兽药用粉螨螨过敏原提取物的组成、异质性及低分子量过敏原含量。

IF 2.3 2区 农林科学 Q2 VETERINARY SCIENCES
Marie Welters, Ana Mas-Fontao, Silvia T Auxilia, Thierry Olivry
{"title":"兽药用粉螨螨过敏原提取物的组成、异质性及低分子量过敏原含量。","authors":"Marie Welters, Ana Mas-Fontao, Silvia T Auxilia, Thierry Olivry","doi":"10.3390/vetsci12090824","DOIUrl":null,"url":null,"abstract":"<p><p>Extracts used for allergen sensitization testing in humans are heterogeneous in composition and may contain low levels of important allergens. In contrast, there is scant information on the variability of veterinary allergen extracts. We selected two batches of extracts of <i>Dermatophagoides farinae</i> house dust mites from each of three different manufacturers. We observed a 3.4-fold difference in total protein content between the two extracts with the lowest and highest amounts of allergens. After electrophoresis, the band migration patterns were found to be similar between the two batches of extracts from two manufacturers and dissimilar in the third; the migration profiles were heterogeneous between manufacturers. The six extracts did not contain the same concentrations of Der f 1 and Der f 2, with fold changes between the highest and lowest concentrations measured to be 14.3× for Der f 1 and 8.0× for Der f 2. This allergen composition heterogeneity resulted in differences in ELISA seropositivity when allergic dogs had low serum concentrations of IgE against Der f 1 and Der f 2. Our findings demonstrate that, like in human allergology, allergen extracts for veterinary use are also heterogeneous in their protein content and allergen composition. This heterogeneity can impact results when determining allergen sensitizations using crude extracts.</p>","PeriodicalId":23694,"journal":{"name":"Veterinary Sciences","volume":"12 9","pages":""},"PeriodicalIF":2.3000,"publicationDate":"2025-08-27","publicationTypes":"Journal Article","fieldsOfStudy":null,"isOpenAccess":false,"openAccessPdf":"https://www.ncbi.nlm.nih.gov/pmc/articles/PMC12474439/pdf/","citationCount":"0","resultStr":"{\"title\":\"Composition Heterogeneity and Low-Molecular-Weight Allergen Content of <i>Dermatophagoides farinae</i> House Dust Mite Allergen Extracts Used in Veterinary Medicine.\",\"authors\":\"Marie Welters, Ana Mas-Fontao, Silvia T Auxilia, Thierry Olivry\",\"doi\":\"10.3390/vetsci12090824\",\"DOIUrl\":null,\"url\":null,\"abstract\":\"<p><p>Extracts used for allergen sensitization testing in humans are heterogeneous in composition and may contain low levels of important allergens. In contrast, there is scant information on the variability of veterinary allergen extracts. We selected two batches of extracts of <i>Dermatophagoides farinae</i> house dust mites from each of three different manufacturers. We observed a 3.4-fold difference in total protein content between the two extracts with the lowest and highest amounts of allergens. After electrophoresis, the band migration patterns were found to be similar between the two batches of extracts from two manufacturers and dissimilar in the third; the migration profiles were heterogeneous between manufacturers. The six extracts did not contain the same concentrations of Der f 1 and Der f 2, with fold changes between the highest and lowest concentrations measured to be 14.3× for Der f 1 and 8.0× for Der f 2. This allergen composition heterogeneity resulted in differences in ELISA seropositivity when allergic dogs had low serum concentrations of IgE against Der f 1 and Der f 2. Our findings demonstrate that, like in human allergology, allergen extracts for veterinary use are also heterogeneous in their protein content and allergen composition. This heterogeneity can impact results when determining allergen sensitizations using crude extracts.</p>\",\"PeriodicalId\":23694,\"journal\":{\"name\":\"Veterinary Sciences\",\"volume\":\"12 9\",\"pages\":\"\"},\"PeriodicalIF\":2.3000,\"publicationDate\":\"2025-08-27\",\"publicationTypes\":\"Journal Article\",\"fieldsOfStudy\":null,\"isOpenAccess\":false,\"openAccessPdf\":\"https://www.ncbi.nlm.nih.gov/pmc/articles/PMC12474439/pdf/\",\"citationCount\":\"0\",\"resultStr\":null,\"platform\":\"Semanticscholar\",\"paperid\":null,\"PeriodicalName\":\"Veterinary Sciences\",\"FirstCategoryId\":\"97\",\"ListUrlMain\":\"https://doi.org/10.3390/vetsci12090824\",\"RegionNum\":2,\"RegionCategory\":\"农林科学\",\"ArticlePicture\":[],\"TitleCN\":null,\"AbstractTextCN\":null,\"PMCID\":null,\"EPubDate\":\"\",\"PubModel\":\"\",\"JCR\":\"Q2\",\"JCRName\":\"VETERINARY SCIENCES\",\"Score\":null,\"Total\":0}","platform":"Semanticscholar","paperid":null,"PeriodicalName":"Veterinary Sciences","FirstCategoryId":"97","ListUrlMain":"https://doi.org/10.3390/vetsci12090824","RegionNum":2,"RegionCategory":"农林科学","ArticlePicture":[],"TitleCN":null,"AbstractTextCN":null,"PMCID":null,"EPubDate":"","PubModel":"","JCR":"Q2","JCRName":"VETERINARY SCIENCES","Score":null,"Total":0}
引用次数: 0

