利用PBMCs评价工业阴茎对猫感染性腹膜炎模型的双重抗病毒和免疫调节作用。

IF 2.3 2区 农林科学 Q2 VETERINARY SCIENCES
Chularat Hlaoperm, Wassamon Moyadee, Emwalee Wongsaengnoi, Wiwat Klankaew, Amonpun Rattanasrisomporn, Atchara Paemanee, Kiattawee Choowongkomon, Oumaporn Rungsuriyawiboon, Jatuporn Rattanasrisomporn
{"title":"利用PBMCs评价工业阴茎对猫感染性腹膜炎模型的双重抗病毒和免疫调节作用。","authors":"Chularat Hlaoperm, Wassamon Moyadee, Emwalee Wongsaengnoi, Wiwat Klankaew, Amonpun Rattanasrisomporn, Atchara Paemanee, Kiattawee Choowongkomon, Oumaporn Rungsuriyawiboon, Jatuporn Rattanasrisomporn","doi":"10.3390/vetsci12090847","DOIUrl":null,"url":null,"abstract":"<p><p>Feline infectious peritonitis (FIP) is a progressive and often fatal disease caused by a virulent biotype of feline coronavirus (FCoV). Although antiviral treatments are now available, relapse and resistance remain ongoing concerns. This study investigates the therapeutic potential of <i>P. indusiatus</i>, a medicinal mushroom, for its antiviral and anti-inflammatory activities against FIP. The main protease (FIPV M<sup>pro</sup>) of feline infectious peritonitis virus (FIPV) was recombinantly expressed and purified to facilitate enzyme inhibition screening. <i>P. indusiatus</i> exhibited the strongest FIPV M<sup>pro</sup> inhibitory activity among the 17 mushroom extracts tested (69.2%), showing a notable level of inhibition relative to standard antiviral agents such as lopinavir and ritonavir. To assess its anti-inflammatory potential, PBMCs derived from healthy cats and FIP-associated effusions (FIP fluid) were cultured and stimulated with LPS to induce inflammation. In healthy PBMCs, <i>P. indusiatus</i> significantly reduced nitrite levels, with effects similar to dexamethasone. However, PBMCs from FIP fluid, already in an activated state, showed no additional response. Notably, this study is the first to successfully isolate and culture PBMCs from FIP fluid, providing a new platform for future immunological research. These findings suggest that <i>P. indusiatus</i> possesses both antiviral and anti-inflammatory properties, positioning it as a potential dual-action therapeutic candidate for FIP. Further investigation into cytokine signaling pathways is warranted to clarify its mechanisms of action and advance future therapeutic development.</p>","PeriodicalId":23694,"journal":{"name":"Veterinary Sciences","volume":"12 9","pages":""},"PeriodicalIF":2.3000,"publicationDate":"2025-09-01","publicationTypes":"Journal Article","fieldsOfStudy":null,"isOpenAccess":false,"openAccessPdf":"https://www.ncbi.nlm.nih.gov/pmc/articles/PMC12474325/pdf/","citationCount":"0","resultStr":"{\"title\":\"Evaluation of the Dual Antiviral and Immunomodulatory Effects of <i>Phallus indusiatus</i> in a Feline Infectious Peritonitis Model Using PBMCs.\",\"authors\":\"Chularat Hlaoperm, Wassamon Moyadee, Emwalee Wongsaengnoi, Wiwat Klankaew, Amonpun Rattanasrisomporn, Atchara Paemanee, Kiattawee Choowongkomon, Oumaporn Rungsuriyawiboon, Jatuporn Rattanasrisomporn\",\"doi\":\"10.3390/vetsci12090847\",\"DOIUrl\":null,\"url\":null,\"abstract\":\"<p><p>Feline infectious peritonitis (FIP) is a progressive and often fatal disease caused by a virulent biotype of feline coronavirus (FCoV). Although antiviral treatments are now available, relapse and resistance remain ongoing concerns. This study investigates the therapeutic potential of <i>P. indusiatus</i>, a medicinal mushroom, for its antiviral and anti-inflammatory activities against FIP. The main protease (FIPV M<sup>pro</sup>) of feline infectious peritonitis virus (FIPV) was recombinantly expressed and purified to facilitate enzyme inhibition screening. <i>P. indusiatus</i> exhibited the strongest FIPV M<sup>pro</sup> inhibitory activity among the 17 mushroom extracts tested (69.2%), showing a notable level of inhibition relative to standard antiviral agents such as lopinavir and ritonavir. To assess its anti-inflammatory potential, PBMCs derived from healthy cats and FIP-associated effusions (FIP fluid) were cultured and stimulated with LPS to induce inflammation. In healthy PBMCs, <i>P. indusiatus</i> significantly reduced nitrite levels, with effects similar to dexamethasone. However, PBMCs from FIP fluid, already in an activated state, showed no additional response. Notably, this study is the first to successfully isolate and culture PBMCs from FIP fluid, providing a new platform for future immunological research. These findings suggest that <i>P. indusiatus</i> possesses both antiviral and anti-inflammatory properties, positioning it as a potential dual-action therapeutic candidate for FIP. Further investigation into cytokine signaling pathways is warranted to clarify its mechanisms of action and advance future therapeutic development.</p>\",\"PeriodicalId\":23694,\"journal\":{\"name\":\"Veterinary Sciences\",\"volume\":\"12 9\",\"pages\":\"\"},\"PeriodicalIF\":2.3000,\"publicationDate\":\"2025-09-01\",\"publicationTypes\":\"Journal Article\",\"fieldsOfStudy\":null,\"isOpenAccess\":false,\"openAccessPdf\":\"https://www.ncbi.nlm.nih.gov/pmc/articles/PMC12474325/pdf/\",\"citationCount\":\"0\",\"resultStr\":null,\"platform\":\"Semanticscholar\",\"paperid\":null,\"PeriodicalName\":\"Veterinary Sciences\",\"FirstCategoryId\":\"97\",\"ListUrlMain\":\"https://doi.org/10.3390/vetsci12090847\",\"RegionNum\":2,\"RegionCategory\":\"农林科学\",\"ArticlePicture\":[],\"TitleCN\":null,\"AbstractTextCN\":null,\"PMCID\":null,\"EPubDate\":\"\",\"PubModel\":\"\",\"JCR\":\"Q2\",\"JCRName\":\"VETERINARY SCIENCES\",\"Score\":null,\"Total\":0}","platform":"Semanticscholar","paperid":null,"PeriodicalName":"Veterinary Sciences","FirstCategoryId":"97","ListUrlMain":"https://doi.org/10.3390/vetsci12090847","RegionNum":2,"RegionCategory":"农林科学","ArticlePicture":[],"TitleCN":null,"AbstractTextCN":null,"PMCID":null,"EPubDate":"","PubModel":"","JCR":"Q2","JCRName":"VETERINARY SCIENCES","Score":null,"Total":0}
引用次数: 0

