添加茴香精油减轻热应激对肉鸡生长速度、血液生化指标和肝脏组织病理学的影响

IF 2.3 2区 农林科学 Q2 VETERINARY SCIENCES
Shimaa A Amer, Ahmed Gouda, Rehab I Hamed, Arwa H Nassar, Hanaa S Ali, Rania M Ibrahim, Gehan N Alagmy, Azza M M Abdelmoteleb, Fayez Althobaiti, Khalid S Alotaibi, Shatha B Albattal, Mohamed Mohamed Soliman, Saed A Althobaiti, Gehan K Saleh
{"title":"添加茴香精油减轻热应激对肉鸡生长速度、血液生化指标和肝脏组织病理学的影响","authors":"Shimaa A Amer, Ahmed Gouda, Rehab I Hamed, Arwa H Nassar, Hanaa S Ali, Rania M Ibrahim, Gehan N Alagmy, Azza M M Abdelmoteleb, Fayez Althobaiti, Khalid S Alotaibi, Shatha B Albattal, Mohamed Mohamed Soliman, Saed A Althobaiti, Gehan K Saleh","doi":"10.3390/vetsci12090825","DOIUrl":null,"url":null,"abstract":"<p><p>The current study evaluated the role of dietary fennel essential oil (FO) supplementation in ameliorating the effects of heat stress on growth performance, meat quality, antioxidant activity, inflammatory responses, and liver histopathology in broiler chickens. Six hundred male broiler chicks (three-day-old ROSS broilers) were allocated into six experimental treatments (TRTs); the first was the negative control (Neg. CON, not subjected to hot temperature conditions), and the second was the positive control group (PS CON, subjected to hot temperatures). The control groups (Neg. and PS) were fed the basal diet without supplements. The third, fourth, and fifth groups were fed diets supplemented with 1 g FO/kg diet, 2 g FO/kg diet, and 3 g FO/kg diet, respectively and subjected to hot temperatures. The sixth group was fed the basal diet, received 500 mg of paracetamol per liter of drinking water, and subjected to hot temperatures. Hot temperature conditions (36 ± 0.5 °C) was applied for 6 h/day from the 22nd to the 25th day of the feeding period. The feeding period lasted for 35 days. The results showed that FO supplementation improved the body weight, weight gain, and feed conversion ratio compared to those in the PS CON and paracetamol groups. The growth hormone concentrations increased in the FO-supplemented TRTs and the paracetamol groups compared to those in the Neg. and PS CON groups. The serum total protein, albumin, and globulin concentrations significantly increased in the FO-supplemented TRTs compared to those in the Neg. and PS CON groups and the paracetamol TRTs. The serum TAC increased in the 3 g FO/kg TRT. The serum activity of CAT and SOD increased in the 3 and 2 g FO/kg TRTs and the paracetamol TRTs compared to those in the Neg. and PS CON groups. The serum MDA concentrations decreased in the FO-supplemented TRTs and paracetamol groups compared to those in the Neg. and PS CON groups. The IL1β and IFN-α concentrations decreased in the FO-supplemented and paracetamol groups compared to those in the PS CON groups. The HSP70 concentration was the highest in the 3 g FO/kg TRT. The immune expression of IL1-β and TGF-β in the liver tissues was downregulated in the FO-supplemented groups, especially the FO3 group, compared to those in the PS CON group. In conclusion, dietary supplementation with FO increased the broiler chickens' growth more than that in the PS CON and paracetamol groups under hot temperatures. Fennel oil supplementation (3 g/kg diet) can alleviate the negative impacts of heat stress on broiler chickens' antioxidant and inflammatory responses.</p>","PeriodicalId":23694,"journal":{"name":"Veterinary Sciences","volume":"12 9","pages":""},"PeriodicalIF":2.3000,"publicationDate":"2025-08-27","publicationTypes":"Journal Article","fieldsOfStudy":null,"isOpenAccess":false,"openAccessPdf":"https://www.ncbi.nlm.nih.gov/pmc/articles/PMC12474125/pdf/","citationCount":"0","resultStr":"{\"title\":\"The Effects of Fennel Essential Oil Supplementation on Mitigating the Heat Stress Impacts on Growth Rate, Blood Biochemical Parameters, and Liver Histopathology in Broiler Chickens.