b>Background:</b> Spinal solitary fibrous tumors (SFTs) are a rare oncological entity, almost anecdotal in the pediatric population. They have a high relapse rate and represent an ongoing oncological challenge. <b>Methods:</b> In this article, we conducted a systematic review starting from a case report to highlight the current state of the art in managing these tumors. <b>Results:</b> Spinal solitary fibrous tumors (SFTs) are rare, slow-growing neoplasms that can be either intra- or extramedullary. Only a limited number of studies focus on primary pediatric spinal cord localization. Five pediatric cases of spinal SFT have been documented in the literature. On MRI, they typically present as highly vascularized, contrast-enhancing masses. Histologically, they are composed of spindle-shaped cells within a collagenous stroma featuring staghorn-shaped blood vessels. More aggressive subtypes, such as dedifferentiated SFTs, resemble high-grade sarcomas. The NAB2-STAT6 fusion is a key marker, driving EGFR signaling, collagen production, and fibrosis. Additional diagnostic markers include CD34, CD99, and Bcl-2. Surgical resection remains the primary treatment. In metastatic cases, chemotherapy-mainly with anthracyclines, dacarbazine, or temozolomide-is employed, although no standardized pediatric protocols exist. Anti-angiogenic agents, including tyrosine kinase inhibitors, have shown promise. Radiotherapy is used postoperatively for local disease control, but its impact on survival is still under investigation. <b>Conclusions:</b> Surgery remains the cornerstone of treatment, significantly impacting the natural history of the disease and symptom control. While clinical trials exploring radiotherapy and chemotherapy are ongoing in adults, no specific treatment protocol has been established for pediatric patients.</p>\",\"PeriodicalId\":48588,\"journal\":{\"name\":\"Children-Basel\",\"volume\":\"12 9\",\"pages\":\"\"},\"PeriodicalIF\":2.1000,\"publicationDate\":\"2025-09-10\",\"publicationTypes\":\"Journal Article\",\"fieldsOfStudy\":null,\"isOpenAccess\":false,\"openAccessPdf\":\"https://www.ncbi.nlm.nih.gov/pmc/articles/PMC12468233/pdf/\",\"citationCount\":\"0\",\"resultStr\":null,\"platform\":\"Semanticscholar\",\"paperid\":null,\"PeriodicalName\":\"Children-Basel\",\"FirstCategoryId\":\"3\",\"ListUrlMain\":\"https://doi.org/10.3390/children12091214\",\"RegionNum\":4,\"RegionCategory\":\"医学\",\"ArticlePicture\":[],\"TitleCN\":null,\"AbstractTextCN\":null,\"PMCID\":null,\"EPubDate\":\"\",\"PubModel\":\"\",\"JCR\":\"Q2\",\"JCRName\":\"PEDIATRICS\",\"Score\":null,\"Total\":0}","platform":"Semanticscholar","paperid":null,"PeriodicalName":"Children-Basel","FirstCategoryId":"3","ListUrlMain":"https://doi.org/10.3390/children12091214","RegionNum":4,"RegionCategory":"医学","ArticlePicture":[],"TitleCN":null,"AbstractTextCN":null,"PMCID":null,"EPubDate":"","PubModel":"","JCR":"Q2","JCRName":"PEDIATRICS","Score":null,"Total":0}
引用次数: 0

摘要

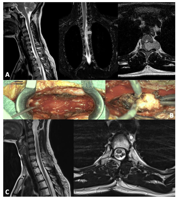
背景:脊柱孤立性纤维性肿瘤(SFTs)是一种罕见的肿瘤实体,在儿科人群中几乎是轶事。他们有很高的复发率,代表了一个持续的肿瘤挑战。方法:在这篇文章中,我们从一个病例报告开始进行了系统的回顾,以强调目前在治疗这些肿瘤方面的最新进展。结果:脊髓孤立性纤维性肿瘤(SFTs)是一种罕见的生长缓慢的肿瘤,可发生在髓内或髓外。只有有限数量的研究关注于原发性小儿脊髓定位。文献记载了5例小儿脊柱SFT病例。在MRI上,它们通常表现为高度血管化,对比度增强的肿块。组织学上,它们由胶原基质中的梭形细胞组成,具有鹿角状血管。更具侵袭性的亚型,如去分化SFTs,类似于高级别肉瘤。NAB2-STAT6融合是驱动EGFR信号、胶原生成和纤维化的关键标志物。其他诊断标志物包括CD34、CD99和Bcl-2。手术切除仍是主要治疗方法。在转移性病例中,化疗-主要是蒽环类药物,达卡巴嗪或替莫唑胺-被采用,尽管没有标准化的儿科方案存在。抗血管生成药物,包括酪氨酸激酶抑制剂,已经显示出前景。放疗用于术后局部疾病控制,但其对生存的影响仍在调查中。结论:手术仍然是治疗的基石,对疾病的自然病程和症状控制有重要影响。虽然在成人中探索放疗和化疗的临床试验正在进行中,但尚未为儿科患者建立特定的治疗方案。
本文章由计算机程序翻译,如有差异,请以英文原文为准。