摘要

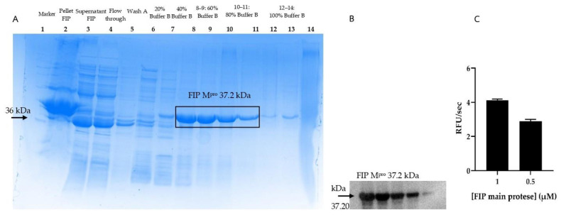
猫传染性腹膜炎(FIP)是由一种强毒型猫冠状病毒(FCoV)引起的一种进行性且往往致命的疾病。虽然现在有抗病毒治疗,但复发和耐药性仍然是持续的问题。本研究探讨了药用蘑菇工业假单胞菌对FIP的抗病毒和抗炎作用。对猫传染性腹膜炎病毒(FIPV)的主要蛋白酶(FIPV Mpro)进行重组表达和纯化,以进行酶抑制筛选。在17种香菇提取物中,工业假单胞菌对FIPV - Mpro的抑制活性最强(69.2%),与洛匹那韦和利托那韦等标准抗病毒药物相比具有显著的抑制作用。为了评估其抗炎潜力,我们培养了来自健康猫和FIP相关积液(FIP液)的PBMCs,并用LPS刺激以诱导炎症。在健康的pbmc中,工业假单胞菌显著降低亚硝酸盐水平,其效果与地塞米松相似。然而,已经处于激活状态的FIP流体中的pbmc没有表现出额外的反应。值得注意的是,这项研究首次成功地从FIP液中分离和培养了pbmc,为未来的免疫学研究提供了一个新的平台。这些研究结果表明,工业假单胞菌具有抗病毒和抗炎特性,将其定位为FIP的潜在双作用治疗候选者。进一步研究细胞因子信号通路是必要的,以阐明其作用机制和推动未来的治疗发展。
本文章由计算机程序翻译,如有差异,请以英文原文为准。

Evaluation of the Dual Antiviral and Immunomodulatory Effects of <i>Phallus indusiatus</i> in a Feline Infectious Peritonitis Model Using PBMCs.