\",\"authors\":\"Shimaa A Amer, Ahmed Gouda, Rehab I Hamed, Arwa H Nassar, Hanaa S Ali, Rania M Ibrahim, Gehan N Alagmy, Azza M M Abdelmoteleb, Fayez Althobaiti, Khalid S Alotaibi, Shatha B Albattal, Mohamed Mohamed Soliman, Saed A Althobaiti, Gehan K Saleh\",\"doi\":\"10.3390/vetsci12090825\",\"DOIUrl\":null,\"url\":null,\"abstract\":\"<p><p>The current study evaluated the role of dietary fennel essential oil (FO) supplementation in ameliorating the effects of heat stress on growth performance, meat quality, antioxidant activity, inflammatory responses, and liver histopathology in broiler chickens. Six hundred male broiler chicks (three-day-old ROSS broilers) were allocated into six experimental treatments (TRTs); the first was the negative control (Neg. CON, not subjected to hot temperature conditions), and the second was the positive control group (PS CON, subjected to hot temperatures). The control groups (Neg. and PS) were fed the basal diet without supplements. The third, fourth, and fifth groups were fed diets supplemented with 1 g FO/kg diet, 2 g FO/kg diet, and 3 g FO/kg diet, respectively and subjected to hot temperatures. The sixth group was fed the basal diet, received 500 mg of paracetamol per liter of drinking water, and subjected to hot temperatures. Hot temperature conditions (36 ± 0.5 °C) was applied for 6 h/day from the 22nd to the 25th day of the feeding period. The feeding period lasted for 35 days. The results showed that FO supplementation improved the body weight, weight gain, and feed conversion ratio compared to those in the PS CON and paracetamol groups. The growth hormone concentrations increased in the FO-supplemented TRTs and the paracetamol groups compared to those in the Neg. and PS CON groups. The serum total protein, albumin, and globulin concentrations significantly increased in the FO-supplemented TRTs compared to those in the Neg. and PS CON groups and the paracetamol TRTs. The serum TAC increased in the 3 g FO/kg TRT. The serum activity of CAT and SOD increased in the 3 and 2 g FO/kg TRTs and the paracetamol TRTs compared to those in the Neg. and PS CON groups. The serum MDA concentrations decreased in the FO-supplemented TRTs and paracetamol groups compared to those in the Neg. and PS CON groups. The IL1β and IFN-α concentrations decreased in the FO-supplemented and paracetamol groups compared to those in the PS CON groups. The HSP70 concentration was the highest in the 3 g FO/kg TRT. The immune expression of IL1-β and TGF-β in the liver tissues was downregulated in the FO-supplemented groups, especially the FO3 group, compared to those in the PS CON group. In conclusion, dietary supplementation with FO increased the broiler chickens' growth more than that in the PS CON and paracetamol groups under hot temperatures. Fennel oil supplementation (3 g/kg diet) can alleviate the negative impacts of heat stress on broiler chickens' antioxidant and inflammatory responses.</p>\",\"PeriodicalId\":23694,\"journal\":{\"name\":\"Veterinary Sciences\",\"volume\":\"12 9\",\"pages\":\"\"},\"PeriodicalIF\":2.3000,\"publicationDate\":\"2025-08-27\",\"publicationTypes\":\"Journal Article\",\"fieldsOfStudy\":null,\"isOpenAccess\":false,\"openAccessPdf\":\"https://www.ncbi.nlm.nih.gov/pmc/articles/PMC12474125/pdf/\",\"citationCount\":\"0\",\"resultStr\":null,\"platform\":\"Semanticscholar\",\"paperid\":null,\"PeriodicalName\":\"Veterinary Sciences\",\"FirstCategoryId\":\"97\",\"ListUrlMain\":\"https://doi.org/10.3390/vetsci12090825\",\"RegionNum\":2,\"RegionCategory\":\"农林科学\",\"ArticlePicture\":[],\"TitleCN\":null,\"AbstractTextCN\":null,\"PMCID\":null,\"EPubDate\":\"\",\"PubModel\":\"\",\"JCR\":\"Q2\",\"JCRName\":\"VETERINARY SCIENCES\",\"Score\":null,\"Total\":0}","platform":"Semanticscholar","paperid":null,"PeriodicalName":"Veterinary Sciences","FirstCategoryId":"97","ListUrlMain":"https://doi.org/10.3390/vetsci12090825","RegionNum":2,"RegionCategory":"农林科学","ArticlePicture":[],"TitleCN":null,"AbstractTextCN":null,"PMCID":null,"EPubDate":"","PubModel":"","JCR":"Q2","JCRName":"VETERINARY SCIENCES","Score":null,"Total":0}
引用次数: 0

