牛万古霉素耐药粪肠球菌的分离与鉴定:耐药性、毒力基因和致病性。

IF 2.3 2区 农林科学 Q2 VETERINARY SCIENCES
Mengyuan Cao, Fang Cao, Chenyu Wang, Xueqi Yan, Feng Dong, Shilei Zhang, Shaymaa Abousaad, Lin Yang, Ayman M Abouzeid, Yongjie Wang, Yayin Qi
{"title":"牛万古霉素耐药粪肠球菌的分离与鉴定:耐药性、毒力基因和致病性。","authors":"Mengyuan Cao, Fang Cao, Chenyu Wang, Xueqi Yan, Feng Dong, Shilei Zhang, Shaymaa Abousaad, Lin Yang, Ayman M Abouzeid, Yongjie Wang, Yayin Qi","doi":"10.3390/vetsci12090880","DOIUrl":null,"url":null,"abstract":"<p><p>This study aimed to investigate the antimicrobial resistance, virulence gene profile, and pathogenicity of <i>Enterococcus faecium</i> isolated from a large-scale cattle farm in Xinjiang, China, to provide a scientific basis for the prevention and control of <i>E. faecium</i> infections in the region. Nineteen rectal swabs were aseptically collected from diarrheic calves for bacterial isolation. Isolates were identified through morphological observation, biochemical characterization, and PCR amplification. Homology analysis was conducted using 16S rRNA gene sequencing. Antimicrobial susceptibility was evaluated by the disk diffusion method, and key virulence genes were detected using PCR. Pathogenicity was assessed through intraperitoneal inoculation of mice, followed by histopathological examination. Three isolates were identified as <i>E. faecium</i>, consistent with morphological and molecular results. Biochemical tests indicated that the strains could metabolize sucrose, maltose, lactose, melibiose, and raffinose, but not sorbitol. Phylogenetic analysis revealed that isolates SCQ3 and SCQ4 shared 99.3% homology with <i>E. faecium</i> strain MF678878.1, while SCQ11 showed 91% similarity to strain JP2. Antimicrobial susceptibility testing indicated that SCQ11 was resistant to vancomycin. PCR analysis identified the presence of multiple virulence genes, including <i>psaA</i>, <i>hyp</i>, <i>asal</i>, <i>sprE</i>, <i>nuc</i>, <i>cbh</i>, <i>srtA</i>, <i>hyl</i>, <i>scm</i>, and <i>agg</i>. In vivo pathogenicity testing demonstrated that the vancomycin-resistant strain exhibited strong virulence in mice, with gross lesions observed in the liver, spleen, and intestines. Histopathological examination confirmed varying degrees of tissue damage, particularly in the liver and spleen. All three <i>E. faecium</i> isolates exhibited multidrug resistance, with one strain showing vancomycin resistance and harboring a high number of virulent genes. This strain demonstrated significant pathogenicity in vivo. These findings highlight the potential public health threat posed by multidrug-resistant <i>E. faecium</i> in livestock and provide essential data for regional prevention and control strategies.</p>","PeriodicalId":23694,"journal":{"name":"Veterinary Sciences","volume":"12 9","pages":""},"PeriodicalIF":2.3000,"publicationDate":"2025-09-12","publicationTypes":"Journal Article","fieldsOfStudy":null,"isOpenAccess":false,"openAccessPdf":"https://www.ncbi.nlm.nih.gov/pmc/articles/PMC12474370/pdf/","citationCount":"0","resultStr":"{\"title\":\"Isolation and Characterization of Vancomycin-Resistant <i>Enterococcus faecium</i> from Cattle: Antimicrobial Resistance, Virulence Genes, and Pathogenicity.