SOX3家族成员在犬口腔黑色素瘤中的表达:SOX3在肿瘤侵袭性中的作用

IF 2.3 2区 农林科学 Q2 VETERINARY SCIENCES
Renato Felipe Costa, Bárbara Andrade de Carvalho, Bruna Mendes Lima, Emerson Soares Veloso, Karen Yumi Ribeiro Nakagaki, Ivy Nayra Nascimento Gonçalves, Helen Lima Del Puerto, Enio Ferreira
{"title":"SOX3家族成员在犬口腔黑色素瘤中的表达:SOX3在肿瘤侵袭性中的作用","authors":"Renato Felipe Costa, Bárbara Andrade de Carvalho, Bruna Mendes Lima, Emerson Soares Veloso, Karen Yumi Ribeiro Nakagaki, Ivy Nayra Nascimento Gonçalves, Helen Lima Del Puerto, Enio Ferreira","doi":"10.3390/vetsci12090851","DOIUrl":null,"url":null,"abstract":"<p><p>The aggressiveness of oral melanoma can be related to several mutations that occur during development. Based on the knowledge of the role of transcription factors of the SOX family in other neoplastic types, it is necessary to understand their behavior in oral melanomas. In this work, the expression of SOX2, SOX3, and SOX10 and its relationship with the proliferative index and histological aspects indicative of aggressiveness in canine oral melanomas were evaluated. Thirty tumors were histologically reviewed and the expression of Melan-A, SOX2, SOX3, SOX10, and Ki67 in these tumors were determined. All tumors presented histomorphological characteristics compatible with malignant tumors and immunopositivity for Melan-A. The expression of SOX2, SOX3, and SOX10 was observed in 7/30 (23.3%), 6/30 (20%), and 23/30 (76.6%) of the cases, respectively. Among the analyzed markers, the relationship between the loss of SOX3 expression in tumors with higher proliferative rates was highlighted. An inverse correlation was also observed between the expression cytoplasmic SOX10 and nuclear SOX10, suggesting a change in the location of this protein in oral melanomas. Among the SOX family proteins studied, the SOX3 protein plays a role in the regulation of cell proliferation in oral melanomas, and it is suggested that the SOX2 and SOX10 proteins are constitutively expressed in these neoplasms, without a determining role for aggressiveness. New studies of this gene transcription pathway may assist in possible prognostic and predictive determinations of the SOX3 protein in oral canine melanoma.</p>","PeriodicalId":23694,"journal":{"name":"Veterinary Sciences","volume":"12 9","pages":""},"PeriodicalIF":2.3000,"publicationDate":"2025-09-02","publicationTypes":"Journal Article","fieldsOfStudy":null,"isOpenAccess":false,"openAccessPdf":"https://www.ncbi.nlm.nih.gov/pmc/articles/PMC12474294/pdf/","citationCount":"0","resultStr":"{\"title\":\"SOX Family Members Expression in Canine Oral Melanoma: Role of the SOX3 in Tumor Aggressiveness.\",\"authors\":\"Renato Felipe Costa, Bárbara Andrade de Carvalho, Bruna Mendes Lima, Emerson Soares Veloso, Karen Yumi Ribeiro Nakagaki, Ivy Nayra Nascimento Gonçalves, Helen Lima Del Puerto, Enio Ferreira\",\"doi\":\"10.3390/vetsci12090851\",\"DOIUrl\":null,\"url\":null,\"abstract\":\"<p><p>The aggressiveness of oral melanoma can be related to several mutations that occur during development. Based on the knowledge of the role of transcription factors of the SOX family in other neoplastic types, it is necessary to understand their behavior in oral melanomas. In this work, the expression of SOX2, SOX3, and SOX10 and its relationship with the proliferative index and histological aspects indicative of aggressiveness in canine oral melanomas were evaluated. Thirty tumors were histologically reviewed and the expression of Melan-A, SOX2, SOX3, SOX10, and Ki67 in these tumors were determined. All tumors presented histomorphological characteristics compatible with malignant tumors and immunopositivity for Melan-A. The expression of SOX2, SOX3, and SOX10 was observed in 7/30 (23.3%), 6/30 (20%), and 23/30 (76.6%) of the cases, respectively. Among the analyzed markers, the relationship between the loss of SOX3 expression in tumors with higher proliferative rates was highlighted. An inverse correlation was also observed between the expression cytoplasmic SOX10 and nuclear SOX10, suggesting a change in the location of this protein in oral melanomas. Among the SOX family proteins studied, the SOX3 protein plays a role in the regulation of cell proliferation in oral melanomas, and it is suggested that the SOX2 and SOX10 proteins are constitutively expressed in these neoplasms, without a determining role for aggressiveness. New studies of this gene transcription pathway may assist in possible prognostic and predictive determinations of the SOX3 protein in oral canine melanoma.</p>\",\"PeriodicalId\":23694,\"journal\":{\"name\":\"Veterinary Sciences\",\"volume\":\"12 9\",\"pages\":\"\"},\"PeriodicalIF\":2.3000,\"publicationDate\":\"2025-09-02\",\"publicationTypes\":\"Journal Article\",\"fieldsOfStudy\":null,\"isOpenAccess\":false,\"openAccessPdf\":\"https://www.ncbi.nlm.nih.gov/pmc/articles/PMC12474294/pdf/\",\"citationCount\":\"0\",\"resultStr\":null,\"platform\":\"Semanticscholar\",\"paperid\":null,\"PeriodicalName\":\"Veterinary Sciences\",\"FirstCategoryId\":\"97\",\"ListUrlMain\":\"https://doi.org/10.3390/vetsci12090851\",\"RegionNum\":2,\"RegionCategory\":\"农林科学\",\"ArticlePicture\":[],\"TitleCN\":null,\"AbstractTextCN\":null,\"PMCID\":null,\"EPubDate\":\"\",\"PubModel\":\"\",\"JCR\":\"Q2\",\"JCRName\":\"VETERINARY SCIENCES\",\"Score\":null,\"Total\":0}","platform":"Semanticscholar","paperid":null,"PeriodicalName":"Veterinary Sciences","FirstCategoryId":"97","ListUrlMain":"https://doi.org/10.3390/vetsci12090851","RegionNum":2,"RegionCategory":"农林科学","ArticlePicture":[],"TitleCN":null,"AbstractTextCN":null,"PMCID":null,"EPubDate":"","PubModel":"","JCR":"Q2","JCRName":"VETERINARY SCIENCES","Score":null,"Total":0}
引用次数: 0