摘要

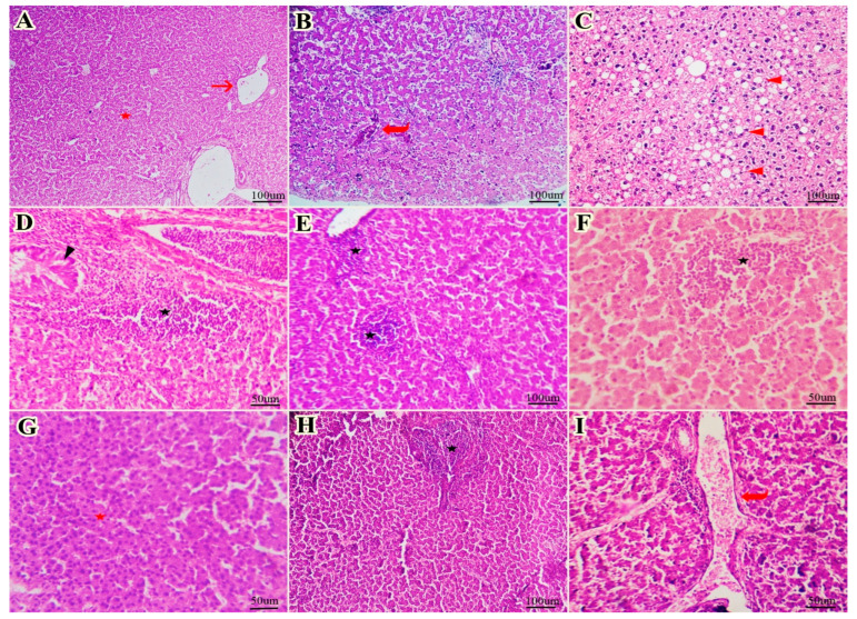
本研究旨在评价饲粮中添加茴香精油(FO)在改善热应激对肉鸡生长性能、肉品质、抗氧化活性、炎症反应和肝脏组织病理学的影响中的作用。选取600只3日龄罗斯肉鸡雄性雏鸡,分为6个试验组;第一个是阴性对照(阴性)。第二组为阳性对照组(PS CON,不受高温条件影响)。对照组(阴性;和PS)饲喂基础饲粮,不添加添加物。第3、4、5组分别饲喂添加1 g FO/kg、2 g FO/kg和3 g FO/kg饲粮的高温试验。第六组饲喂基础饲料,每升饮用水中添加500毫克扑热息痛,并接受高温治疗。饲喂期第22 ~ 25天,高温条件(36±0.5℃)6 h/d。试验期35 d。结果表明,与PS CON和扑热息痛组相比,添加鱼油组提高了体重、增重和饲料系数。与阴性组相比,补充fo的trt组和扑热息痛组的生长激素浓度有所增加。和PS CON组。血清总蛋白、白蛋白和球蛋白浓度在补充fo的trt组显著高于阴性trt组。PS CON组和扑热息痛trt组。3 g鱼油/kg TRT组血清TAC升高。与阴性组相比,3和2 g FO/kg组和扑热息痛组血清CAT和SOD活性升高。和PS CON组。与阴性组相比,fo补充trt组和扑热息痛组的血清MDA浓度降低。和PS CON组。与PS CON组相比,补充fo组和扑热息痛组il - 1β和IFN-α浓度降低。HSP70浓度在3 g FO/kg TRT时最高。与PS CON组相比,FO3组肝脏组织中il - 1-β和TGF-β的免疫表达下调。综上所述,在高温条件下,饲粮中添加鱼油对肉鸡生长的促进作用大于PS CON和扑热息痛组。饲粮中添加3 g/kg茴香油可以缓解热应激对肉鸡抗氧化和炎症反应的负面影响。
本文章由计算机程序翻译,如有差异,请以英文原文为准。

The Effects of Fennel Essential Oil Supplementation on Mitigating the Heat Stress Impacts on Growth Rate, Blood Biochemical Parameters, and Liver Histopathology in Broiler Chickens.

The Effects of Fennel Essential Oil Supplementation on Mitigating the Heat Stress Impacts on Growth Rate, Blood Biochemical Parameters, and Liver Histopathology in Broiler Chickens.