\",\"authors\":\"Mengyuan Cao, Fang Cao, Chenyu Wang, Xueqi Yan, Feng Dong, Shilei Zhang, Shaymaa Abousaad, Lin Yang, Ayman M Abouzeid, Yongjie Wang, Yayin Qi\",\"doi\":\"10.3390/vetsci12090880\",\"DOIUrl\":null,\"url\":null,\"abstract\":\"<p><p>This study aimed to investigate the antimicrobial resistance, virulence gene profile, and pathogenicity of <i>Enterococcus faecium</i> isolated from a large-scale cattle farm in Xinjiang, China, to provide a scientific basis for the prevention and control of <i>E. faecium</i> infections in the region. Nineteen rectal swabs were aseptically collected from diarrheic calves for bacterial isolation. Isolates were identified through morphological observation, biochemical characterization, and PCR amplification. Homology analysis was conducted using 16S rRNA gene sequencing. Antimicrobial susceptibility was evaluated by the disk diffusion method, and key virulence genes were detected using PCR. Pathogenicity was assessed through intraperitoneal inoculation of mice, followed by histopathological examination. Three isolates were identified as <i>E. faecium</i>, consistent with morphological and molecular results. Biochemical tests indicated that the strains could metabolize sucrose, maltose, lactose, melibiose, and raffinose, but not sorbitol. Phylogenetic analysis revealed that isolates SCQ3 and SCQ4 shared 99.3% homology with <i>E. faecium</i> strain MF678878.1, while SCQ11 showed 91% similarity to strain JP2. Antimicrobial susceptibility testing indicated that SCQ11 was resistant to vancomycin. PCR analysis identified the presence of multiple virulence genes, including <i>psaA</i>, <i>hyp</i>, <i>asal</i>, <i>sprE</i>, <i>nuc</i>, <i>cbh</i>, <i>srtA</i>, <i>hyl</i>, <i>scm</i>, and <i>agg</i>. In vivo pathogenicity testing demonstrated that the vancomycin-resistant strain exhibited strong virulence in mice, with gross lesions observed in the liver, spleen, and intestines. Histopathological examination confirmed varying degrees of tissue damage, particularly in the liver and spleen. All three <i>E. faecium</i> isolates exhibited multidrug resistance, with one strain showing vancomycin resistance and harboring a high number of virulent genes. This strain demonstrated significant pathogenicity in vivo. These findings highlight the potential public health threat posed by multidrug-resistant <i>E. faecium</i> in livestock and provide essential data for regional prevention and control strategies.</p>\",\"PeriodicalId\":23694,\"journal\":{\"name\":\"Veterinary Sciences\",\"volume\":\"12 9\",\"pages\":\"\"},\"PeriodicalIF\":2.3000,\"publicationDate\":\"2025-09-12\",\"publicationTypes\":\"Journal Article\",\"fieldsOfStudy\":null,\"isOpenAccess\":false,\"openAccessPdf\":\"https://www.ncbi.nlm.nih.gov/pmc/articles/PMC12474370/pdf/\",\"citationCount\":\"0\",\"resultStr\":null,\"platform\":\"Semanticscholar\",\"paperid\":null,\"PeriodicalName\":\"Veterinary Sciences\",\"FirstCategoryId\":\"97\",\"ListUrlMain\":\"https://doi.org/10.3390/vetsci12090880\",\"RegionNum\":2,\"RegionCategory\":\"农林科学\",\"ArticlePicture\":[],\"TitleCN\":null,\"AbstractTextCN\":null,\"PMCID\":null,\"EPubDate\":\"\",\"PubModel\":\"\",\"JCR\":\"Q2\",\"JCRName\":\"VETERINARY SCIENCES\",\"Score\":null,\"Total\":0}","platform":"Semanticscholar","paperid":null,"PeriodicalName":"Veterinary Sciences","FirstCategoryId":"97","ListUrlMain":"https://doi.org/10.3390/vetsci12090880","RegionNum":2,"RegionCategory":"农林科学","ArticlePicture":[],"TitleCN":null,"AbstractTextCN":null,"PMCID":null,"EPubDate":"","PubModel":"","JCR":"Q2","JCRName":"VETERINARY SCIENCES","Score":null,"Total":0}
引用次数: 0