Evaluation of the Dual Antiviral and Immunomodulatory Effects of <i>Phallus indusiatus</i> in a Feline Infectious Peritonitis Model Using PBMCs.

Evaluation of the Dual Antiviral and Immunomodulatory Effects of <i>Phallus indusiatus</i> in a Feline Infectious Peritonitis Model Using PBMCs.

Evaluation of the Dual Antiviral and Immunomodulatory Effects of Phallus indusiatus in a Feline Infectious Peritonitis Model Using PBMCs.

Feline infectious peritonitis (FIP) is a progressive and often fatal disease caused by a virulent biotype of feline coronavirus (FCoV). Although antiviral treatments are now available, relapse and resistance remain ongoing concerns. This study investigates the therapeutic potential of P. indusiatus, a medicinal mushroom, for its antiviral and anti-inflammatory activities against FIP. The main protease (FIPV Mpro) of feline infectious peritonitis virus (FIPV) was recombinantly expressed and purified to facilitate enzyme inhibition screening. P. indusiatus exhibited the strongest FIPV Mpro inhibitory activity among the 17 mushroom extracts tested (69.2%), showing a notable level of inhibition relative to standard antiviral agents such as lopinavir and ritonavir. To assess its anti-inflammatory potential, PBMCs derived from healthy cats and FIP-associated effusions (FIP fluid) were cultured and stimulated with LPS to induce inflammation. In healthy PBMCs, P. indusiatus significantly reduced nitrite levels, with effects similar to dexamethasone. However, PBMCs from FIP fluid, already in an activated state, showed no additional response. Notably, this study is the first to successfully isolate and culture PBMCs from FIP fluid, providing a new platform for future immunological research. These findings suggest that P. indusiatus possesses both antiviral and anti-inflammatory properties, positioning it as a potential dual-action therapeutic candidate for FIP. Further investigation into cytokine signaling pathways is warranted to clarify its mechanisms of action and advance future therapeutic development.

求助全文
通过发布文献求助,成功后即可免费获取论文全文。 去求助
来源期刊
Veterinary Sciences
Veterinary Sciences VETERINARY SCIENCES-
CiteScore
2.90
自引率
8.30%
发文量
612
审稿时长
6 weeks
期刊介绍: Veterinary Sciences is an international and interdisciplinary scholarly open access journal. It publishes original that are relevant to any field of veterinary sciences, including prevention, diagnosis and treatment of disease, disorder and injury in animals. This journal covers almost all topics related to animal health and veterinary medicine. Research fields of interest include but are not limited to: anaesthesiology anatomy bacteriology biochemistry cardiology dentistry dermatology embryology endocrinology epidemiology genetics histology immunology microbiology molecular biology mycology neurobiology oncology ophthalmology parasitology pathology pharmacology physiology radiology surgery theriogenology toxicology virology.
×
引用
GB/T 7714-2015
复制
MLA
复制
APA
复制
导出至
BibTeX EndNote RefMan NoteFirst NoteExpress
×
提示
您的信息不完整,为了账户安全,请先补充。
现在去补充
×
提示
您因"违规操作"
具体请查看互助需知
我知道了
×
提示
确定
请完成安全验证×
copy
已复制链接
快去分享给好友吧!
我知道了
右上角分享
点击右上角分享
0
联系我们:info@booksci.cn Book学术提供免费学术资源搜索服务,方便国内外学者检索中英文文献。致力于提供最便捷和优质的服务体验。 Copyright © 2023 布克学术 All rights reserved.
京ICP备2023020795号-1
ghs 京公网安备 11010802042870号
Book学术文献互助
Book学术文献互助群
群 号:604180095
Book学术官方微信