摘要

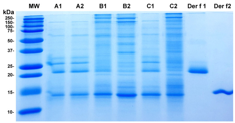
用于人体过敏原致敏试验的提取物成分不均匀,可能含有低水平的重要过敏原。相比之下,关于兽医过敏原提取物的可变性的信息很少。我们从三个不同的生产厂家中分别选择了两批粉尘螨提取物。我们观察到两种提取物中过敏原含量最低和最高的总蛋白质含量相差3.4倍。电泳后发现,两家厂家提取物的条带迁移模式相似,而第三家厂家提取物的条带迁移模式不同;制造商之间的迁移配置文件是异构的。6种提取物中Der f1和Der f2的含量不同,Der f1和Der f2的最高和最低含量相差2倍,Der f1和Der f2的最高和最低含量相差14.3倍和8.0倍。当过敏犬血清中抗Der f1和Der f2的IgE浓度较低时,这种过敏原组成的异质性导致了ELISA血清阳性结果的差异。我们的研究结果表明,与人类过敏症一样,兽医用的过敏原提取物在蛋白质含量和过敏原组成方面也存在异质性。当使用粗提取物测定过敏原致敏性时,这种异质性会影响结果。
本文章由计算机程序翻译,如有差异,请以英文原文为准。

Composition Heterogeneity and Low-Molecular-Weight Allergen Content of <i>Dermatophagoides farinae</i> House Dust Mite Allergen Extracts Used in Veterinary Medicine.

Composition Heterogeneity and Low-Molecular-Weight Allergen Content of <i>Dermatophagoides farinae</i> House Dust Mite Allergen Extracts Used in Veterinary Medicine.

Composition Heterogeneity and Low-Molecular-Weight Allergen Content of <i>Dermatophagoides farinae</i> House Dust Mite Allergen Extracts Used in Veterinary Medicine.

Composition Heterogeneity and Low-Molecular-Weight Allergen Content of Dermatophagoides farinae House Dust Mite Allergen Extracts Used in Veterinary Medicine.

Extracts used for allergen sensitization testing in humans are heterogeneous in composition and may contain low levels of important allergens. In contrast, there is scant information on the variability of veterinary allergen extracts. We selected two batches of extracts of Dermatophagoides farinae house dust mites from each of three different manufacturers. We observed a 3.4-fold difference in total protein content between the two extracts with the lowest and highest amounts of allergens. After electrophoresis, the band migration patterns were found to be similar between the two batches of extracts from two manufacturers and dissimilar in the third; the migration profiles were heterogeneous between manufacturers. The six extracts did not contain the same concentrations of Der f 1 and Der f 2, with fold changes between the highest and lowest concentrations measured to be 14.3× for Der f 1 and 8.0× for Der f 2. This allergen composition heterogeneity resulted in differences in ELISA seropositivity when allergic dogs had low serum concentrations of IgE against Der f 1 and Der f 2. Our findings demonstrate that, like in human allergology, allergen extracts for veterinary use are also heterogeneous in their protein content and allergen composition. This heterogeneity can impact results when determining allergen sensitizations using crude extracts.

求助全文
通过发布文献求助,成功后即可免费获取论文全文。 去求助
来源期刊
Veterinary Sciences
Veterinary Sciences VETERINARY SCIENCES-
CiteScore
2.90
自引率
8.30%
发文量
612
审稿时长
6 weeks
期刊介绍: Veterinary Sciences is an international and interdisciplinary scholarly open access journal. It publishes original that are relevant to any field of veterinary sciences, including prevention, diagnosis and treatment of disease, disorder and injury in animals. This journal covers almost all topics related to animal health and veterinary medicine. Research fields of interest include but are not limited to: anaesthesiology anatomy bacteriology biochemistry cardiology dentistry dermatology embryology endocrinology epidemiology genetics histology immunology microbiology molecular biology mycology neurobiology oncology ophthalmology parasitology pathology pharmacology physiology radiology surgery theriogenology toxicology virology.
×
引用
GB/T 7714-2015
复制
MLA
复制
APA
复制
导出至
BibTeX EndNote RefMan NoteFirst NoteExpress
×
提示
您的信息不完整,为了账户安全,请先补充。
现在去补充
×
提示
您因"违规操作"
具体请查看互助需知
我知道了
×
提示
确定
请完成安全验证×
copy
已复制链接
快去分享给好友吧!
我知道了
右上角分享
点击右上角分享
0
联系我们:info@booksci.cn Book学术提供免费学术资源搜索服务,方便国内外学者检索中英文文献。致力于提供最便捷和优质的服务体验。 Copyright © 2023 布克学术 All rights reserved.
京ICP备2023020795号-1
ghs 京公网安备 11010802042870号
Book学术文献互助
Book学术文献互助群
群 号:604180095
Book学术官方微信