摘要

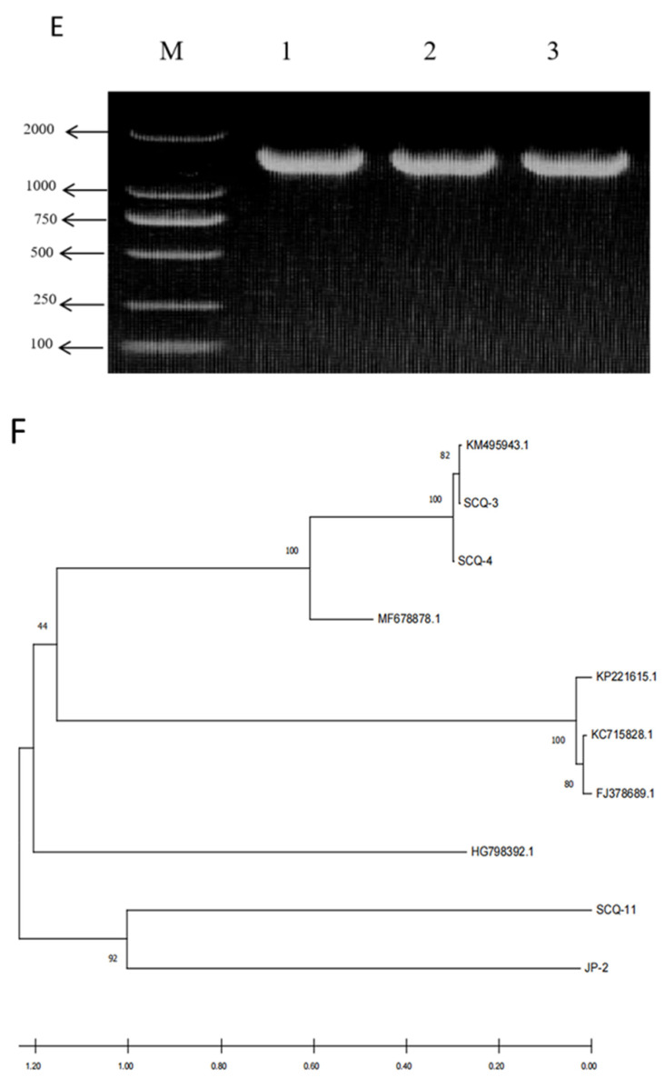
本研究旨在了解新疆某大型牛场分离的粪肠球菌的耐药性、毒力基因谱和致病性,为该地区粪肠球菌感染的预防和控制提供科学依据。无菌收集腹泻小牛直肠拭子19份进行细菌分离。通过形态观察、生化鉴定和PCR扩增对分离株进行鉴定。采用16S rRNA基因测序进行同源性分析。采用圆盘扩散法检测菌株的药敏,PCR检测关键毒力基因。通过小鼠腹腔接种评估致病性,然后进行组织病理学检查。3株分离株经鉴定为粪肠杆菌,与形态学和分子分析结果一致。生化试验表明,该菌株能代谢蔗糖、麦芽糖、乳糖、蜜利二糖和棉子糖,但不能代谢山梨醇。系统发育分析显示,分离株SCQ3和SCQ4与菌株MF678878.1同源性为99.3%,SCQ11与菌株JP2同源性为91%。药敏试验表明,SCQ11对万古霉素耐药。PCR分析发现存在多个毒力基因,包括psaA、hyp、asal、sprE、nuc、cbh、srtA、hyl、scm和agg。体内致病性测试表明,万古霉素耐药菌株在小鼠中表现出很强的毒力,在肝脏、脾脏和肠道中观察到明显的病变。组织病理学检查证实不同程度的组织损伤,尤其是肝脏和脾脏。所有三株粪肠杆菌均表现出多药耐药,其中一株表现出万古霉素耐药,并携带大量毒力基因。该菌株在体内表现出显著的致病性。这些发现强调了牲畜中耐多药粪肠杆菌可能构成的公共卫生威胁,并为区域预防和控制战略提供了重要数据。
本文章由计算机程序翻译,如有差异,请以英文原文为准。

Isolation and Characterization of Vancomycin-Resistant <i>Enterococcus faecium</i> from Cattle: Antimicrobial Resistance, Virulence Genes, and Pathogenicity.