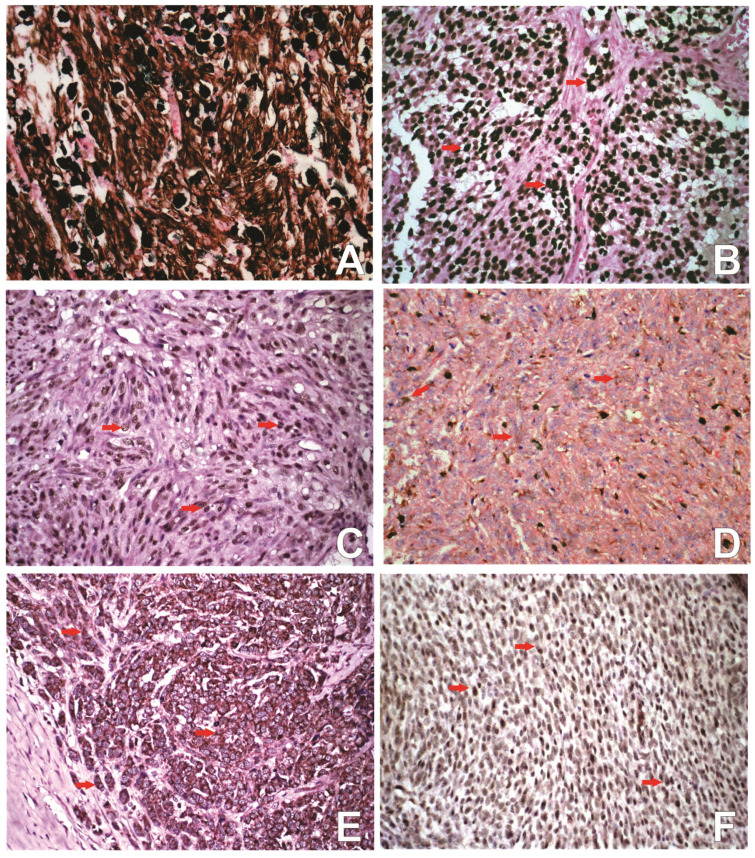
摘要

口腔黑色素瘤的侵袭性可能与发育过程中发生的几种突变有关。在了解SOX家族转录因子在其他肿瘤类型中的作用的基础上,有必要了解其在口腔黑色素瘤中的行为。在这项工作中,我们评估了SOX2、SOX3和SOX10的表达及其与犬口腔黑色素瘤的增殖指数和指示侵袭性的组织学方面的关系。对30例肿瘤进行了组织学检查,检测了这些肿瘤中melana、SOX2、SOX3、SOX10和Ki67的表达。所有肿瘤均表现出与恶性肿瘤一致的组织形态学特征,且黑色素瘤a免疫阳性。SOX2、SOX3和SOX10分别在7/30(23.3%)、6/30(20%)和23/30(76.6%)的病例中表达。在分析的标记物中,强调了SOX3在高增殖率肿瘤中表达缺失的关系。细胞质中SOX10的表达与细胞核中SOX10的表达呈负相关,表明该蛋白在口腔黑色素瘤中的位置发生了变化。在所研究的SOX家族蛋白中,SOX3蛋白在口腔黑色素瘤中起调节细胞增殖的作用,这表明SOX2和SOX10蛋白在这些肿瘤中是组成性表达的,对侵袭性没有决定性作用。该基因转录途径的新研究可能有助于口腔犬黑色素瘤中SOX3蛋白的可能预后和预测测定。
本文章由计算机程序翻译,如有差异,请以英文原文为准。

SOX Family Members Expression in Canine Oral Melanoma: Role of the SOX3 in Tumor Aggressiveness.

SOX Family Members Expression in Canine Oral Melanoma: Role of the SOX3 in Tumor Aggressiveness.

The aggressiveness of oral melanoma can be related to several mutations that occur during development. Based on the knowledge of the role of transcription factors of the SOX family in other neoplastic types, it is necessary to understand their behavior in oral melanomas. In this work, the expression of SOX2, SOX3, and SOX10 and its relationship with the proliferative index and histological aspects indicative of aggressiveness in canine oral melanomas were evaluated. Thirty tumors were histologically reviewed and the expression of Melan-A, SOX2, SOX3, SOX10, and Ki67 in these tumors were determined. All tumors presented histomorphological characteristics compatible with malignant tumors and immunopositivity for Melan-A. The expression of SOX2, SOX3, and SOX10 was observed in 7/30 (23.3%), 6/30 (20%), and 23/30 (76.6%) of the cases, respectively. Among the analyzed markers, the relationship between the loss of SOX3 expression in tumors with higher proliferative rates was highlighted. An inverse correlation was also observed between the expression cytoplasmic