Pediatric Spinal Solitary Fibrous Tumor: A Systematic Review of a Rare Condition.

Pediatric Spinal Solitary Fibrous Tumor: A Systematic Review of a Rare Condition.

Pediatric Spinal Solitary Fibrous Tumor: A Systematic Review of a Rare Condition.

Pediatric Spinal Solitary Fibrous Tumor: A Systematic Review of a Rare Condition.

Background: Spinal solitary fibrous tumors (SFTs) are a rare oncological entity, almost anecdotal in the pediatric population. They have a high relapse rate and represent an ongoing oncological challenge. Methods: In this article, we conducted a systematic review starting from a case report to highlight the current state of the art in managing these tumors. Results: Spinal solitary fibrous tumors (SFTs) are rare, slow-growing neoplasms that can be either intra- or extramedullary. Only a limited number of studies focus on primary pediatric spinal cord localization. Five pediatric cases of spinal SFT have been documented in the literature. On MRI, they typically present as highly vascularized, contrast-enhancing masses. Histologically, they are composed of spindle-shaped cells within a collagenous stroma featuring staghorn-shaped blood vessels. More aggressive subtypes, such as dedifferentiated SFTs, resemble high-grade sarcomas. The NAB2-STAT6 fusion is a key marker, driving EGFR signaling, collagen production, and fibrosis. Additional diagnostic markers include CD34, CD99, and Bcl-2. Surgical resection remains the primary treatment. In metastatic cases, chemotherapy-mainly with anthracyclines, dacarbazine, or temozolomide-is employed, although no standardized pediatric protocols exist. Anti-angiogenic agents, including tyrosine kinase inhibitors, have shown promise. Radiotherapy is used postoperatively for local disease control, but its impact on survival is still under investigation. Conclusions: Surgery remains the cornerstone of treatment, significantly impacting the natural history of the disease and symptom control. While clinical trials exploring radiotherapy and chemotherapy are ongoing in adults, no specific treatment protocol has been established for pediatric patients.

求助全文
通过发布文献求助,成功后即可免费获取论文全文。 去求助
来源期刊
Children-Basel
Children-Basel PEDIATRICS-
CiteScore
2.70
自引率
16.70%
发文量
1735
审稿时长
6 weeks
期刊介绍: Children is an international, open access journal dedicated to a streamlined, yet scientifically rigorous, dissemination of peer-reviewed science related to childhood health and disease in developed and developing countries. The publication focuses on sharing clinical, epidemiological and translational science relevant to children’s health. Moreover, the primary goals of the publication are to highlight under‑represented pediatric disciplines, to emphasize interdisciplinary research and to disseminate advances in knowledge in global child health. In addition to original research, the journal publishes expert editorials and commentaries, clinical case reports, and insightful communications reflecting the latest developments in pediatric medicine. By publishing meritorious articles as soon as the editorial review process is completed, rather than at predefined intervals, Children also permits rapid open access sharing of new information, allowing us to reach the broadest audience in the most expedient fashion.
×
引用
GB/T 7714-2015
复制
MLA
复制
APA
复制
导出至
BibTeX EndNote RefMan NoteFirst NoteExpress
×
提示
您的信息不完整,为了账户安全,请先补充。
现在去补充
×
提示
您因"违规操作"
具体请查看互助需知
我知道了
×
提示
确定
请完成安全验证×
copy
已复制链接
快去分享给好友吧!
我知道了
右上角分享
点击右上角分享
0
联系我们:info@booksci.cn Book学术提供免费学术资源搜索服务,方便国内外学者检索中英文文献。致力于提供最便捷和优质的服务体验。 Copyright © 2023 布克学术 All rights reserved.
京ICP备2023020795号-1
ghs 京公网安备 11010802042870号
Book学术文献互助
Book学术文献互助群
群 号:604180095
Book学术官方微信