Isolation and Characterization of Vancomycin-Resistant <i>Enterococcus faecium</i> from Cattle: Antimicrobial Resistance, Virulence Genes, and Pathogenicity.

Isolation and Characterization of Vancomycin-Resistant <i>Enterococcus faecium</i> from Cattle: Antimicrobial Resistance, Virulence Genes, and Pathogenicity.

Isolation and Characterization of Vancomycin-Resistant Enterococcus faecium from Cattle: Antimicrobial Resistance, Virulence Genes, and Pathogenicity.

This study aimed to investigate the antimicrobial resistance, virulence gene profile, and pathogenicity of Enterococcus faecium isolated from a large-scale cattle farm in Xinjiang, China, to provide a scientific basis for the prevention and control of E. faecium infections in the region. Nineteen rectal swabs were aseptically collected from diarrheic calves for bacterial isolation. Isolates were identified through morphological observation, biochemical characterization, and PCR amplification. Homology analysis was conducted using 16S rRNA gene sequencing. Antimicrobial susceptibility was evaluated by the disk diffusion method, and key virulence genes were detected using PCR. Pathogenicity was assessed through intraperitoneal inoculation of mice, followed by histopathological examination. Three isolates were identified as E. faecium, consistent with morphological and molecular results. Biochemical tests indicated that the strains could metabolize sucrose, maltose, lactose, melibiose, and raffinose, but not sorbitol. Phylogenetic analysis revealed that isolates SCQ3 and SCQ4 shared 99.3% homology with E. faecium strain MF678878.1, while SCQ11 showed 91% similarity to strain JP2. Antimicrobial susceptibility testing indicated that SCQ11 was resistant to vancomycin. PCR analysis identified the presence of multiple virulence genes, including psaA, hyp, asal, sprE, nuc, cbh, srtA, hyl, scm, and agg. In vivo pathogenicity testing demonstrated that the vancomycin-resistant strain exhibited strong virulence in mice, with gross lesions observed in the liver, spleen, and intestines. Histopathological examination confirmed varying degrees of tissue damage, particularly in the liver and spleen. All three E. faecium isolates exhibited multidrug resistance, with one strain showing vancomycin resistance and harboring a high number of virulent genes. This strain demonstrated significant pathogenicity in vivo. These findings highlight the potential public health threat posed by multidrug-resistant E. faecium in livestock and provide essential data for regional prevention and control strategies.

求助全文
通过发布文献求助,成功后即可免费获取论文全文。 去求助
来源期刊
Veterinary Sciences
Veterinary Sciences VETERINARY SCIENCES-
CiteScore
2.90
自引率
8.30%
发文量
612
审稿时长
6 weeks
期刊介绍: Veterinary Sciences is an international and interdisciplinary scholarly open access journal. It publishes original that are relevant to any field of veterinary sciences, including prevention, diagnosis and treatment of disease, disorder and injury in animals. This journal covers almost all topics related to animal health and veterinary medicine. Research fields of interest include but are not limited to: anaesthesiology anatomy bacteriology biochemistry cardiology dentistry dermatology embryology endocrinology epidemiology genetics histology immunology microbiology molecular biology mycology neurobiology oncology ophthalmology parasitology pathology pharmacology physiology radiology surgery theriogenology toxicology virology.
×
引用
GB/T 7714-2015
复制
MLA
复制
APA
复制
导出至
BibTeX EndNote RefMan NoteFirst NoteExpress
×
提示
您的信息不完整,为了账户安全,请先补充。
现在去补充
×
提示
您因"违规操作"
具体请查看互助需知
我知道了
×
提示
确定
请完成安全验证×
copy
已复制链接
快去分享给好友吧!
我知道了
右上角分享
点击右上角分享
0
联系我们:info@booksci.cn Book学术提供免费学术资源搜索服务,方便国内外学者检索中英文文献。致力于提供最便捷和优质的服务体验。 Copyright © 2023 布克学术 All rights reserved.
京ICP备2023020795号-1
ghs 京公网安备 11010802042870号
Book学术文献互助
Book学术文献互助群
群 号:604180095
Book学术官方微信