SOX10 and nuclear SOX10, suggesting a change in the location of this protein in oral melanomas. Among the SOX family proteins studied, the SOX3 protein plays a role in the regulation of cell proliferation in oral melanomas, and it is suggested that the SOX2 and SOX10 proteins are constitutively expressed in these neoplasms, without a determining role for aggressiveness. New studies of this gene transcription pathway may assist in possible prognostic and predictive determinations of the SOX3 protein in oral canine melanoma.

求助全文
通过发布文献求助,成功后即可免费获取论文全文。 去求助
来源期刊
Veterinary Sciences
Veterinary Sciences VETERINARY SCIENCES-
CiteScore
2.90
自引率
8.30%
发文量
612
审稿时长
6 weeks
期刊介绍: Veterinary Sciences is an international and interdisciplinary scholarly open access journal. It publishes original that are relevant to any field of veterinary sciences, including prevention, diagnosis and treatment of disease, disorder and injury in animals. This journal covers almost all topics related to animal health and veterinary medicine. Research fields of interest include but are not limited to: anaesthesiology anatomy bacteriology biochemistry cardiology dentistry dermatology embryology endocrinology epidemiology genetics histology immunology microbiology molecular biology mycology neurobiology oncology ophthalmology parasitology pathology pharmacology physiology radiology surgery theriogenology toxicology virology.
×
引用
GB/T 7714-2015
复制
MLA
复制
APA
复制
导出至
BibTeX EndNote RefMan NoteFirst NoteExpress
×
提示
您的信息不完整,为了账户安全,请先补充。
现在去补充
×
提示
您因"违规操作"
具体请查看互助需知
我知道了
×
提示
确定
请完成安全验证×
copy
已复制链接
快去分享给好友吧!
我知道了
右上角分享
点击右上角分享
0
联系我们:info@booksci.cn Book学术提供免费学术资源搜索服务,方便国内外学者检索中英文文献。致力于提供最便捷和优质的服务体验。 Copyright © 2023 布克学术 All rights reserved.
京ICP备2023020795号-1
ghs 京公网安备 11010802042870号
Book学术文献互助
Book学术文献互助群
群 号:604180095
Book学术官方微信