The Effects of Fennel Essential Oil Supplementation on Mitigating the Heat Stress Impacts on Growth Rate, Blood Biochemical Parameters, and Liver Histopathology in Broiler Chickens.

The Effects of Fennel Essential Oil Supplementation on Mitigating the Heat Stress Impacts on Growth Rate, Blood Biochemical Parameters, and Liver Histopathology in Broiler Chickens.

The current study evaluated the role of dietary fennel essential oil (FO) supplementation in ameliorating the effects of heat stress on growth performance, meat quality, antioxidant activity, inflammatory responses, and liver histopathology in broiler chickens. Six hundred male broiler chicks (three-day-old ROSS broilers) were allocated into six experimental treatments (TRTs); the first was the negative control (Neg. CON, not subjected to hot temperature conditions), and the second was the positive control group (PS CON, subjected to hot temperatures). The control groups (Neg. and PS) were fed the basal diet without supplements. The third, fourth, and fifth groups were fed diets supplemented with 1 g FO/kg diet, 2 g FO/kg diet, and 3 g FO/kg diet, respectively and subjected to hot temperatures. The sixth group was fed the basal diet, received 500 mg of paracetamol per liter of drinking water, and subjected to hot temperatures. Hot temperature conditions (36 ± 0.5 °C) was applied for 6 h/day from the 22nd to the 25th day of the feeding period. The feeding period lasted for 35 days. The results showed that FO supplementation improved the body weight, weight gain, and feed conversion ratio compared to those in the PS CON and paracetamol groups. The growth hormone concentrations increased in the FO-supplemented TRTs and the paracetamol groups compared to those in the Neg. and PS CON groups. The serum total protein, albumin, and globulin concentrations significantly increased in the FO-supplemented TRTs compared to those in the Neg. and PS CON groups and the paracetamol TRTs. The serum TAC increased in the 3 g FO/kg TRT. The serum activity of CAT and SOD increased in the 3 and 2 g FO/kg TRTs and the paracetamol TRTs compared to those in the Neg. and PS CON groups. The serum MDA concentrations decreased in the FO-supplemented TRTs and paracetamol groups compared to those in the Neg. and PS CON groups. The IL1β and IFN-α concentrations decreased in the FO-supplemented and paracetamol groups compared to those in the PS CON groups. The HSP70 concentration was the highest in the 3 g FO/kg TRT. The immune expression of IL1-β and TGF-β in the liver tissues was downregulated in the FO-supplemented groups, especially the FO3 group, compared to those in the PS CON group. In conclusion, dietary supplementation with FO increased the broiler chickens' growth more than that in the PS CON and paracetamol groups under hot temperatures. Fennel oil supplementation (3 g/kg diet) can alleviate the negative impacts of heat stress on broiler chickens' antioxidant and inflammatory responses.

求助全文
通过发布文献求助,成功后即可免费获取论文全文。 去求助
来源期刊
Veterinary Sciences
Veterinary Sciences VETERINARY SCIENCES-
CiteScore
2.90
自引率
8.30%
发文量
612
审稿时长
6 weeks
期刊介绍: Veterinary Sciences is an international and interdisciplinary scholarly open access journal. It publishes original that are relevant to any field of veterinary sciences, including prevention, diagnosis and treatment of disease, disorder and injury in animals. This journal covers almost all topics related to animal health and veterinary medicine. Research fields of interest include but are not limited to: anaesthesiology anatomy bacteriology biochemistry cardiology dentistry dermatology embryology endocrinology epidemiology genetics histology immunology microbiology molecular biology mycology neurobiology oncology ophthalmology parasitology pathology pharmacology physiology radiology surgery theriogenology toxicology virology.
×
引用
GB/T 7714-2015
复制
MLA
复制
APA
复制
导出至
BibTeX EndNote RefMan NoteFirst NoteExpress
×
提示
您的信息不完整,为了账户安全,请先补充。
现在去补充
×
提示
您因"违规操作"
具体请查看互助需知
我知道了
×
提示
确定
请完成安全验证×
copy
已复制链接
快去分享给好友吧!
我知道了
右上角分享
点击右上角分享
0
联系我们:info@booksci.cn Book学术提供免费学术资源搜索服务,方便国内外学者检索中英文文献。致力于提供最便捷和优质的服务体验。 Copyright © 2023 布克学术 All rights reserved.
京ICP备2023020795号-1
ghs 京公网安备 11010802042870号
Book学术文献互助
Book学术文献互助群
群 号:604180095
Book学术官方微信